Weihnachtsgänse muss man nicht schlachten (Histologie)

Begonnen von Ralf Feller, Januar 01, 2018, 18:47:40 NACHMITTAGS

Vorheriges Thema - Nächstes Thema

Ralf Feller

Weihnachtsgänse muss man nicht schlachten

die sterben vielleicht von selbst ?

Liebe Kollegen,
in der Woche vor Weihnachten habe ich mich mit einigen Kollegen getroffen um die für mich neue Semidünnschneidetechnik, die ich mit Hilfe von Ronald Schulte, Jürgen Harst und Dieter Stoffels in nur 3 Monaten zusammenstellen konnte, auszuprobieren.

Das neue Mikrotom, ein Reichert-Jung Supercut 2050, eignet sich sowohl für Paraffin-,
als auch für Kunststoffschnitte.


Wir hatten eine Weihnachtsgans komplett, aber gerupft und ohne Kopf beim Bauern meines Vertrauens gekauft um die inneren Organe zu präparieren. Der nette Pathologe unseres Krankenhauses hatte die Kassetten mit den Organzuschnitten durch seine Paraffinisierungsmaschiene laufen lassen und die Technoviteinbettung hatte ich schon im Vorfeld mit der Hilfe von Ronald gemacht, so dass wir gleich schneiden und mikroskopieren konnten, nämlich in Paraplast und zum Vergleich in Technovit 7100.

Auf den ersten Blöckchen stand ,,Leber", also Gänseleber passend zu Weihnachten.
Als wir die ersten Schnitte gefärbt hatten kamen aber Zweifel auf, war das wirklich Leber?


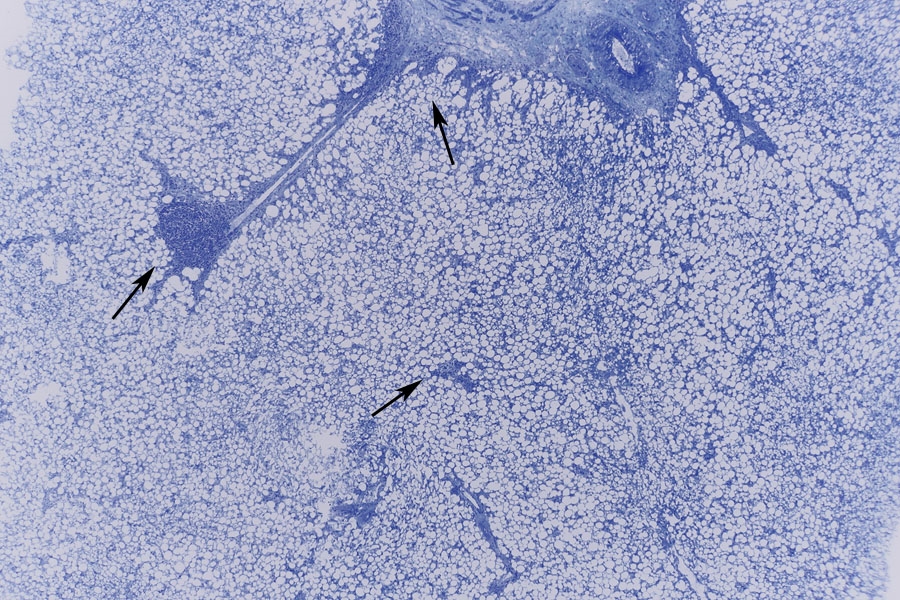
(die Pfeile zeigen auf entzündliche Infiltrate einer Fettleber)

Die Leber ist das zentrale Organ der Entgiftung des Körpers, daneben produziert sie das meiste Bluteiweiß und die Gerinnugsfaktoren. Dabei muss man bei ,,Entgiftung" nicht an Nahrungsgifte denken, sondern an die Umwandlung des Stickstoffs aus dem Nahrungseiweiß in ungiftigen Harnstoff. Ohne die Leber würde der Stickstoff zu giftigem Ammoniak abgebaut, an dem wir innerhalb kurzer Zeit sterben würden.

Eine normale Leber sieht histologisch etwa so aus:
(Schweineleber, da kein gesunder Vogel verfügbar war)



Was in dem ersten Bild zu sehen ist, ist eine maximal verfettete Leber, eine so genannte Fettleber oder auch steatosis hepatis. Die ist beim Menschen oft durch Alkohol bedingt, kann aber auch durch die übermäßige Zufuhr anderer Kalorien oder einen gestörten Fettstoffwechsel bei Diabetes mellitus bedingt sein. Die Fettleber ist in der überwiegenden Zahl der Fälle reversibel, so dass ich denke dass auch unsere Gans überlebt hätte wenn sie nicht den Kopf verloren hätte. Doch frage ich mich was die Gans mit ihrem Ammoniak macht.

Ich hatte ein ähnliches Präparat vor etwa 7 Jahren von einer Gans vom gleichen Bauernhof
gemacht. Damals war die Leber aber nicht so weit verfettet wie jetzt. Auch in diesem Präparat waren mir zahlreiche entzündliche Infiltrate aufgefallen (Pfeile). Liegt also eine Fettleberhepatitis vor? Einen narbigen Unbau konnten wir aber wegen des kurzen Gänselebens nicht sehen.


Um die entzündlichen Infiltrate besser sehen zu können haben wir dann 1µ Schnitte
in Technovit gemacht. Man erkennt größere Infiltrate besonders entlang der Lebervenen.



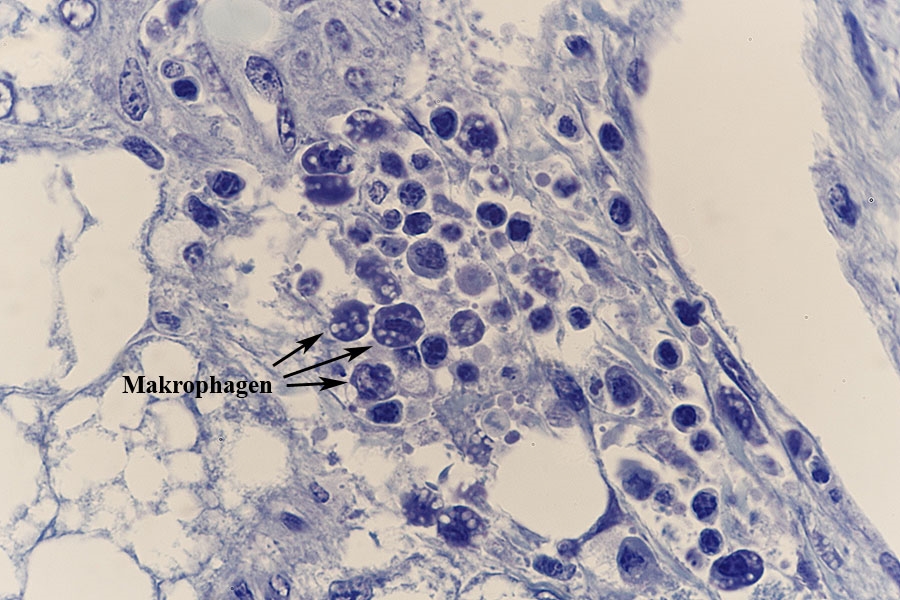
Um eine Vorstellung über die Art der Zellen zu bekommen muss man sich aber vergegenwärtigen, dass alle Blutzellen beim Vogel Zellkerne enthalten. Ich habe dazu vor Jahren schon einmal einen kurzen Faden geschrieben.

http://www.mikroskopie.de/mikforum/read.php?2,43040,43040,quote=1

Morphologisch glaube ich unter den vielen Rundzellen zahlreiche Makrophagen zu erkennen.





In der Vergrößerung (100x Objektiv) erkennt man, das da wohl etwas phagozytiert wurde.
Dieser Schnitt stammt übrigens aus einem Leberstückchen dass ohne organische Lösungsmittel mit Technovit infiltriert wurde. Das fixierte Gewebestück wurde gewässert,
dann 2 Tage in Technovit : Wasser (1+1) und danach in reinem Techmovit für eine Woche rotierend bewegt. Die Infiltration erkennt man daran dass das Gewebestückchen im Technovit zu Boden sinkt. Man könnte ausprobieren ob daran noch eine zytochemische Färbung möglich ist, dazu fehlt mir aber momentan frisches Gänseblut.



viele Grüße und ein gutes 2018 wünscht euch Ralf


Ronald Schulte

Ralf,

Zuerst mal Gratuliere und wünsche dich ein frohes neues Jahr!

Dein Mikrotom sieht schon prima aus. Sehe ich da rechts hinten auch ein Fuß Schalter?

Ja Leber Verfettung ist neu für mich und von ein Vögel schon gar nicht. Ich habe mal ein Vogel Gehirn eingebettet und mal ein Huhn Lunge aber mehr auch nicht. Sieht alles doch etwas anders aus wie bei Sauger.
Ob das Makrophagen sind? Wäre gut möglich weil es aussieht als ob Einschlüsse zu sehen sind.

Die Einbettung mit Technovit scheint gelungen zu sein obwohl eine Einbettung von ,Normales gesundes' Gewebe selbstverständlich bevorzugt wird um das zu beurteilen.

Wie ist dir das Schneiden vergangen? Wie pickst du die Schnitte auf? Pinzette oder Holz Stäbchen? Streckst du die Schnitte in ein Tropfen Wasser auf das OT?

Gruße Ronald
Mikroskope:
Leitz Orthoplan (DL, AL-Fluoreszenz und Diskussionseinrichtung).
Leica/Wild M715 Stereomikroskop.
Mikrotom:
LKB 2218 Historange Rotationsmikrotom.

Ralf Feller

Hallo Ronald,
ja ich hatte Glück, es war auch der Fußschalter bei dem Mikrotom. Ohne den Fußschalter funktioniert das Mikrotom nicht. Es lässt sich nicht über eine Taste starten, was mich sehr wundert.
Die Schnitte nehme ich mit der Pinzette ab, wie Du es in deinem Video zeigst.

Ich habe absichtlich einen Vogel genommen, die übrigen Organe kommen noch. Es sollte etwas neues werden denn die meisten Organe der Maus hast du ja schon gezeigt und besser werde ich es nicht können.

Interessant fand ich das man mit Technovit 7100 auch ohne alkoholische Entwässerung einbetten kann. Ich hatte gehofft dass Glycogen und Fett erhalten bleiben, aber der Kunststoff löst alles heraus wie der Alkohol. Daneben tritt eine leichte osmotische Vergrößerung der Zellen auf.

Ich hoffe das einer der Kollegen aus der Pathologie noch etwas sagen kann. Rundzellinfiltrate treten beim Menschen ja gewöhnlich um die Periportalfelder auf, die waren hier aber meist sauber.

viele Grüße, Ralf

Jürgen H.

Lieber Ralf,

beeindruckende Bilder! Ich frage mich, ob dieses so überaus fettreiche Lebergewebe nun schon bei der schnell zum Vollgewicht gefütterten Weihnachtsgans "normal" ist. Wie muss dann erst das Lebergewebe einer Gänsestopfleber aussehen!

Makrophagen sollten auch für mich als an der Insektenhistologie Interessierten ein Thema sein: Jan Dunst hat hier http://www.mikroskopie-forum.de/index.php?topic=15261.0 einmal Blutzellen vorgestellt, die ebenfalls Phagozytose betreiben.

Ich beglückwünsche Dich zum offenkundigen Funktionieren Deiner Anschaffungen!

Herzliche Grüße

Jürgen