HISTOLOGIE: Chondrale Ossifikation im Schienbein (Tibia), Maus.

Begonnen von Ronald Schulte, September 27, 2015, 20:31:06 NACHMITTAGS

Vorheriges Thema - Nächstes Thema

Ronald Schulte


Um Knochenbildung in ein Gewebeschnitt gut sichtbar zu machen ist es Absolut notwendig um das Gewebe vor das Entwässern aber nach das Fixieren zu Entkalken. Meine Versuche mit Trichloressigsaure aber auch EDTA sind niemals zufriedenstellend gelungen (liegt mehr an die Technik von den Präparator wie an die Stoffe denke ich). Da kam mir auf um mal zu versuchen die entkalkende Wirkung von Bouin zu nutzen. Bouin enthalt ja Pikrinsäure so wie Essigsaure. Die Extremitäten von 8 Tagen Alte Mauser habe ich sechs Monate Fixiert in Bouin. Einige Tagen gespult in mehrere Portionen Ethanol 70% und dann weiter Entwassert und uber Xylol eingebettet in Paraplast Plus.
Geschnitten auf 3µm an mein altes aber noch immer sehr taugliches A&O 820 Rotationsmikrotom mit Leica 818 Hochprofil Messer. Die Schnitte wurde gestreckt auf ein Streckbad (bekommen von Florian Stellmacher) und dann mehrere Tagen getrocknet in OT Mappen aus Pappe.
Uber Xylol und Ethanol stufen in Wasser gebracht und gefärbt nach Malory's Trichrom Färbung. Eingedeckt in Depex unter leichtes Vakuum um Eventuelle Luftblasen zu entfernen.
Betrachtet mit, wie immer, ein Leitz Orthoplan und Fotografiert mit ein Moticam 2300 Kamera.


   


Theorie aus: Welsch Sobotta, Lehrbuch Histologie (2 Auflage) Seiten 142 und 143.

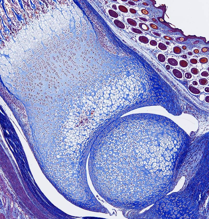
Chondrale Ossifikation,
Das Besondere der chondralen Knochenbildung ist, dass das zukünftige Skelettelement zuerst knorpelig angelegt wird. Dieses Knorpelstuck wird dann in einem komplexen Prozess abgebaut und durch Knochengewebe ersetzt (indirekte Knochenbildung). Durch dies en Mechanismus entstehen die meisten Knochen des Körpers, z. B. die Extremitätenknochen und die Wirbel.

Knorpel-Knochen-Grenze Im wachsenden verknöchernden Skelettstück lasst die Knorpel-Knochen-Grenze einen regelhaften Aufbau erkennen.
• Der Knorpel der (noch) nicht verknöcherten Epiphyse ist fetaler Knorpel.
• In Richtung auf die Verknöcherungszone folgt dann der Säulenknorpel, in dem die Knorpelzellen proliferieren und sich in Reihen (Säulen) anordnen; diese Knorpelzellen sind oft etwas abgeflacht.
• Es folgt dann die Zone des Blasenknorpels mit seinen großen mitochondrienreichen ("hypertrophen") Zellen, in deren Umgebung die Knorpelmatrix verkalkt.
• Es folgt die Eröffnungszone, die Front zur Zone der Knochenbildung, an der die Knorpelzellen abgebaut und die Knorpelhohlen sowie die spießartig dazwischenliegende verkalkte Knorpelmatrix von Osteoblasten besiedelt werden, die mit der Abscheidung von Knochenmatrix beginnen.
• Der Eröffnungszone, in der auch die meisten Chondroklasten zu finden sind, schließt sich dann die sehr gefaßreiche Zone mit Knochenbälkchen an, die hier oft noch Reste verkalkter Knorpelmatrix enthalten und an denen auch schon Osteoklasten auftreten, als Zeichen für schon sofort beginnende Umbauvorgange.




Knorpel = Leichtblau;
Knochen = Dunkelblau;

   





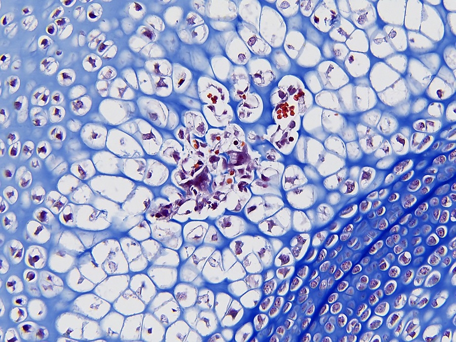
Stitch von 12 Bilder mit ein 16x Plan Fluotar Objektiv.

 











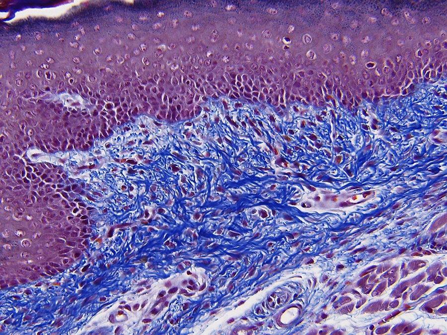
Stitch von 6 Bilder mit ein 16x Plan Fluotar Objektiv.

 





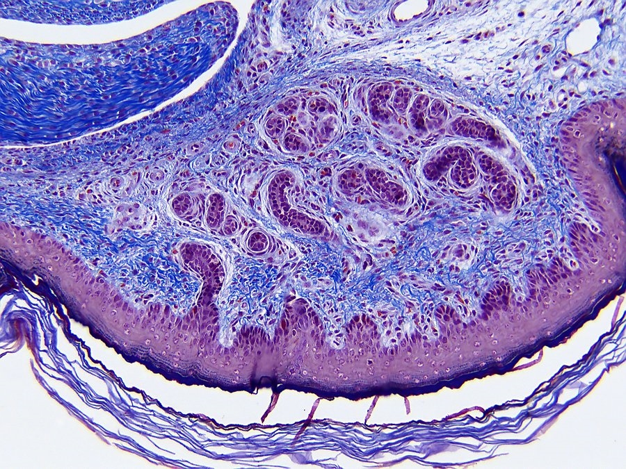
Stitch von 3 Bilder mit ein 25x Plan Fluotar Objektiv.

 





Blaue Band ist die Achillessehne, daneben ein grossen Längs geschnittene Nerv.

 





Noch niemals gesehen aber eine Maus hat also doch Schweißdrüsen.
Objektiv: Plan Fluotar 16x.

 


   



Schweißdrüsen im Bindegewebe.
Objektiv: Plan Fluotar 25x.

 





Bindegewebe mit reichlich Kollagenfasern (Blau).
Objektiv: Plan Fluotar 25x.

 



Viel Spaß beim Anschauen, Grüße Ronald
Mikroskope:
Leitz Orthoplan (DL, AL-Fluoreszenz und Diskussionseinrichtung).
Leica/Wild M715 Stereomikroskop.
Mikrotom:
LKB 2218 Historange Rotationsmikrotom.

Reinhard

seit wann ist Kunst ein Fehler ?



-----------------------------------------------------
www.mikrochemie.net

Jan Dunst

Lieber Ronald,

gratulation zu diesen sehr gelungenen Fotos. Ich bin beeindruckt.

Im dritten Bild sieht man etwas über der Gelenkpfanne einen Bereich mit mehr "rot". Ist dies blutbildendes Knochenmark?

Beste Grüsse,
Jan

A. Büschlen

Hallo Ronald,

du zeigst einmal mehr ganz grosse Handwerkskunst im fixieren, einbetten, schneiden: die Schnittführung im Bild 1 ist einfach genial, im färben und eindecken und im dokumentieren!

Besten Dank.

Viele Grüsse Arnold
Schwerpunkt z.Z.:
- Laub- und Lebermoose.
- Ascomyceten als Bryoparasiten.

Ronald Schulte

@Reinhard, Arnold,
Danke für euren Lob. Ja das Schneiden von diesen Block ist nicht so Gans einfach wie es in diesen Schnitt aussieht. Ich brauche da so drei vier Schnitte bis ein tauglichen kommt und dann muss es noch gut strecken. Ich habe zum glück ein sehr gut Justierbares Wasserbad was sehr wichtig ist. Etwas zu Kalt dann streckt es sich nicht genug, zu heiß dann kann es einfach passieren das den Schnitt sich dehnt und auseinander fällt.

@Jan,
Die stelle habe ich gerade mal Fotografiert. Ich sehe einige Blutzellen die dar eigentlich nicht gehören und weitere Zellen die ich nicht richtig zuordnen kann (vielleicht osteoblasten). Vielleicht weis ein Mitbeobachter es.




Grüße Ronald
Mikroskope:
Leitz Orthoplan (DL, AL-Fluoreszenz und Diskussionseinrichtung).
Leica/Wild M715 Stereomikroskop.
Mikrotom:
LKB 2218 Historange Rotationsmikrotom.

Fahrenheit

Lieber Ronald,

wie immer habe ich Deinen Beitrag mit großem Interesse gelesen. Es ist Dir mal wieder gelungen, mir als Laie ein histologisches Thema interessant und kurzweilig näher zu bringen - wozu Deine erstklassigen Aufnahmen natürlich einen großen Beitrag leisten.

Herzliche Grüße
Jörg
Hier geht's zur Vorstellung: Klick !
Und hier zur Webseite des MKB: Klick !

Arbeitsmikroskop: Leica DMLS
Zum Mitnehmen: Leitz SM
Für draussen: Leitz HM