Kirschbaum - morscher Ast mit Pilz

Begonnen von Alf, April 25, 2022, 15:11:29 NACHMITTAGS

Vorheriges Thema - Nächstes Thema

Alf

Für den Abbau alten Holzes sind vor allem Pilze wichtig. In diesem Präparat wird ein altes, morsches Stück eines Astes einer Kirsche gezeigt, welches von einem Pilz durchwachsen ist. Die eigentliche pflanzliche Gewebsstruktur ist Großteils aufgelöst, Pilzhyphen durchsetzen den gesamten Ast.
An der Rinde des Astes finden sich auch dunkle Pilzhyphen, die sich in der Pianese-Färbung nicht angefärbt haben. 

Technik: Paraffinschnitte nach AFE Fixierung, ca. 10 Mikrometer, Pianese Färbung und in Malinol eingebettet.


Makroskopisches Bild des Astes.


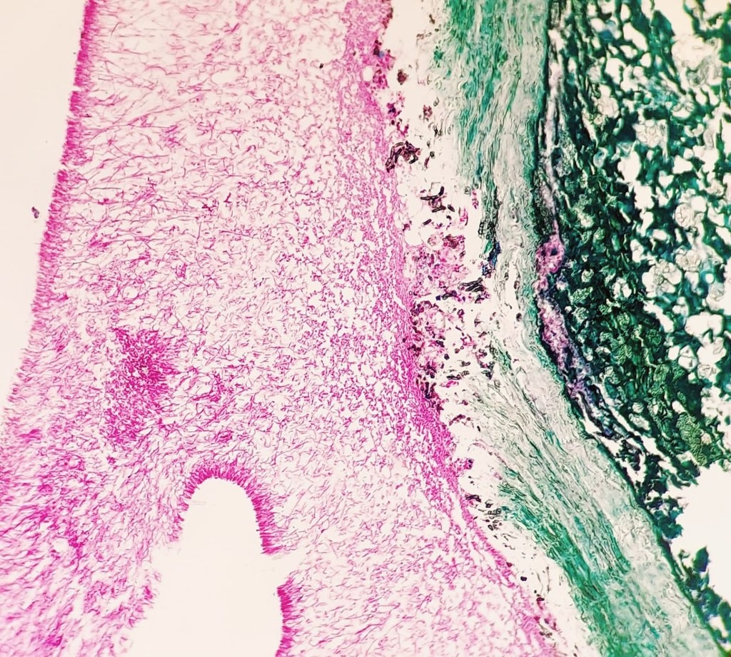
Übersichts-Stack Aufnahme; der außen wachsende Pilz in rosa, das morsche Holz in grün.


Aufnahme aus dem Bereich des Pilzes.


Übersichtsaufnahme aus dem Bereich der Rinde


Aufnahme aus dem Bereich der Rinde; auch dunkle Pilzhyphen




Zahlreiche zersetzte Areale.




Pilzhyphen die in den Ast eingewachsen sind in rosa.


LG

liftboy

Hallo Alr,

auch wenn ich mich jetz blamiere..... Pianese sagt mir nix. Könntest Du freundlicherweise etwas mehr "Speck" geben?

Grüße
Wolfgang

sind übrigends TOP Präparate und Aufnahmen (Neid)
http://www.mikroskopie-forum.de/index.php?topic=785.msg3654#msg3654
LOMO-Service
Das Erstaunen bleibt unverändert- nur unser Mut wächst, das Erstaunliche zu verstehen.
Niels Bohr

Alf

Hallo Wolfgang,

Sehr gerne, die Puanese Färbung dient der Färbung Pilz infizierter Pflanzenteile, wobei sich der Pilz rosa und die Pflanze grün färbt (nur wenn der Teil der Pflanze verholzt ist, was aufgrund der Abwehrreaktion betroffener Pflanzenteile oft der Fall ist). Ich habe sie hier  https://www.mikroskopie-forum.de/index.php?topic=39542.msg291516#msg291516 genauer beschrieben.

LG,
Alf

Rübezahl

Hallo Alf,
mit großer Wahrscheinlichkeit der Reibeisenrindenpilz (Basidiolarium/Hyphoderma radula) der regelmäßig an toter Kirsche vorkommt.
Liebe Grüße
Rainer

Alf

Hallo Rainer,

vielen Dank für die Ergänzung!!

LG,
Alf