Histologie: physocephala rufipes Abdomen, männliche Fülle?

Begonnen von Jürgen H., August 03, 2015, 21:44:16 NACHMITTAGS

Vorheriges Thema - Nächstes Thema

Jürgen H.

Liebe Mitmikroskopiker,

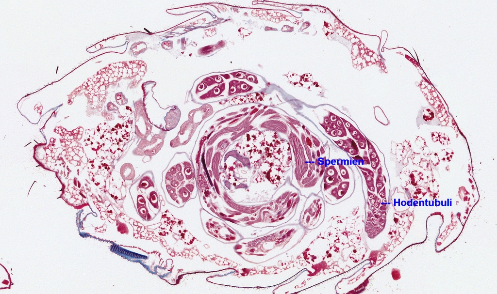
Das Abdomen des im Betreff genannten Tierchens, einer Conopide oder Dickkopffliege habe ich gerade unter dem Mikrotommesser. Dabei zeigt sich ventral eine Struktur



die ich an der mit Pfeil versehenen Stelle ein wenig herangezoomt habe (40er Objektiv)



Es handelt sich offenbar um einen längeren gewundenen tubulären Hohlkörper der im Übersichtsbild mehrfach angeschnitten ist. Bei 1 zeigt sich ein Gewebe, das sich an einigen Stellen am Rand des Hohlkörpers befindet (sparsame Muskulatur, die den Tubulus umgibt?) 2 zeigt auf die dünne, teils blau teils beige gefärbte Basalmembran?, 3 auf einen länglichen zigarrenförmigen Zellkern des Hüllgewebes. Als Inhalt des Hohlkörpers zeigen sich stark rot gefärbte fädige Gebilde mit schwach ausgebildeten Köpfchen?, wobei auffällt, dass randständig wenig von den fädigen Gebilden zu sehen ist, wohl aber eine Vielzahl von rot gefärbten Punkten (Köpfe? Querschnitte?), weiterhin, dass sich die Fäden  in der Mitte in einer grau gefärbten Matrix befinden, während die randständigen Bereiche hell geblieben sind.

Ich halte die roten Fäden jedenfalls für Samen eines männlichen Tiers. Hoden mit Entwicklungsstadien habe ich allerdings bisher nicht gefunden. Ich vermute, dass Schnitte durch Ausführungsgänge der Hoden vorliegen, vasa deferentia oder Verdickungen dieser Ausführungsgänge, Samenbläschen, in denen die Spermien gesammelt auf Vorrat gehalten werden. Diese Tubuli müssten dann allerdings nach den bisherigen Schnitten zu urteilen eine beträchtlich Länge aufweisen. Gibt es etwas, was gegen die Vermutung spricht?

Paraffinschnitt etwa sagittal, 4 µ, Färbung Azan Heidenhain.

Weitere Schnitte werden noch folgen, ich bin gespannt.

Schöne Grüße

Jürgen Harst

Nachtrag:

Es handelt sich um ein älteres Tier, dass ich im vorigen Jahr gefangen habe. .

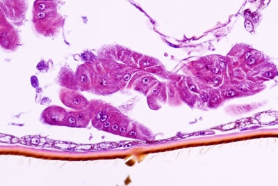
Fettköper habe ich bisher kaum gefunden, vielleicht handelt es sich bei 5 um Restbestände. Die Zellen 6 sind mir ebenfalls unklar. Hat jemand vielleicht eine Vermutung hierzu?

Holger Adelmann

Lieber Jürgen,

schöne Fotos,

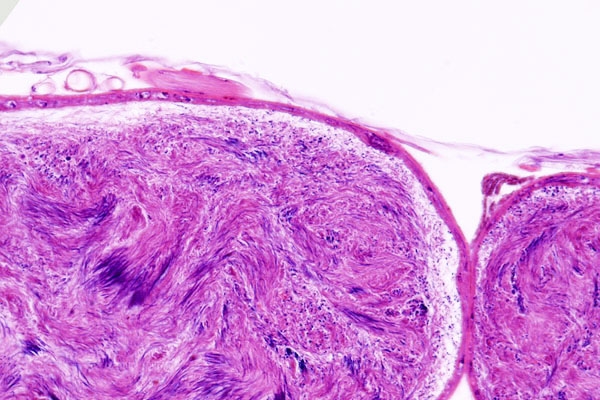
die fädigen Strukturen (Pfeil) halte ich ebenfalls für Spermien, das sieht - finde ich - genauso aus wie in einem Schnitt durch das Abdomen einer männlichen Drosophila hydei (siehe Bild).

Herzliche Grüsse,
Holger


Jürgen H.

#2
Lieber Holger,

das ist ja ein schönes Bild eines knäuelartig gewundenen Hodens, vielen Dank! Einzelne Stadien der Spermiogenese sind gut und geradezu schulmäßig zu erkennen, wie auf dieser Wandtafel hier aus dem Netz:

Man muss sich nur den längs gestreckten Hoden auf der Tafel als Knäuel gewunden vorstellen, mit den letzten Stadien der Spermiogenese innen.

So zeigt sich aber auch ein entscheidender Unterschied zu dem Befund in meinem Bild:

An der Stelle, die Du mit Spermien bezeichnet hast, liegen die Spermien schön in Bündeln geordnet in ihren Zysten, wahrscheinlich unipolar, also alle mit ihren Köpfchen bzw den Geißeln  in die gleiche Richtung. Bei mir liegen die Spermien hingegen ziemlich ungeordnet, abgesehen von den beschriebenen Randbereichen. Daher gehe ich davon aus, dass ich mich bereits außerhalb des Hodens in einem Ausführungsgang bzw. einer Samenblase befinde.

Schöne Grüße

Jürgen

Peter Herkenrath

Hallo Jürgen,

hier ist als Ergänzung zu deinem Beitrag ein gemeinfreies Foto einer Conopide aus der englischen Wikipedia und ein spannender Bericht über die Lebensweise der Tiere (in englischer Sprache).

Grüße, Peter






http://roadsidescience.com/2013/11/07/meet-the-conopid-fly-a-bumblebee-horror-story/

Ronald Schulte

Jürgen,

Herrlich um zu lesen, endlich mal wieder was Histologisches im Forum  ;).

Ich vermute auch Spermien aber das ist nur eine Vermutung.
Wäre vielleicht was um ein ungefärbten Schnitt zu In-kubieren mit DAPI und es im Fluoreszenz Mikroskop unter UV zu betrachten.
DAPI verbindet sich sehr leicht an DNA haltige Strukturen und das muss in das Samen reichhaltig vorhanden sein.
Könnte ich für dich machen wenn du möchtest. Brauchte dafür nur zwei nicht entparaffinierte Schnitte.
Wenn du aber das Gewebe mit Bouin Fixiert hast wird das leider nicht mehr Funktionieren.

Ich habe versucht um die Zellen 6. in ein Drosophila Larven Schnitt zu finden aber die sind nicht vorhanden.

Grüße Ronald
Mikroskope:
Leitz Orthoplan (DL, AL-Fluoreszenz und Diskussionseinrichtung).
Leica/Wild M715 Stereomikroskop.
Mikrotom:
LKB 2218 Historange Rotationsmikrotom.

Jürgen H.

Lieber Peter,

herzlichen Dank für Deinen Link mit der schönen Darstellung der parasitären Entwicklung der Dickkopffliegen! Ein Entomologe gab mir einmal einen Hinweis hierauf. Das war der Anlaß für die Untersuchung. So schön, wie in diesem Artikel habe ich darüber noch nicht gelesen....

Lieber Ronald,

Danke für Dein Angebot. Mein Tierchen ist aber in alkoholischem Boin fixiert, nach Deiner Darstellung gibt es also nichts mit DAPI.


Ich glaube auch an Spermien. Eigentlich stellt sich für mich nur noch die Frage: Wo sind die Hoden? Das wird sich hoffentlich im Verlauf der weiteren Schnitte klären. Im Moment komme ich leider zeitlich wieder nicht zum Schneiden.

Ich kann im Augenblick noch nicht einmal ausschließen, dass die im Bild dargestellte Stelle nicht bereits ein Endstück eines Hodens ist. So schön geordnet, wie auf dem Wandtafelbild oben läuft es offenbar nicht bei allen Insekten ab. Hier ist ein weiteres Bild, diesmal eine Zeichnung eines Hodens von Stomoxys calcitrans (Gemeine Stechfliege) des von mir sehr verehrten entomologischen Zeichenkünstlers Boris Jobling. Unglaublich, wie präzise diese Zeichnungen sind.



Ich möchte vermuten, dass die Zellen bei Ziff. 6 oben im Kopfbeitrag  Blutzellen (Hämozyten) sind, habe sie in dieser Gestalt jedoch noch nie gesehen. Aber vielleicht kennt sie doch noch ein Kundiger....

Schöne Grüße

Jürgen

Holger Adelmann

Lieber Jürgen,

die Spermatogenese und Spermiogenese von Fliegen ist sehr interessant.
Ich habe vor vielen Jahren Drosophila hydei untersucht (Zuchtansätze gibt's bei genetischen Instituten vieler Unis).
Diese Art hat generell grosse Chromosomen, besonders interessant sind aber die grossen Kerne der Spermatozyten, in denen das Y-Chromosom interessante Strukturen zeigt, die mit den Lampenbürsten-Stadien der Chromosomen vieler Amphibien verglichen werden. Eine schöne Arbeit gibts hierzu von Friedhelm Göltenboth im Mikrokosmos 7 / 1977.
Die Hodenspiralen werden aus dem Abdomen der Männchen isoliert und in Drosophila Ringer (gepufferte Salzlösung) zerzupft und dann im Phaco mikroskopiert (wegen der sehr geringen Phasendifferenzen geht der empfindliche Phaco besser als DIC - schön ist hier auch negativer Phasenkontrast).
Aus der Arbeit von Göltenboth habe ich mir erlaubt, 2 Schemata zu kopieren, ausserdem hänge ich eigene Photos an (Leitz Orthoplan, Plan Apo 63 / 1.40 Phaco).

Viel Spass beim anschauen & herzliche Grüsse,
Holger

Schema 1



Schema 2



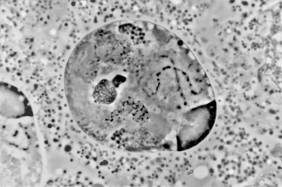
Kern 1 mit den typischen Strukturen:



Kern 2 mit den typischen Strukturen:





Jürgen H.

Lieber Holger,

ganz herzlichen Dank für den schönen Hinweis auf die Besonderheiten der Spermatogenese bei den Fliegen. Den MK Artikel habe ich mir schon ausgedruckt.

Bei der Gelegenheit fiel mir die Bezeichnung Drosophila Ringer auf. Nun ist einsichtig, dass jedes Insekt seine eigene Ringerlösung brauchen könnte. Aber wie wird eigentlich die Zusammensetzung der passenden Ringerlösung ermittelt?

Schöne Grüße

Jürgen

Holger Adelmann

#8
Lieber Jürgen,

so eine Ringerlösung soll ja ein einfacher Ersatz für die jeweilige Körperflüssigkeit darstellen.
Der wichtigste Aspekt ist die Isotonie, das heisst abgestimmte Salzkonzentrationen damit die Zellen (osmotisch) weder schrumpfen noch schwellen.
Die Salzgehalte der Hämolymphe von Insekten hat man generell mit ca. 0.6-0.65% niedriger festgestellt als der Salzgehalt der Körperflüssigkeit bei den Säugetieren (ca. 0.9%).

Je näher die artefizielle Körperersatzflüssigkeit den wahren Verhältnissen kommt, umso länger können isolierte Zellen darin überleben und sich sogar teilen.
1. Im einfachsten Falle bildet man nur den Gehalt an NaCl nach = "isotonische Kochsalzlösung".
2. Wenn man nun auch noch andere Salze wie z.B. K, Ca, Mg mit einbezieht und ein einfaches Puffersystem zum Ausgleich von pH Schwankungen einbaut bekommt man eine "Ringer-Lösung".
3. Zum längeren Überleben und besonders in der Zellkultur muss man zusätzlich noch Proteine und andere hochmolekulare Substanzen zusetzen.

Viele Grüsse,
Holger


Jürgen H.

Lieber Holger,

vielen Dank für Deine ausführliche Darstellung zur Frage, was eine Ringerlösung ist und was sie bewirkt.

Schöne Grüße

Jürgen

Ronald Schulte

Jürgen,

Ja wenn Gewebe Fixiert ist mit Pikrin Saure dann ist die DAPI Färbung oft enttäuschend. Nach eine Formol Fixierung bleibt das DNA viel Besser erhalten und Fluoresziert sehr schön Blau.
Siehe z.B. im Bild von eine Maus Testis. In das erste Bild sind einige Hellblaue Spermien zu sehen die noch im Zytoplasma von eine Sertoli Zelle stecken.
Das zweites Bild gibt eine gute Übersicht von ein Tubuli Seminiferi.





Grüße Ronald
Mikroskope:
Leitz Orthoplan (DL, AL-Fluoreszenz und Diskussionseinrichtung).
Leica/Wild M715 Stereomikroskop.
Mikrotom:
LKB 2218 Historange Rotationsmikrotom.

Jan Dunst

Lieber Jürgen,

vielen Dank für diesen Beitrag. Ich genieße ja sonst meisst schweigend, möchte aber einen Kommentar zu den mit 6) bezeichneten Zellen abgeben.

Hämozyten halte ich für sehr unwahrscheinlich. Diese frei in der Hämolymphe zu erwischen ist bei Schnitten fast unmöglich, meist findet man sie im Fettkörper oder an EZM Komponenten. Meine Vermutung sind Oenozyten. Selbige zeigen einen großen runden Zellkern, meist zentral gelegenen und reichlich Chromatin enthaltend. Das Cytoplasma ist meist flockig und erinnert an kleine Vesikel. Da es sich hier aber nicht um mein Haustier handelt, ist diese Diagnose mit Vorsicht zu genießen.


Frei zugängliche Lektüre die schön die Funktion von Oenos zusammenfasst: http://www.isj.unimo.it/articoli/ISJ271.pdf

Beste Grüße,
Jan

Jürgen H.

Lieber Ronald,

was für eine hervorragende Aufnahme, herzlichen Dank! Es würde mich sehr interessieren, einen Färbung mit DPAI bei meinen Insektenhoden zu sehen. Über eine Auflichtfluoreszens verfüge ich aber nicht. Wenn ich einmal einen Schnitt durch einen in Formol fixierten Hoden habe, würde ich ihn Dir daher gerne einmal schicken, ich melde mich dann.

Wenigstens habe ich einmal eine einfache H-E Färbung versucht. D.h, hier in Form einer Azophloxin/ Hämatoxylinfärbung. Und siehe da: Was in der Azanfärbung noch als weniger strukturierte von mir als graue Matrix bezeichnete Masse erschien, färbt sich nun rot und sind wohl die Flagellen der Spermien.




Lieber Jan,

ich hatte gehofft dass Du Dich meldest, weil ich in Erinnerung hatte, dass Du Dich mit Hämozyten beschäftigst oder beschäftigt hattest. Ganz herzlichen Dank für Deine Einschätzung und auch für den schönen Link auf die Oenozyten. Ich denke Du hast recht: Im soeben H-E gefärbten Schnitt sehe ich die Zellen, wie es sich gehört, in der Nähe des Integuments und im Bereich des weitgehend schon aufgelösten Fettkörpers mit  schön azidophil gefärbten Zellkörpern:



Schöne Grüße

Jürgen


Ronald Schulte

Jürgen,

ZitatÜber eine Auflichtfluoreszenz verfüge ich aber nicht.

Kein Problem. Bette was Formol (4%) Fixiertes ein und schicke mir was nicht entparaffinierte Schnitte (am besten zwei oder drei) und ich Inkubiere die mit DAPI und schaue im Fluoreszenz nach und Fotografiere es.

Grüße Ronald
Mikroskope:
Leitz Orthoplan (DL, AL-Fluoreszenz und Diskussionseinrichtung).
Leica/Wild M715 Stereomikroskop.
Mikrotom:
LKB 2218 Historange Rotationsmikrotom.