Dicranomyia spec. Speicheldrüse Acridinorange

Begonnen von Jürgen H., Dezember 27, 2018, 21:30:27 NACHMITTAGS

Vorheriges Thema - Nächstes Thema

Jürgen H.

Liebe Foristen,

angeregt durch Ralf Fellers Beitrag wollte ich einen eigenen kleinen Versuch mit Acridinorange starten. Dabei ging es mir darum zu sehen, inwieweit sich Technovitschnitte grundsätzlich für eine Fluoreszenzuntersuchung mit AO eignen könnten. Die Besiedlung eines Insektendarms mit Bakterienmittels Technovitschnitten und AO zu unbtersuchen, wäre dann ein interessantes Thema.

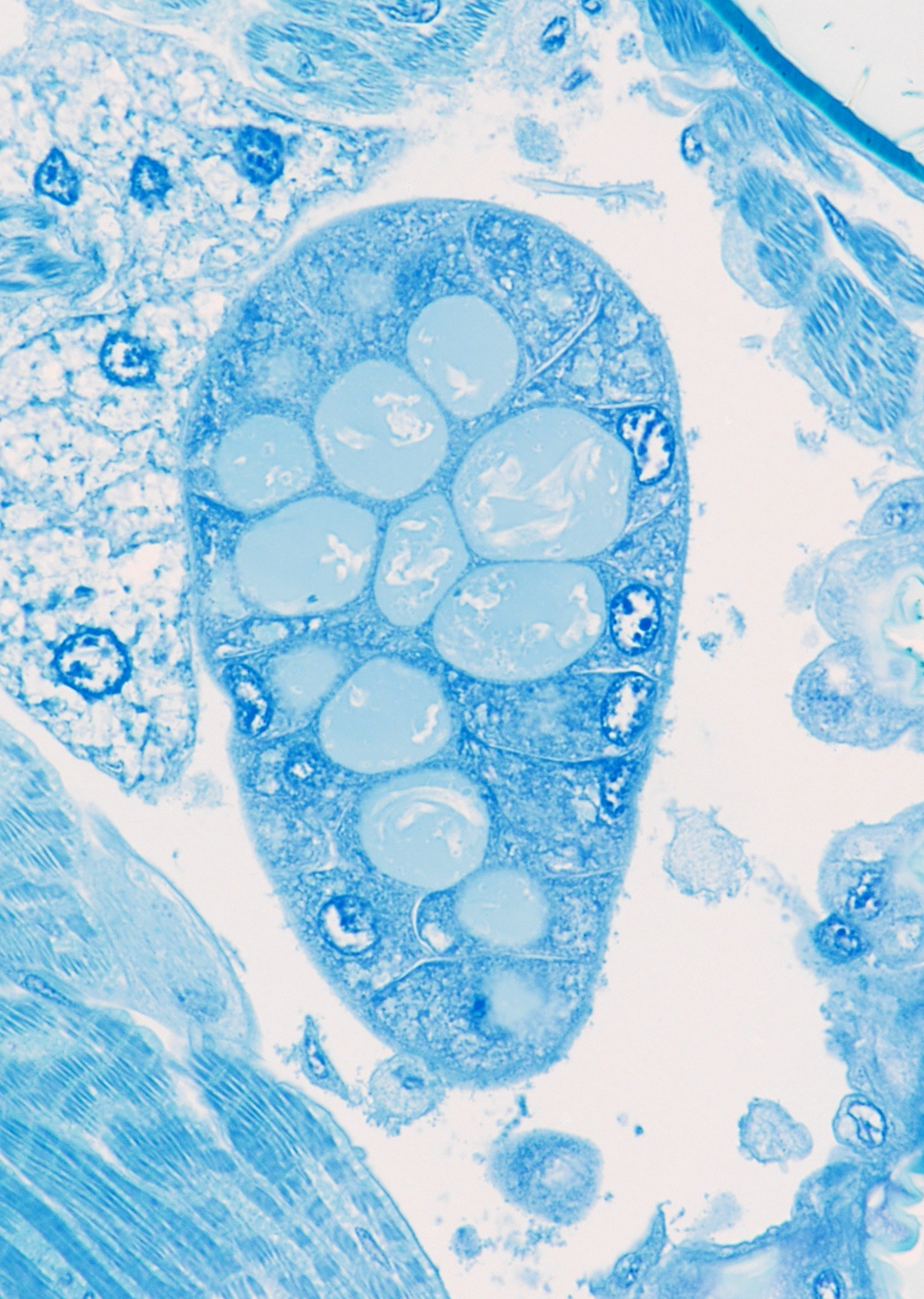
Da ich gerade einen Technovitblock mit dem Kopf einer Dicranomyia spec, einer Stelzmücke schneide, hatte ich schnell etwas zur Probe zur Hand: Gezeigt ist ein Sagittalschnitt 1,5 µ stark, durch den vorderen Teil des Kopfes mit einer Speicheldrüse.

Das Objekt wies unter Blaulicht bereits einige Eigenfluorezens auf, wobei das Technovit selbst kaum fluoresziert. Die Behandlung mit Acridinorange (0,005 % in schwacher Essigsäure ca. 2 pH) führte zu einer kräftigen Fluoreszenz des Objekts, aber leider auch des Technovits. Außen lässt sich natürlich leicht das fluoreszierende Technovit wegstempeln, was ich getan habe. Da das Objekt aber immer in der Matrix eingebettet bleibt, gelingen mit der AO-Färbung nicht sehr kontrastreiche Ergebnisse.



Da ist mir die Toluidinblaufärbung doch bei weitem lieber. Kurzerhand habe ich den gleichen Schnitt mit dieser Färbung versehen und dann eingedeckelt.



Das Ergebnis des Versuchs für mich ist: Für Bakterien müsste ich entweder DAPI verwenden, was, wie Ronalds Beitrag zeigt, offenbar nicht zu einer Färbung der Matrix führt, oder bei Verwendung von Acridinorange eben auf eine Technoviteinbettung verzichten und in Paraffin einbetten.

Immerhin halte ich die Speicheldrüse in ihrer Kammerung für ein sehenswertes Objekt aus der Histologie der Insekten, weshalb sie hier zu sehen ist.

Übrigens, lieber Ralf: Bei mir verblasste die AO-Färbung unter dem Blaulicht sehr, sehr schnell. Ein Dauerpräparat wäre wohl nur von eingeschränkter Dauer.

Schöne Grüße

Jürgen

Ralf Feller

Lieber Jürgen,
da hast Du mir ja schon mal ein Stück Arbeit abgenommen,
Bakterien in Technovit wäre mein nächster Schritt gewesen und ich werde es auch ausprobieren.
Ronald hatte mir schon gesagt, dass im Vergleich zu DAPI die Hintergrundfluoreszenz viel höher ist, das ist ja auch bei meiner Färbung von Mundschleimhautzellen zu sehen. Doch nahm in meinem Experiment die Hintergrundfluoreszenz im Verhältnis zur rot-orangen Fluoreszenz der Bakterien durch die Alkoholreihe und auch den Ausbleicheffekt ab.

Hier eine Aufnahme nach nach 5 min Blaulicht.


Leider enthält Dein Präparat keine Bakterien und so kann man den Effekt nicht
sehen.

Hast Du das AO-Präparat durch die Alkoholreihe gezogen?

Das Problem mit DAPI ist für mich, das mein Blau-UV Fillter minimal bei 395nm
anregt und ich nicht weiß ob das für DAPI ausreicht.

Die Speicheldrüse ist sehr gelungen,
ist das holokrine Sekretion?

viele Grüße und einen guten Rutsch, Ralf

Ole Riemann

Lieber Jürgen,

vielen Dank für Deine schönen Histologie-Ergebnisse. Ich bin mit diesem Themengebiet - zumal bei Insekten - nur wenig vertraut und freue mich über Deine Expertise auf diesem Feld jedes Mal sehr.

Beste Grüße

Ole


Jürgen H.

#3
Lieber Ralf,

mein Block müsste ja noch ein Stück Mitteldarm enthalten. Ich hatte nur das Abdomen abgeschnitten, der Thorax befindet sich ebenfalls im Block. Es wird allerdings ein wenig dauern, bis ich den Block soweit geschnitten habe. Die Schnittdicke ist ja doch gering....

Ich verspreche mir bezüglich der Bakterien allerdings wenig davon. Der Kontrast ist doch wegen des mit fluoreszierenden Technovits recht gering. Natürlich schwächt sich die Fluoreszenz während der Beleuchtung ab. Aber eben insgesamt, nicht nur die des Technovitinfiltrats.

Mein Präparat war etwas quick and dirty hergestellt: Einige Minuten in der Acridinorangelösung, danach einige Minuten in a.d. mit Essigsäure.  Deckglas drauf und fertig. Es war beim Photographieren noch kein Dauerpräparat, ich habe es danach ja noch in Toulidinblau gefärbt. Das Acridinorange ist also nicht durch eine Alkoholbehandlung ausgezogen worden. Die wäre ja auch nicht nötig, wenn ich ein Dauerpräparat herstellen wollte: In diesem Fall würde ich nach der AO Behandlung trocknen und in DePex eindeckeln. Nur: Acridinorange bleicht so schnell unter Blaulicht aus, dass mir ein Dauerpräparat nicht recht sinnvoll erscheint.

Noch einmal zur Speicheldrüse:

Die paarige Drüse befindet sich beiderseits des Nahrungsgangs im langen Rostrum des Tiers. (Dicranomyia gehört zu den Tipulidae mit einem ausgesprochen langen nach vorne gerichtetem Rostrum.) Sie besteht aus einer einzelnen Zelllage von Drüsenzellen, die sich rings um einen Ausführungsgang gruppieren. Die Drüsenzellen weisen relativ große Zellkerne auf, die in der Regel eine unregelmäßig gerundete manchmal aber auch eine abgeplattete Gestalt annehmen und zum Hämolymphraum hin liegen. Die Zellen sind zum Teil deutlich voneinander getrennt (Gelbpfeil). Davon unterscheiden sich die Kanaldrüsenzellen, von deren Zellkernen ich eine mit Grünpfeil gekennzeichnet habe. Auffällig ist bei allen Zellen ein großes Lumen als Reservoir für das Drüsensekret, das sich jeweils in der Nähe des Ausführungsganges bildet. Dieses Reservoir nimmt einen wesentlichen Teil jeder Drüsenzelle ein.

Ich habe keinerlei in Auflösung befindliche Drüsenzellen feststellen können. Auch scheint mir die Grenze zwischen dem Reservoirlumen und dem Zellplasma in der Regel einigermaßen scharf definiert zu sein. (Anders allerdings bei den beiden Drüsen bei 1 Uhr im ersten Bild, bei denen das Drüsenlumen nur angeschnitten ist.) Ich habe auch keine neu entstehenden Drüsenzellen gefunden, die an die Stelle von alten aufgelösten Zellen treten könnten. Soweit im Bild des Eröffnungsbeitrags scheinbar kleine Zellen vorhanden sind, handelt es sich m.E. um  Querschnitte von Zellen in der Nähe des Ausführungsgangs. Ich glaube daher nicht daran, dass es sich um eine holokrine, die gesamte Zelle auflösende Sekretion handelt, sondern um eine merocrine.





Liebe Ole: Danke für Deine Worte!

Schöne Grüße

Jürgen

d65

Zitat von: Ralf Feller in Dezember 30, 2018, 16:28:49 NACHMITTAGS
Das Problem mit DAPI ist für mich, das mein Blau-UV Fillter minimal bei 395nm anregt und ich nicht weiß ob das für DAPI ausreicht.

Das sollte bei einer guten Färbung reichen. Bei Laseranregung wird in der Regel 405 nm eingesetzt und das geht wunderbar. Das Absorbtionsspektrum ist so breit und DAPI ist so hell, dass auch ein ungenauer Treffer gut genug ist.
Gruß
Steffen

Ralf Feller

Lieber Jürgen,
danke für die Vergrößerung,
die ist sehr erhellend. Der in Deinem Bild mit dem roten Pfeil gekennzeichnete Zellkern
könnte durchaus zu einer "umhüllende" Zelle gehören die das Sekret kanalisiert.

@ Steffen
Danke für den Hinweis!
Ich habe auch bei andere Gelegenheit schon gesehen dass die Zeiss-Tabelle
https://www.micro-shop.zeiss.com/?s=165139056f1d642&l=de&p=de&f=f&a=f
nicht als absolutes Kriterium gelten kann. In der Übersicht sollte für Acridin-Orange
der Filtersatz 05 und für FITC 09 genommen werden, 09 funktioniert aber für beides sehr gut.

Gruß, Ralf