HISTOLOGIE: Riesenchromosomen im Fluoreszenz DAPI, Drosophila

Begonnen von Ronald Schulte, Juni 04, 2016, 22:05:15 NACHMITTAGS

Vorheriges Thema - Nächstes Thema

Ronald Schulte


Jürgen Harst hat in ein früheren Beitrag mal gesagt: ,,Interessant dürfte bei Drosophila wegen der Chromosomen auch eine Fluoreszenzfärbung über DAPI oder Acridinorange sein. Du hast ja die Einrichtung dazu. Ich bin sehr gespannt!"
Die DAPI Färbung habe ich diese Woche mal ausgeführt und habe mich gewundert wie schön die Riesige Chromosomen sichtbar werden. Sogar im Schnitt im Kern sind die gut zu erkennen mit die verschiedene Bänder.

Hier erstmals ein Übersicht in ein Toluidin Färbung zur Orientierung.


Stitch von 8 Bilder, Objektiv Plan Fluotar 10x.






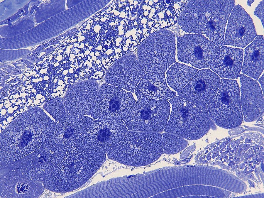
Detail Speicheldrusen. Objektiv Plan Fluotar 25x.






Detail Drusen Zellen. Die Riesenchromosomen sind hier deutlich zu erkennen. Objektiv Plan Apo 63x.






Das selbe Drosophila Block nur einige µm weiter und mit DAPI gefärbt.
Stitch von sechs Bilder, Objektiv 40x.






Objektiv Leitz Plan Fluotar 25x.






Objektiv Leitz Plan Fluotar 40x.






Objektiv Leitz Plan Fluotar 100x.






Objektiv Leitz Plan Fluotar 100x.




Gruße Ronald
Mikroskope:
Leitz Orthoplan (DL, AL-Fluoreszenz und Diskussionseinrichtung).
Leica/Wild M715 Stereomikroskop.
Mikrotom:
LKB 2218 Historange Rotationsmikrotom.


Florian Stellmacher

Lieber Ronald,

WOW! Besser geht es nicht!

Ich bin schon immer wieder futsch und weg, wie bei Deinen Schnitten Licht- und Elektronenmikroskopie zu verschmelzen scheinen. Die Fluoreszenz setzt dann noch einen drauf, und das erst recht in den für mich total ungewohnen niedrigen Vergrößerungen (in der Dignostik verwenden wir 60er oder 63er Planapos).

Herzliche Grüße,
Florian
Vorwiegende Arbeitsmikroskope:
Zeiss Axioskop 2
Olympus BHS (DL, Pol, Multidiskussionseinrichtung)
Zeiss Axiophot (DIK und AL-Fluoreszenz)
Zeiss Axiovert (Fluoreszenz)
Wild M400 Fotomakroskop (DL, DF, AL, Pol)

Ole Riemann

Hallo Ronald,

wirklich sehr beeindruckend. Florian hat es so schön formuliert: bei denen Semidünnschnitten hat man fast den Eindruck, einen TEM-Schnitt zu mikroskopieren. Ich habe gelegentlich auch mal am TEM mit geringen Vergrößerungen (unter 5000x) Histologie betrieben und daran muss ich bei Deinen Schnitten immer wieder denken. Wirklich toll!

Viele Grüße

Ole

Ronald Schulte

#4
@Thilo,

Ich bin kein Genetiker so weiß wenig wie sich verschiedene Fluorchromen verhalten an spezifische teilen von das DNA.
Du solltest mich niedriger einstufen und weiß wohl was Praktische Sachen.
So weiß ich das es sich hier um die Riesenchromosomen der Drosophila handelt und die noch, wie ein Spaghetti Fußball, im Kern verpackt sind. Im Kern aber ist schon die typische Bänderung zu sehen. Das wollte ich mit die Bilder zeigen.
Ich weiß das man auch mit z.B. Acridin das DNA anfärben kann und so sind noch mehrere Fluorchrome auf den Markt. Für mich ist DAPI die Wahl weil: ich den ziemlich teuren Stoff ziemlich günstig bekommen habe,  ich mein Orthoplan so eingerichtet habe das ich DAPI sehen kann und sehr wichtig, DAPI bleicht nicht so schnell aus so ich kann ruhig einige Minuten anschauen ohne das die Farbe weniger wird. Bei AO z.B. sehe ich nach einige Minuten fast nichts mehr.

Die große Chromosomen sehen im Quetsch Präparat dann so ähnlich aus. So ein Präparat kommt noch mal wenn ich was mehr Zeit habe.


@Ole,

Danke für die Blumen. Ja das Kunststoff ist wirklich sehr detailreich. Ich wollte das ich ein EM hatte. Noch dünner schneiden wurde überhaupt kein Problem sein. Das Problem liegt daran das die Schnitte dann kein Farbstoff mehr annehmen und es für die Lichtmikroskopie untauglich wird.





Gruße Ronald
Mikroskope:
Leitz Orthoplan (DL, AL-Fluoreszenz und Diskussionseinrichtung).
Leica/Wild M715 Stereomikroskop.
Mikrotom:
LKB 2218 Historange Rotationsmikrotom.

Heino Lauer

Lieber Ronald,

es ist ein Genuss, diese Bilder anzusehen. Danke für Deinen schönen und lehrreichen Beitrag.

Herzlicher Gruß

Heino

Oecoprotonucli

Hallo Ronald,

wirklich große Klasse! Mir gefallen besonders die hohen Vergrößerungen, weil man da so schön die Riesenchromosomen in Fluoreszenz erkennen kann. Ich sehe das als Fluoreszenzfärbung zum ersten Mal - habe allerdings auch seit dem nun schon länger zurückliegenden Studium keine Drosophila-Genetik mehr verfolgt.

Habe ich das richtig verstanden, dass Du ein Quetschpräparat der Chromosomen mit DAPI machen willst? Da bin ich gespannt!

Viele Grüße

Sebastian
Ich benutze privat:
Leitz SM-Lux mit (LED-) Durchlicht und Phaco-Ausrüstung (ca. 1975-77)
Hensoldt Wetzlar Stereomikroskop DIAMAL (1950er Jahre)

Ronald Schulte

Sebastian,

Ist korrekt! Ich möchte wieder mal eine Zucht aufsetzten, was übrigens sehr einfach ist, und dann was testen mit die Speicheldrüsen. Verschiedene Fixierungen, Quetschen, Farben, Haltbar machen mit die Eisdeckglaspringmethode usw.
Wahrscheinlich mache ich das im kommende Sommerferien von August.

Ronald
Mikroskope:
Leitz Orthoplan (DL, AL-Fluoreszenz und Diskussionseinrichtung).
Leica/Wild M715 Stereomikroskop.
Mikrotom:
LKB 2218 Historange Rotationsmikrotom.

koestlfr

Lieber Ronald!

Ganz grosse Klasse! Beeindruckend! Ich bin schon auf die angekündigten "Folgen" gespannt!

Liebe Grüße
Franz
Liebe Grüße
Franz