Hauptmenü

Pilzlamellen und Basidien

Begonnen von Alf, Dezember 01, 2019, 22:53:15 NACHMITTAGS

Vorheriges Thema - Nächstes Thema

Alf

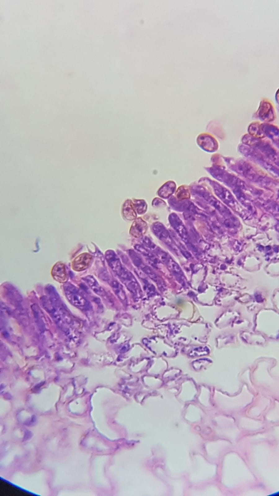
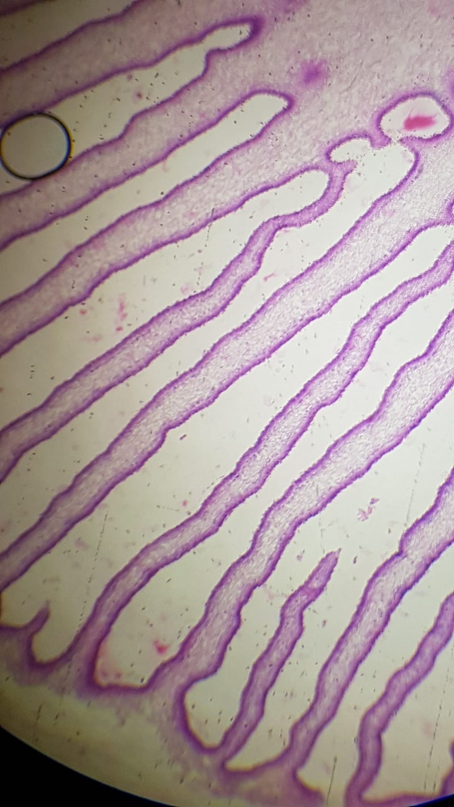
Ich zeige einen Querschnitt durch den Hut eines kleinen braunen Pilzes, mit braunen Lamellen. Ich konnte ihn nicht näher bestimmen. Nach AFE Fixierung, Paraffineinbettung wurde mit Hämatoxylin-Eosin gefärbt.


Bild 1; Übersichtsaufnahme


Bild 2; Lamellen mit Basidien


Bild 3; Basidien und Basidiosporen