Hauptmenü

Kernobstfäule

Begonnen von Alf, September 06, 2020, 18:50:48 NACHMITTAGS

Vorheriges Thema - Nächstes Thema

Alf

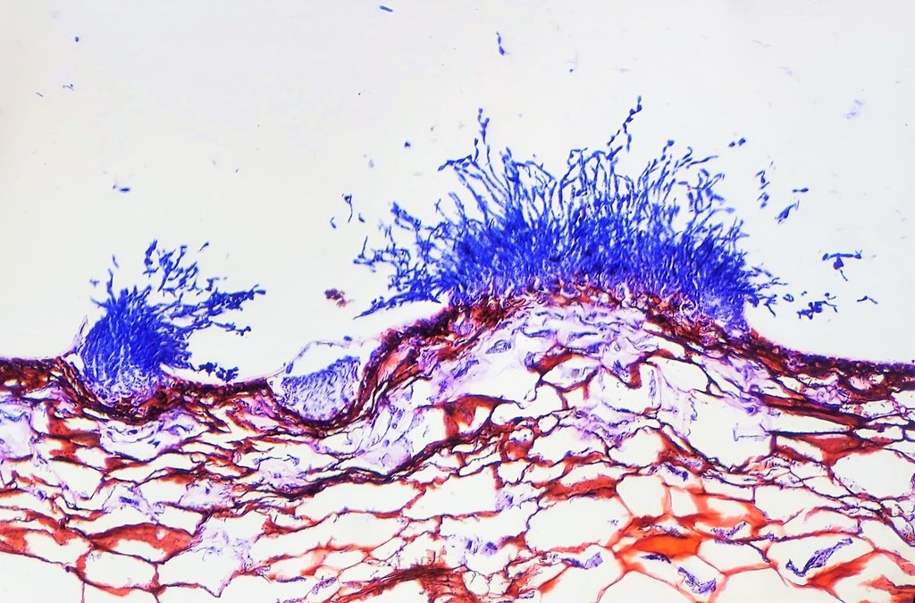
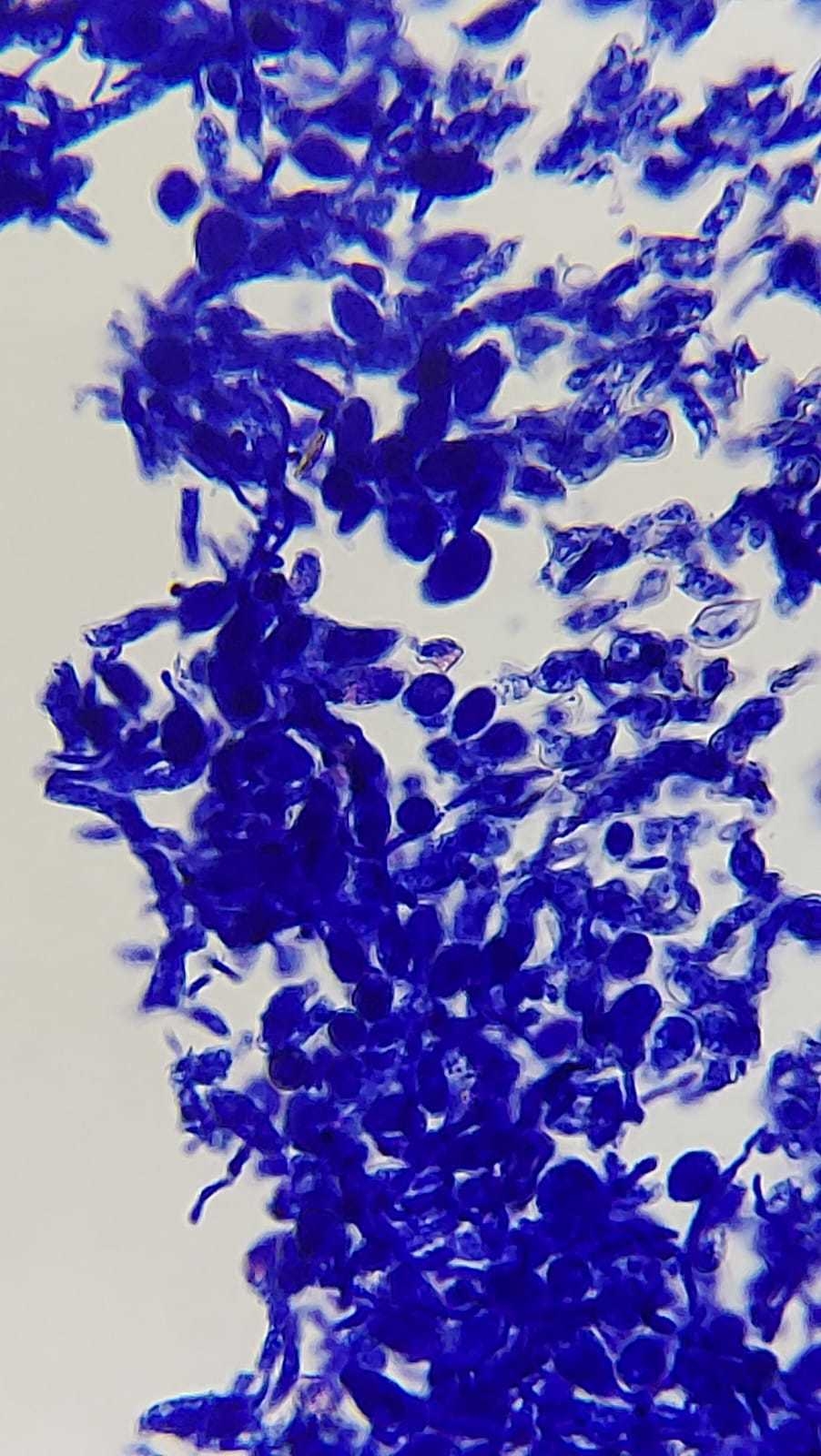
Die Kernobstfäule (Sclerotinia fructigena) befällt eine ganze Reihe an Obstsorten. Vor allem sehr reife Pflaumen sind anfällig dafür. Ich zeige den Pilz auf einer befallenen Pflaume im Querschnitt.
Die Pflaume wurde in AFE fixiert. Die Schnittdicke beträgt ca. 15 Mikrometer. Gefärbt wurde mit Lactophenol-Anilinblau -- Safranin und mit Malinol eingedeckt. Dabei färben sich Pilzbestandteile intensiv blau und das Fruchtgewebe dunkelorange.


Abb. 1: Pilz auf Pflaume 


Abb. 2: Übersichtsaufnahme


Abb. 3: Übersichtsaufnahme


Abb. 4: Detailaufnahme mit Konidien


Abb. 5: Detailaufnahme mit Konidien


LG,
Alf