Hauptmenü

Peltigera horizontalis

Begonnen von Ralf, Oktober 25, 2009, 19:34:24 NACHMITTAGS

Vorheriges Thema - Nächstes Thema

Ralf

Liebe Flechtenfreunde,

eine weitere Peltigera:

- Habitus Peltigera horizontalis, in einem Garten, auf Erde zwischen Moosen. Thallus ~ 20 cm, Loben etwa 3 cm breit und 5 cm lang. Oberfläche glatt, glänzend. 



- Unterseite. Hell, mit flachen, zusammenfließenden braunschwarzen Adern. Dazwischen helle Inseln. Rhizinen braunschwarz, büschelig.



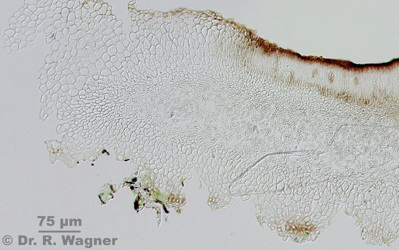
- Querschnitt Lobe. Pseudoparenchymatische Oberinde, Unterrinde fehlt, Photobiont Nostoc.



- Querschnitt Fruchtkörper, Randteil mit umgebendem Gewebe.



- Ascus. Peltigera Typ



- Spore. 3-geteilt, 30-46 x 3-7 µm



Weitere Peltigera Species folgen.....





Walter Pfliegler

Lieber Ralf,
die Fotos sind sehr interessant! Zweimal in Herbst fand ich auch solche, sehr grosse Flechten, jetzt weiss ich, dass sie auch Peltigera waren. Ich habe 1-1 Lobe mitgenommen, aber solche Querschnitten kann ich leider nicht machen.

Grüsse aus Ungarn,

Walter
Walter - Amateur Naturfotograf, Ungarn

Bernhard Kaiser

Hallo Ralf,

erfreulich, daß Du uns wieder Deine schönen Bilder zeigst.

In den neuesten
Berichten der Bayer.Botan. Ges. (Bd. 79, 2009) S.5-55. ist ein Beitrag von W. v. Brackel: "Weitere Funde von flechtenbewohnende Pilze in Bayern. Beitrag zu einer Checkliste IV"

Darunter sind auch Pilze auf diversen Peltigera - Arten erwähnt.

Im Deinem 1. Bild sind auf den Loben stellenweise kleine, rostbraune Flecken zu sehen. Vielleicht könnten diese auch durch lichenicole Pilze hervorgerufen sein.

Solltet Du den Beitrag nicht an der UB bekommen schicke ich Dir eine Kopie.

Freundliche Grüße
Bernhard Kaiser

Ralf

Hallo Bernhard,

in der UB Düsseldorf ist der Artikel nicht verfügbar. Ich würde mich also sehr freuen, wen du mir eine Kopie schicken könntest.

Vielen Dank im voraus und viele Grüße aus dem flechtenarmen Düsseldorf

Ralf



Bernhard Kaiser

Hallo Ralf,

Du hast eine PN.

Grüße
Bernhard Kaiser