Zoologie: Abdomen einer Wespe 1, hier Mitteldarmsekretion

Begonnen von Jürgen H., Oktober 26, 2014, 20:38:45 NACHMITTAGS

Vorheriges Thema - Nächstes Thema

Jürgen H.

Liebe Mitmikroskopiker,

Zur Zeit beschäftige ich damit, ein in Paraffin eingebettetes Wespenabdomen zu schneiden. Die Wespe wurde in alkoholischem Bouin fixiert und über Isostufen und N-Butanol in Paraffin eingebettet, sodann frontal in 4 µ Stärke auf einem Schlittenmikrotom geschnitten.

Hier zunächst aus dem Netz ein Übersichtsbild eines Insektenabdomens:



Md ist der hier behandelte Mitteldarm. Zur Eintrittsstelle der Malpighischen Gefäße MG eventuell in einem späteren Beitrag, ebenso zu den Ovarien OV

Und hier noch die Übersicht des Darms:




Einen herauspräparierten Wespendarm hatte ich bereits einmal gezeigt:



und in diesem Zusammenhang auch den grundsätzlichen Aufbau des Mitteldarms von einigen Insekten dargestellt:

https://www.mikroskopie-forum.de/index.php?topic=17715.0



Hier geht es mir jetzt um die Sekretion in das Darminnere. Ein wenig Theorie vorab: Die Darmzellen dienen nicht nur der Aufnahme der Nahrung sondern stellen auch die Verdauungssäfte bereit. Diese werden im Inneren der Darmzellen gebildet und auf verschiedene Weise  ins Darminnere  abgegeben. Das Sekret kann z.B.  in winzigen Sekrettröpfchen durch den Mikrovillisaum ins Darminnere heraustreten. Die Darmzelle selbst scheint dabei unberührt zu bleiben: sog. merokrine Sekretion. Eine zweite Möglichkeit der Sekretabgabe besteht darin, dass ein  Abschnitt der Zelle im Ganzen als großer Sekrettropfen in den Darm abgeschnürt wird: sogenannte apokrine Sekretion. Zum Dritten kann die Sekretabgabe auch dadurch erfolgen, dass die gesamte Darmzelle aufgelöst wird und mit allen Inhaltsstoffen insgesamt ins Darminnere zerfällt.

Ein Bild, hier aus Seifert "Entomologisches Praktikum", sagt mehr als tausend Worte:



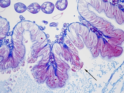
Grau aber ist alle Theorie und die Bezeichnung der folgenden Schnitte hinsichtlich der Sekretion fällt mir nicht leicht. Zunächst einmal ein Photo eines großen Abschnitts, aufgenommen mit dem 10er:



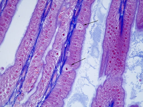
Das Darminnere verläuft von links unten nach rechts oben. Die beiden mit Pfeilen bezeichneten Stellen möchte ich etwas näher zeigen. Zunächst die Stelle links (Aufnahme mit dem 40er):



Und hier die Stelle rechts:


Meines Erachtens sind das klare Beispiele einer völligen Zerstörung der Darmzellen. Zellkerne sind nicht mehr erkennbar. Stattdessen sehen wir nur viele einzelne rote Granula (Reste des Zellkerns?) Insbesondere beim unteren Bild sind die Zellen beim oberen und unteren Pfeil völlig aufgelöst. Aber war hier eine holokrine Sekretion, oder handelt es sich vielmehr nur um erschöpfte verbrauchte Darmzellen?

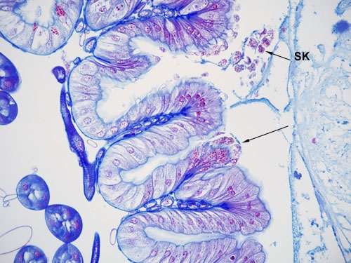
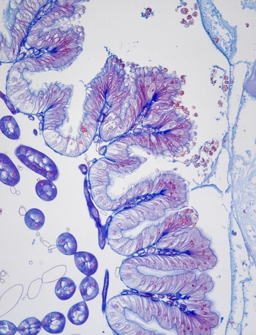
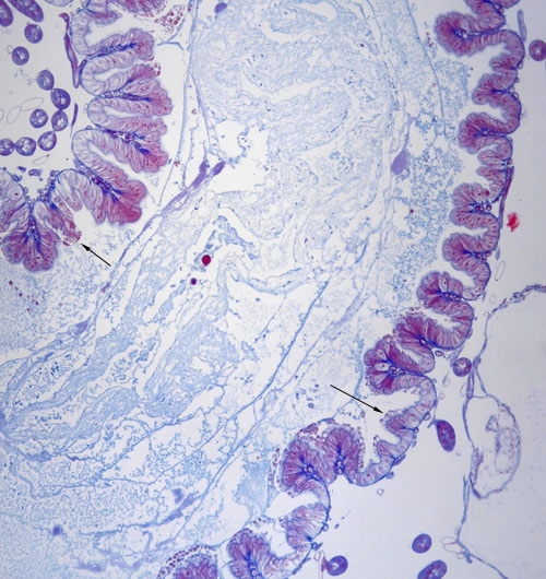
Hier eine andere Stelle: Das Darminnnere ist rechts, links sind einige Malpighische Gefäße quer geschnitten, auch sind ein paar kleinere Tracheen zu sehen (graue kreisartige Gebilde)



Sekretionslos ist offenbar der Darmabschnitt im unteren Teil des Bildes, Abschnitte mit Sekretion und ohne wechseln sich also ab:



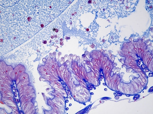
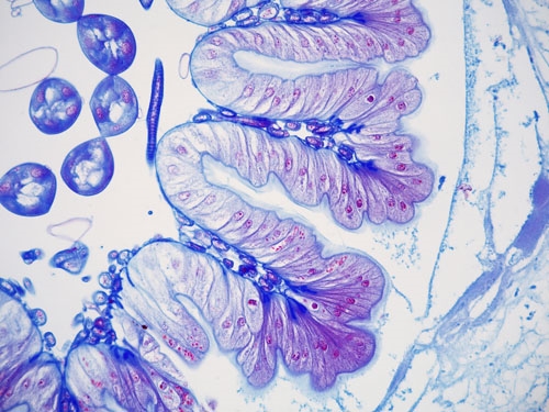
Etwa in der unteren Mitte der Übersicht geht hingegen anscheinend ein gesamter Darmabschnitt aufgelöst ins Darminnere über, die abgegebene Auflösungsprodukte bleiben als kugelartige Gebilde offenbar länger erhalten:


Hier noch ein Bild aus einem anderen Darmabschnitt:



Ich mag mich täuschen, aber hier scheint mir zumindest auch eine apokrine Sekretion beteiligt zu sein. Denn trotz der lebhaften Abgabe von Sekretkugeln sind teilweise die darunterliegende Zellen mit unberührten Zellkernen vorhanden.

Zuletzt noch ein Bild, bei dem die Wülste der Darmzellen  nur angeschnitten sind:



Bei den mit Pfeil gekennzeichneten Stellen bin ich mir nicht sicher: Die Zelle verwandelt ihre Palisadenform ins Rundliche, das Zellinnere scheint mir bereits aufgelöst zu sein, das Chromatin des Zellkerns ist zu einer undefinierten Masse verschmolzen. Vorbereitendes Stadium einer holokrinen Sekretion?

Ich hoffe, die vielen Bilder sprengen nicht den Rahmen des Forums....

Viel Freude beim Betracht wünscht Jürgen


Klaus Herrmann

Lieber Jürgen,
weit entfernt davon einen ordentlichen fachlich fundierten Beitrag zu leisten, kann ich nur sagen: traumhafte Schnitte und eine Azan(?)-Färbung, die den Professor Heidenhain zu höchstem Lob angeregt hätte!
Schön wäre bei der Qualität größere Bilder zu sehen!
Mit herzlichen Mikrogrüßen

Klaus


ich ziehe das freundschaftliche "Du" vor! ∞ λ ¼


Vorstellung: hier klicken

Jürgen H.

Lieber Klaus,

danke für Deine Worte. In der Tat habe ich mich bei diesen Schnitten an der Azan Heidenhain Färbung versucht. Ich finde sie insbesondere wegen der scharfen Wiedergabe des Bindesgewebes wunderschön.

Schöne Grüße

Jürgen

Ronald Schulte

#3
Jürgen,

Topp das mal wider was interessante Histologie gezeigt wird.

Das die Zelle nicht selber zerstört wird durch die Verdauung Enzyme kennen wir ja auch schon von den Menschlichen Pancreas. Das Granulat ist Zymogen und wird erst im Darm Aktiv.
Kann gut sein das es bei Insekten genau so Funktioniert.

Um sicher zu gehen ob es tatsachlich Enzyme sind sollte man eigentlich ein Enzym Nachweis machen müssen aber das kannst du denke ich auch nicht (so geht es mir leider auch).

In dein letztes Bild konnte es sich auch um Stammzellen handeln. Die Zellschicht wird ja oft Regeneriert und dann müssen Stammzellen auch da sein.


Grusse Ronald

ps hast du schon mal was Gewebe in Technovit eingebettet? Ist dein Mikrotom wider Funktionsfähig?
Mikroskope:
Leitz Orthoplan (DL, AL-Fluoreszenz und Diskussionseinrichtung).
Leica/Wild M715 Stereomikroskop.
Mikrotom:
LKB 2218 Historange Rotationsmikrotom.

Jürgen H.

Ronald, Deine Idee, es könnte sich im letzten Bild um Regenerationszellen handeln, ist gut. Zwar findet bei der Honigbiene - einem anderen Hautflügler - die Regeneration aus sogenannten Regenerationsnestern statt, also Ansammlungen von Zellen, aus denen das Darmepthel erneuert wird. Ich sehe heute abend einmal nach, ob ich hiervon nicht auch ein Präp. habe.

Aber ich finde in der Literatur beschrieben, dass bei verschiedenen  Insekten auch einzelne Zellen und nicht Zellgruppen die Funktion der Regeneration übernehmen.

Schöne Grüße

Jürgen

Jürgen H.

Ronald,

hier noch ein Bild von sogenannten Regenerationsnestern (schwarzer Pfeil) -  bei apis m. Dort sind es  also sich basal an der membrana propria  entwickelnde Jungzellen.



Das ist übrigens ein Technovitschnitt durch einen herauspräparierten Darm der Biene. Technovit scheint sich mir aber  nicht so gut für ganze Insekten oder Insektentagmata zu eignen. Entweder ist die Durchdringung des Insekts mit Technovit nicht wirklich gut oder die Polymerisation läuft innerhalb des Integuments schlecht ab. Außerdem scheint es eine massive Veränderung der chitinösen Strukturen zu geben.

Schöne Grüße

Jürgen

Ronald Schulte

Jürgen,

Ja die Morphologie sieht nicht all zu gut aus. Meine Erfahrung mit die Durchdringung von Technovit in Gewebe ist eigentlich Gans in Ordnung nur habe ich niemals was zu tun mit Chitin und das ist natürlich eine andere Sache. Versuche doch nochmal mit Dieter in Kontakt zu kommen, der hat vielleicht schon eine Lösung gefunden!

Grusse Ronald
Mikroskope:
Leitz Orthoplan (DL, AL-Fluoreszenz und Diskussionseinrichtung).
Leica/Wild M715 Stereomikroskop.
Mikrotom:
LKB 2218 Historange Rotationsmikrotom.