HISTOLOGIE: wie kann sich ein Fruchtfliegen Larve bewegen?

Begonnen von Ronald Schulte, September 20, 2018, 18:12:59 NACHMITTAGS

Vorheriges Thema - Nächstes Thema

Ronald Schulte


Ein Fußlose Larve von ein Drosophila Melanogaster (Fruchtfliege) bewegt sich auf typische weise wie hier gezeigt wird.
Um das Video zu starten bitte HIER klicken.




Bild 1,




Um zu beobachten wie das innerlich aussieht muss ein Larve fixiert, dehydriert, eingebettet, geschnitten, gefärbt und Fotografiert werden.
Weil die Haut von die Larve schlecht zuganglich für Chemikalien ist habe ich das hintere Teil von die Larve abgeschnitten und somit ein ,Eingang' geschafft wo die Chemikalien eindringen können.




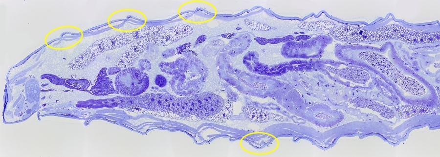
Bild 2,





Die Larve wurde mit Formalin 4% Fixiert, entwässert in Ethanol Stufen bis zu 100% und eingebettet in Kunstharz Technovit 7100.
Geschnitten am Reichert Jung Utracut E Ultramikrotom mit Glasmesser.
Färbung mit Toluidin Blau 1% in ein Natriumtetraborat Losung von 1%.
Fotografiert am Leitz Orthoplan mit Canon 700D Kamera.


Im Übersicht Bild ist mit Gelbe Kreisen angegeben wo sich die Füßchen (Haken) von die Larven befinden.
Stitch von 12 Bilder, Objektiv plan Fluotar 10x.


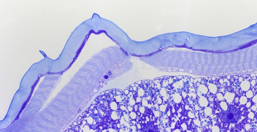
Bild 3,






Detail. Drei Muskelzellen haften mit sehr feine dünne blaue ? an die innere Schicht von das Cuticula (die Haut). Damit lasst sich das Füßchen bewegen und so zusammen mit die andere Füßchen kann die Larve vorankommen.

A = Zellkern von eine Muskelzelle;
B = Quergestreifte Muskelzelle;
C = Fettzelle;
D = Zelllose Cuticula;
E = Füßchen

Objektiv Leitz plan apo 63x na 1.4

Bild 4,






Stitch von zwei Bilder
Objektiv Leitz plan apo 63x na 1.4

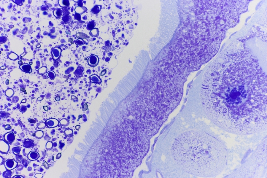
Bild 5,






Objektiv Leitz plan apo 63x na 1.4

Im Darmsystem sah ich meine Melone wieder zurück!! Melone Links.

Bild 6,




Viel Spaß beim Anschauen, Gruße Ronald
Mikroskope:
Leitz Orthoplan (DL, AL-Fluoreszenz und Diskussionseinrichtung).
Leica/Wild M715 Stereomikroskop.
Mikrotom:
LKB 2218 Historange Rotationsmikrotom.

Klaus Wagner

Hallo Ronald,

Ist ja echt irre. Einerseits, was sich die Natur alles einfallen lässt, andererseits Deine tolle Präparation und die feinen Schnitte. Echt klasse, was Geschick gepaart mit Chemie und Technik zustande bringen kann. Wenn man kann.

Viele Grüße
Klaus
PS: Funktioniert die Fortbewegung bei Schnecken ähnlich? Die Natur verwendet ja ähnliche Muster immer wieder.

Jürgen H.

#2
Lieber Ronald,

danke für den schönen Schnitt und die schöne Darstellung der Muskulatur. Im Grunde sind diese Muskeln,  wenn ich das richtig sehe, ein Sonderfall der längs des Körpers zwischen den Segmenten verlaufenden Muskulatur, die einem adulten Insekt die Atmung ermöglicht, indem sie dafür sorgt, dass sich die einzelnen Körpersegmente rhythmisch gegeneinander verschieben. Siehe einmal hier:

https://www.mikroskopie-forum.de/index.php?topic=13358.0

Ganz offensichtlichlich  ist Deine Raupe insgesamt sehr weichhäutig und braucht so keinen Mechanismus, wie in dem Link dargestellt. Durch die Muskeln dürfte das Integument einfach ein wenig zusammengezogen werden. Denkbar wäre, dass es hierfür Sollstellen gibt, an denen sich das Integument leichter zusammenziehen lässt.

Die von Dir erwähnten feinen blauen Striche, mit denen die Muskeln am Integument haften, sind Tonofibrillen, die für die feste vielzählige Verankerung sorgen. Das findet sich etwa auch bei der Flugmuskulatur, die gleichfalls am Integument ansetzt.

Toller Schnitt!

Schöne Grüße

Jürgen







Fahrenheit

Lieber Ronald,

klasse! mehr fällt mir dazu nicht ein. :)

Herzliche Grüße
Jörg
Hier geht's zur Vorstellung: Klick !
Und hier zur Webseite des MKB: Klick !

Arbeitsmikroskop: Leica DMLS
Zum Mitnehmen: Leitz SM
Für draussen: Leitz HM

Ralf Feller

Hallo Ronald,
ja ein toller Schnitt!

Mich beschäftigt am meisten das Bild 6.
Links Melone, OK,
dann kommt eine blaue Schicht, hat die zur linken Seite hin Flimmerepithel?
Für Mikrovilli sind die doch zu lang, oder?
Ganz rechts schließen sich die Enterozyten an, was haben die denn für kleine
blaue Auflagerungen an der Oberfläche?
Währe interessant das mal in PAS zu sehen.

Sehr interessant, danke.

viele Grüße, Ralf