Hauptmenü

Thuje

Begonnen von Alf, Dezember 21, 2019, 17:59:08 NACHMITTAGS

Vorheriges Thema - Nächstes Thema

Alf

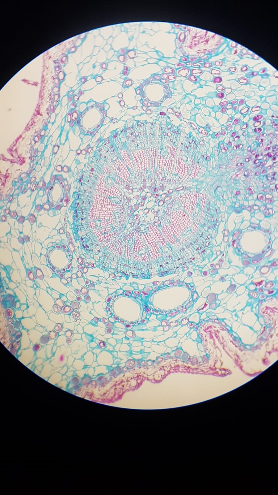
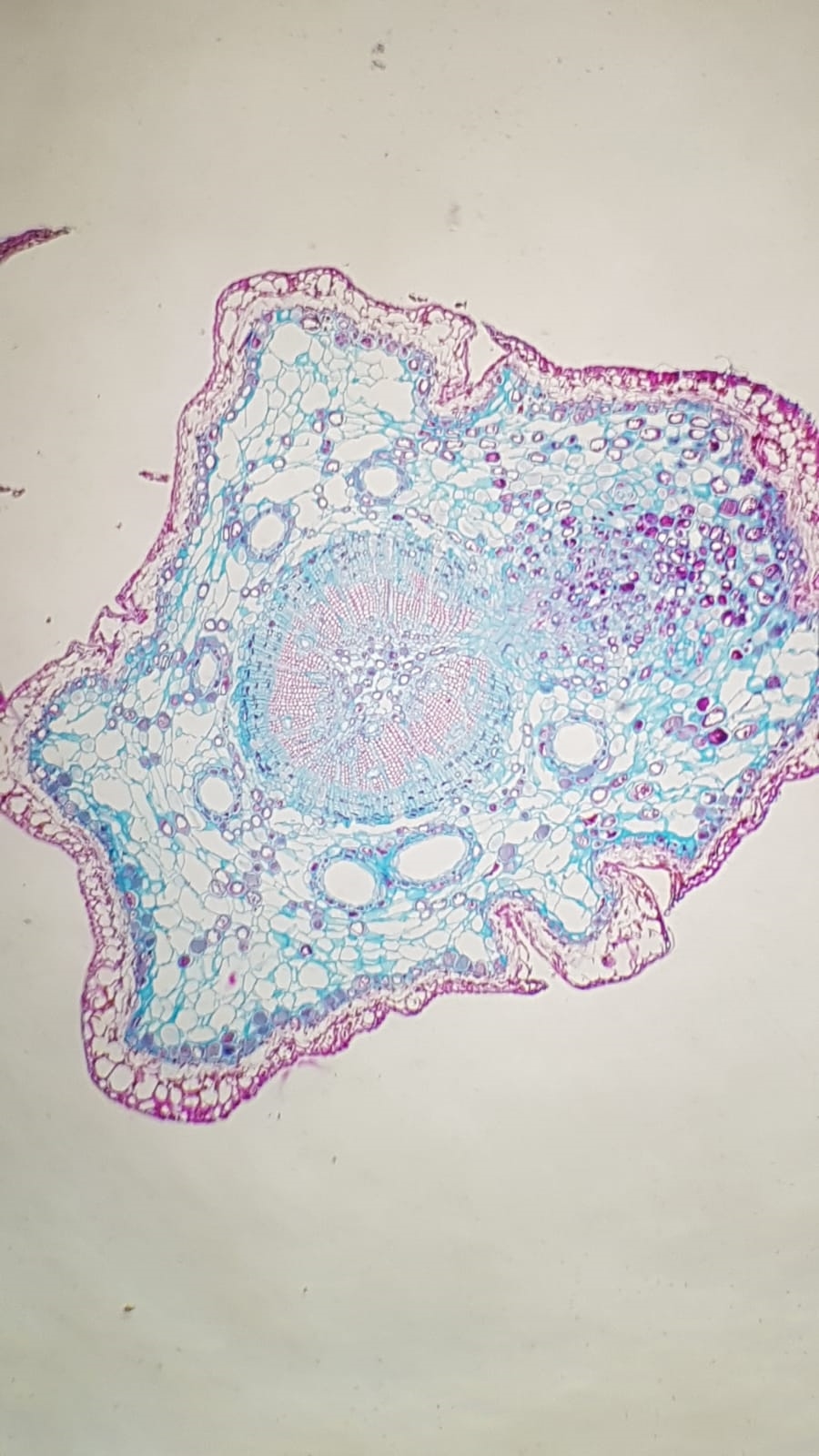
Beim spazieren Gehen habe ich den Ast einer Thuje eingesteckt, sofort fixiert und über Paraffin 7 um dünne Schnitte angefertigt. Gefärbt wurde mit Astrablau-Fuchsin und in Malinol eingedeckt.












Klaus Herrmann

Hallo Alf,

wunderbar dünne Schnitte. Bei der Dicke könntest du länger färben, damit die Färbung intensiver wird. Und warum nimmst du nicht Etzoldblau AFC (Astrablau, Fuchsin, Chrysoidin?)
Mit herzlichen Mikrogrüßen

Klaus


ich ziehe das freundschaftliche "Du" vor! ∞ λ ¼


Vorstellung: hier klicken

Alf

Hallo Klaus,

ZitatUnd warum nimmst du nicht Etzoldblau AFC?
Das hatte ich ursprünglich vor, doch dann gab es einen kleinen Unfall und ich musste die Lösung neu ansetzen, war aber gestern dann i Stress und habe dann auf Chrysoidin verzichtet.