Leberverfettung oder doch normale Fetttropfen?

Begonnen von Ronald Schulte, August 17, 2014, 21:49:33 NACHMITTAGS

Vorheriges Thema - Nächstes Thema

Ronald Schulte


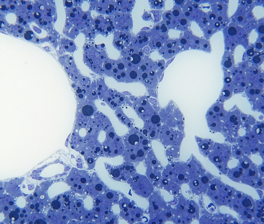
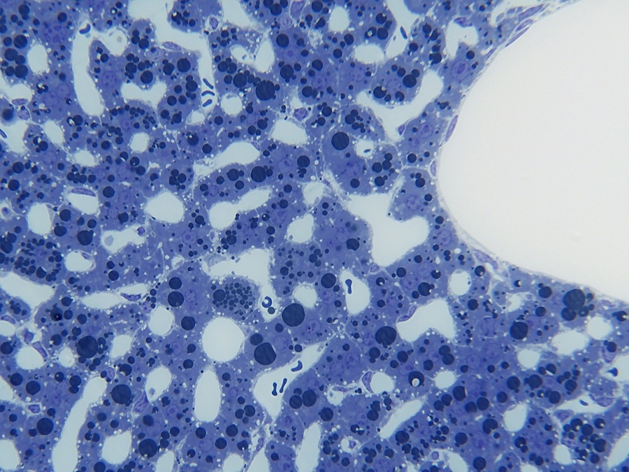
In ein Epon Leberschnitt vom Maus die Formalin/Glutaraldehyd Fixiert und Sekundär Osmiert wurde sehe ich viele Fetttropfen in die Hepatozyten.
Ist diese Menge noch immer Normal oder kann man schon von Verfettung sprechen?

Grusse Ronald





Mikroskope:
Leitz Orthoplan (DL, AL-Fluoreszenz und Diskussionseinrichtung).
Leica/Wild M715 Stereomikroskop.
Mikrotom:
LKB 2218 Historange Rotationsmikrotom.

Oecoprotonucli

Hallo Ronald,

Du stellst natürlich wieder interessante Fragen, aber anscheinend hat Deinen Beitrag bisher noch niemand gelesen, der umfangreichere Erfahrungen mit Mauslebern hat. Vielleicht kann jemand von den Humanpathologen/Histologen einen Vergleich ziehen?

War die Maus denn dick oder ein Säufer  ;) :D ?

Viele Grüße

Sebastian
Ich benutze privat:
Leitz SM-Lux mit (LED-) Durchlicht und Phaco-Ausrüstung (ca. 1975-77)
Hensoldt Wetzlar Stereomikroskop DIAMAL (1950er Jahre)

Heino Lauer

Lieber Ronald,

Deine Frage kann ich als Amateur so zwar nicht beantworten, aber ich glaube, das eine Übersichtsaufnahme erforderlich ist, um sich der Diagnose einer Leberverfettung nähern zu können.

Herzlicher Gruß

Heino

Florian Stellmacher

Lieber Ronald,

wie so oft bei Deinen fantastischen Schnitten ist die Morphologie für mich, der ich in der Paraffin-Histologie zu Hause bin, schon recht ungewöhnlich. Daher kann ich auch nur begrenzt Auskunft geben, obwohl Lebergewebe für mich beinahe ein tägliches Brot ist.

Ich habe gewisse Erfahrung mit Ratten, bei denen im Tierexperiment ein metabolisches Syndrom ausgelöst wurde. Diese zeigten recht rasch nach Beginn der hochkalorischen Ernährung eine deutliche mikrovesikuläre Verfettung der Hepatozyten, die im Verlauf enorme Ausmaße angenommen hat. Das von Dir hier gezeigte Lebergewebe ist davon noch meilenweit entfernt. Wie viel Fett in der Leber der Maus als physiologisch einzustufen ist, weiß ich aus dem Stehgreif nicht zu beantworten. Ich denke jedoch, dass Deine Maus nicht auf Diät gesetzt war und recht üppig versorgt wurde. Daher kann ich mir zumindest gut vorstellen, dass sie vermehrt Fett in die Leberzellen eingelagert haben.

By the way: Dies hat natürlich nichts mit der ethyltoxischen Fetteinlagerung der Leber zu tun, die wir beim trinkfreudigen Menschen finden.

Herzliche Grüße,
Florian

Vorwiegende Arbeitsmikroskope:
Zeiss Axioskop 2
Olympus BHS (DL, Pol, Multidiskussionseinrichtung)
Zeiss Axiophot (DIK und AL-Fluoreszenz)
Zeiss Axiovert (Fluoreszenz)
Wild M400 Fotomakroskop (DL, DF, AL, Pol)