Hauptmenü

Achselhaut, Azan/ Thymus Kind

Begonnen von CaDi, Juli 06, 2009, 20:39:58 NACHMITTAGS

Vorheriges Thema - Nächstes Thema

CaDi

Hallo :-)

die Azan-Fans muss ich leider enttäuschen, es sind nur Zeichnungen.
Da ich in den letzten Tagen kaum etwas anderes gemacht habe als zu zeichnen
wollte ich auch mal 2 in das Forum stellen und um Kritik bitten.

Achselhaut, Azan
- Haare mit assoziierten Talgdrüsen sind in der Dermis und reichen bis in die Subkutis
- Die apokrinen Schweißdrüsen (Duftdrüsen), links noch mit Inhalt, zeigen unterschiedliche
Stadien der Sekretion.
- Die typischen ekkrinen Schweißdrüsen kann man gut von ihren Ausführungsgängen unterscheiden,
diese sind nämlich 2-Schichtig (Drüsen= 1-Schichtig) und sehr viel dunkler, das habe ich hier vergessen
zu malen.





Thymus, Kind, H.-E.
- Beim Kind noch sehr viel Parenchym, nimmt mit zunehmendem Alter ab
- Für Ausreifung der T-Lymphozyten, hier werden solche eleminiert die körpereigene Antigene bekämpfen und körpereigene Antigene nicht erkennen.
- Thymoepithelzellen schirmen mit Zell-Zell-Verbindungen die heranreifenden T-Zellen gegenüber fremden Antigenen ab.




Viele Grüße,
Carsten


Fahrenheit

Hallo Carsten,

schön, mal wieder Zeichnungen zu sehen! Davon gerne mehr!

Ich bin in der Anatomie allerdings nicht bewandert, inhaltlich kann ich zu Deinen Zeichnungen somit leider nichts sagen.

Schöne Grüße
Jörg
Hier geht's zur Vorstellung: Klick !
Und hier zur Webseite des MKB: Klick !

Arbeitsmikroskop: Leica DMLS
Zum Mitnehmen: Leitz SM
Für draussen: Leitz HM

Ronald Schulte

Carsten,

Sieht schon professionell aus. Super das auch manchmal Histologie gezeigt wird.
Mach doch auch mal ein Bild von das Präparat. Bin gespannt wie den quer geschnittenen Nerv aussieht.
Sind auch 'Meisner' körperchen drin?

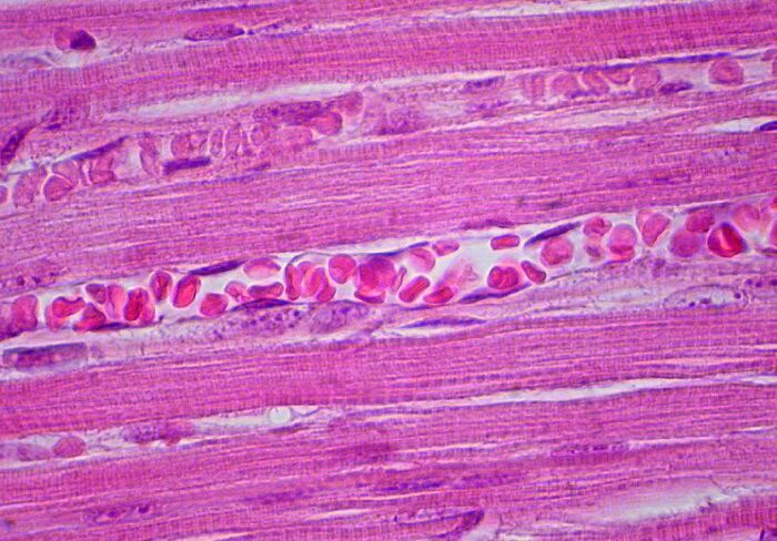
Ich habe ein Bild zugefügt wo Mann sehen kann wie Endothelzellen in ein Blutgefäß (Vene) aussehen.

Grüße Ronald

Muskelgewebe, HE Färbung, 400x
Mikroskope:
Leitz Orthoplan (DL, AL-Fluoreszenz und Diskussionseinrichtung).
Leica/Wild M715 Stereomikroskop.
Mikrotom:
LKB 2218 Historange Rotationsmikrotom.