Marienkäfer mit Parasiten oder Insektenpuppen?

Begonnen von Christian R., Juni 02, 2019, 16:56:51 NACHMITTAGS

Vorheriges Thema - Nächstes Thema

Christian R.

Hallo an die Spezialisten hier im Forum,

Neulich habe ich einen toten Marienkäfer auf der Fensterbank gefunden, der auf den Vorderflügeln einen gelben Belag hatte. Mein erster Gedanke waren Eier, unter dem Mikroskop hat das aber eher untypisch ausgesehen:



CZJ GF 12.5/0.25 Auflicht, gestackt


Hier sind 2 Fotos im Hellfeld, die Strukturen links dienen offenbar zum Festheften am Untergrund:





CZJ GF 40/0.65 Durchlicht, gestackt


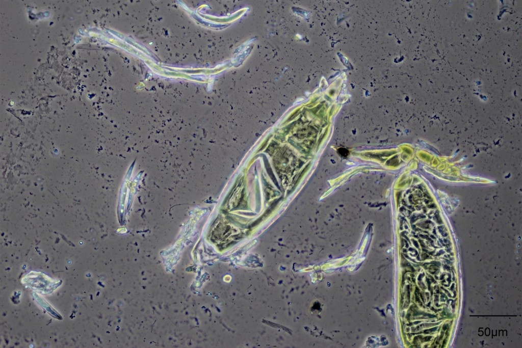
Unter Deckglasdruck treten längliche Gebilde in verschiedenen Größen aus, die sich an beiden Enden verjüngen, nachfolgend 2 Fotos im Phasenkontrast:





CZJ GF 40/0.65 phv Phasenkontrast, gestackt



Was könnte das sein? Parasiten? Insektenpuppen?
Besten Dank für Eure Hilfe!

L.G.
Christian

Peter Reil

Hallo Christian,

vergleiche mal mit Hesperomyces virescens.
Das sieht sehr danach aus.

Nach meiner Kenntnis befällt der Pilz meist die ehemals nicht bei uns heimischen Marienkäferarten.

Freundliche Grüße
Peter
Meine Arbeitsgeräte: Olympus BHS, BHT, CH2, CHK, Olympus SZ 30, antikes Rotationsmikrotom

Heiko

Hallo Christian & Peter,

interessant, was man hier alles lernt.
Demnach schauen wir auf sporengefüllte Schläuche ...

Viele Grüße,
Heiko

Peter Reil

Hallo Heiko,

ich glaube, der Pilz ist wahrscheinlich gar nicht so selten. Man braucht nur nach toten asiatischen Marienkäfern zu suchen.
Als ich vor ein paar Jahren davon erfahren hatte, habe ich an der Arbeitsstelle an den Fenstern gesucht und sofort solche Exemplare mit Pilz gefunden.

Freundliche Grüße
Peter
Meine Arbeitsgeräte: Olympus BHS, BHT, CH2, CHK, Olympus SZ 30, antikes Rotationsmikrotom

Christian R.

Hallo Peter,

Super, genau das ist es, vielen Dank! :) Es passt auch perfekt zum Marienkäfer, gemäß seiner Punkte ist es keine ursprünglich heimische Art. Auf Pilz wäre ich jetzt ehrlichgesagt nicht gekommen. Selbst mit "Marienkäfer und Pilz" findet man bei Google nichts Verwertbares. Mit deinem Suchbegriff "Hesperomyces virescens" habe ich jetzt schon etliche interessante Papers gefunden!

1000 Dank!

L.G.

Christian

Heiko

Werde darauf achten, Peter.

Der ,,Asiate" ist ja weiß Gott nicht selten, gefühlt aber schon nicht mehr so häufig wie noch vor Jahren ...

Viele Grüße,
Heiko