HISTOLOGIE: Mastzellen farben Metachromatisch (LR White section)

Begonnen von Ronald Schulte, Mai 08, 2018, 21:18:55 NACHMITTAGS

Vorheriges Thema - Nächstes Thema

Ronald Schulte

Ich habe schon öfters über Mastzellen geschrieben und das bleibt mich immer wieder Faszinieren.
Die Zellen haben wunderbare formen und die Körnchen Färben immer so besonders schön Metachromatisch.
Zitat Wikipedia:
Metachromasie ist ein Färbeverhalten in histologischen Färbungen, das durch eine andere Farbgebung als die des verwendeten Farbstoffs gekennzeichnet ist, beispielsweise eine violette Färbung von Schleimstoffen mit dem blauen Farbstoff Toluidinblau. Die Fähigkeit eines Gewebes, von Zellen oder Interzellularsubstanzen ein solches Färbeverhalten auszulösen, nennt man Metachromotropie.

In meine LR White einbette und schneide testen die ich gerade durchführe habe ich gestern ein Ratten Zunge geschnitten. Bei Ratten kommen Mastzellen in die Zungen immer reichlich vor, anders wie beim Menschen.

Plastik Schnitt aus LR White, Färbung Toluidin Blau in Natriumtetraborat (1%).
Geschnitten am Reichert Jung Ultracut E Ultramikrotom mit Glasmesser.
Mikroskop: Leitz Orthoplan mit Canon 700D Kamera.



Bild 1,
Stitch von 8 Bilder, Objektiv Leitz Plan Fluotar 10x
Mastzellen kommen reichlich vor und sind wie kleine blaue Punkte schon zu erkennen.





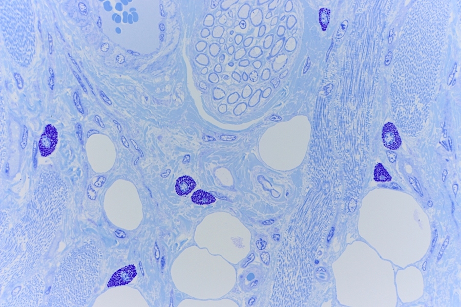
Bild 2,
Objektiv Leitz Plan Fluotar 25x
A = Fettzellen
B = Mastzellen
C = Nerven quer geschnitten
D = Muskelzellen quer geschnitten





Bild 3,
Die Mastzellen haben typische feine Körnung im Zytoplasma. Schnittdicke 0,5µm.
Objektiv Leitz Plan Apo 63x






Bild 4, selbes Block nur hier ein Schnittdicke von 0,4µm.
Objektiv Leitz Plan Apo 63x






Bild 5,
Objektiv Leitz Plan Apo 63x






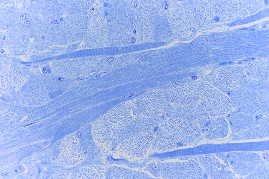
Bild 6,
Muskelzellen quer und langs geschnitten. Muskelzellen haben eine Steifung im Querschnitt.
Objektiv Leitz Plan Apo 63x



Gruße Ronald
Mikroskope:
Leitz Orthoplan (DL, AL-Fluoreszenz und Diskussionseinrichtung).
Leica/Wild M715 Stereomikroskop.
Mikrotom:
LKB 2218 Historange Rotationsmikrotom.

Ralf Feller

Hallo Ronald,
ich habe mir gerade zum Vergleich noch einmal deine anderen Mastzellen angesehen. Ich denke hier kommt definitiv die etwas bessere Auflösung aufgrund der geringeren Schnittdicke zum tragen. Die Mastzellgranulation wird hervorragend aufgelöst.
Kann man Technovit auch so dünn schneiden und wird die Färbung dann auch so gut?

Gruß nach Holland, Ralf

güntherdorn

- gerne per du -
günther dorn
http://www.mikroskopie-forum.de/index.php?topic=444.0
www.mikroskopie-gruppe-bodensee.de
gildus-d@gmx.de

Ulf Titze

"Do not worry about your problems with mathematics, I assure you mine are far greater." (A. Einstein)

"Komm wir essen Opi!" - Satzzeichen können Leben retten!!!

Ronald Schulte

#4
@Günter,

Ulf hat schon recht, es sind sowohl längs und auch quer geschnittene Zellen.
Im folgendes Bild hoffe ich etwas deutlicher zu erklären. Wenn die Zellen quer geschnitten sind dann sieht man die deutlich die Myofibrillen wie Punkte und, wenn etwas mehr schräg geschnitten, kleine streifen. Die Zellen längst geschnitten zeigen meist die typische Streifen (Bandierung).
Ich habe auch mein Bild etwas mehr beschriftet, hoffe das es deutlich ist.

A = Quergestreifte Muskelzelle Langs geschnitten. Pfeilpunkten zeigen zwei Zellkernen. Bei Muskelzellen liegen die Kernen immer an die Seiten und eine Zelle kann mehrere Kerne haben. Beim Herzmuskelzelle liegen die Kerne immer mitten in die Zelle.

B = Quergestreifte Muskelzelle Quer geschnitten. Myofibrillen sind zu beobachten sowie auch ein Kern (Pfeilpunkt).






Mikroskope:
Leitz Orthoplan (DL, AL-Fluoreszenz und Diskussionseinrichtung).
Leica/Wild M715 Stereomikroskop.
Mikrotom:
LKB 2218 Historange Rotationsmikrotom.

Ronald Schulte

#5
Ralf,

Ja die Schnittdicke hat auf jeden Fall für die Mastzellen großen Einfluss und die feinen Körnchen werden sicher besser aufgelöst. Dünnere Schnitte ist aber nicht immer Garantie für mehr Detail.
Problem für die Lichtmikroskopie ist das die Farbstoffe nur begrenzt die Gewebekomponenten Farben können. Je dünner den Schnitt wird wie schlechter es sich anfärben lässt.
Mit LR White habe ich dieses Block auch schon bis zu 90nm geschnitten um mal zu sehen wie weit ich gehen kann. Den Schnitt färbte sich im Wasserbad wunderbar Gold/Silver (siehe colorkarte).
Farbstoffe aber wie Toluidin kommt da nicht mehr drin. Einfach zu wenig Material um zu Farben.
Für meine Zwecke finde ich Schnittdicken von 0,5µm bis 1µm in Ordnung. Möchte ich aber eine HE Färbung ausfuhren dann ist ein 1µm Schnitt schon Minimal, da wäre 1,5µm schon besser.

Deine Frage ob man Technovit 7100 auch so dünn schneiden kann, kann ich nur Positiv beantworten. Weil man Technovit 7100 nicht auf Wasser schneiden kann ist es nicht ganz einfach aber ich kann es. Ich lade dich ein um mal den weiten Weg nach Holland zu fahren und ich zeige dich in mein Histolabor wie ich das mache. Wenn du den Trick mal gesehen hast kannst du es auch.
Ich kann Technovit schneiden bis 400nm. Problem aber ist das es sich dann nicht mehr Färben lasst.
Meist gehe ich herunter bis 0,7 – 0,9µm, das ist gut Färbbar. Mit LR White geht bis 0,5µm problemlos.

Ich bin aber noch nicht soweit das ich LR White empfehlen kann. Da muss noch mehr getestet werden. Technovit aber kann ich schon empfehlen aber da hat man auch die spezifische Probleme.

Gruße Ronald

Mikroskope:
Leitz Orthoplan (DL, AL-Fluoreszenz und Diskussionseinrichtung).
Leica/Wild M715 Stereomikroskop.
Mikrotom:
LKB 2218 Historange Rotationsmikrotom.

Jürgen H.

Lieber Ronald,

wieder einmal sehr schöne Mastzellenbilder von Dir! Mir kommt es wie Ralf Feller so vor, als wären die Strukturen noch präziser wiedergegeben als in den Technovitschnitten, in denen die Farben etwas ,,aquarellartiger" verlaufen. Mir scheint allerdings auch der Maßstab der Technovitschnitte größer zu sein, als der der LRWhiteschnitte.  Es wäre interessant, einmal das gleiche Präparat mit gleicher Schnittstärke, gleicher Färbung und gleicher Vergrößerung in Technovit und LR White nebeneinander zu sehen. Dann ließe sich beurteilen, ob schon der neue Kunststoff für sich die Farben exakter wiedergibt, oder ob die zunehmende Präzision nur eine Folge der geringeren Schnittstärke ist.

Schöne Grüße

Jürgen

Ronald Schulte

Jürgen,

Das mit den Maßstab hat mich auch schon gewundert und am Mikroskop sah ich auch ein anderes Bild wie ich gewohnt war, als ob ich nicht mehr so nah dran kam.
Ich habe für einige Wochen her mal das Objektiv Revolver gewechselt und da war die Ursache schnell gefunden. Ich habe zwei Originale Leitz Revolver aber eins hat ein 1x Vergrößerung und die zweite hat 1,25x. Mit ein 10x Okular im Trinogang fallt das mit Kleine Objektiven gar nicht so auf aber ein 40x macht normal am 1,25x Revolver eine 500x Vergrößerung aber jetzt 'nur' 400x und das 63x Objektiv hatte immer 787x Vergrößerung und jetzt genau 630x. Das ist doch ein ziemlich großes unterschied.
Ich habe die Objektive schon wieder gewechselt und das Bild ist wieder vertraut so wie ich es immer war.

Ja ein vergleich Test Technovit 7100 und LR White folgt bestimmt. Damit werde ich auch Mucken und Drosophila Fliegen und Larven mit einbeziehen. Ich muss mich noch ausdenken wie und was verglichen werden soll. Wenn die Anzahl die Objekte und Färbungen usw zu umfangreich wird,  kommt ein Konklusion wo man was mit anfangen kann in Gefahr denke ich. Das werde ich aber kommende Woche in ein treffen besprechen.

Gruße Ronald
Mikroskope:
Leitz Orthoplan (DL, AL-Fluoreszenz und Diskussionseinrichtung).
Leica/Wild M715 Stereomikroskop.
Mikrotom:
LKB 2218 Historange Rotationsmikrotom.