Biologiemikroskop Di-Li 955 oder Motic BA310E trino

Begonnen von Allanos, November 28, 2020, 11:33:59 VORMITTAG

Vorheriges Thema - Nächstes Thema

Peter V.

#15
Hallo Rolf,

ich vestehe Deine Frage nicht so ganz - obwohl...ich ahne schon, worauf Du hinauswillst!  ;) Ich habe nicht gesagt, dass die Optik des Panthera "besonders" ist, sondern dass sie wirklich gut ist. Würdest Du auch diese Frage stellen, wenn ich von einer Zeiss oder Leica oder Olympus-Optik gesprochen hätte? Gut heißt für mich: Bei gefärbten Präparaten ein kontrastreiches, brillantes helles und planes Bild. Und das bietet die Panthera Optik - wie natürlich viele (aber nicht jede) ältere Optik renommierter Hersteller auch. Es wurde hier aber nach einem neuen Mikroskop gefragt und da kann ich das Panthera (wie auch das BA 310) guten Gewissens empfehlen. Manchmal habe ich den Eindruck, dass Du einen regelrechten ideologischen Kampf gegen a) höher korrigierte Objektive b) DIK und 3) neue Mikroskope führst. Bitte bedenk, dass viele Wege nach Rom führen und wer nun einmal ein Neugerät sucht, ist mit einem BA 310 oder Panthera gut bedient.
Das ist aber keinesfalls bei irgendwelchen no name Chinageräten immer so. Ich kann nur empfehlen, was ich kenne und die Motics kenne ich (neben zahllosen anderen Mikroskopen aller Altersklassen von Zeiss, Leitz und Olympus). Neben dem Pnathera steht hier übrigens gerade ein Jenamed mit CF250-Planachromaten und da muss sich am gefärbten Pflanzenschnitt das Panthera nicht verstecken!
Wer also explizit ein Neugerät im bezahlbaren Segment sucht, den werde ich nicht krampfhaft zu einem Zeiss Standard etc. überreden!

Herzliche Grüße
Peter

Dieses Posting ist frei von kultureller Aneigung, vegan und wurde CO2-frei erstellt. Für 100 Posts lasse ich ein Gänseblümchen in Ecuador pflanzen.

derda

Hallo Peter,

Rolf schrieb:

ZitatWie unterschieden sie sich von die spätere endlich oder frühe unendlich Achromaten von die renommierten Hersteller?

Vielleicht zauberst du einfach mal einen Okularschnappschuss herbei. Dann kann Rolf sich einen Eindruck verschaffen.

Viele Grüße,

Erik

D.Mon

Hallo zusammen,

Beipielbilder von den Motiv Mikroskopen kann man sich auf der Seite von Christian Linkenheld ansehen.
Einfach Link rechts oben auf jeder Seite des Forums anklicken.

Ich selbst habe ein Panthera U und bin zufrieden. Ich muss allerdings zugeben, dass ich keinen großen Vergleich habe. Die Pantheras lassen sich mit Phako nachrüsten, kostet aber ein paar Euro.

Viele Grüße
Martin
Bitte per "Du" - Martin alias D.Mon
--
Glück kann man nicht kaufen.
Aber man kann ein Mikroskop kaufen und das ist eigentlich dasselbe!
--
Mikroskope: Motic Panthera U, Lomo MBS-10, Orthoplan mit DIC
Kamera: Sony ILCE-6400

derda

#18
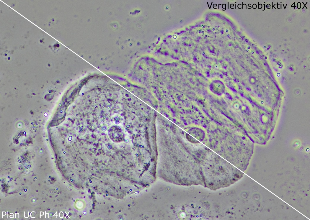
Ein Bild von dem Angebot: https://www.mikroskopie.de/?page_id=1779


Ist zwar ein Planobjektiv Ph und kein ,,einfacher Achromat", aber die Abbildung überzeugt mich.


rhamvossen

#19
Hallo Peter,

Zitatich vestehe Deine Frage nicht so ganz - obwohl...ich ahne schon, worauf Du hinauswillst!   Ich habe nicht gesagt, dass die Optik des Panthera "besonders" ist, sondern dass sie wirklich gut ist. Würdest Du auch diese Frage stellen, wenn ich von einer Zeiss oder Leica oder Olympus-Optik gesprochen hätte?

Eigentlich war ich nur neugierig, ich habe da nichts mit gemeint.

ZitatManchmal habe ich den Eindruck, dass Du einen regelrechten ideologischen Kampf gegen a) höher korrigierte Objektive b) DIK und 3) neue Mikroskope führst

Das kommt mir etwas übertrieben vor. Dies muss ein wenig nuanciert werden.

a). Gegen höher korrigierte Objektive bin ich sicherlich nicht, ich habe sie selbst und gebrauche sie auch! Was Achromaten angeht, ich schätze sie sehr weil es gute allround Objektive sind. Ich gebrauche sie oft für die Fotografie. Was mich stört is das oft gedacht wird das Achromaten minderwertige Objektive sind. Wenn dan ein Anfänger meint gleich das beste vom besten nötig zu haben ohne je mit normale Achromaten gearbeitet zu haben dann stört mich das auch. Dann denke ich: lerne zuerst mal mikroskopieren. Eigentlich ist die Optik (gute achromaten vs apos) nicht so entscheidend für gute Bilder, wie du auch weisst: du sagst das die Panthera Achromaten toll sind und das glaube ich dir gerne. Ich sehe regelmäßig enttäuschende Bilder, aufgenommen mit teure Planapos, z.B. wenn das Objekt sich dafür nicht geeignet hat oder das Präparat war ein bischen zu dick um mit ein hochauflösendes Planapo fotografiert zu werden: ruiniert weil man das beste Objektiv brauchen wollte.

b) DIK habe ich nicht weil ich zufrieden bin mit meine Schiefe Beleuchtung. Ich bin nicht gegen DIK. Ich bin dagegen das man 1000 EUR oder mehr zahlen muss fur einen Satz delaminierte Zeiss DIK Teilen. Und ich wurde gerne sehen das für Organismen aus Tümpel, DIK etwas weniger als 'das schönste' gesehen wurde. Ein normales Hellfeld Bild, Dunkelfeld oder schiefe Beleuchtung kan genauso schön sein, und manchmal sogar schöner. Und mit einfache Mittel zu erreichen.

c) Ich bin ein Fan der alte Mikroskope. Ich mag die gute Mechanik dieser Mikroskope und das wenig Plastik verarbeitet ist. Dass heisst aber nicht das ich gegen neue Mikroskope bin. Ich denke nur das mann mit ein gutes gebrauchtes Mikroskop der renommierten Hersteller besser bedient ist. Und das man für weniger Geld viel mehr Mikroskop bekommt. Wieviel hat das Panthera gekostet? Ich sehe gerade das die Binokulare Version 1575 EUR kostet. Also, die Trinokulare Version noch etwas teurer, und es hat warscheinlich noch kein Phasenkontrast. Und Phasenkontrast war in diesem Fall sehr nützlich gewesen:

ZitatIch möchte Kotproben und Kropfabstriche untersuchen, hauptsächlich Trichomonaden (beweglich), Hefen und Kokzidien.
Auch Bakterien wären schön, dann geht das Tier nämlich umgehend an den Tierarzt.

Für 600-700 EUR hätte man ein Trinokulares Zeiss Standard mit Phasenkontrast bekommen. Ich verstehe auch gut das Jemand nur ein neues Mikroskop kaufen will, aber muss dann gleich 1500-2000 EUR ausgegeben werden?

Beste Grüsse,

Rolf

Peter Reil

Hallo,

hier hat ein neuer User Informationen eingeholt, weil er (sie) ein neues Mikroskop kaufen möchte.

Diesem Wunsch ist mit der Beratung hier entsprochen worden und sie ist fündig geworden. Sie hat eines der in dieser Preisklasse besten Mikroskope gekauft und wird sicher viel Freude an dem Teil haben.
Sollte sie sich jemals Dunkelfeld, Phasenkontrast oder Polarisation auch noch anschaffen wollen, ist dies problemlos möglich.

Wenn jemand ein gebrauchtes Mikroskop sucht, wird es eben eine Beratung für ein gebrauchtes Mikroskop geben.

Insofern verstehe ich nicht, was es hier zu kritisieren gibt.  ::)

Freundliche Grüße
Peter
Meine Arbeitsgeräte: Olympus BHS, BHT, CH2, CHK, Olympus SZ 30, antikes Rotationsmikrotom

D.Mon

Hallo Rolf,

Zitat von: rhamvossen in Dezember 04, 2020, 10:01:30 VORMITTAG
Für 600-700 EUR hätte man ein Trinokulares Zeiss Standard mit Phasenkontrast bekommen.

Aus der Grundsatzdiskussion will ich mich eigentlich heraushalten, aber das klingt sehr interessant.
Kannst Du auch sagen wo?

Viele Grüße
Martin
Bitte per "Du" - Martin alias D.Mon
--
Glück kann man nicht kaufen.
Aber man kann ein Mikroskop kaufen und das ist eigentlich dasselbe!
--
Mikroskope: Motic Panthera U, Lomo MBS-10, Orthoplan mit DIC
Kamera: Sony ILCE-6400

Hugo Halfmann

Zitat von: D.Mon in Dezember 04, 2020, 17:15:23 NACHMITTAGS
Hallo Rolf,

Zitat von: rhamvossen in Dezember 04, 2020, 10:01:30 VORMITTAG
Für 600-700 EUR hätte man ein Trinokulares Zeiss Standard mit Phasenkontrast bekommen.

Aus der Grundsatzdiskussion will ich mich eigentlich heraushalten, aber das klingt sehr interessant.
Kannst Du auch sagen wo?

Viele Grüße
Martin

Guten Abend,

den o.g. Preis kann ich aus eigener Erfahrung bestätigen. Man braucht dafür aber Geduld, click & buy is´nich´..
Viele Grüße aus dem Bergischen Land

Hugo Halfmann

Peter V.

Hallo Rolf,

auch wenn es zunächst anders klingen mag, bin ich letztlich "voll bei Dir", wie man ja heute so gerne sagt.

Zitata). Gegen höher korrigierte Objektive bin ich sicherlich nicht, ich habe sie selbst und gebrauche sie auch! Was Achromaten angeht, ich schätze sie sehr weil es gute allround Objektive sind. Ich gebrauche sie oft für die Fotografie. Was mich stört is das oft gedacht wird das Achromaten minderwertige Objektive sind. Wenn dan ein Anfänger meint gleich das beste vom besten nötig zu haben ohne je mit normale Achromaten gearbeitet zu haben dann stört mich das auch. Dann denke ich: lerne zuerst mal mikroskopieren. Eigentlich ist die Optik (gute achromaten vs apos) nicht so entscheidend für gute Bilder, wie du auch weisst: du sagst das die Panthera Achromaten toll sind und das glaube ich dir gerne. Ich sehe regelmäßig enttäuschende Bilder, aufgenommen mit teure Planapos, z.B. wenn das Objekt sich dafür nicht geeignet hat oder das Präparat war ein bischen zu dick um mit ein hochauflösendes Planapo fotografiert zu werden: ruiniert weil man das beste Objektiv brauchen wollte.

Volle Zustimmung! Gerade der Tümpler kommt gut mit Achromaten oder Semiplan-Planchromaten zurecht, oft sogar besser als mit hochkorrigierten Planapochromaten und der damit einhergehenden geringen Tiefenschärfe. Bei der Tümpelei tut man sich oft mit Planpos recht schwer , wie ich gerade wieder bei der Verwendung eines 60er Planpochromaten bei einer Alge bemerkt habe, die trotz schon geringer Schichtdicke nicht vollständig scharf abgebildet werden konnte.

Im Latienischen heißt es "Uti, non abuti". Planapos sind eben keineswegs die optimalen Objektive für alle Objekte!

Zitatb) DIK habe ich nicht weil ich zufrieden bin mit meine Schiefe Beleuchtung. Ich bin nicht gegen DIK. Ich bin dagegen das man 1000 EUR oder mehr zahlen muss fur einen Satz delaminierte Zeiss DIK Teilen. Und ich wurde gerne sehen das für Organismen aus Tümpel, DIK etwas weniger als 'das schönste' gesehen wurde. Ein normales Hellfeld Bild, Dunkelfeld oder schiefe Beleuchtung kan genauso schön sein, und manchmal sogar schöner. Und mit einfache Mittel zu erreichen.

Auch das stimmt! Es muss nicht immer DIK sein - keinesfalls! Aber wer ihn halt haben möchte und sich leisten kann? Selbstverständlich kann man als Mikroskopiker auch ohne DIK lebenslang glücklich werden und der der Schnippler braucht ihn natürlich gar nicht.



c) Ich bin ein Fan der alte Mikroskope.

Na ja - wer, wenn nicht i c h würde das mit absoluter Inbrunst unterschreiben?  ;)


ZitatIch mag die gute Mechanik dieser Mikroskope und das wenig Plastik verarbeitet ist.

Ich auch!!

ZitatDass heisst aber nicht das ich gegen neue Mikroskope bin. Ich denke nur das mann mit ein gutes gebrauchtes Mikroskop der renommierten Hersteller besser bedient ist. Und das man für weniger Geld viel mehr Mikroskop bekommt.

Sehe ich auch so! Aber das sieht eben nicht jeder so - manche möchten einfach gerne etwas Neues und das muss man dann auch akzeptieren. Wenn sie aber etwas Neues kaufen, dann bitte nicht so ein "undefinierbares" no name Zeug von irgendwelchen Internethändlern, denn bei diesen Geräten gibt es a) breiteste Streuung der optischen und mechanischen Qualität und b) praktisch keinerlei Ausbaubarkeit und Reparabilität. Dann empfehle ich eben gerne Motic, die eine ordentliche mechanische Qualität bieten, optisch mittleweile sehr gut und ausbaubar sind und für die es auch einen Service gibt.

Herzliche Grüße
Peter
Dieses Posting ist frei von kultureller Aneigung, vegan und wurde CO2-frei erstellt. Für 100 Posts lasse ich ein Gänseblümchen in Ecuador pflanzen.

derda

#24
Guten Abend,

aus meiner Sicht haben die älteren Baureihen von Leitz und Zeiss schon ihren Charme. Es macht Spaß sich damit zu beschäftigen und die Ausbaufähigkeit reizt außerdem zum Sammeln.
Moderne Mikroskope sind oft einfacher zu bedienen, die Kameraadaptionen funktionieren ohne langes
Pröbeln und eine LED-Beleuchtung ist auch meistens eingebaut. Der Nutzer kann sich ohne Ablenkung auf das wesentliche konzentrieren: einfach Mikroskopieren.
Ich bin was den Einsatz von Planapos beim Tümpeln angeht nicht ganz der Meinung von Peter und Rolf. Sind sind in Kombination mit dem DIK einfach das Nonplusultra. Natürlich auch nur, wenn man damit umzugehen weiß. Michael und Martin beweisen dies immer wieder mit ihren detaillierten Bildern.

Viele Grüße,

Erik