HISTOLOGIE: Sinusknoten-Purkinje Zellen?

Begonnen von Ronald Schulte, August 14, 2015, 16:29:28 NACHMITTAGS

Vorheriges Thema - Nächstes Thema

Ronald Schulte


In ein Mausschnitt in den Herzregion sehe ich zum ersten mal, was ich denke, Purkinje Zellen der Sinusknoten.
Erkannt jemand diese Zellen und habe ich damit recht?

Zur Orientierung erstmals ein Herz Zeichnung von ein Menschliches Herz wo sich die Knoten befinden.






Zum Maus ist es nur ein kleinen Schritt. Hier ein ubersicht. Das Herz zeigt sich Linksunten.






Ubersichtsbild vom Herz. Die zwei Regionen befinden sich in die Gelben Kreisen.





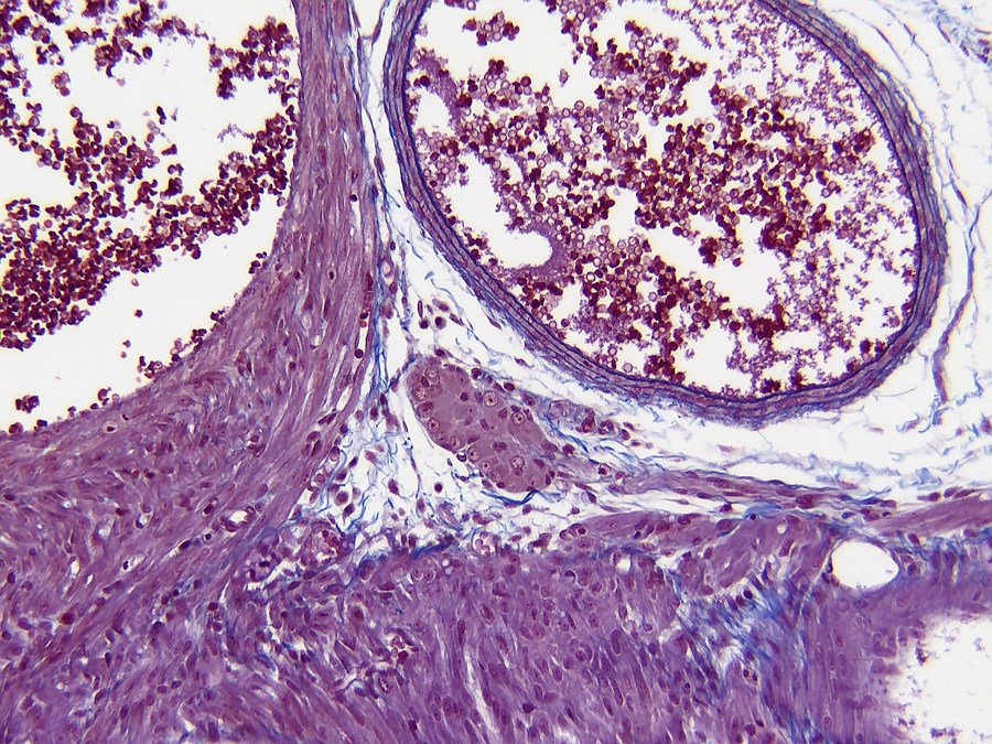
Detaillierter sieht es so aus. Objektiv Plan Fluotar 16x





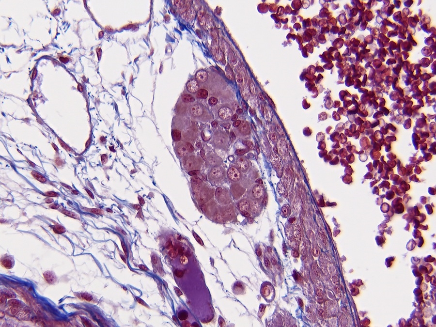
Objektiv Planapo 40x





Objektiv Planapo 40x




Warte gerne auf Reaktionen, Grüße Ronald
Mikroskope:
Leitz Orthoplan (DL, AL-Fluoreszenz und Diskussionseinrichtung).
Leica/Wild M715 Stereomikroskop.
Mikrotom:
LKB 2218 Historange Rotationsmikrotom.

Peter Herkenrath

Hallo Ronald,

es ist immer eine Freude, deine Arbeiten zu sehen! In der Zeichnung sehen wir zwei Sinusknoten (mit 1 und 2 bezeichnet) und davon ausgehend blaue Stränge, das sind die Purkinje-Fasern. Diese verlaufen im Endokard, der Bindegewebsschicht, die an das Herzlumen grenzt. Die beiden "Knoten" sind sicher sehr speziell, hoffentlich kann einer unserer Experten das aufkären.

Grüße, Peter

Jürgen H.

Lieber Ronald,

Deine phantastischen Schnitte bewundere ich immer wieder. Zu Deiner Frage kann ich leider nichts sagen, hoffe aber, dass sich doch noch ein Kundiger findet, vielleicht auch mit einem eigenen Schnitt zu den Pukinje Zellen.

Schöne Grüße

Jürgen

Ronald Schulte

@ Jürgen und Peter,

Danke für euren Lob und ich hoffe auch das sich noch jemand melden wird der eine aussage machen kann.

Grüße Ronald
Mikroskope:
Leitz Orthoplan (DL, AL-Fluoreszenz und Diskussionseinrichtung).
Leica/Wild M715 Stereomikroskop.
Mikrotom:
LKB 2218 Historange Rotationsmikrotom.

Ronald Schulte

#4
Habe die wahrscheinliche Antwort schon herausgefunden.
In folgendes Artikel wird schon mehr erklärt.

Das ganze Artikel ist hier zu downloaden.

Sieht also aus als ob es keine Purkinje Zellen sind, eher ein Normales Ganglion.



Grüße Ronald
Mikroskope:
Leitz Orthoplan (DL, AL-Fluoreszenz und Diskussionseinrichtung).
Leica/Wild M715 Stereomikroskop.
Mikrotom:
LKB 2218 Historange Rotationsmikrotom.