Histo Speicheldrüse? und unbekanntes

Begonnen von Erich T., November 14, 2020, 16:02:20 NACHMITTAGS

Vorheriges Thema - Nächstes Thema

Erich T.

Liebe Forumsmitglieder,
aus meiner Sammlung unbestimmter Histo Präparate stelle ich heute Folgendes vor und bitte wieder um Unterstützung bei der Bestimmung:

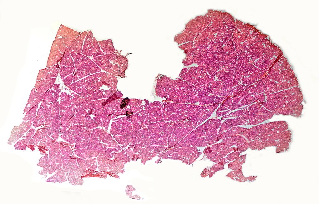
Präparat 1: ich tippe auf eine Speicheldrüse mit mukösen und serösen Anteilen. Das Präparat ist leider sehr uneben und hat erheblich Luft unter das Deckglas gezogen, daher nicht sehr gut zu fotographieren.

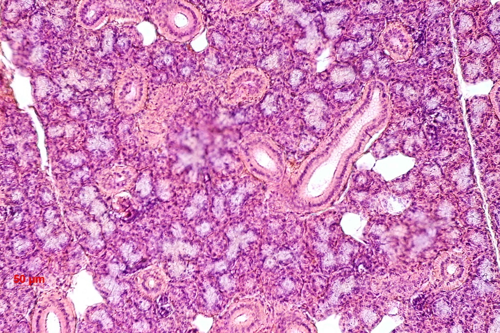
Bild 1: Übersicht


Bild 2: Detail


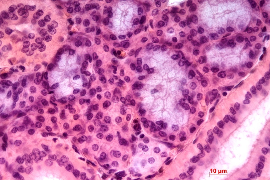
Bild 3: Detail:





Präparat 2: halte ich auch für ein exkretorisches Organ, kann es aber nicht näher eingrenzen

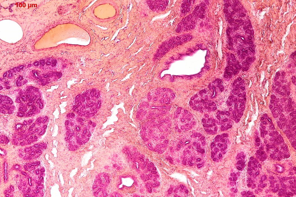
Bild 4: Übersicht


Bild 5: Detail


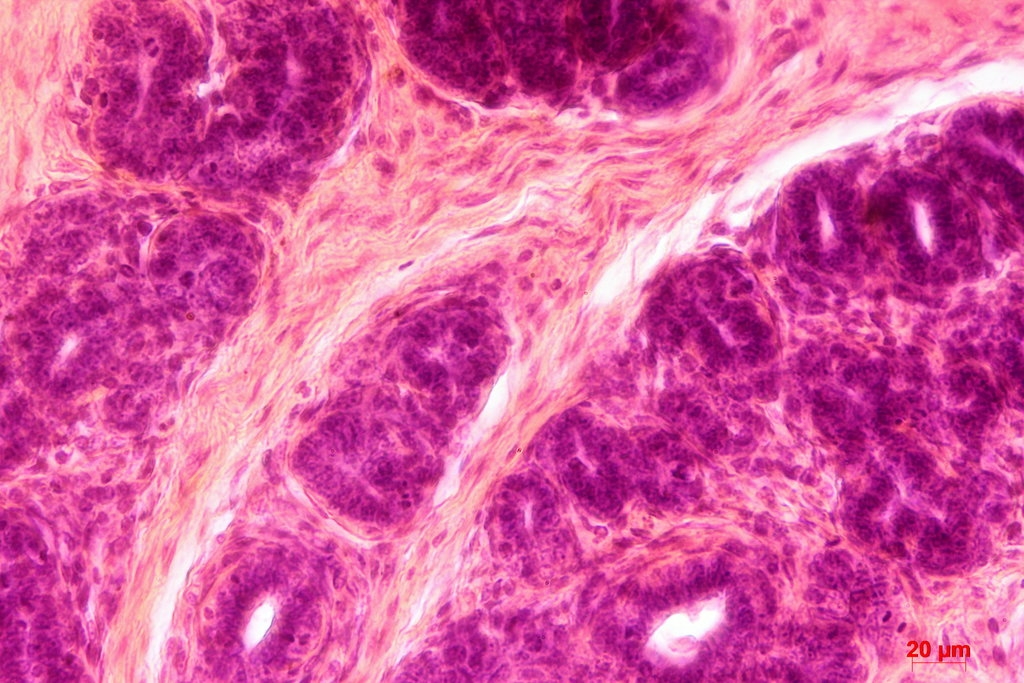
Bild 6: Detail


Ich hoffe wieder auf eure Unterstützung und bin neugierig, ob ich mich mit meiner Einschätzung sehr blamiert habe.

Liebe Grüße
Erich

Ulf Titze

#1
Hallo Erich:

Präparat 1 (Bilder 1-3):
- die Übersicht zeigt eine große Drüse mit Läppchengliederung
- die Detailaufnahmen zeigen das Drüsenparenchym mit serösen Azini (kubische Epithelien mit eosinophilem Zytoplasma) und in der Mehrzahl schleimbildenden Drüsen.
- dazwischen finden sich Anschnitte des Gangsystems.

Wir haben es also mit einer großen Speicheldrüse zu tun. Da kommen die Gl. parotis, Gl. submandibularis und die Gl. sublingualis in Frage. Die Gl. parotis hat rein seröses Sekret - die kann es also nicht sein (Merksatz "Pa-pa-geientränen sind serös": Pankreas, Parotis, Tränendrüse). Die anderen beiden sehen sich sehr ähnlich und werden anhand des Verhältnisses von serösen und muköses Drüsenendstücken unterschieden. Die gezeigte Drüse hat m. E. einen höheren mukösen Anteil, daher tippe ich in Deinem Präparat auf die Gl. sublingualis.


Präparat 2 (Bilder 4-6):
- Auch hier sehen wir Drüsenparenchym mit einer Läppchengliederung und schon in der Übersicht abgrenzbaren Ausführungsgängen
- Im Unterschied zum oberen Präparat sind die Drüsenstrukturen in ein bindegewebiges Hüllgewebe (Mantelstroma) eingebettet.
- Der Schnitt ist ein wenig dick, aber die Drüsen und Gänge scheinen eine zweireihige Auskleidung zu haben: ein basales Myoepithel (nicht ganz korrekt, ich weiß, aber der Begriff hat sich eingebürgert) und ein kubisches bis zylindrisches Drüsenepithel.

Ich denke, das zweite Präparat stammt aus der Brustdrüse, allerdings fehlen die Fettzellen um mir endgültig sicher zu sein. Mir fällt aber nichts besseres ein.

Beste Grüße

Ulf

"Do not worry about your problems with mathematics, I assure you mine are far greater." (A. Einstein)

"Komm wir essen Opi!" - Satzzeichen können Leben retten!!!

Jürgen Boschert

Hallo Ulf und Erich,

beim 2.Präparat meine ich viele glatte Muskelzellen zwischen den Acini zu erkennen (bes. im letzten Bild) und hätte da an Prostata gedacht ?
Beste Grüße !

JB

Ulf Titze

Hallo Jürgen,

Zitat von: Jürgen Boschert in November 14, 2020, 19:24:12 NACHMITTAGS
... hätte da an Prostata gedacht ?

... ich auch kurz, aber die Architektur passt nicht. Die Kombination aus Drüsenläppchen und Gängen sieht man in der Prostata nicht. In der Prostata erwarte ich die zentral gelegene Harnröhre und die radiär darum angeordneten Drüsen. Ich denke, wir haben es hier mit duktolobulären Einheiten der Mamma zu tun.

Gruß
Ulf
"Do not worry about your problems with mathematics, I assure you mine are far greater." (A. Einstein)

"Komm wir essen Opi!" - Satzzeichen können Leben retten!!!

Erich T.

Lieber Ulf, lieber Jürgen,

wieder einmal möchte ich mich für die fachkundige Beurteilung und ganz besonders die erklärenden Beschreibungen bedanken. Mit diesen Informationen kann ich die Schnitte mit echtem Vergnügen betrachten und die verschiedenen Strukturen erkennen und einordnen. Ich profitiere wirklich durch diese Beiträge und lerne enorm dazu.

Liebe Grüße
Erich