Carcinoid, die Blöckchen von Robin Wacker (Histologie)

Begonnen von Ralf Feller, März 24, 2017, 22:59:48 NACHMITTAGS

Vorheriges Thema - Nächstes Thema

Ralf Feller

Carcinoid, die Blöckchen von Robin Wacker

Nachdem ich von Harald  etliche Paraffinblöcke von Robin Wacker bekommen habe,
möchte ich hier noch einige Ergebnisse zeigen.
Ich hatte nun eine Schachtel mit drei Blöcken, darauf stand Carcinoid. Das ist ein meist gutartiger neuroendokriner Tumor der oft versteckt im Darm wächst und überwiegend durch Durchfall, Erröten(Flush) und kardiale Symptome, vermittelt durch Serotonin das der Tumor bildet, auffällt.
Man unterscheidet je nach Lokalisation das Thymuskarzinoid, Bronchuskarzinoid, Magenkarzinoid, Duodenalkarzinoid, Jejunalkarzinoid, Ileumkarzinoid, Appendixkarzinoid, sowie das Colon- bzw. Mastdarmkarzinoid, wobei rund 80 Prozent der Tumoren im terminalen Ileum beziehungsweise in der Appendix lokalisiert sind.

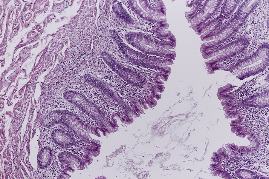
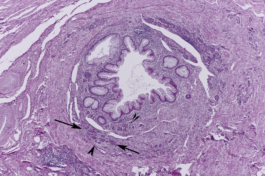
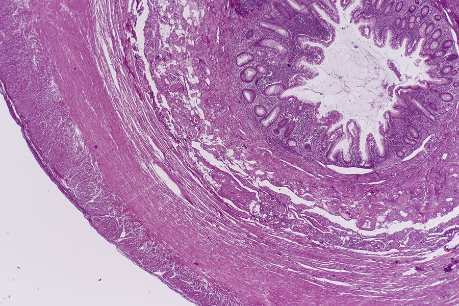
Im erste Blöckchen fand ich vom Aufbau einen typischen Appendix mit Mucosakrypten,
einer Submucosa mit Lymphfollikeln, einer inneren Ring- und einer äußeren Längsmuskelschicht so wie einem Mesenterialansatz. Was mich zuerst etwas irritiert hat war, das sich doch hier weniger Sekundärfollikel finden als ich es von anderen Präparaten gewohnt war. Das mag daran liegen, dass die meisten Appendixpräparate ja eine Appendizitis (Blinddarmentzündung) zeigen. Ronald Schulte hat das in einen tollen Beitrag im letzten Dezember beschrieben.
https://www.mikroskopie-forum.de/index.php?topic=27400.0





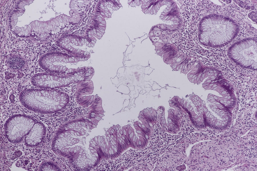
Ein zweites Präparat zeigt auch wieder den typischen Aufbau des Appendix und wenig gut abgrenzbare Sekundärfollikel.


Anfänglich war ich etwas irritiert durch zottenartige Bildungen der Schleimhaut, so wie eine sehr breite Submucosa. Doch sollten Zotten ja Blut-
und Lymphgefäße, so wie glatte Muskulatur enthalten die ich hier nicht gefunden habe, also sind es keine Zotten sondern nur Ausstülpungen
der Schleimhaut.



Der dritte Block zeigte dann endlich was auf der Schachtel stand, ein Carcinoid
(rein morphologisch).
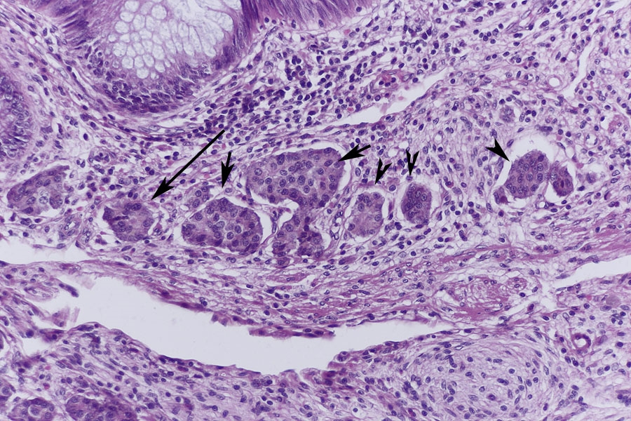
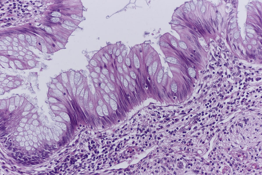
Es findet sich ein Darmabschnitt mit einer Mucosa die sehr viele Becherzellen enthält,
so wie einer breiten Submucosa. Auch hier sind die Sekundärfollikel nicht sehr ausgeprägt.
In der Submucosa fallen dann Inseln aus Zellen mit hellem Zytopasma auf (Pfeile) die ich
für Carcinoidzellen halte.

Übersicht

Epithel



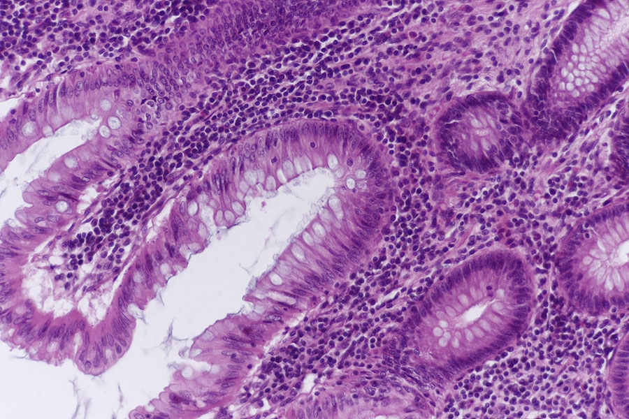
In der stärkeren Vergrößerung finden sich dann zahlreiche Carcinoidzellen, die aber auf die Submucosa beschränkt bleiben.


Die Schnitte sind alle HE und an meinem uralten Leitz 1212 Rotationsmikrotom entstanden.
Aufnahmen am Orthoplan mit Cannon 700D und 40mm PanCake.

Anmerkungen, Berichtigungen und Verbesserungsvorschläge sind willkommen.
Danke an Ronald für die Verbesserung meiner Färbung.

Viele Grüße aus Mülheim, Ralf

Dr. Jekyll

Moin Ralf,

Vielen Dank für diesen informativen Beitrag und die gelungenen Fotos.
Ich freue mich sehr darüber, dass die Paraffinblöcke noch so tolle Ergebnisse liefern und dass diese hier auch zu sehen sind. Ganz offensichtlich sind sie bei Dir in die richtigen Hände geraten.
Ich bin schon gespannt auf deinen nächsten Beitrag.
Beste Grüße
Harald

Heino Lauer

Lieber Ralf,

danke für diesen Beitrag; habe ihn mit Interesse gelesen.

Fenoglio-Preiser et al. (2008) geben eine schöne Klassifikation für das Appendix-Carcinoid:

Well Differentiated Neuroendocrine Tumor (Carcinoid)

Benign: Nonfunctioning, confined to appendiceal wall,
nonangioinvasive, </= 2 cm in size
Serotonin-producing tumor
Enteroglucagon-producing tumor

Benign or low-grade malignant (uncertain malignant potential):
Nonfunctioning, invading the mesoappendix, angioinvasive, >2cm in size


Well-Differentiated Neuroendocrine Carcinoma (Malignant Carcinoid)

Low-grade malignant: infiltrating deep in the mesoappendix, >2,5 cm in size or metastases.
Nonfunctioning or functioning serotonin-producing carcinoma (with carcinoid syndrome)

High-grade malignant: Poorly differentiated intermediate or small cell carcinoma.


Mixed Exocrine-Neuroendocrine Carcinoma

Low-grade malignant
Goblet cell carcinoid


Greenson (2016) gibt die Häufigkeit des Wurmfortsatz-Carcinoids mit "bis zu 1,5% jener Patienten, die sich einer Appendektomie unterzogen" an.
Die 5-Jahres-Überlebensrate beträgt 85%, ist nach Metastasierung aber geringer.

Der Name "Carcinoid" (auch: Karzinoid) wurde, wie ich beim Nachschlagen gelernt habe, von Siegfried Oberndorfer geprägt. Er wählte den Begriff, um diese Neubildung - das "Geschwülstchen" - vom Karzinom abzugrenzen. Sein Beitrag im großen Handbuch Henke - Lubarsch (1929) ist auch heute noch lesenswert.


Herzlicher Gruß

Heino


Fenoglio-Preiser C (2008). Gastrointestinal Pathology. 3rd ed. Philadelphia: Lippincott Williams & Wilkins, 1135 f

Greenson J (2016). Diagnostic Pathology: Gastrointestinal. 2nd ed. Philadelphia: Elsevier, 322 f

Henke F, Lubarsch O (1929).Handbuch der speziellen pathologischen Anatomie und Histologie. Berlin: Springer, Vierter Band, Dritter Teil, 814 ff

Ralf Feller

Lieber Harald, lieber Heino,
danke für euer Interesse und die schöne Literaturrecherche Dank an Dich Heino.

viele Grüße, Ralf

Ronald Schulte

Ralf,

Dein Mikrotom darf dann schon was älter sein, es funktioniert immer noch sehr gut sehe ich. So ist unmittelbar klar das es nicht so ist das nur gute Schnitte gemacht werden an neue teure Leicas. Ein stabiles alt Mikrotom mit ein gutes Messer und dann das richtige Händchen dazu macht tolle Schitte. Gratuliere.

Zu den Tumor kann ich leider nichts sagen weil ich den gar nicht kenne. Finde ich aber sehr interessant und muss mich zuerst mal besser einlesen. Die Riesenzell artige Tumor habe ich irgendwo auch in meine Blöcke gesehen aber wo!

Die Wacker Blöcke sind bei mir auch sehr gut geblieben und bin richtig froh damit. Ich habe noch für einige Jahre arbeit.
Auch gut zu sehen ist das dein 700d guter leistung hat. Ich bekomme in die nächste zeit auch eins und hoffe damit auch gute Bilder machen zu können.

Gruße Ronald
Mikroskope:
Leitz Orthoplan (DL, AL-Fluoreszenz und Diskussionseinrichtung).
Leica/Wild M715 Stereomikroskop.
Mikrotom:
LKB 2218 Historange Rotationsmikrotom.

Dr. Jekyll

Guten Abend in die Runde,

Nur nochmal zur Information, die pathohistologischen Paraffinblöcke stammen aus dem Labor von Robin Wacker, sind aber nicht von ihm selbst präpariert. Ein Kollege von ihm hatte sie bei Robin Wacker eingelagert. Die botanischen Paraffinblöcke, welche ich verteilt habe sind von Herrn Wacker selbst präpariert.
Beste Grüße
Harald

Ronald Schulte

Harald,

Wer es präpariert hat ist mir egal. Der die esgemacht hat, hat es aber gut gemacht. Ich habe hier auch Blöcke liegen die ich mal von einen bekommen habe aber die sind gar nicht zu schneiden. Einbetten kann jeder aber muss unbedingt richtig gemacht werden sonst hat man eigenlich nichts.

Gruße Ronald
Mikroskope:
Leitz Orthoplan (DL, AL-Fluoreszenz und Diskussionseinrichtung).
Leica/Wild M715 Stereomikroskop.
Mikrotom:
LKB 2218 Historange Rotationsmikrotom.

Dr. Jekyll

Hallo Ronald,

Es war jedenfalls auch jemand der etwas von seinem Handwerk versteht😉. Von daher ist es natürlich für uns egal, wer präpariert hat. Meine Anmerkung war rein informativ🙂.
Beste Grüße
Harald

Ralf Feller

@Harald,
lieber Harald, ich kann mich da Ronald nur anschließen, hauptsache
eine gute Arbeit. Mein Problem war das ich nur so ein bis zweimal
im Jahr in Paraffin eingebettet habe, ich hoffe ich finde in Zukunft
mehr Zeit, aber bis zur Rente ist es bei mir noch etwas. Ich brauchte
immer ein Wochenende zur Fixierung, ein Wochenende zum Einbetten
und ein Wochenende zum Schneiden. Oft kam dabei nichts heraus und
ich hatte zu viele Fehlerquellen zu beachten. Nun weiß ich dass Fixierung
und Einbettung OK sind und ich kann mich daran machen die
Schneidetechnik und das Färben zu optimieren und das hilft sehr.

@Ronald
lieber Ronald, danke für dein Lob. Du hast mir geholfen meine
Färbetechnik zu verbessern.
Zu meinem Mikrotom:

Das Bild ist aus dem Netz geklaut, aber meines sieht gleich aus,
ist aber gerade unter Plastik. Es ist, glaube ich, aus den 50ger
oder 60ger Jahren. Ich habe es übrigens in Holland gekauft und
was ich damals prima fand ist, dass bis auf einige einzige Feder
die kaputt gehen könnte, nur Zahnräder und Hebel darin sind
die keine Wartung brauchen.
Du hast ja auch moderne und sehr gute Geräte und deshalb
intertessiert mich ob man damit wirklich besser schneiden kann?
Ich hätte gerne ein besseres Mikrotom das sowohl für Paraffin
wie auch für Kunststoff taugt. Auf Paraffin möchte ich nicht
verzichten weil man damit schnell Stufenschnitte machen kann.

Gerade bei den Blöckchen von Harald hat sich gezeigt das
die Blöcke sehr gut auf die Holzträger meines alten Mikrotoms
aufzublocken waren. Ich habe noch ein HN40 mit Kassetten,
leider hat es nicht so gut funktioniert die Blöcke auf die
Kunststoffkassetten zu kleben (zu warm) und ich wollte nicht
Umbetten.

Ich bin gespannt auf deine Erfahrungen mit der 700d,
und auch wie du die adaptierst hast.

Viele Grüße, Ralf

Dr. Jekyll

Hallo Ralf,

Sehr schönes Mikrotom hast Du da👍. Ich weis ja nicht ob ein modernes Gerät besser schneidet, aber sicher haben neuere Geräte nicht den Charme dieser schwarzen Schönheiten.
Beste Grüße
Harald

Ronald Schulte

Ralf,

Ja ich habe einige Sorten von Mikrotomen und die haben alle so seine vor- und Nachteile.

Das A&O 820 ist ein altes aber sehr solides Mikrotom und rein Mechanisch. So wie du schon geschrieben hast kann da mal ein Feder brechen aber wenn man das Mikrotom immer gut wartet mit Öl wo das verlangt wird und die Unbehandelte Oberflachen nach das Reinigen einfettet, dann überlebt das Mikrotom mich. Großes Vorteil ist also das es kaum kaputt gehen kann.
Nachteil ist aber das hier nur Paraffin geschnitten werden kann. Auch habe ich schon öfters gehört das mit Rotations Mikrotomen besser Histologische Blöcke geschnitten werden kann. Botanik schneidet man lieber am Schlitten Mikrotom. Ob das wirklich so ist weis ich nicht und wusste auch nicht warum das so ist.
Noch ein nicht unwichtigen Vorteil ist das hier mit billigen Einmalklingeln geschnitten werden kann. Ich nutze die Leica 818 Hochprofil und möchte nichts anderes.

Das LKB 2218 ist ein Elektrisches Rotations Mikrotom die Retraktion hat. Diese Retraktion ist ein Notwendigkeit wenn man Kunststoff schneiden möchte. Mit Retraktion wird gemeint: das Gewebe Block zieht sich etwas zurück wenn das Block nach den Schnitt wieder hoch fährt. Es berührt also das Messer nicht. Die Retraktion ist bei mein LKB 200µm und kann man gut sehen und auch hören.
Auch den elektrischen Antrieb ist notwendig um ein guten Kunststoff Schnitt zu bekommen. Das LKB lasst sich einfach über Tastatur Switchen einstellen. Ich habe sogar ein Fuß Schalter dabei um den Schneidevorgang zu starten. Mit diesen Mikrotom kann man mit ein Hartmetalmesser Kunststoff Schneiden so wie auch mit Spezielle einwegklingen von Kulzer. Obwohl Kulzer nicht mehr in die Lage ist um richtige Messer zu liefern. ,,Ich wurde also jetzt kein Kulzer Messer mehr kaufen".
Schnitte bis 1,5µm – 2µm sind gut möglich.
Wenn man ein Glasmesser Behälter hat kann man auch mit Glasmesser schneiden. Ich glaube das Jürgen Harst ein Rotationsmikrotom hat und mit Glas schneidet. Vielleicht reagiert er noch.
Aber selbstverständlich lasst sich auch Paraffin schneiden. Ich mache das nicht weil es mir zu viel Schmiererei macht und ich habe ja ein gutes Paraffin Mikrotom, aber es ist Prinzipiell sehr gut möglich. Nachteil von dieses gerat ist das wenn die Elektronik kaputt geht, wer repariert es dann? Die Schaltungen sind nicht Kompliziert und die Teile sind noch immer zu bekommen aber ja, kaputt ist eben kaputt.

Dann habe ich noch ein Ultra-Mikrotom. Damit kann man nur Kunststoff schneiden und nur mit Glasmesser oder sehr teuren Diamantmesser. Ich habe mal gehört das auch mit Keramische Messer geschnitten werden kann aber das kenne ich nicht. Großes Vorteil ist hier das sehr dünn geschnitten werden kann (für EM Präparate bis zu 50nm, semidünn so ungefähr 0,5µm). Die Morphologie von die Schnitte ist meist Fantastisch. Bilder von Gewebe ist hier im Forum reichlich vorhanden. Großes Nachteil von diese Maschine ist das kein Paraffin geschnitten werden kann, das Mikrotom nicht richtig billig ist und ,oh wee wajawaja' wenn es kaputt geht. Wer Repariert es dann?

Fazit; eine Antwort auf Ralf seine Frage ist: mit modernere Mikrotomen kann man grundsätzlich nicht besser schneiden, man schneidet nur anders und nutzt andere Techniken wie Paraffin.



A&O 820 Rotations Mikrotom mit Leica 818 Hochprofil Messer. Hier ist ein Mausblock eingespannt.







A&O 820 Rotations Mikrotom mit Leica 818 Hochprofil Messer. Hier ist ein Schnittband zu sehen wo drei Komplette Sagittale Mausschnitte zu erkennen sind. Das Mikrotom ist also schon in Ordnung.







LKB 2218 Rotations Mikrotom mit Retraktion. Hier ist ein Kulzer messer Behälter eingespannt.







LKB 2218 Rotations Mikrotom. Hier ist ein Leica Hartmetall Messer eingespannt und ein Kunststoff (Technovit 7100) Block.







LKB 2218 Rotations Mikrotom. Hier ist ein Leica Hartmetall Messer eingespannt und ein Kunststoff (Technovit 7100) Block.







LKB 2218 Rotations Mikrotom. Hier ist ein Leica Hartmetall Messer eingespannt und ein Kunststoff (Technovit 7100) Block.







Reichert Jung Ultracut Ultra Mikrotom mit rechts davon das Steuergerät und ein Wärmetisch womit ich die Schnitte trockne.







Reichert Jung Ultracut Ultra Mikrotom mit eingespanntes Blöckchen und Glasmesser mit Wasserwanne.




Gruße Ronald
Mikroskope:
Leitz Orthoplan (DL, AL-Fluoreszenz und Diskussionseinrichtung).
Leica/Wild M715 Stereomikroskop.
Mikrotom:
LKB 2218 Historange Rotationsmikrotom.

Jürgen H.

Lieber Ralf,

Herzlichen Dank für  die tolle Darstellung. Zur menschlichen und tierischen Histologie lese ich, wie Roland, immer wieder gerne etwas. Schade, dass hiervon im Forum so - relativ - wenig zu sehen ist.

Was die Mikrotome  angeht, kann ich Rolands Darstellung nur bestätigen. Zum Paraffinschneiden sind auch die alten mechanischen Geräte wunderbar geeignet. Sie sind zudem unkaputtbar. Für die Kunststoffhistologie brauchst Du hingegen ein Gerät mit Retraktion und sinnvollerweise auch mit elektrischem Antrieb. So ein Gerät ist für die Paraffinhistologie bis zu 2 mü Schnittstärke hinab hingegen nicht nötig. Ich schneide sogar meine Insektenparaffinblöcke mit dem alten Leitz Schlittenmikrotom  auf Ölbasis lieber als mit dem moderneren Rotationsmikrotom mit Antrieb und Retraktion, obwohl man mit dem Rotationsmikrotom zweifellos komfortabler Bänder schneiden kann. Es mag zu großen Teilen Gewohnheit sein, dass ich beim Paraffinschneiden den Schnitt mit dem Schlittenmikrotom besser im "Griff" zu haben glaube, feinfühliger zu schneiden meine und die Schnittebene bei den kleinen Tierchen mit der Klemme am Schlittenmikrotom besser finde.

Willst Du hingegen mit dem gleichen Mikrotom Kunststoff und Paraffin schneiden, kommst Du wohl um die Anschaffung eines motorisierten Retraktionsmikrotoms kaum herum.

Schöne Grüße

Jürgen


Ralf Feller

Lieber Ronald, lieber Jürgen,
danke für die Mikrotomberatung.
Jetzt muss sich nur noch etwas passendes finden, aber bis dahin werde ich sicher gut mit meinen Mikrotomen auskommen.
Ich habe übrigens nachgesehen, mein großes schwarzes steht im Katalog von 1962.

viele Grüße, Ralf