Hauptmenü

Birnengitterrost

Begonnen von Alf, September 22, 2020, 11:11:30 VORMITTAG

Vorheriges Thema - Nächstes Thema

Alf

Einleitung:
Der Birnengitterrost (Gymnosporangium fuscum) zählt zu den Rostpilzen und infiziert dauerhaft Wacholderarten. Von dort aus werden Sporen dann auf Birnenbäume übertragen und infizieren diese. Anfänglich bilden sich im Frühsommer orangene Verfärbungen an den Oberseiten der Blätter des Birnenbaums. Hier werden Sommersporen gebildet, die wiederum weitere Blätter und Bäume befallen können. Im Verlauf bilden sich an der Oberseite die Spermogonien (Mycelstrukturen), die mit freiem Auge als kleine dunkelbraune Pünktchen imponieren. Spermogonien produzieren die einkernigen Spermatien. Aus den Spermogonien reichen Empfängnishyphen heraus, die darauf warten von einer Spermatie befruchtet zu werden. Die Übertragung der Spermatien erfolgt einerseits über den Win, andererseits spielen Insekten eine große Rolle. Wird eine Spermogonie durch eine Spermatie eines anderen Paarungstypes befruchtet (eine Selbstbefruchtung findet nicht statt), wächst das Mycel des Pilzes (während des Sommers) durch das Blatt hindurch und erreicht die Unterseite des Blattes. An der Unterseite bilden sich daraufhin Verdickungen, die die Aecien beinhalten. Aecien enthalten ein jetzt zweikerniges Mycel und dienen als Lager der jetzt Aeciosporen. Aus den Aeciosporen bilden sich schließlich das Sporenlager. Dabei entwickeln sich beim Birnengitterrost entweder Telien oder Uredien. Aeciosporen können auf demselben wirt keimen, oder wiederum andere Blätter infizieren. Im Herbst bilden sich in den Telien, wie in diesen Präparaten gezeigt, Teleutosporen. Teleutosporen sind die Wintersporen des Rostpilzes. IM Gegensatz zu den Sommersporen haben sie eine dicke Zellwand und sind deshalb Kälteresistent.

Technik:
Die Blätter wurden entnommen und für 24 Stunden in AFE fixiert. Danach wurden sie zurechtgeschnitten und in Paraffin eingebettet. Die Schnittdicke beträgt ca. 10 Mikrometer.
Gefärbt wurde ein Präparat mit Lactophenolanilinblau-Safranin, das andere mit FAC-AuraminO.
Eingedeckt wurde in Malinol.

Bilder:


Abb. 1: Makroskopische Wucherungen an der Blattunterseite


Abb. 2: Makroskopische Wucherungen an der Blattunterseite


Abb. 3: Übersichtsaufnahme, verdickte Blattunterseite mit Aecien. An der Blattoberfläche (klein) erkennt man die Spermogonien. In der 2. Aecie von links erkennt man auch Mycel (blau); Färbung Lactophenolanilinblau-Safranin.


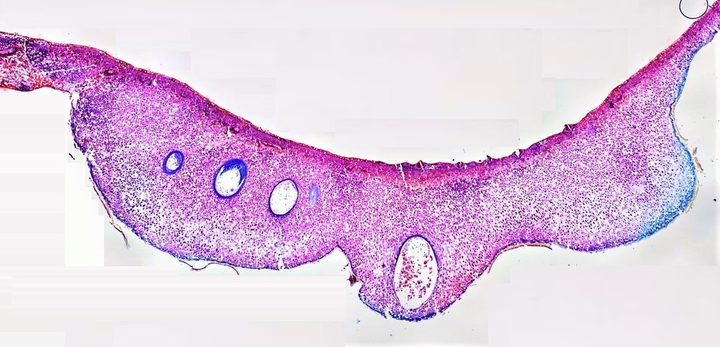
Abb. 4: Übersicht über Aecien in FAC-Auramin O.


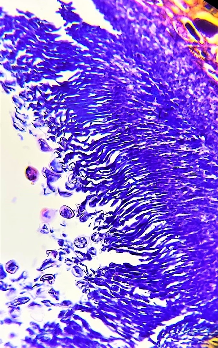
Abb. 5: Aecie im Detail mit Mycel und Aeciosporen.


Abb 6: Mycel der Aecie.


Abb. 7: Aecie mit Mycel im Detail mit FAC-Auramin O Färbung.


Abb. 8: Mycel der Aecie im Detail mit FAC-Auramin O Färbung.


Abb. 9: Übersichtsaufnahme der Spermogonien an der Blattobetrfläche, FAC-Auramin O Färbung.


Abb. 10: Spermogonie im Detail, FAC-Auramin O Färbung.


LG,
Alf