Hauptmenü

Schmetterlingslarve, Teil2

Begonnen von Ole, September 27, 2010, 19:00:26 NACHMITTAGS

Vorheriges Thema - Nächstes Thema

Ole

Hallo,
Mitte August hatte ich einen Schnitte durch eine Schmetterlingsraupe in Paraffin gezeigt und nach einem Objekt (ein Parasit) in der Larve gefragt (https://www.mikroskopie-forum.de/index.php?PHPSESSID=nogak2k1j87nu346l42gu99kq5&topic=6696.0). Bislang bin ich aber die "fertigen" Schnitte schuldig geblieben. Daher jetzt eine kleine Zusammenstellung von Aufnahmen verschiedener Schnitte.
Diesmal habe ich auch eine etwas ausführlichere Beschreibung meines Vorgehens erstellt. Ich hoffe, es ist für den einen oder anderen im Forum auch von Interesse. Für Verbesserungsvorschläge, Tipps oder Hinweise zur Durchführung bin ich dankbar. Schließlich bin ich mir bei der Zuordnung einiger Strukturen der Schnitte nicht sicher, vielleicht weiß hier ja im Forum jemand Rat (Abb.8 und 9).

Zu dem gezeigten Objekt selbst kann ich leider wenig berichten, es handelt sich offenbar um die Larve eines Schmetterlings. Leider habe ich es verpasst, die Raupe vor der ganzen Prozedur zu bestimmen oder zu fotografieren, daher ist eine Bestimmung jetzt wohl nicht mehr möglich (falls jemand die Raupe doch an ihren ,,inneren Werten" erkennt, nur zu  ;D )
Zum Ablauf der Behandlung:
1)   Fixierung der Larve in Bouinscher Lösung; 6 Tage
2)   Spülen in Wasser; ~14 Stunden
3)   25% Isopropanol; 4,5 Stunden im Schüttler
4)   50% Isopropanol; 5 Stunden im Schüttler
5)   80% Isopropanol; 24 Stunden (2x)
6)   99,9% Isopropanol; 24 Stunden (2x)
7)   99,9% Isopropanol; 1,5 Monate (bin eben Saisonarbeiter  :) )
8.)   Isopropanol:Butanol (1+1); 24 Stunden
9)   n-Butanol; 24 Stunden (2x)
10)   n-Butanol; 1 Stunde
11)   Paraplast (Roth); 12 Stunden bei 60°C
12)   Paraplast; 10 Stunden bei 60°C
13)   Paraplast; 16 Stunden bei 60°C
14)   Gießen des Blocks (Orientierung der Larve auf der Seite parallel zur Schnittfläche. Als Gießform diente eine Eiswürfelform mit geradem Boden). Befestigung auf Holzblock
15)   Schneiden am Rotationsmikrotom (Leica RM2055; Feather Klingen S35 bei 7°, Schnittdicke 8µm)
16)   Strecken der Schnittbänder im Wasserbad bei 40°C; Aufziehen auf beschichtete Objektträger (s.u.)
17)   Abtropfen des Wassers und Antrocknen der schräggestellten Objektträger bei Raumtemperatur (einige Stunden)
18)   Trocknen der Objektträger im Trockenschrank bei 40°C, etwa 20 Stunden
19)   Erhitzen der Objektträger auf einer Wärmeplatte bis das Paraffin gerade schmilzt, dann zügig abkühlen (2x)
20)   ,,UV-Crosslink" (250 mJ).
21)   Entparaffinieren in Roti-Histol; 10min
22)   Isopropanolreihe: 100%, 95%, 70%; je 1-2min
23)   Isopropanol 50% mit Zusatz von Ammoniak (Entfernen der Pikrinsäure); 10min
24)   Isopropanol 25%
25)   Aqua dest. 5min (2x)
26)   Färben mit Azan (s.u.); 5 Stunden
27)   Objektträger kurz in Aqua dest. spülen (kurz eintauchen)
28)   Differenzieren in Isopropanol (etwa 70-80%)
29)   Isopropanol 5min
30)   Roti-Histol 5min
31)   Einschluss in Roti Histokitt (trocknet recht schnell)
Einige Kommentare dazu:

Bouinsche Lösung: Fixiergemisch bestehend aus wässriger Pikrinsäurelösung, Formalin und Eisessig. Ich nutze hier die Fertiglösung von ChemLab (siehe Linkliste)

Objektträgerbeschichtung
Normale Objektträger in Isopropanol (technisch) einlegen und mit Haushaltspapier (,,Wisch&Weg-Tücher") trockenreiben. Einstellen der Objektträger in eine 2%ige Gelatinelösung bei 60°C für 10min (Gelatinelösung im Wasserbad warmhalten, Trockenschrank ist schwieriger). Ich nutze die Gelatine von Carl Roth, Typ ,,Gold", 180 Bloom. Normale Haushaltsgelatine habe ich bislang nicht ausprobiert. Der Vorteil ist, dass in einem Halter für Objektträger, wie er für den Transfer zwischen verschiedenen Gefäßen bei Schnittfärbungen eingesetzt wird, viele Träger parallel in einem Tauchbad gleichmäßig und reproduzierbar beschichtet werden können und damit schnell ein (auch größerer) Vorrat aufgebaut werden kann. Die Träger werden nach dem Abtropfen anschließend (in dem Objektträgerhalter senkrecht stehend) bei 40°C 16-24 Stunden getrocknet und dann bei Raumtemperatur bis zur Benutzung gelagert (ich lagere die Träger griffbereit in normalen Präparateboxen, damit die Träger nicht direkt aufeinander liegen).

UV-Crosslink
Dieser Schritt stammt eigentlich aus der Molekularbiologie und dient der Quervernetzung von Molekülen (insb. von Nukleinsäuren). Ob dieser Schritt tatsächlich einen Effekt auf die Haftung des Schnitts an den Objektträger hat, kann ich aber bislang nicht entscheiden (noch keine Vergleiche angestellt)! Auf jeden Fall kleben die Schnitte nach Erhitzung & Crosslink ,,bombenfest" an dem Träger und lassen sich auch nach dem Entparaffinieren nur noch vom Glas kratzen :-) Es geht aber sicherlich auch ohne Crosslink, ich habe ihn hier der Vollständigkeit halber trotzdem aufgeführt.

Aqua dest.: Kein ,,echtes" destilliertes Wasser sondern entmineralisiertes Wasser aus dem Baumarkt

Azan-Färbung:
Hier kam die Färbung wie im Buch ,,Histologie der Tiere" von Streble/Bäuerle (Elsevier) beschrieben zum Einsatz. Die Autoren differenzieren bei ihrer Rezeptangabe aber zwischen Anilinblau und Methylblau (nicht MethylENblau), was ich nicht nachvollzogen habe und nur Anilinblau einsetzte. ,,Meine" Lösung besteht aus folgenden Komponenten:
1.   0,6g Anilinblau
2.   0,4g Orange G
3.   2,8g Kernechtrot
4.   0,8g Weinsäure
5.   1,6g Phosphorwolframsäure
6.   8,0g Kalialaun
Die Substanzen werden in 740ml entmineralisiertes Wasser gebracht und bei Sieden auf dem Magnetrührer 30min gelöst. Anschließend Filtration durch Faltenfilter (notfalls geht auch ein Kaffeefilter). Steht kein beheizbarer Magnetrührer zur Verfügung, kann die Lösung auch im Wasserbad bis kurz vorm Sieden erhitzt und regelmäßig umgerührt werden.

Zur Optik:
Mikroskop: Leica DMLB, umgebaut auf LED-Durchlicht (Osram ,,Ostar", 6500K); Kamera: Canon 350D oder Leica EC3 (adaptiert durch Promicron- oder Leica- Adapter). Leider wirken die Bilder nach dem Verkleinern auf ,,Forumgröße" alle ,,flauer" und unschärfer als die Originale.

Hier einige Ergebnisse:

Abb.1: Zunächst eine Übersicht. Längsschnitt etwa durch die Körpermitte. Das Tier hatte den Kopf bei der Fixierung zur Seite gedreht. In dem Schnitt ,,guckt die Raupe nach unten", daher wurde der Kopf von der Klinge noch nicht erfasst und scheint hier zu fehlen. 30 Einzelaufnahmen mit der Canon 350D durch ein HC PL Fluotar 5x/0.15 wurden mittels ,,Autostitch" (frei downloadbar) kombiniert, mittels Photoshop etwas frisiert (Tonwertkorrektur) und mittels IrfanView wieder verkleinert.


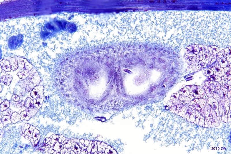
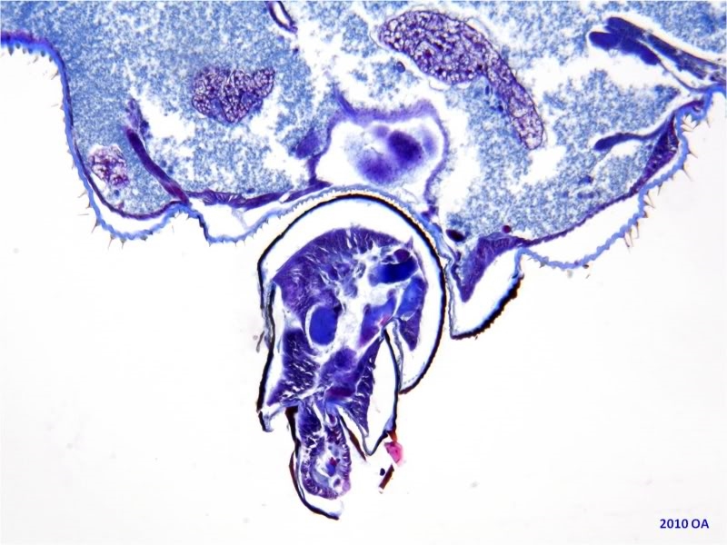
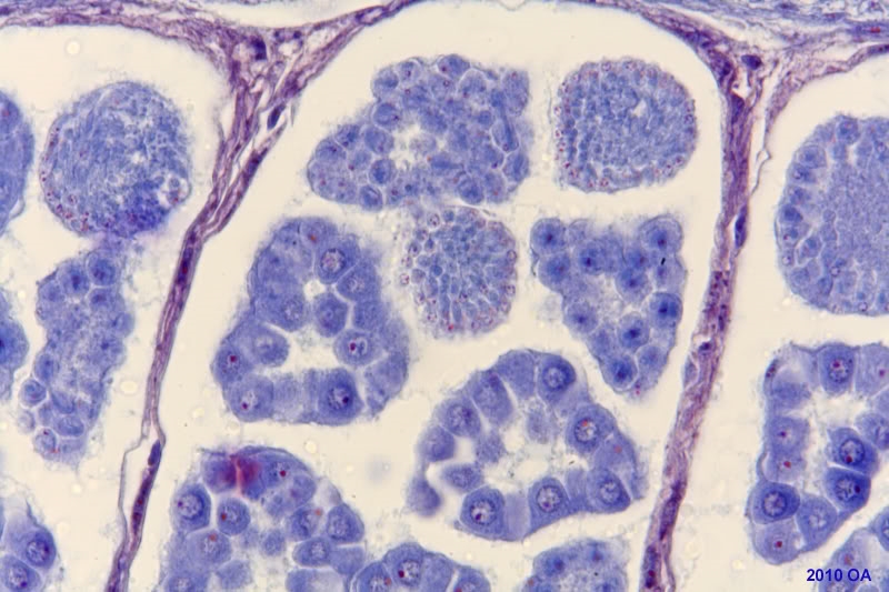
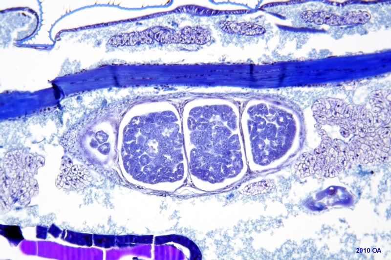
Abb.2: Der Parasit in der Schmetterlingslarve (siehe meine alte Anfrage im Forum zur Bestimmung). Hier wurden 21 Einzelaufnahmen mit der Canon 350D durch ein PL Apo 20x/0.60 mittels ,,Autostitch" kombiniert und nachbearbeitet.


Abb.3: Auf dieser Einzelaufnahme sind die Tracheen als ,,Kanäle" gut zu erkennen (HC PL Fluotar 10x/0.30)


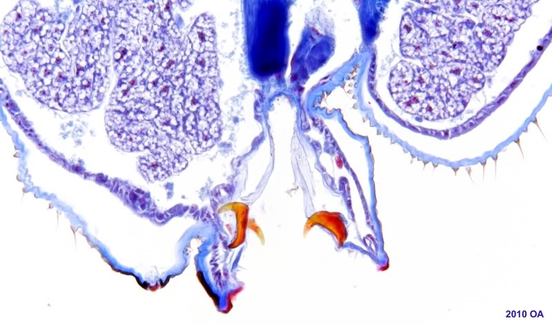
Abb.4: Die Raupen haben im vorderen Körperbereich zwei kleine ,,Beinchenpaare", eines der hinteren ist hier getroffen (HC PL Fluotar 10x/0.30).


Abb.5: Nachfolgende Segmente tragen an der Unterseite kleine ,,Fußstummel", die offenbar auch Strukturen zum Festhalten besitzen (5 Aufnahmen ,,gestackt" mit Combine ZP).


Abb.6: Wie Abb.5 aber andere Schnittebene


Abb.7: Auch am Hinterende der Raupe existieren diese Strukturen zur Verankerung


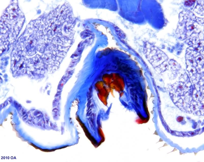
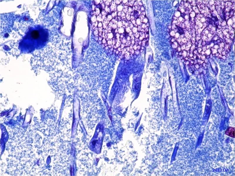
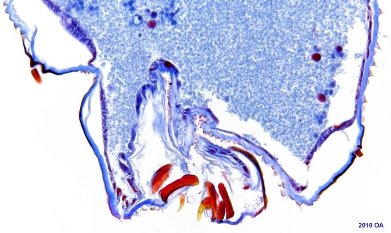
Abb.8: Was hier abgebildet ist, vermag ich leider nicht zu sagen (vielleicht Eibildung?) Weiß hier vielleicht jemand mehr?


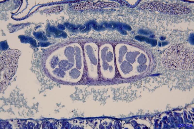
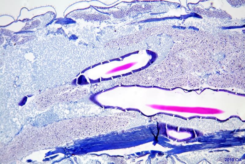
Abb.9: Auch hier kann ich nur spekulieren: Die Raupen können ,,Spinnfäden" bilden, mit denen sie sich von Bäumen abseilen können. Könnten die Substanzen dazu hier gebildet werden? Ich meine im Streble/Bäuerle eine gewisse Ähnlichkeit zu Spinnfäden zu erkennen, kann mich aber täuschen. Diese ,,Kanäle" scheinen mit Drüsen ausgekleidet zu sein und können recht groß werden (siehe Abb.1 unter dem Darmkanal). Für Hinweise bin ich wie immer dankbar!

Viele Grüße,
Ole

Fahrenheit

Lieber Ole,

vielen Dank für die sehr schöne und informative Darstellung!

Herzliche Grüße
Jörg
Hier geht's zur Vorstellung: Klick !
Und hier zur Webseite des MKB: Klick !

Arbeitsmikroskop: Leica DMLS
Zum Mitnehmen: Leitz SM
Für draussen: Leitz HM

Jürgen H.

Lieber Ole,

Glückwunsch zu den so schön gelungenen Schnitten! Ich freue mich immer, wenn ich etwas tierisch Histologisches zu sehen bekomme....

Besonders gefällt mir auch die Idee der reproduzierbaren Gelatinebeschichtung Deiner OTs. Was machst Du mit der Rückseite? Abwischen?

Wo befindet sich die Stelle Abbildung 8 im Körper? Auf der Abbildung eins kann ich die Struktur nicht finden? Ebenso nicht die Struktur von Bild 9? Könntest Du bitte einmal die Stelle unter dem Darm, mittig in Bild 1 näher zeigen?

Mikrogrüße

Jürgen

Ole

Lieber Jörg, Lieber Jürgen,
vielen Dank für eure Kommentare!

@Jürgen:
1)  Zunächst befürchtete ich auch, dass die beschichteten Rückseiten der Objekträger (OT) Probleme bereiten könnten. Das hat sich in der Praxis allerdings nicht bestätigt. Die fertigen OT mit den Präparaten kleben nicht an ihren Unterlagen an, auch beim Erhitzen (Schritt 19) kleben die Träger nicht an der Wärmeplatte an. Ich "poliere" die fertigen Präparate (also nach Trocknung des Harzes) am Ende noch etwas, um Fingerabdrücke etc. zu entfernen, das ist alles. Ein Abwischen der OTs nach dem Gelatine-Tauchbad entfällt komplett. Die Idee ist leider auch nicht von mir, ich habe sie aus dem Buch "Histotechnik" von Gudrun Lange (Springer Verlag, 2006). Dort wird eine 0.5% Gelatinelösung beschrieben. Falls es Dich interessiert, kann ich Dir einige beschichtete Träger schicken (oder etwas von der Gelatine), dann kannst Du ja einmal testen, ob sie für Deine Protokolle geeignet sind.

2) Die gezeigten Bilder stammen von verschiedenen Schnitten einer Serie. Die Abbildung 8 stammt aus einer Serie dorsaler Schnitte (also der "Rücken" der Larve liegt zur Klinge). Dazu habe ich noch einmal eine andere Aufnahme gemacht:  

Abb. 10: Der Darm ist links angeschnitten im Bild. Oben ein eiförmiges Objekt, von dessen blauen Rand etwas zu sezerniert werden scheint (rote Punkte). Etwas weiter rechts dann die eiförmigen Elemente mit geschlossenen roten Ring (das Präparat ist leider beschädigt; Fluotar 5x/0.15).

3) Auch die Abb. 9 stammt von einem anderen Schnitt als Abb.1. In Abb.1 sieht man unter dem Darm jedoch noch weitere "Kanal-artige" Strukturen, die der in Abb.9 entsprechen, nur sind diese in Abb.1 deutlich weiter. Ich habe dies in vielen Schnitten gefunden, die "Füllung" zeigt nie zelluläre Strukturen und ist immer rot eingefärbt. Das umgebende Gewebe wird vom Anilinblau kräftig angefärbt. Aufgrund dieses Befundes hatte ich die Idee, dass es sich bei der roten Substanz um eine Vorstufe der "Seide" handeln könnte. Anbei noch ein weiteres Beispiele. Diese ersten Schnitte hatte ich übrigens zu Testzwecken durchgeführt und auf unbeschichtete OTs aufgezogen (was mich inzwischen sehr ärgert): Diese Schnitte gingen bei der Färbung fast alle kaputt (Fluotar 5x/0.15).

Abb.11: Lateraler Schnitt, der Darm wurde noch nicht getroffen. In diesem Bereich sind die fraglichen Kanäle weitaus weiter, die rotgefärbte Matrix ist jedoch auch vorhanden.

Viele Grüße,
Ole

Alfons Renz

Lieber Ole,

Gratulation zu den schönen Schnitten und Ihrer wohl zutreffenden Interpretation! Bei den länglichen Gebilden mit amorpher Füllung dürfte es sich mit Sicherheit um die Speicheldrüsen handeln, die das Material für den Spinnfaden produzieren.

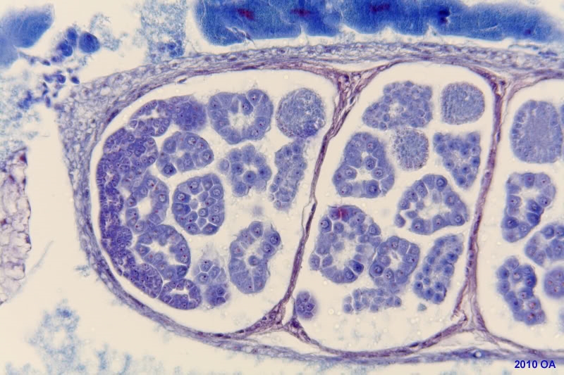
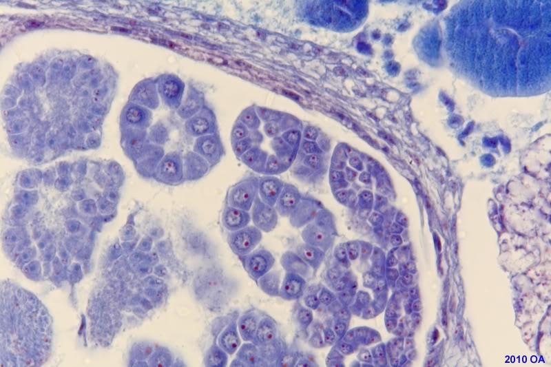
Mich würden natürlich die 'Parasiten' im Haemocoel/Fettkörper besonders interessieren, obwohl ich mich bei dieser Tiergruppe zugegebenermaßen weniger auskenne. Hilfreich wäre eine Aufnahme mit stärkerer Vergrößerung und in aufeinander folgenden Schnitten: Sind die 4 Kammern geschlossen oder stehen sie untereinander oder mit dem Haemocoel in Verbindung? Sieht man Teilungs- oder Entwicklungsstadien in den Zellhaufen? Es könnte sich um Microspridien handeln, aber das ist nur eine von vielen Möglichkeiten.

Auffällig sind die Schrumpfungsartefakte (regelmäßige Lücken) in der Wand der Speicheldrüsen und die 'Shatter' (Splitterungen durch Vibration des Messers) im Sekret. Beides deutet auf zu hartes Material hin. Ich vermute, dass hierfür das Isopropanol verantwortlich ist, dem man solche Härtungsefekte zuschreibt.

Mir herzlichen Histo-Grüßen,

Alfons 

Rawfoto

Lieber Ole

Gratulation und danke vor allem fuer die Beschreibung der Vorbereitung der Objekttraeger. Dazu hätte ich auch noch eine Frage bezüglich Haltbarkeit. Wie lange sind die vorbereiteten Objekttraeger "haltbar" und wie schauts im Sommer aus, wird die Beschichtung erst bei ca. 40 Grad wieder weich ...

:-)

Gerhard
Gerhard
http://www.naturfoto-zimmert.at

Rückmeldung sind willkommen, ich bin jederzeit an Weiterentwicklung interessiert, Vorschläge zur Verbesserungen und Varianten meiner eingestellten Bilder sind daher keinerlei Problem für mich ...

Ole

Lieber Alfons,
vielen Dank für die Bestätigung meiner Vermutung zu den "Spinndrüsen". Auch der Hinweis auf die härtende Wirkung des Isopropanols passt sehr gut ins Bild, schließlich waren die Tiere fast 2 Monate im Alkohol, da ich nicht dazu kam, die Paraffineinbettung vorzunehmen.
Zu dem Parasiten: Ich werde heute leider nicht mehr dazu kommen, aber ich werde in den nächsten Tagen einmal weitere Aufnahmen aus verschiedenen Schnittebenen mit höherer Auflösung ins Netz stellen. Falls eine weitere Identifizierung möglich sein sollte, würde mich das auch sehr interessieren!

Lieber Gerhard,
Die trockene Beschichtung wird selbst beim Schmelzen des Paraffins auf der Wärmeplatte (ca. auf 75°C eingestellt) nicht weich und klebt auch nicht an der Platte. Das Eiweiß der dünnen Schicht wird denaturieren, aber nicht mehr. Zur Haltbarkeit kann ich lediglich auf max. 3 Monate bei Raumtemperatur zurückblicken, länger hält mein Vorrat nie :)
Daher kann ich nur noch aus dem Buch "Histotechnik" von G. Lang zitieren: "Die so präparierten Objektträger können beliebig lange aufbewahrt werden."

Viele Grüße,
Ole

Jürgen H.

#7
Lieber Ole,

denaturiertes Eiweiß? Ich denke Du benutzt Gelatine?

Die Labialdrüsen müssten sich, wenn Du eine Schnittserie hast, bis zum Kopf verfolgen lassen. Offenbar handelt es sich in Deiner Raupe um tubuläre Drüsen, die eventuell verzweigt sind oder in Bogenform durch den Körper verlaufen, so dass man mehrere Stücke untereinander gleichzeitig in einem Schnitt sieht. Wahrscheinlich ist die Drüse paarig ausgebildet, wobei die Paare in einen einzigen Ausführungsgang zusammenlaufen. Im Kopf befindet sich eventuell, so lese ich in der Literatur - noch eine "Seidenpresse". Vielleicht findest Du so etwas?

Vielen Dank für die schönen Fotos, Spinndrüsen habe ich noch nicht gesehen...

Mikrogrüße Jürgen

Ole

Lieber Alfons,
wie versprochen, hier einige Schnitte durch den Parasiten. Zwei Abbildungen zeigen Bilderstapel, die übrigen Aufnahmen sind nur minimal (Gradationskurve) bearbeitet. Eine Verbindung ins Haemocoel habe ich nicht gefunden, allerdings weiß ich auch nicht, wie diese exakt aussieht.


Apo 20x; In der Mitte zeichnet sich der Parasit als Schatten ab.


Apo 20x; 10µm näher


Apo 20x; nochmals ein Schnitt weiter


Apo 20x, Bilderstapel (Combine ZP)


Fluotar 10x, Bilderstapel (Combine ZP)


Fluotar 10x, die Länge des Objektes beträgt hier etwa 1mm


Fluotar 10x


Apo 20x


Apo 40x


Apo 40x

Ich hoffe, die Aufnahmen sind hilfreich.


Lieber Jürgen,
bei der Denaturierung der Gelatine habe ich mich wohl mißverständlich ausgedrückt. Ich meinte nicht Eiweiß im speziellen Sinne von "Hühnereiweiß" sondern allgemein im Sinne von "Protein".
Ich habe mir heute nochmals die Schnitte angeschaut, konnte aber leider keine Kammer identifizieren, in die die Drüsenkanäle enden. Allerdings habe ich noch einige Schnittserien, die ich noch nicht verarbeitet habe. Da könnte vielleicht noch etwas dabei sein. Falls ich da einmal fündig werde, melde ich mich nochmal zurück.

Viele Grüße,
Ole