HISTOLOGIE: Zahnbildung, Ameloblasten, Odontoblasten, Dentin und Schmelz.

Begonnen von Ronald Schulte, Februar 16, 2015, 13:21:03 NACHMITTAGS

Vorheriges Thema - Nächstes Thema

Ronald Schulte

Zahnbildung:




Die Zahnbildung geht vom Ektomesenchym aus.
Bei der Entwicklung der Zähne unterscheidet man folgende Stadien: Knospen-, Kappen-, Glocken- und das Kronenstadium. Die hier gezeigten Bilder stammen aus das Glockenstadium.

Die Odontoblasten bilden das unverkalkte Prädentin woraus sich das verkalkte Dentin Bildet.
Dentin kann zeitlebens von den Odontoblasten gebildet werden und besteht wie Knochen aus organischem Material, insbesondere Kollagen vom Typ 1 und zu 70% aus anorganischem Hydroxylapatit.
Die Ameloblasten bilden das Schmelzprisma. Ameloblasten sind lange enge Zellen mit ein längliche hellen Kern. Apikal enthält die Zelle zahlreiche Sekretionsgranula sowie Lysosomen und bildet einen Fortsatz, den Tomes-Fortsatz.
Der Schmelz wird nur während der Zahnentwicklung von den Ameloblasten des inneren Schmelzepithels gebildet und besteht zu ca. 95% aus anorganischen Komponenten, vor allem aus dem Hydroxylapatit. Schmelz bildet die Außenbedeckung der Zahnkrone.









Alle Bilder sind gemacht am mächtigen Leitz Orthoplan mit Moticam 2300 Kamera.


Zahnglocke von eine fünf Tagen alte Maus.
Farbung: PTAH (Phosphorwolframsäure-Hämatoxylin nach Mallory);
Objektiv: Leitz Plan Fluotar 16x.








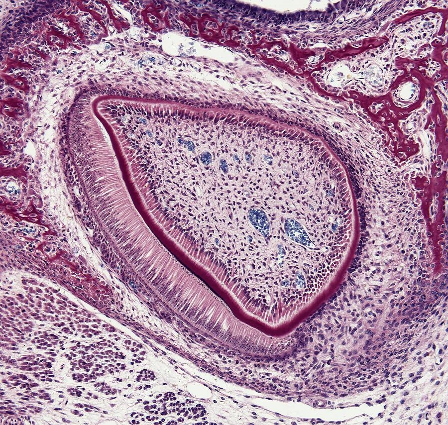
Detail Zahnglocke.
Farbung: PTAH (Phosphorwolframsäure-Hämatoxylin nach Mallory);
Objektiv: Leitz Plan Apo 40x.

1 = Schmelzpulpa;
2 = Stratum intermedium;
3 = Ameloblasten (inneres Schmelzepithel);
4 = Sekretgranulum;
5 = Schmelz;
6 = Dentin;
7 = Prädentin;
8 = Odontoblasten;
9 = Zahnpapille (früheZahnpulpa).








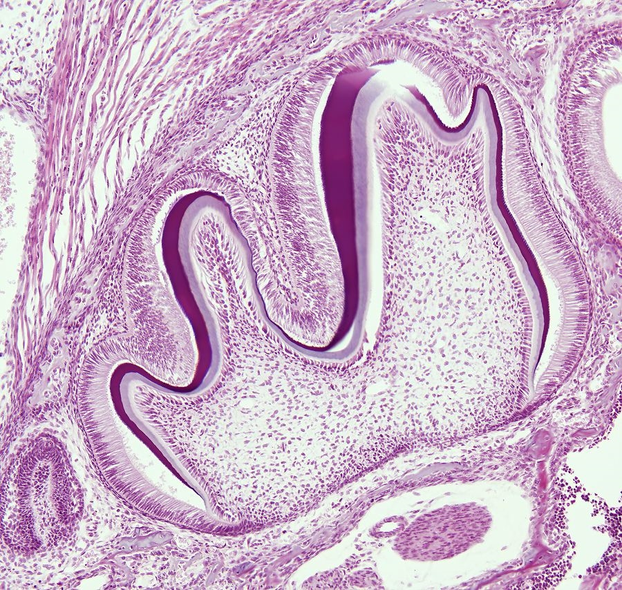
Zahnglocke.
Farbung: Haematoxylin/Eosin;
Objektiv: Stitch von sechs Bilder, Leitz Plan Fluotar 16x.








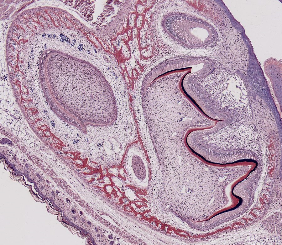
Zwei Zahnglocken.
Farbung: Masson Goldner;
Objektiv: Stitch von zehn Bilder, Leitz Plan Fluotar 16x.








Drei Zahnglocken.
Farbung: PTAH (Phosphorwolframsäure-Hämatoxylin nach Mallory);
Objektiv: Stitch von zehn Bilder, Leitz Plan Fluotar 10x.








Detail,
Schmelz = Rot, Dentin = Blau.
Farbung: AZAN nach Heidenhain;
Objektiv: Leitz Plan Fluotar 25x.








Detail,
Schmelz = Braun, Dentin = Rot.
Farbung: ,van Gieson';
Objektiv: Leitz Plan Fluotar 25x.








Detail,
Schmelz = Rot, Dentin = Grün.
Farbung: Masson Goldner;
Objektiv: Leitz Plan Fluotar 25x.





Viel Spaß beim Anschauen, grüße Ronald
Mikroskope:
Leitz Orthoplan (DL, AL-Fluoreszenz und Diskussionseinrichtung).
Leica/Wild M715 Stereomikroskop.
Mikrotom:
LKB 2218 Historange Rotationsmikrotom.

Fahrenheit

Lieber Ronald,

vielen Dank für Deinen spannenden Beitrag! Gut erklärt mit erstklassigen Fotos - so macht Histologie auch Botanikern Spaß. :)

Herzliche Grüße
Jörg
Hier geht's zur Vorstellung: Klick !
Und hier zur Webseite des MKB: Klick !

Arbeitsmikroskop: Leica DMLS
Zum Mitnehmen: Leitz SM
Für draussen: Leitz HM

Jan Kros

Hallo Ronald,
Ich schliesse mich Joerg an.
Wunderschoene Schnitte undgut dokumentiert
Lieber Gruss
Jan

MarkusP

Hallo Roland,
vielen Dank für die ausführliche Erklärung und Darstellung.
Solche Bilder von einem Zahn habe ich noch nie gesehen.
Meine Arbeitsmikroskop:
Zeiss Standard 14 mit Phako und Fototubus

Vorstellung: Hier klicken

Ralf Feller

Lieber Ronald,
das ist doch "Paraffin-Histologie"? Ich frage nur weil ich so klare Details sonst eigentlich nur von (deine) Semidünnschnitten kenne.
Wie alle Arbeiten von Dir einfach klasse.

Gruß Ralf

Manfred

Hallo Ronald

So sieht also ein Blendaxlächeln unterm Mikroskop aus.

Tolle Aufnahmen, ich bin begeistert.

Wieder ein Grund mehr , die Zähne gut und regelmässig zu pflegen.

Gruss Manfred

Sascha D. F.

Hallo Ronald,

könntest Du nochmal das Färbeprotokoll zur Phosphorwolframsäure-Hämatoxylin-Färbung nach Mallory veröffentlichen?
LG
Sascha

Ronald Schulte

@Ralf,

Habe ich vergessen um dabei zu schreiben. Hier handelt es sich um Paraffin Schnitte von 4µm. Paraplast Plus geschnitten am A&O 820 Mikrotom mit Leica 818 Hochprofil Messer.
Semi Schnitte zeigen natürlich viel mehr Detail nur hat man da nicht die Möglichkeit um so schön Farbig zu Farben. Da bleibt es begrenzt mit Basisches Toluidin, ab und zu hegt HE auch und einige Histochemische Färbungen.


@Sascha,

PTAH (Fosforwolfraamhaematoxyline)

- Paraffinecoupes in Xylol, absteigende Ethanolreihe in Wasser bringen, 4 Minuten Stufen;
- Oxidiren in Kaliumpermanganat 0,25%, 10 Min;
- Spulen AD;
- Oxalsaure 5% (mangaandioxid entfernen), 10 Min;
- Spulen AD;
- Fosforwolfraamhaematoxyline, 16 Stunden (RT);
- Ethanol 96% (also nicht zuerst mit AD spulen), ≈ 1 Min;
- Ethanol 96 %, 1 Min;
- Isopropanol 100% 2x, 4 Min;
- Xylol 1, 4 Min;
- Xylol 2, 4 Min;
- Einschließen in z.B. Depex, Malinol, Euparal oder sonstiges.
   

Fosforwolfraamhaematoxyline:
- A: 1g  haematoxyline unter erwärmen lösen in 50ml AD;
- B: 20g fosforwolfraamsaure lösen in 50ml AD;
- A und B mischen und einige Wochen reifen lassen (eventuell Künstlich reifen durch Zugabe von 0,177g Kaliumpermanganat).
(es ist günstig um das reifen in z.B. ein offenes Erlenmeyer zu machen und die ab und was zu schütteln. Abdecken mit z.B. ein umgekehrtes Kaffeefilter)

Grüße Ronald
Mikroskope:
Leitz Orthoplan (DL, AL-Fluoreszenz und Diskussionseinrichtung).
Leica/Wild M715 Stereomikroskop.
Mikrotom:
LKB 2218 Historange Rotationsmikrotom.

Holger Adelmann

Hallo Ronald,

wieder ein dickes Kompliment.
Deine Bilder und Erklärungen sind wiederum Spitzenklasse!

Es macht immer viel Spass, Deine schönen Arbeiten zu verfolgen.

Herzliche Grüsse,
Holger


reblaus

Hallo Ronald -

deine fantastischen Schnitte zusammen mit der soliden Dokumentation sind wirklich einmalig!

Weiterhin viel Erfolg!

Rolf

Ronald Schulte

@Allen,

Danke für euren Lob. Ja was mein Altes Eisen Mikrotom (A&O) noch leisten kann freut mich auch.

Grüße Ronald
Mikroskope:
Leitz Orthoplan (DL, AL-Fluoreszenz und Diskussionseinrichtung).
Leica/Wild M715 Stereomikroskop.
Mikrotom:
LKB 2218 Historange Rotationsmikrotom.