Hauptmenü

Fluoreszenz

Begonnen von Ralf Feller, April 14, 2009, 23:01:12 NACHMITTAGS

Vorheriges Thema - Nächstes Thema

Ralf Feller

Hallo liebe Forum-Kollegen, nachdem ich die Diskussion über die interessanten Fluoreszenzaufnahmen von Privatlabor verfolgt habe, möchte ich doch noch einige Fluoreszenzaufnahmen mit einfachen Fluorochromen zeigen die ohne Antikörper auskommen und einfach zu handhaben sind.

Bild 1 und 2 zeigen Mundschleimhautabstriche, die wohl jeder schon einmal angefertigt hat. Nach Trocknen und Fixieren in abs. Alkohol wurden die Bakterien mit Acridinorange angefärbt. Vorteil, man kann auch sehr wenige Bakterien schnell nachweisen (weil sie halt leuchten). Anwendung: z.B. Nachweis weniger Bakterien in Liquor bei V.a. Meningitis, Nachteil: es ist keine Gram-Färbung, d.h. man erkennt nicht ob es gram-positive oder gram-negative Keime sind.

Bild 3 Hefepilze, Bild 4 Schimmelpilze angefärbt mit Mycoval (Pilzfluorochrom).

Neben dem Nachweis spezieller Bakterien oder Viren mit Fluoreszenzmarkierten Antikörpern lassen sich auch spezielle Bakterien wie E. coli oder Pseudomonas durch fluoreszierende DNA-Sonden anfärben. So lassen sich z.B. gefährliche Keime in Nachrungsmitteln oder in Abwasser nachweisen. Jeder der ein Fluoreszenzmikroskop hat kann so ohne großes Labor spezielle Keime und Pilze identifizieren.

Zeiss Standard mit HBO50 Auflicht-Fluoreszenzkondensor,
Zeiss 100x Plan-Objektiv, Leitz-Periplan-Okular an CP 990.

Gruss aus Mülheim a.d. Ruhr

Ralf Feller






wilfried48

Hallo Herr Feller,

sehr schöne und interessante Aufnahmen !

könnten sie bitte noch eine Bezugsquelle für Fluorochrome und eine Quelle für Anwendungsinformationen (z.B. was färbe ich mit was ?) benennen ?

Warum fluoresziert die Mundschleimhaut eigentlich grün oder ist das gewolltes Restanregungslicht zur Orientierung wo die Bakterien sitzen?

Vielen Dank und viele Grüsse

Wilfried
vorzugsweise per Du

Hobbymikroskope:
Zeiss Axiophot,  AL/DL/Ph/DIC/Epi-Fl
Zeiss Axiovert 35, DL/Ph/DIC/Epi-Fl
Zeiss Universal Pol,  AL/DL
Zeiss Stemi 2000 C
Nikon Labo-/Optiphot mit CF ELWD Objektiven

Sammlung Zeiss Mikroskope
https://www.mikroskopie-forum.de/index.php?topic=107.0

Ralf Feller

Hallo Herr Nisch,
das Acridinorange ist von Chroma (http://www.chroma.de/),
das Mycoval von Hund (http://www.juelich-bonn.com/site/mikroskop/texte/mykoval/).
Acridinorange verwendet man meist zur Anfärbung von Bakteien,
es lässt sich auch an Gewebeschnitten anwenden und ist hier der Gramfärbung
überlegen.
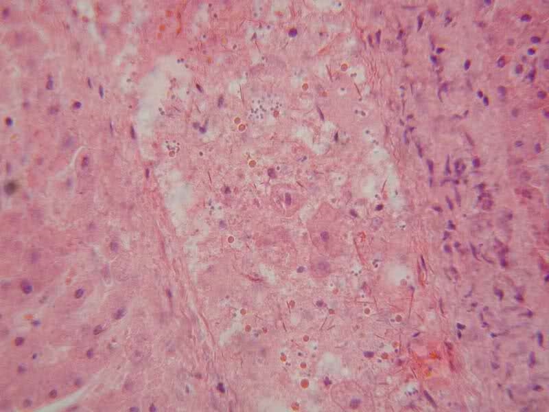
Bild 1 zeigt die Histologie einer Schweineleber vom Metzger,
Bild 2 Abstrich in Gram-Färbung
Bild 3 Histologie in Acridinorange
(man sieht immer eine grüne Hintergrundfluoreszenz).

1

2

3


Daneben kann man mit Fluoreszenzfarbstoffen experimentieren.
Ich habe einmal einen HE-Schnitt durch ein Mückenabdomen
Parallel mit Acridin gefärbt und die Bilder dann mit Combine
Überlagert, vielleicht weiß ja jemand was sich anfärbt, ich fand
es war ne interessante Spielerei, auch wenn's nicht so ästhetisch
Ist wie das meiste was ich hier sehe.







Frank S.

Hallo Herr Feller,
sie schreiben:

Zitat"Neben dem Nachweis spezieller Bakterien oder Viren mit Fluoreszenzmarkierten Antikörpern lassen sich auch spezielle Bakterien wie E. coli oder Pseudomonas durch fluoreszierende DNA-Sonden anfärben. So lassen sich z.B. gefährliche Keime in Nachrungsmitteln oder in Abwasser nachweisen."

Wie funktioniert dieser Nachweis?
Durch die DNA-Anfärbung habe ich ja noch keinen Nachweis auf eine bestimmte Bakterienart.
Gibt es hier bestimmte Färbeverfahren?

Noch eine Frage:
Wie ist es ihnen gelungen nur die Bakterien in Bild 1 zu färben ohne die die Ephitelzellkerne mit zu erwischen?

Gruss
Frank S.

Ralf Feller

Hallo der Nachweis spezieller Mikroorganismen geschieht mit DNA-Hybridisierung,
es wird eine DNA mit Fluoreszenzfarbstoff markiert, die genau ein spezifisches
Stück der DNA eines nachzuweisenden Organismus bindet. Damit lassen sich spezielle
Bakterien identifizieren (z.B. Schadkeime in Brauereiansätzen).

Ähnlich lassen sich ganze Abschnitte auf menschlichen Chromosomen untersuchen,
googeln Sie mal unter FISH-Technik (fluoreszenz insitu hybridisierung).

viele Grüsse aus Mülheim
Ralf Feller

Frank S.

Hallo Herr Feller,
haben sie zu dem Thema noch einen Literaturtip?
Oder kennen sie Zuordnungstabellen von Farbstoff zu DNA-Sequenz welche einen Organismus identifiziert?

Gruss
Frank S.

Ralf Feller

Hallo,
das eigentliche Reagenz ist die DNA-Sequenz die ihr Ziel findet,
der Farbstoff der daran hängt ist eigentlich egal, oft ist es FITC.
Es gibt nicht viele Firmen die soetwas für Bakterien anbieten, habe
einmal eine Münchner Firma ausprobiert und das hat gut funktioniert.
Wenn ich die Internetseite finde, stelle ich sie ein.
Eine gute Adresse für Hybridtechnik an Menschen war immer die
Firma VYSIS.

Gruss R. Feller

d65

Zitat von: Frank S. in April 15, 2009, 22:06:05 NACHMITTAGS
haben sie zu dem Thema noch einen Literaturtip?
Oder kennen sie Zuordnungstabellen von Farbstoff zu DNA-Sequenz welche einen Organismus identifiziert?

Hallo Frank,

auch wenn ich nicht angesprochen war: Einen ersten Einstieg zu FISH gibt die Wikipedia hier:
http://de.wikipedia.org/wiki/In-situ-Hybridisierung. Aus dem (dort erklärten) Prinzip geht hervor, dass die nachzuweisende DNA zunächst mal isoliert vorhanden sein muss. Anschließend wird sie markiert (PCR oder Nick-Translation), z.B. mit Fluoreszenzfarbstoffen, danach wird eine Denaturierung und anschließend die eigentliche Hybridisierung durchgeführt. In einem gut ausgestatteten Labor dauern die genannten Schritte etwa zwei Tage, wenn isolierte DNA vorhanden ist. Manche Firmen (Vysis) vertreiben auch fertig markierte Proben.

Für Hobby-Mikroskopiker würde ich die Technik eher nicht empfehlen - es ist doch ziemlich aufwändig.

Gruß

Steffen

Frank S.

Hallo Herr Feller,
noch eine abschließende Frage:
In ihrem ersten Bild wurden Bakterien mit Acrinorange gefärbt. (Hier wurde ja keine spezielle DNA-Sequenz mit dem Farbstoff gekoppelt).
Acridinorange verwendet man m. W. für die Fluoreszenzanfärbung von DNA/RNA.
Warum wurden dann die Zellkerne der Munschleimhaut nicht mitgefärbt und erscheinen in der Hintergrundfluoreszenz?

Gruss
Frank S.

Ralf Feller

Ich denke das die DNA von Oberflächenepithel schon recht denaturiert ist,
lebendfrisch gewonnene Tumorzellen leuchten sehr hell.

(Zu dem was Steffen sagte: es gibt Hybridisierungskids die ohne PCR auskommen,
eine selektive Markierung dauert etwa 3 Stunden und ist mit jedem Fluoreszenz-
mikroskop ablesbar und man braucht auch kein spezielles Labor, aber es gibt nur
wenige Sonden zu kaufen und welcher Hobbymikroskopiker muß auch schon
speziell z.B. den Eitererreger Staphylococcus aureus in einem Bierbrauansatz
nachweisen. Dennoch, da ich solch ein KID einmal zur Hand hatte, war es sehr
interessant Nahrungsmittel einmal einfach zu untersuchen.) Die Photos von der
Leber stammen direkt von einer "frisch" zum verkauf angebotenen Metzgerleber.

Tumorzellverband