HISTOLOGIE: Knochenbildung in sechs verschiedene Doppel- und Trichrom Färbungen

Begonnen von Ronald Schulte, September 15, 2014, 11:38:51 VORMITTAG

Vorheriges Thema - Nächstes Thema

Ronald Schulte

Mit diese Bilderserie hoffe ich das ich weitere Forum Mitglieder anregen kann um sich mal mit die Histologie zu beschäftigen. Es ist ein Hobby die nicht nur schöne Bilder liefert aber mehr ist es das wunderbare Gefühl das man in die Lage ist um Tierliches Gewebe so auf zu bereiten das man es auf Zell Niveau anschauen kann und lernt wie das Genom Funktioniert. Zu sehen das es tatsachlich so ist wie in Bucher beschrieben wird bringt auch mit sich mit das man besser in die Lage ist um zu begreifen wie das eigene Körper Funktioniert. Ich bin gerne bereit um mit rat bei zu stehen. Habe keine Angst das es schwierig ist, ich kann es ja auch und bin kein Arzt sondern einfach Flugzeugmechaniker.  

Ich möchte mal zeigen wie die Knochenbildung aussieht bei verschiedene Färbungen. Alle Färbungen sind gemacht an Paraffinschnitten von Fünf tagen alte Mauser die Fixiert sind in selber hergestelltes Bouin. Ich stelle al meine Farbstoffe selbst her und Filtriere es Regelmäßig. Bei grosse Schnitte wird meist Malinol genommen, kleinere decke ich gerne in Depex ein. Depex hat das große Vorteil das es Schnell aushärtet und sich sehr einfach abschneiden lasst so dass die Nachbearbeitung von ein OT sehr einfach ist. Mit Depex jedoch schließen sich sehr schnell Luftblasen ein und die wandern nicht von selbst aus. Malinol trocknet sehr langsam (Wochen) und die Nachbearbeitung von ein OT ist schwierig. Eingeschlossene Luftblasen wandern aber sehr einfach aus. Die Bilder sind gemacht am mächtigen Leitz Orthoplan mit Halogenbeleuchtung und Adaptierte Moticam 2300 Kamera.

Hier liegen meine Blöcke sicher aufbewahrt.





Knochenbildung (Ossifikation), (Sobotta Welsch, 2 Auflage, S136, 141-142),
Zwei verschiedene Wege bzw. Mechanismen führen zur Bildung von Knochengewebe:
1. Desmale Ossifikation;
2. Chondrale Ossifikation.


Desmale Ossifikation,
Eine Reihe von flachen Schädelknochen und die Klavikula (Schlüsselbein) entstehen durch desmale Ossifikation. Bei der desmalen (=direkten Knochenbildung) entsteht Knochengewebe unmittelbar aus eigenen Mesenchymzellen, die sich an gefäßreichen sog. Ossifikationspunkten konzentrieren und sich hier kontinuierlich zu Osteoblasten differenzieren. Die Osteoblasten bilden flächige Verbände und sezernieren zunächst Osteoid, also noch unverkalkte Matrix, die v.a. Proteoglykane, Glykoproteine und Kollagen vom Typ 1 enthält. Anschließend kommt es zur Verkalkung, also zur Ausfällung von Kalziumphosphat in Form des Hydroxylapatits. An der Oberfläche jedes Knochengewebes bleibt stets ein schmaler Osteoidsaum erhalten. Es entsteht so ein Netzwerk feiner Knochenbälkchen (Trabekel), die parallel zum Gefäßnetz angeordnet sind.

Chondrale Ossifikation,
Das Besondere der chondralen Knochenbildung ist, dass das zukünftige Skelettelement zuerst knorpelig angelegt wird. Dieses Knorpelstück wird dann in einem komplexen Prozess abgebaut und durch Knochengewebe ersetzt (indirekte Knochenbildung). Durch diesen Mechanismus entstehen die meisten Knochen des Körpers, z.B. die Extremitätenknochen und die Wirbel.


Osteoblasten,
Osteoblasten sind die Knochenmatrixbildenden Zellen wachsender und ausgereifter Knochen. Bei aktiven Wachstum liegen sie in epithelähnlicher Anordnung auf der Matrixoberfläche und besitzen kubische oder sogar prismatische Form.

Osteozyten,
Die Osteozyten sind in Lakunen der matrix eingelagerte, morphologisch veränderte Osteoblasten. Ihre zahlreichen Fortsätze bilden mit Fortsätzen benachbarter Osteozyten Nexus (=Verbindung) aus.

Osteoklasten,
Im lebenslangen Prozess des Umbaus und Neuaufbaus von Knochenmatrix übernehmen die Osteoklasten die Aufgabe der Resorption der verkalkten Matrix. Sie sind bis ca. 150µm große mehr- bis vielkernige Zellen, bis über 100 Kerne werden in einzelnen Osteoklasten gezählt.












Übersichtsbild, stitch von 73 Bilder, Objektiv Leitz Plan Fluotar 4x.
Horizontaler Schnitt von ein fünf tagen alte Maus. Schnittdicke 4µm.
Knochen werden Grün angefärbt. Färbung: Masson-Goldner.






Übersichtsbild Oberkiefer mit zwei Zahne, stitch von 16 Bilder, Objektiv Leitz Plan Fluotar 10x.
Sagittaler Schnitt von ein fünf tagen alte Maus. Schnittdicke 4µm.
Knochen werden Grün angefärbt. Färbung: Masson-Goldner.






Chondrale Ossifikation, die Osteoblasten und Osteoklasten sind deutlich zu erkennen.
Objektiv Leitz Plan Fluotar 25x.
Sagittaler Schnitt von ein fünf tagen alte Maus. Schnittdicke 4µm.
Knochen werden Grün angefärbt. Färbung: Masson-Goldner.






Chondrale Ossifikation.
Objektiv Leitz Plan Fluotar 25x.
Sagittaler Schnitt von ein fünf tagen alte Maus. Schnittdicke 4µm.
Knochen werden Grün angefärbt. Färbung: Masson-Goldner.






Übersichtsbild Wirbelkanal mit angeschnittenen Wirbelkörper und dazwischen viele Nerven, stitch von 32 Bilder, Objektiv Leitz Plan Fluotar 10x.
Sagittaler Schnitt von ein fünf tagen alte Maus. Schnittdicke 4µm.
Knochen werden Rot angefärbt. Färbung: Phosphorwolframsäure-Hämatoxylin (PTAH).






Übersichtsbild Oberkiefer mit drei Zahne, stitch von 10 Bilder, Objektiv Leitz Plan Fluotar 10x.
Sagittaler Schnitt von ein fünf tagen alte Maus. Schnittdicke 4µm.
Knochen werden Rot angefärbt. Färbung: Phosphorwolframsäure-Hämatoxylin (PTAH).






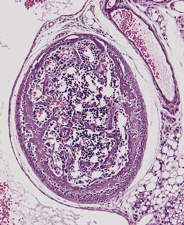
Knochenbildung mit Blutzellbildung, Objektiv Leitz Plan Fluotar 25x.
Sagittaler Schnitt von ein fünf tagen alte Maus. Schnittdicke 4µm.
Knochen werden Rot angefärbt. Färbung: Phosphorwolframsäure-Hämatoxylin (PTAH).






Übersichtsbild zeigt wo den Hirnstamm in Rückenmark übergeht, stitch von 6 Bilder, Objektiv Leitz Plan Fluotar 4x.
Sagittaler Schnitt von ein fünf tagen alte Maus. Schnittdicke 4µm.
Knochen werden Blau angefärbt. Färbung: Nach ein Rezept von Frank Burr Mallory aus 1900.






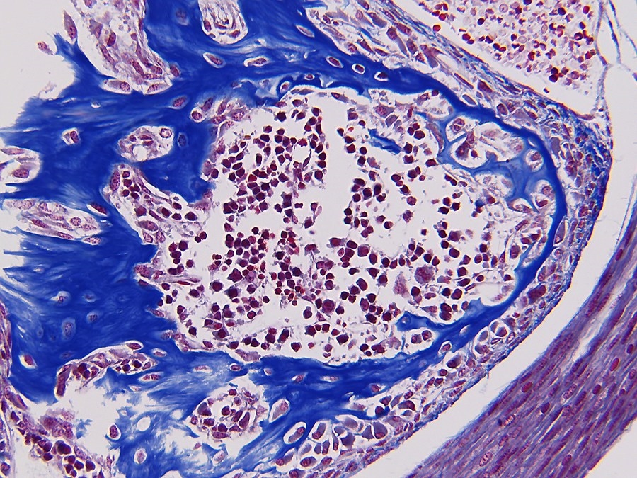
Übersichtsbild Oberkiefer, stitch von 4 Bilder, Objektiv Leitz Plan Fluotar 25x.
Beachte die Osteoklasten.
Sagittaler Schnitt von ein fünf tagen alte Maus. Schnittdicke 4µm.
Knochen werden Blau angefärbt. Färbung: Nach ein Rezept von Frank Burr Mallory aus 1900.






Knochenbildung mit Blutzellbildung, Objektiv Leitz Plan Fluotar 25x.
Sagittaler Schnitt von ein fünf tagen alte Maus. Schnittdicke 4µm.
Knochen werden Blau angefärbt. Färbung: Nach ein Rezept von Frank Burr Mallory aus 1900.






Übersichtsbild zeigt wo den Hirnstamm in Rückenmark übergeht, stitch von 6 Bilder, Objektiv Leitz Plan Fluotar 4x.
Sagittaler Schnitt von ein fünf tagen alte Maus. Schnittdicke 4µm.
Knochen werden Rot angefärbt. Färbung: Modifizierte ,Van Gieson'. (ich habe das Fuchsin gewechselt mit Thiazin da Fuchsin sehr Sauerempfindlich ist und darum rasch ausbleicht).






Knochenbildung im Oberkiefer. Links und rechts ist noch gerade etwas von Zahnbildung zu sehen, oben ein Quer geschnittenen Arterie, Objektiv Leitz Plan Fluotar 25x.
Sagittaler Schnitt von ein fünf tagen alte Maus. Schnittdicke 4µm.
Knochen werden Rot angefärbt. Färbung: Modifizierte ,Van Gieson'. (ich habe das Fuchsin gewechselt mit Thiazin da Fuchsin sehr Sauerempfindlich ist und darum rasch ausbleicht).






Knochenbildung im Oberkiefer, Objektiv Leitz Plan Fluotar 25x.
Sagittaler Schnitt von ein fünf tagen alte Maus. Schnittdicke 4µm.
Knochen werden Rot angefärbt. Färbung: Modifizierte ,Van Gieson'. (ich habe das Fuchsin gewechselt mit Thiazin da Fuchsin sehr Sauerempfindlich ist und darum rasch ausbleicht).






Übersichtsbild Maukopf mit vieles an Knochenbildung. Merke auch die viele angeschnittene Zahne im Ober- und Unterkiefer, stitch von 37 Bilder, Objektiv Leitz Plan Fluotar 4x.
Sagittaler Schnitt von ein fünf tagen alte Maus. Schnittdicke 4µm.
Knochen werden Blau angefärbt. Färbung: AZAN nach Heidenhain (merke das diese Färbung sich ähnelt mit die Mallorische Färbung).






Knochenbildung, merke die viele Osteozyten, Objektiv Leitz Plan Fluotar 25.
Sagittaler Schnitt von ein fünf tagen alte Maus. Schnittdicke 4µm.
Knochen werden Blau angefärbt. Färbung: AZAN nach Heidenhain (merke das diese Färbung sich ähnelt mit die Mallorische Färbung).






Übersichtsbild zeigt Wirbel und Rückenmark, stitch von 9 Bilder, Objektiv Leitz Plan Fluotar 10x.
Sagittaler Schnitt von ein fünf tagen alte Maus. Schnittdicke 4µm.
Knochen werden Rosa angefärbt. Färbung: Klassische Hämatoxylin nach Gill und Eosin.






Wirbel mit Blutzellbildung, stitch von 6 Bilder, Objektiv Leitz Plan Fluotar 25x.
Sagittaler Schnitt von ein fünf tagen alte Maus. Schnittdicke 4µm.
Knochen werden Rosa angefärbt. Färbung: Klassische Hämatoxylin nach Gill und Eosin.




Viel Spaß beim Anschauen, Grüße Ronald
Mikroskope:
Leitz Orthoplan (DL, AL-Fluoreszenz und Diskussionseinrichtung).
Leica/Wild M715 Stereomikroskop.
Mikrotom:
LKB 2218 Historange Rotationsmikrotom.

Peter Herkenrath

Hallo Ronald,

diese Bilder machen wirklich Lust auf Histologie. Gleich die ersten beiden mit der Masson-Goldner-Färbung sind ohne Ende schön, eine bessere Werbung für die Histologie gibt es nicht. Trotzdem wird deine Missionierungskampagne wenig Erfolg haben. Denn wir Mikroskopiker sind ja insgesamt nur wenige, und diese wenigen verteilen sich noch auf verschiedene Disziplinen. Wobei die Histologie den Nachteil hat, dass man sich die Paraffinschneide-Technik erarbeiten  muss. Dazu muss man nach dem teuren Mikroskop noch ein teures Mikrotom, teure Wärmetechnik und giftige Chemikalien anschaffen.

Bei mir hakt es jetzt daran, dass mein Verein den Schwerpunkt auf der Botanik hat, weshalb es in der Histologie für mich kaum Anleitung und Unterstützung gibt.

Grüße, Peter


Fahrenheit

Lieber Ronald,

vielen Dank für Deinen lehrreichen Beitrag und die tollen Bilder.
Ich habe ihn gerne gelesen - sehr interessant!

Leider gibt mein Arbeitsplatz und meine Ausrüstung eine eingehendere Beschäftigung mit der Histologie tierischer Gewebe nicht her.

Herzliche Grüße
Jörg
Hier geht's zur Vorstellung: Klick !
Und hier zur Webseite des MKB: Klick !

Arbeitsmikroskop: Leica DMLS
Zum Mitnehmen: Leitz SM
Für draussen: Leitz HM

koestlfr

Lieber Ronald!

Sensationell schöne Bilder und interessantes Thema! Danke für die Mühe!

Ich möchte zu Peter ergänzen, man muss auch an die Proben kommen, die Hardware haben ohnehin viele von und.....

Liebe Grüße
Franz
Liebe Grüße
Franz

Ronald Schulte

@Jörg, Peter und Franz

Danke für euren Lob.
Natürlich weis ich das man Geräte, Materialien und Gewebe haben muss aber ich habe auch kein Histologisches Labor und bin angefangen am Kuchentisch.
Das ich jetzt zwei teure Motorische Mikrotome dazu habe ist überhaupt kein 'muss sein'. Mein Handgetriebenes A&O 820 gebrauche ich noch immer für Paraffin Schnitte und die Funktioniert Perfekt. Hat mich €500,- gekostet und der verschleißt nie. Wärmegeräte, Wage, Magnetrührer usw muss nicht alles neu gekauft werden. Ich habe z.B. ein Paraffin Wasserstreckbad von ein Forum Mitglied bekommen die nicht mehr so Hip aussieht (Leica hat jetzt viel schönere im Programm) aber es Funktioniert Tadellos.
Auch Chemikalien bekomme ich immer schlechter aber mit etwas Behändigkeit kann man fast alles bekommen was man braucht. Auch braucht man nicht gleich z.B. das sehr Giftige QuecksilberIIChlorid ein zu setzen. Viele Farbstoffe sind nicht Giftig aber Farben die Finger auch sehr schön Rot oder Blau. Herunterschlucken soll man es nicht aber das macht doch auch keine. Histologisches Gesundes Gewebe bekommen ist auch sehr einfach. Man kauft sich was Mauser oder eine Ratte im Tierladen und man hat für das Ganze Histologisches Jahr genug Material. Kostet nur €4- bis 6,-
Was man wohl haben muss ist Geduld. Ein Tümpel Präparat kann vielleicht in einige Minuten hergestellt werden, ein Gewebeblock herstellen und den gefärbten Schnitt ansehen dauert Wochen bis Monate.
Schaue mal auf eBay was da alles zu bekommen ist.

Grüße Ronald
Mikroskope:
Leitz Orthoplan (DL, AL-Fluoreszenz und Diskussionseinrichtung).
Leica/Wild M715 Stereomikroskop.
Mikrotom:
LKB 2218 Historange Rotationsmikrotom.