Amplitudenkontrast mit der LEITZ DIC Einrichtung

Begonnen von Holger Adelmann, August 13, 2010, 19:25:11 NACHMITTAGS

Vorheriges Thema - Nächstes Thema

Holger Adelmann

Liebe Kollegen,

nach meinem Urlaub möchte ich noch mal auf einen alten Thread von mir zurückkommen, wo wir über DIC bei gefärbten Präparaten schliesslich auch zu einer Diskussion über den Amplitudenkontrast (AC) gekommen sind:
https://www.mikroskopie-forum.de/index.php?topic=6496.0

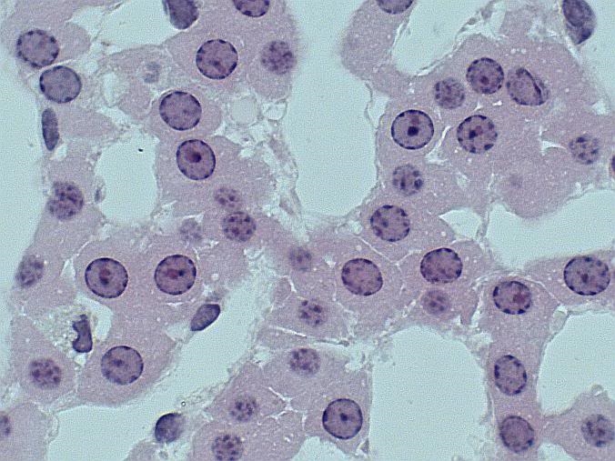
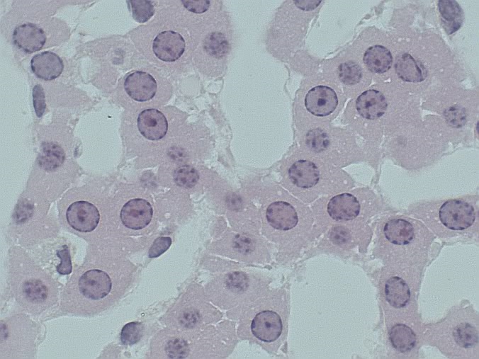
Ich habe nun den Leitz DIC gemäss der von mir in dem früheren Thread genannten Literaturstelle eingestellt, ein sehr blass gefärbtes Präparat (Nebennierenmark) herausgesucht und einmal ein paar Vergleichsaufnahmen im Hellfeld [Bild 1], DIC [Bild 2] sowie Aplitudenkontrast [Bild 3] gemacht. Die Bilder sind etwas helligkeits- und farbangepasst, jedoch wurde der Bildkontrast nicht weiter digital bearbeitet, um möglichst objektiv vergleichen zu können !
Die Aufnahmen zeigen allesamt eine verschiedene Charakteristik, die wir hier gerne diskutieren können, ich bitte also um Eure Meinungen und Eindrücke.
Ich finde, die trotz der blassen Färbung schon insgesamt kräftiger gefärbten Zellkerne werden im Amplitudekontrast am besten verstärkt / kontrastiert. Auch scheint mir im AC das Plasma schöner, d.h. weniger durch den 3-D DIC Effekt beeinflusst.
In der Literatur wird zur Theorie der Abbildung hierbei folgendes angegeben: "In amplitude contrast microscopy [an in comparison to DIC], gradients in amplitude are compensated instead of, or in addition to, gradients in phase difference" (David und Williamson: Amplitude Contrast Microscopy in Histochemistry, Histochemie 27, 1-20, 1971).

Herzliche Grüsse
Holger










-JS-

Lieber Holger,
Du erbetteltst Bemeckerungen.
Als medizinischem Dummbatz wie ich es nun einmal bin, mag mir das schwer werden, aber eine Bewertung Deiner drei gezeigten Aufnahmen möchte ich denn doch schon einmal versuchen.
Dein Bild eins wirkt zweifellos ein wenig 'bodenständig', obschon sämtliche Informationen hinsichtlich Strukturen, Abgrenzungen und farblichen Differenzierungen enthalten sind.
Die nachfolgend gezeigte DIC-Aufnahme bringt einen 'Hauch' von Dimensionalität, aber meiner Meinung nach kein bisschen mehr an zusätzlicher Information. Eigentlich ist eher das Gegenteil der Fall: manche in Bild 1 deutlich sichtbaren Strukturen werden (mein Eindruck) in Bild 2 wesentlich verwaschener dargestellt.
Die Darstellung in Bild 3 erinnert mich (sorry!) ein meine ersten Gehversuche mit Schräglicht oder der (anfänglich sicher falsch) nachgebauten Kreutz-Blende :,D
Ausser einer ein wenig schärferer Kontrastierung an manchen Rändern kann ich dem dargestellten Bild leider keine nennenswerte Mehrinformation entnehmen.

Fazit: ich bin mir nicht sicher, ob in dem von Dir gezeigten Triple-Beispiel nun wirklich *die* Menge an Mehrinformation dokumentiert wird.

Ich möchte es zusammenfassend in Anbetracht des von Dir hier aktuell gezeigten Beispiels sowie Deiner damit zusammenhängenden Fragestellung (sorry 'bout, ol' chum) schlicht und einfach bezweifeln.
Dennoch:
Herzlichen Gruß,

Joachim
... bevorzugt es, ge_Du_zt zu werden ...

Holger Adelmann

Hallo Joachim,

ich hatte keine "Bemeckerungen erbettelt", sondern Bemerkungen erwünscht.
Aus Deinem Kommentar spricht - völlig zuecht - die Kritik an der Verwendung von DIC oder des hier vom DIC abgeleiteten Amplitudenkontrastes bei gefärbten Hellfeldpräparaten.
Es stimmt, dass das Hellfeldpräparat schon alle Informationen enthält und DIC oder AC hier keine wesentlichen Verbesserungen bringen.
Der Amplitudenkontrast hat sich ja auch bei den oft vorliegenden, gemischten Phasen-/Amplitudenobjekten letztlich als Methode nicht durchgesetzt, auch ich verwende ihn in der Praxis nicht.
Mir ging es lediglich darum, die im vorigen Thread gestarteten Anmerkungen zum AC mit einem Beispiel zu komplettieren, da vermutlich nicht viele hier im Forum einen direkten Vergleich dieser 3 Beleuchtungsverfahren bei gefärbten Hellfelpräparaten schon gesehen haben.
In den 70er Jahren hatte man ja noch nicht die Möglichkeiten der digitalen Kontrastverbesserung flauer Hellfeldbilder, daher half der AC hier rein visuell im Mikroskop.
Allerdings störten sehr oft die auch hier sichtbaren, gemischten Amplituden- / Phaseneffekte. Diese empfinde ich im DIC hier besonders störend aber auch im AC im Beispiel noch sichtbar, d.h. man erhält keine reine Amplitudenverstärkung mit dieser Methode (ich habe alle Kompensator-Einstellungen im AC ausprobiert, die gezeigte war die beste).
Heute macht man das einfach über eine digitale Kontrastverstärkung, welche manche Kameras schon in Echtzeit anbieten, siehe angehängtes Bild des digital verstärkten flauen HF Bildes.

Herzliche Grüsse
Holger





Rene

I can only agree with you Holger, I hardly ever see something in DIC that I have not seen in brightfield before. But with more contrast. In the lab, it is more in use as an ergonomical tool then as a necessity. In that respect, Amplitudecontrast would do very well as routine method.

Nice demo. I have seen ref to AC in Pluta (PZO). Did Leitz produce an AC serie as well?

Thanks,
René

Holger Adelmann

Hallo Rene,

zu Deiner Frage:
Nein, Leitz hat m.E. keine explizite Amplitudenkontrast-Einrichtung gebaut.
Nach meinem Wissen gibt es 2 Möglichkeiten, Amplitudenkontrast im Hellfeld zu erzeugen. Essentiell ist bei beiden, die Amplitude des beleuchtenden Lichtes relativ zu der des gebeugten und/oder absorbierten Lichtes zu verkleineren um dadurch den Bildkontrast zu erhöhen:

(1) Die Einrichtung nach Pluta funktioniert so ähnlich wie eine Phasenkontrast-Einrichtung. Kurz zur Erinnerung: Der im Objektiv eingebaute Phasenring hat beim Phasenkontrast zwei Aufgaben: Er soll das Beleuchtungslicht (die nullte Ordnung, welche ja durch den konjugierten Ringschlitz im Kondensor geht) abschwächen und gleichzeitig in der Phase so drehen, das es mit dem phasenverschobenen Licht des Phasenobjektes interferieren kann. Pluta hat vorgeschlagen, die zweite Eigenschaft durch eine Kryolithschicht auf dem objektivseitigen Phasenring zu kompensieren, so dass nur der erste Effekt (die Abschwächung des Beleuchtungslichtes) resultiert. Der Phasenkontrast-Ring wird dadurch also quasi zu einem Amplitudenkontrast-Ring.

(2) Mit einer DIC Einrichtung kann man die Anpassung der 2 interferierenden Strahlengänge in anderer Weise erzeugen: Man de-justiert die Lage von Analysator und Polarisator in einer optimal eingestellten Zeiss DIC Einrichtung (nach Allen, David und Nomarski http://www.microscopyu.com/references/pdfs/Allen_etal_Zeit_Wissen_Mikro_Tech_69-193-1969.pdf).
Bei der Leitz DIC Einrichtung nach Smith, welche ich besitze, ist kein DIC-Schieber wie bei Zeiss vorhanden sondern Objektive und Kondensor haben fest justierte Wollaston Prismen und man stellt den DIC Effekt durch drehen des Polarisators ein, welcher bei der Smith Einrichtung mit einer lambda/4 Platte fest gekoppelt ist (also einen phasenschiebenden Kompensator ähnlich de Senarmont darstellt [Shinya Inoue, J Cell Biology 89, 346-356]). Diesen schwenke ich ganz einfach aus und ersetze ihn durch einen einfachen Polarisator, der mir dann durch Drehung aus der Nullstellung den Amplitudenkontrast ergibt.

Herzliche Grüsse
Holger