Hauptmenü

Speicheldrüse Schwein

Begonnen von Alf, Januar 18, 2020, 20:17:23 NACHMITTAGS

Vorheriges Thema - Nächstes Thema

Alf

Ich präsentiere das histologische Präparat einer Speicheldrüse die aus dem Kopf eines Schweins präpariert wurde. Die Drüse lag unter der Zunge und konnte leicht als ganzes Entfernt werden. Sie weist eine bindegewebige Kapsel auf. Histologisch handelt es sich um einer mukoseröse Drüse. Es dominieren muköse Drüsenzellen, man findet aber auch seröse Anteile.
Die mukösen Anteile erkennt man daran, dass das muköse Sekret die Zellkerne flach an den Rand drängen und die Zelle somit leer erscheint. Die serösen Drüsenzellen besitzen einen zentralen nicht abgeflachten Zellkern und Vesikel mit serösen Sekret.
Die Drüsenausführungsgänge weisen ein einschichtiges iso- bis hochprismatisches Epithel auf.

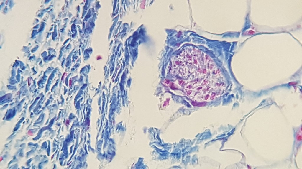
Gefärbt wurde einmal mit Hämatoxylin-Eosin und einmal nach Mallory.


Abb. 1: Übersichtsaufnahme HE


Abb. 2: großer Ausführungsgang mit Arteriolen und Nerv


Abb. 3: Mallory Färbung


Abb. 4: Nerv in der Mallory Färbung


Abb. 5: Ausführungsgänge und Vene mit Erythrozyten


Abb. 6: sogenannter Ebnerscher Halbmond; Drüsenendstück mit serösen und mukösen Anteilen

Alf