Botanik: Klatschmohn (Papaver rhoeas), Porenkapsel-Längs und Querschnitt *

Begonnen von Hans-Jürgen Koch, November 04, 2019, 15:18:57 NACHMITTAGS

Vorheriges Thema - Nächstes Thema

Hans-Jürgen Koch

Liebe Pflanzenfreunde,

beim Mohn entwickelt sich die Frucht aus einem keulen- oder kugelförmigen Fruchtknoten.
An der Zahl der Narbenstrahlen kann man erkennen, aus wie vielen Fruchtblättern er sich zusammensetzt, meist sind es zwischen 7 und 15.
In jedem Fruchtblatt werden viele kleine Samen gebildet.
Zur Reifezeit bilden sich unterhalb der Narbenscheibe kleine Löcher, aus denen die Samen herausfallen.
Die Zahl der Löcher entspricht der Zahl der Fruchtblätter.
Die typische, bei einer Länge von 10 bis 22 Millimetern bis zu doppelt so lange wie breite und an ihrer Basis abgerundete Kapselfrucht enthält einige hundert Samen. Die Kapselfrucht ist durch zahlreiche ,,falsche Scheidewände" (= Wucherungen der Samenleisten) in unvollständig gefächerte Porenkapseln (= ,,Streubüchsen") unterteilt. Die dunklen Samen (,,Mohnkörner") sind bei einem Durchmesser von bis zu 1 Millimeter sehr klein.

Bild 01 Kapselfrucht, Klatschmohn (Papaver rhoeas)

Urheber: Alvesgaspar
Der bekannte Populärschriftsteller R. H. Francé hat ein bemerkenswertes Patent angemeldet, nämlich einen Salzstreuer nach dem Vorbild der Mohnkapsel. Dies gilt als Pionierleistung für die Forschungsrichtung der Bionik. Francé selber benutzte allerdings in seinem Buch ,,Die Pflanze als Erfinder" (1920) den Begriff ,,Biotechnik", der inzwischen anders definiert wird.
Raoul Heinrich Francé war österreich-ungarischer Botaniker, Mikrobiologe, Natur- und Kulturphilosoph.

Systematik:
Ordnung: Hahnenfußartige (Ranunculales)
Familie: Mohngewächse (Papaveraceae)
Unterfamilie: Papaveroideae
Gattung: Mohn (Papaver)
Art: Klatschmohn
Wissenschaftlicher Name: Papaver rhoeas
Travialname: Mohnblume oder Klatschrose
Englische Bezeichnung: red poppy

Jede Blüte bildet rund 2,5 Millionen Pollenkörner, die besonders morgens bis etwa 10.00 Uhr abgegeben werden. Hummeln erhöhen die Abgabe durch vibrieren (Buzzing), das als lautes Brummen hörbar ist.
Die Pflanze enthält Alkaloide, jedoch kein Opium.

1.Teil
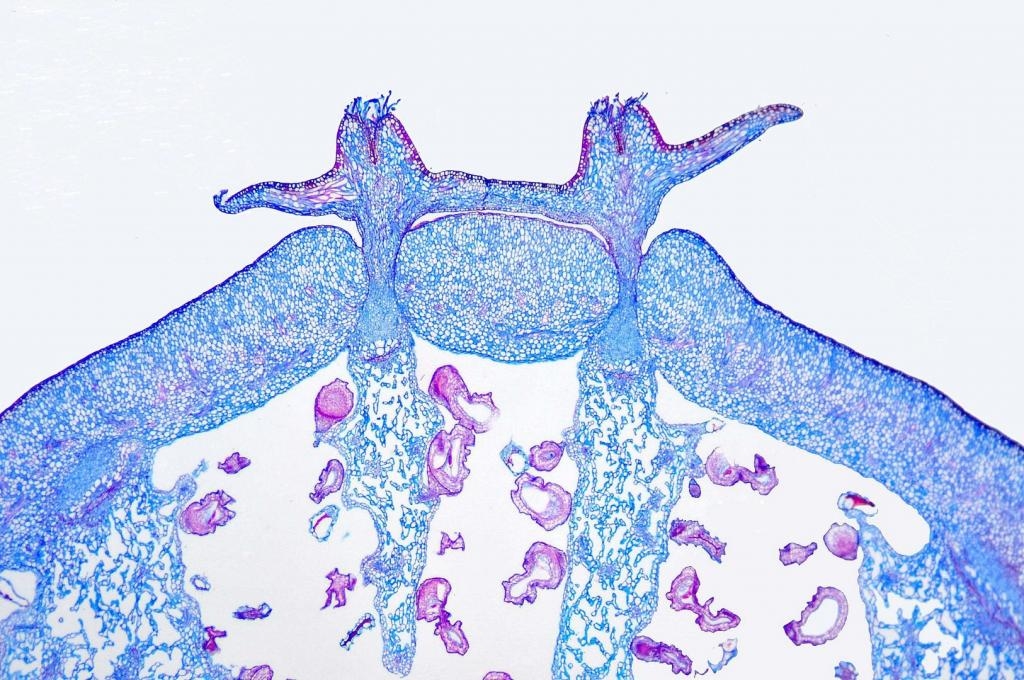
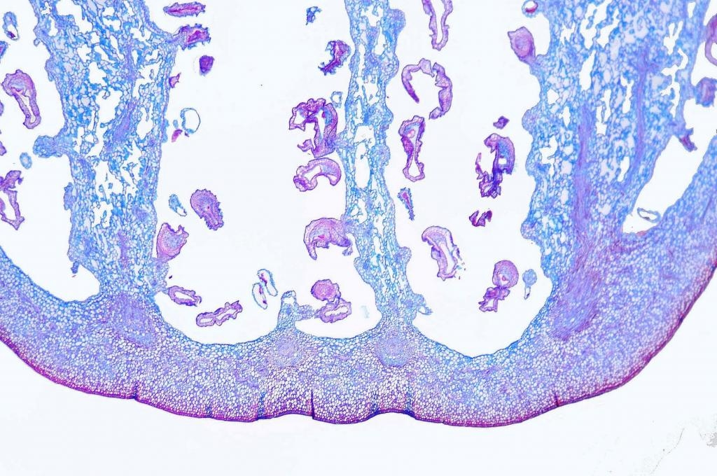
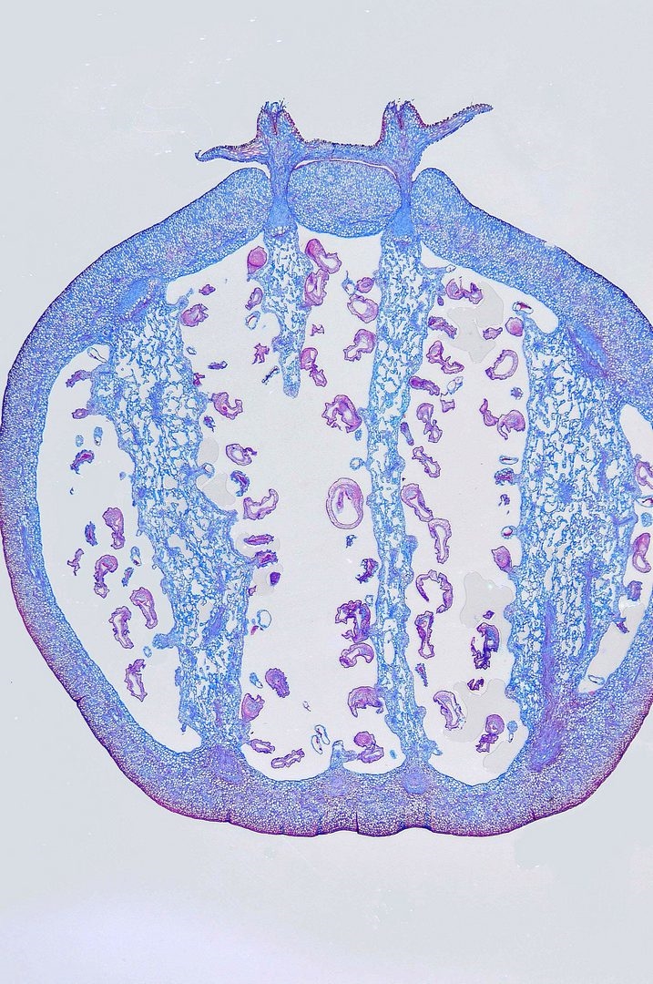
Porenkapsel, Längsschnitt, 10 µm

Hierbei handelt es sich um Paraffinschnitte.
Auf die Paraffin -Technik möchte ich hier nicht eingehen, dafür gibt es interessante Beschreibungen wie z.B. bei Romeis ,,Mikroskopische Technik", 17. Auflage, Seite: 120.

Bild 02 Übersicht, Klatschmohn (Papaver rhoeas)

Die Porenkapsel hat einen Durchmesser von 1 cm.

Stellt man durch die Frucht einen Längsschnitt her, so sieht man, dass ihr Innenraum durch Scheidewände, die aber in der Mitte nicht zusammenstoßen, in mehrere Kammern geteilt ist.
An den Wänden sitzen viele Samen. Die sich bei der Reife loslösen und beim Schütteln ein klapperndes Geräusch verursachen.

Bild 03 Übersicht, Klatschmohn (Papaver rhoeas)

FastStone Image Viewer (Negativ – Aufnahme)

Die Übersichtsbilder sind mit der Nikon D5000 und dem Zeiss Stereomikroskop Stemi 305 entstanden.
Bild 04 Vergrößerung, Klatschmohn (Papaver rhoeas)


Bild 05 Vergrößerung, Klatschmohn (Papaver rhoeas)


Bild 06, Angeschnittene Samen, Auflichtbeleuchtung, Klatschmohn (Papaver rhoeas)

Auflichtbeleuchtung Fluoreszenz iLED 455 nm
LED Modul 455 nm
Reflektormodul FL mit Filtersatz 67
Erregerfilter: BP 470 nm
Strahlenteiler: FT 477 nm
Emission (Sperrfilter): LP 485

Bild 07, Fluoreszenz iLED 455 nm, Klatschmohn (Papaver rhoeas)


2. Teil
Narbenstrahlen, Querschnitt, 8 µm
Hierbei handelt es sich um Paraffinschnitte.

Astrablau-Fuchsin-Färbung nach Roeser

Arbeitsablauf :
1.   Schnitte in Aqua dest. spülen
2.   Astrablaulösung  5 Min.
3.   Auswaschen mit Aqua dest.
4.   Fuchsinlösung  5 Min
5.   Auswaschen mit Aqua dest.
6.   Pikrinsäurelösung  1 Min
7.   Auswaschen mit Aqua dest.
8.   Differenzierung mit 70%igem Isopropanol   einige Min (unkritisch)
9.   Gründlich Entwässern in 100%igem Isopropanol   min 5 Min (einmal wechseln)
10.    Xylol   min 3 Min
11.    Einschluss in Entellan

Ergebnis :
Verholzte Zellwände leuchtend rot, unverholzte Zellwände intensiv blau. kutinisierte Membranen dunkel braunrot

Ansätze :
Astrablaulösung: 0.5g Astrablau werden in 100ml 2%iger wäßriger Weinsäurelösung gelöst.
Fuchsinlösung: 1g basisches Fuchsin werden in 100ml 50%igem Ethanol gelöst.
Pikrinsäurelösung: 1 Teil gesättigte wässrige Pikrinsäurelösung (= 1,2%ig) wird mit 3 Teilen Aqua dest. verdünnt.

Bild 08 Übersicht, Klatschmohn (Papaver rhoeas)

Die Übersichtsbilder sind mit der Nikon D5000 und dem Zeiss Stereomikroskop Stemi 305 entstanden.
Bild 09 Vergrößerung, Klatschmohn (Papaver rhoeas)


Bild 10 Zentrum, Klatschmohn (Papaver rhoeas)


Bild 11 Vergrößerung, Klatschmohn (Papaver rhoeas)


Bild 12 Vergrößerung, Klatschmohn (Papaver rhoeas)


Bild 13, Fluoreszenz iLED 455 nm, Klatschmohn (Papaver rhoeas)

Auflichtbeleuchtung Fluoreszenz iLED 455 nm
LED Modul 455 nm
Reflektormodul FL mit Filtersatz 67
Erregerfilter: BP 470 nm
Strahlenteiler: FT 477 nm
Emission (Sperrfilter): LP 485

Bild 14, Fluoreszenz iLED 455 nm, Klatschmohn (Papaver rhoeas)


Plants are the true rulers - Pflanzen sind die wahren Herrscher.

<a href="http://www.mikroskopie-forum.de/index.php?topic=2650.0" target="_blank">Hier geht es zur Vorstellung</a>

Gerne per "Du"

Hans-Jürgen Koch


3. Teil
Porenkapsel, Querschnitt, 25 µm

Mikrotom - Schnitte von fixiertem Material

W-A III - Färbung (Acridinrot – Acriflavin - Astrablau)

1. Probe liegt in 30 % Ethanol.
2. Aqua dest. 3x wechseln je 1 Minute.
3. Vorfärbung Acridiorot 8 Min.
4. 1x auswaschen mit Aqua dest.
5. Acriflavinlösung (differenzieren bis gerade keine Farbwolken mehr abgehen - Lupenkontrolle) ca. 15 Sekunden !!!
6. 2 x auswaschen mit Aqua dest.
7. Nachfärbung Astrablau 3 Minute
8. Auswaschen mit Aqua dest. bis keine Farbstoffreste auf dem Objektträger verbleiben.
9. Entwässern mit 2x gewechseltem Isopropylalkohol ( 99,9 % )
10. In Xylol überführen, Anschließend absaugen und frisches Xylol zugeben. 2x wechseln, je 2 Minuten
11. Einschluss in Entellan

Fotos: Nikon D 5500 und D5000

Bild 15 Schnittprobe auf einen Holzklotz geklebt.


Bild 16 Übersicht, Klatschmohn (Papaver rhoeas)


Bild 17 Vergrößerung, Klatschmohn (Papaver rhoeas)


Bild 18 Vergrößerung, Klatschmohn (Papaver rhoeas)


Bild 19 Vergrößerung, Klatschmohn (Papaver rhoeas)


Porenkapseln, Lochkapseln oder porizide Kapseln sind nur in wenigen Gattungen zu finden, typisch sind sie vor allem für Löwenmäuler oder Glockenblumen, bekanntestes Beispiel ist der Mohn. Die Valven (Klappen) lösen sich dabei nur sehr begrenzt nach unten ab, folglich ergeben sich keine vollständigen Dehiszenzlinien (Längsrisse), sondern pro Fruchtblatt genau eine scharf umrissene Öffnung in der Kapselwand, durch die Samen entlassen werden. Durch die Reste der Plazenta und der Karpellränder (Fruchtblattränder) bleiben die Poren seitlich voneinander getrennt. Die Poren sind in einer Kreislinie um die Kapsel angeordnet.

Bild 20 Vergrößerung, Klatschmohn (Papaver rhoeas)


Bild 21Vergrößerung, Klatschmohn (Papaver rhoeas)


Bild 22, Fluoreszenz iLED 455 nm, Klatschmohn (Papaver rhoeas)

Auflichtbeleuchtung Fluoreszenz iLED 455 nm
LED Modul 455 nm
Reflektormodul FL mit Filtersatz 67
Erregerfilter: BP 470 nm
Strahlenteiler: FT 477 nm
Emission (Sperrfilter): LP 485

Hier noch ein Link zum Thema Klatschmohn (Papaver rhoeas)
https://www.mikroskopie-forum.de/index.php?topic=9120.0

Quellen und weiterführende Informationen:
Wikipedia
,,Botanica", ISBN: 3-8290-0668-6
Rita Lüder ,,Grundkurs Pflanzenbestimmung", ISBN: 3-494-014128-3
Schmeil ,,Leitfaden der Pflanzenkunde, 1950
,,Was blüht denn da ?", ISBN: 978-3-440-11379-0
Die Informationen für Beschreibungen werden von mir selbst aus verschiedenen Quellen zusammengetragen. Dabei benutze ich sowohl Bücher als auch Internet Quelle. Texte werden anschließend individuell von mir selbst verfasst.
Für konstruktive Kritik bin ich ebenso offen wie für lobende Worte.
Doch zunächst einmal wünsche ich viel Freude beim Lesen.

Hans-Jürgen

Plants are the true rulers - Pflanzen sind die wahren Herrscher.

<a href="http://www.mikroskopie-forum.de/index.php?topic=2650.0" target="_blank">Hier geht es zur Vorstellung</a>

Gerne per "Du"

Wutsdorff Peter

Grüß´ Dich Hans - Jürgen,
wieder suuupeeer!  Woher nimmst Du bloß die Zeit, Deine Beiträge sind vermutlich sehr aufwendig?
Ende der 40-iger Jahre wurde in Mecklenburg auch Mohn angebaut. Die Kapseln waren aber größer,
ca. 2 - 3 cm. Wir (damals 8 Jahre ) haben oft Kapseln aufgemacht und den Mohn gegessen.
Welcher Mohn wird für den Kuchen verwendet?
Gruß  Peter

Fahrenheit

#3
Lieber Hans-Jürgen,

wieder ein sehr schöner und informativer Beitrag mit tollen Schnitten / Präparaten!

Von meiner Seite nur ein kleiner Hinweis: die zweite Färbung ist W3A von Robin Wacker mit der ursprünglichen Zusammensetzung Acridinrot, Acriflavin und Astrablau ganz klassisch sukzedan mit den Einzelfarbstoffen gefärbt. W-A III rückt sie in die Nähe des neuen W-Asim III, bei dem das Acridinrot durch Rhodamin B und das Astrablau durch Alcianblau ersetzt ist. Nur damits kein Durcheinander gibt :)

Herzliche Grüße
Jörg

p.s.
natürlich gelistet
Hier geht's zur Vorstellung: Klick !
Und hier zur Webseite des MKB: Klick !

Arbeitsmikroskop: Leica DMLS
Zum Mitnehmen: Leitz SM
Für draussen: Leitz HM

Heiko

Nichts scheint vor Deinen Klingen sicher, lieber Hans-Jürgen,
und das finde ich wunderbar, ebenso die Ergebnisse.

Viele Grüße,
Heiko

Rawfoto

Hallo Hans-Jürgen

Ein besonderer Beitrag von Dir, Gratulation  :)

Bist jetzt auch zu den Blöckchenschneidern geworden, die Schnitte sind sehr gut geworden.

Liebe Grüße

Gerhard
Gerhard
http://www.naturfoto-zimmert.at

Rückmeldung sind willkommen, ich bin jederzeit an Weiterentwicklung interessiert, Vorschläge zur Verbesserungen und Varianten meiner eingestellten Bilder sind daher keinerlei Problem für mich ...

Hans-Jürgen Koch

Hallo Peter, Jörg, Heiko und Gerd,

danke für euer Interesse und die lobenden Worte.

@ Peter,
Paraffinschnitte sind schon aufwendig, aber es macht mir Spaß.
Das Einbetten in Paraffin dauert schon viele Stunden.


Zu deiner Frage: ,,Welcher Mohn wird für den Kuchen verwendet?"
Ich denke, zum Backen wird häufig Türkischer Mohn verwendet, ist preiswert und schmeckt süß.
Im Lebensmittelhandel wird der Mohn aber regelmäßig auf den Opiatgehalt untersucht und selbst bei kleinsten Spuren (die Grenzwerte sind sehr eng bemessen) wird die Charge vernichtet, so dass man sich keinerlei Sorgen machen muss, vermutlich wird kein Gewürz strengeren Kontrollen unterzogen als dieser bekannten Backzutat.

@ Gerd,
ich habe von einer bekannten Pathologin Paraffinwachs versetzt mit synthetischen Polymeren bekommen.
Das Wachs hat einen Erstarrungspunkt von 56 – 58 o C.
So wird man dann zum ,,Blöckchenschneider".

Grüße an alle
Hans-Jürgen

Plants are the true rulers - Pflanzen sind die wahren Herrscher.

<a href="http://www.mikroskopie-forum.de/index.php?topic=2650.0" target="_blank">Hier geht es zur Vorstellung</a>

Gerne per "Du"