Hauptmenü

Spinnenkpopf

Begonnen von Marion S., Mai 02, 2010, 18:08:26 NACHMITTAGS

Vorheriges Thema - Nächstes Thema

Marion S.

Nachdem hier einige Insektenköpfe gezeigt wurden habe ich mich an die Prozedur für das Posten von Bildern herangewagt.



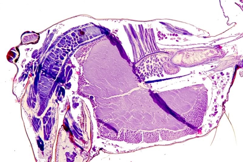
Der lange blaue Schlauch oben ist eine von zwei Giftdrüsen. Rechts daneben der Saugmagen. Interessant wie bei Gliederfüßlern und Insekten
Unterdruck aufgebaut wird, um die Nahrung aufzusaugen. Links oben zwei der acht Augen der Spinne. Unten links noch das Labium zu sehen.
(Das ist der Mund der Spinne, durch den sie die Nahrung saugt; Nahrung saugt die Spinne also nicht durch die Klauen auf).

Färbung: Mallory
Objektiv: N-Achroplan 10
Aufnahme: Canon
________________________________________
mit besten Grüßen

Jürgen H.

Hallo liebe Marion,

willkommen im Kreis der Kleintierhistologen, ich freue mich sehr über Dein Bild.

Ich gehe davon aus, dass Du uns einen Sagittalschnitt zeigst.

In der Tat dürfte der Saugvorgang bei den Spinnen - wie Dein Bild zeigt - wie bei meinen Insekten ablaufen: Die quergestreifte Muskulatur, die an der Chitinhülle des Kopfes ansetzen müsste (wahrscheinlich ist sie beim Präparationsvorgang abgerissen oder schräg durchgeschnitten) und an der Chitinwand des Nahrungskanals angreift, ist ja gut zu sehen. Unmittelbar unter der Chitinwand sieht man vermutlich quer durchgeschnittene Muskelstränge, die lateral am Nahrungskanal angreifen dürften. Der Schnitt müsste also etwas neben dem eigentlichen Nahrungskanal liegen? Interessieren würde mich, ob der Nahrungskanal im Querschnitt sich ebenso zeigt, nämlich als chitinöses Dreieck, wie bei meinen Mücken. Das ist nach Deinem Bild zu vermuten.

Erstaunlich finde ich die erhebliche Gehirnmasse, die anscheinend unterhalb des Nahrungskanals liegt.

Eine nähere Aufnahme des Drüsengewebes würde mich interessieren.

Du hast in Paraffin eingebettet, vermute ich? Würdest Du uns bitte Deinen Präpvorgang näher beschreiben? Ich gratuliere zum Schnitt, alles Chitinöse ist ausgesprochen schwierig. Ich bin gespannt auf weitere Bilder von Dir.

Mikrogrüße

Jürgen

Alfons Renz

Liebe Arachno-Entomologen,

Bei den Spinnentieren (Chelicerata) sind Kopf und Thorax zu einem Cephalothorax verschmolzen, was bei der Interpretation der Morphologie zu beachten ist:



Die Zeichnung (von Peter Wenk, u.a. nach Weber, aus dem Buch "Parasitologie") zeigt die Ableitung der Morphologie bei Anneliden (a), Chelizeraten (b) und Insekten (c). Bei den Chelizeraten (Spinne, a) geht die Entwicklung weiter zu den Schildzecken (Ixodes b) und  Lederzecken (c)



Viel Erfolg bei der Interpretation!


Alfons

Jürgen H.

Lieber Herr Renz,

ganz herzlichen Dank für die schönen Zeichnungen, Jetzt sehe ich schon wesentlich klarer!

Mikrogrüße

Jürgen Harst

Marion S.

Anton:Die Zeichnungen helfen mir auch weiter; auch die Literaturangabe.
Jürgen: ja das zeigt das folgende Bild:



Bei dem ersten Bild mit dem sagitalen Schnitt ist die Mitte nicht genau getroffen, sonst wäre der Giftkanal
nicht so gut zu sehen, von dem es natürlich zwei gibt.

Kurz zu dem technischen Vorgehen: ich bette in Paraffin ein, neuerdings in Paraplast plus und X-tra
mit besseren Ergebnissen. Das spezielle Paraffin dringt doch besser ein und läßt sich besser schneiden.
Geschnitten wird auf einem alten Jungner Rot.Mikrotom mit feather Einmalklingen. An guten Tagen
komme ich deutlich unter 5µm. Alles weiter ist standard.
Bisher habe ich mit Anilinblau nach Mallory gefärbt, probiere aber auch einige andere Färbungen aus:
Azan novum Geidies, Masson-Goldner und mit Kernechtrubin.

Probleme habe ich noch bei der Zuordnung mancher Bilder zu den Zeichnungen der
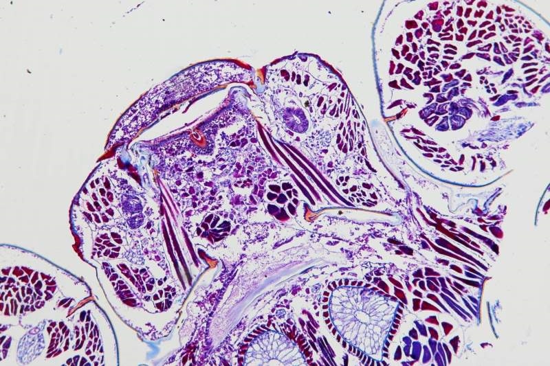
Literatur. z.B. weiß ich nicht, was das folgende Bild zeigt:



Hier scheint es sich auch um eine Saugvorrichtung zu handeln.
Unten rechts im Bild die Giftkanäle; wir sehen also etwas sehr weit vorne im Kopf.
Ich vermute, es ist ein Teil des Labiums.

Grüße aus Köln
Marion
________________________________________
mit besten Grüßen

Jürgen H.

Tolles Präparat liebe Marion, Glückwunsch.

Leider kenne ich mich mit der Histologie der Spinnen überhaupt nicht aus und weiß daher auch nicht wo was zu suchen oder zu finden ist. Wenn ich mit die bisherigen Bilder in diesem Thread und auch das jetztige Bild von seinen denkbaren Funktionen her betrachte, glaube ich aber nicht an eine Saugvorrichtung. Was für eine Schnittebene hast Du denn? Eine Schnittebene, die die dorsale von der ventralen Seite teilt? Der Schnitt erscheint ja nun symmetrisch, die Giftdrüsen sind paarig quer getroffen? Oder doch möglicherweise etwas schräg? Irgendwo zwischen transversal und frontal? Bei Dir liegen die Giftdrüsen rechts unten. Da sie in Deinem Sagittalschnitt vor dem Stoma liegen, können die beiden paarigen Muskelstränge kaum eine Saugvorrichtung bedienen, eher einen Kopfanhang bewegen? Jedenfalls wenn Laufrichtung der Spinne nach links oben im Bild wäre?

Mikrogrüße

Jürgen