Hauptmenü

Appositionsauge

Begonnen von Jürgen H., Oktober 12, 2010, 21:26:37 NACHMITTAGS

Vorheriges Thema - Nächstes Thema

Jürgen H.

Liebe Mitmikroskopiker,

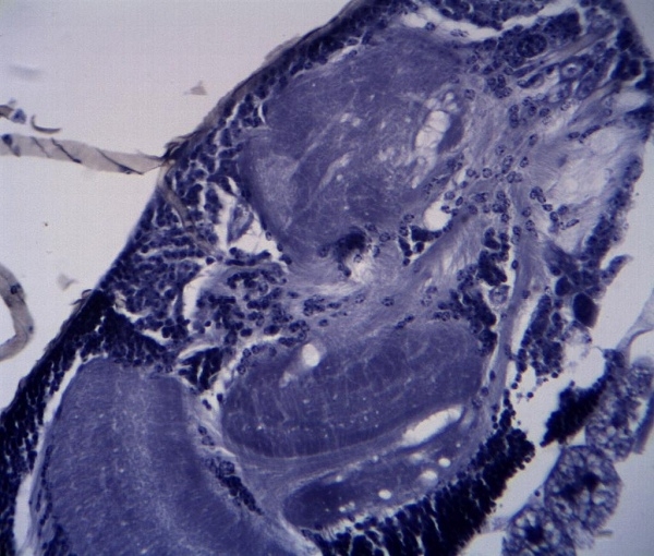
Hier möchte ich ein sog. Appositionsauge vorstellen. Dabei sind im nachfolgenden Bild die zugehörigen Buchstaben stets rechts neben den senkrechten roten Strichen zu lesen.

Es handelt sich um einen sagittalen Schnitt durch den Kopf des Insekts. Läge der Schnitt genau in der Hauptachse des Insekts, würde er durch den Nahrungskanal verlaufen und genau zwischen den Augen liegen. Hier ist der Schnitt jedoch etwas seitlich versetzt, so dass ein Auge getroffen ist.

Unschwer ist zu erkennen, dass das das Insektenauge aus einer Vielzahl von Funktionseinheiten besteht. Beim Appositionsauge sind diese Funktionseinheiten optisch vollständig isoliert voneinander.

Jede Funktionseinheit ist mit einer eigenen Linse ausgestattet (C). Unter den Linsen befinden sich die Kristallzellen, oder Semperschen Zellen, deren Zellkerne im ersten Bild schwach, im zweiten deutlicher zu erkennen sind. Sie scheiden proximal (körperwärts) im Fall des sogenannten eukonen Auges einen Kristallkegel KK ab, der wie die Linse die Aufgabe hat, das Licht auf die Rhabdomere R, die Wandlungsorgane des Lichts in neuronale Signale zu lenken. Die Rhabdomere schließen sich unmittelbar an die Kristallkegel an.  Die optische Isolierung der einzelnen Ommatidien durch die Haupt und Nebenpigmentzellen NPZ ist auffällig. Pigmentzellen isolieren die einzelnen Ommatidien jedoch nicht nur untereinander, sondern bilden auch eine Art Lochblende unter der Linse. Die Ommatidien sind vom Körperinneren durch eine Basalmembran BM abgetrennt. Auch sie erscheint nach außen hin erheblich pigmentiert. Die Funktion dieser Pigmentierung ist mir nicht bekannt. Die einzelnen von den Ommatidien herrührenden neuronalen Verbindungen NV durchqueren die Basalmembran und gelangen so in den ersten optischen Lobus des Gehirns, die Lamina, in der eine erste neuronale Verschaltung stattfindet. Die tracheale Sauerstoffversorgung erfolgt zwischen Basalmembran und Lamina: Einige quer getroffenen Tracheen T sind als kleine Kreise sichtbar. Hinter der Lamina ist der erste Chiasmus X deutlich zu erkennen, in dem sich die aus der Lamina kommenden Neurone überkreuzen und in den zweiten optischen Lobus, die Medulla M überführt werden. Die weitere Verarbeitung erfolgt in neuronalen Bündeln,  sogenannten Cartridges; die säulenartige Strutur ist gut zu sehen. Mit dieser Färbung nicht darstellbar ist der Verlauf der Neuronen im Einzelnen. Eine Silberimpregnierungstechnik würde ich gerne einmal ausprobieren. Sie sollte den genauen neuronalen Verlauf zeigen, u.a. auch, dass sich in der Medulla zusätzliche Neuronen befinden, die die einzelnen Cartridges quer verbinden. Die Perikarien P der Neurone (Zellkörper ohne neuronale Fortsätze), liegen auch hier gut erkennbar im Außenbereich des optischen Lobus.




Hier noch ein mit dem 40er Objektiv aufgenommener Ausschnitt aus dem ersten Bild, stark reduziert und nicht gestackt:



Mikrogrüße

Jürgen

Ronald Schulte

Jürgen,

Sehr schöner Schnitt. Bin neugierig wie du fixiert, entwässert, eingebettet usw. hast und auch die verwendete Zeiten!
Auch die Färbung mit Zeiten wurden mich interessieren.

Grüße Ronald
Mikroskope:
Leitz Orthoplan (DL, AL-Fluoreszenz und Diskussionseinrichtung).
Leica/Wild M715 Stereomikroskop.
Mikrotom:
LKB 2218 Historange Rotationsmikrotom.

Alfons Renz

Lieber Herr Harst,

Ganz hervorragend schöne Bilder!

Verraten Sie uns auch, um welches Insekt es sich handelt? Und ob diese Insektengruppe möglicherweise ein neuronales Superpositionsauge besitzt? Damit können z.B. die Musciden und andere Dipteren die Auflösung ihres Facettenauges ganz erheblich steigern.

Mit herzlichen Grüßen,

Alfons

Klaus Wagner

Hallo Herr Harst,

bei solchen Bildern kann ich nur ungläubig staunen.

BTW: Weiß jemand in diesem Forum, warum die Natur den Chiasmus "erfunden" hat? Zufall, oder steckt da mehr dahinter?

Gruß
Klaus

Holger Adelmann

Lieber Juergen, endlich zeigst Du uns mal wieder eine Kostprobe Deines Koennens ! Schnitt, Aufnahmen und Beschreibung sind einfach Spitze :)
Ich habe in einem alten Mikrokosmosaufsatz mal einen Flachschnitt durch die Basis eines Rhamdoms gesehen, sah sehr interessant aus - wie ein Kandelaber ! Planst Du denn auch noch andere Schnittebenen ?
Nochmals herzlichen Dank fuer diesen tollen Beitrag.
LG
Holger

Jürgen H.

#5
Lieber Herr Wagner,

Durch den Chiasmus wird ja oben und unten, sowie hinten und vorne vertauscht in die Medulla projeziert. Im zweiten Chiasmus findet dann ein Rücktausch statt, so dass dann alles wieder an der richtigen "Stelle" sitzt. In meinem Dettner Entomologie habe ich gelesen, dass der Chiasmus entwicklungsgeschichtlich bedingt sei, aber keine besondere Funktion habe. Nähere Erläuterungen fanden sich da nicht. Näheres würde mich ebenfalls interessieren.

Noch ein kleines Wort zum Staunen: Dieses Staunen über die "Erfindungen" der Natur selbst im kleinsten Lebewesen wie auch in Pflanzen ist denke ich das, was die meisten von uns an der Mikroskopie so fasziniert. Das kleinste Mückchen ist mit einer Vielzahl von Wahrnehmungsorganen ausgestattet, die ihr die Orientierung in der Umwelt ermöglichen: Zum Beispiel mit den Komplexaugen und den Ocellen, den Geschmacksorganen, den olfaktorischen Sinneszellen auf den Antennen, dem Johnstonsche Apparat zum Hören, mit einer Vielzahl von Stellungshaaren mit zugehörigen Sinneszellen zur Orientierung über die Beinstellung. Und all das wird in einem Gehirn von noch nicht einmal Stecknadelkopfgröße und einigen noch kleineren Ganglienknoten verarbeitet - die zudem noch einer Vielzahl anderer Aufgaben dienen, zum Beispiel der Reaktion auf die Sinneseindrücke. Es ist in der Tat zum Staunen.

Lieber Herr Renz, lieber Ronald,

Leider kann ich zu den Fragen nichts Sicheres sagen. Es handelt sich um das gleiche Präparat, aus dem ich bereits die Sinnesgrube in einer Maxillarpalpe gezeigt habe. Ein ursprünglich missratenes Präparat, das lange auf Seite lag und eigentlich weggeschmissen werden sollte. Daher weiß ich weder Genaues über das Insekt noch über die Präparationsart. Ich führe sonst recht genau Buch über meine Präparate, aber aufgrund meines Missgeschicks hatte ich just dieses Präparat nicht beschriftet.

Ziemlich sicher bin ich mir jedoch, dass es sich um eine Wintermücke (Trichocera) handelt, jedenfalls nicht um die sonst von mir untersuchte Stelzmücke, die wohl das neuronale Superpositionsauge wie musca hat.

Wenn meine dargestellte Mücke ein neuronales Superpositionsauge besitzen sollte, müsste jedes Ommatidium eine Vielzahl von nicht fusionierten Rhabdomeren, den Lichtwandlungsorganen haben. Bei musca sind diese unfusionierten Rhabdomere ganz deutlich zu sehen, ich hatte das bereits hier einmal im Forum vorgestellt http://www.mikroskopie-forum.de/index.php?topic=5464.0 In meinen Präparaten dieser Mücke habe ich keinen Hinweis auf nicht fusionierte Rhabdomere gefunden. Deutlich wären sie allerdings vielleicht nur bei einem Querschnitt der Ommatidien.

Die Färbung ist wohl die Eintopffärbung der  "Azankombination " Chroma. Eingebettet habe ich aller Wahrscheinlichkeit nach über Iso und N-Butanol, wobei ich, lieber Ronald, aufgrund Deiner Anregung mittlerweile zum Halbtagesrhythmus 70,90,100,100, (Iso) 100, 100 But, 50/50 But/Paraffin, Par.,Par, ausgießen übergegangen bin. Sicher bin ich mir jedenfalls, dass es sich um eine alk. Pikrin/Eiseissig Fixierung handelt.

Lieber Holger,

Wenn ich im Winter noch einmal die Trichocera ergattern kann, wird es auch weitere Schnittebenen geben.

Und an alle: Vielen Dank für eure Worte und Beiträge!



Mikrogrüße Jürgen


Ronald Schulte

#6
Jürgen,

Bin froh zu lesen das den einbettungs-rhythmus bei dir auch gut funktioniert. Gans konsequent durchfuhren und dann wirkt es.
Meine erste Fixierungsversuche ist auch mit eine Fliege angefangen(Bild). Einfach erschweren mit ein Mütterchen und nach die ersten Ethanol stufen war das nicht mehr notwendig weil es so weit entlüftet und entwässert war das die Schwerekraft es übernommen hat.
Den Handmikrotom-Schnitt war nicht Super aber ich war schon so begeistert das es mir gelungen war um Gehirn da zu stellen. Mit mein damaliges Cmex-1 Kamerasystem war es auch noch zu Fotografiren.
Ich Bette mich bestimmt nochmal eine Fliege ein weil das Auge eine Welt für sich ist.

Fliege in Formol


Eisenhaematoxyline und Cmex1 Kamera


Cmex1 Kamera



Grüße Ronald  
Mikroskope:
Leitz Orthoplan (DL, AL-Fluoreszenz und Diskussionseinrichtung).
Leica/Wild M715 Stereomikroskop.
Mikrotom:
LKB 2218 Historange Rotationsmikrotom.

Bernhard Lebeda

Zitat von: Ronald Schulte in Oktober 14, 2010, 22:31:28 NACHMITTAGS

Einfach erschweren mit ein Mütterchen und nach die ersten Ethanol stufen war das nicht mehr notwendig weil es so weit entlüftet und entwässert war das die Schwerekraft es übernommen hat.


Jaaa nicht nachmachen, lieber Kinder!!   ;D ;D ;D ;D


aber im Ernst: Leute das ist ein Spitzenthread, hochspannend was ihr da zeigt und für mich ein Tritt in den Hintern, es auch endlich mal zu versuchen.

Viele Mikrogrüsse

Bernhard
Ich bevorzuge das "DU"

Vorstellung

Alfons Renz


Liebe entomologisch interessierte Histologen,

Das Insektenauge zählt zu den beeindruckendsten Leistungen der Evolution, und bietet, wie es Herr Harst mit seinen Bildern zeigt, ein interessantes Objekt für histologisch Interessierte. Optische, physiologische und neuronale Konstruktionen wurden dabei bis ins letzte Detail optimiert. ´

Ein besonders schönes Beispiel bietet das Dorsalauge der Männchen der Simuliiden (Kriebelmücken), das sich in der Größe der Ommatidien auffällig vom Ventralauge unterscheidet und zur Geschlechterfindung dient. Seine Konstruktion weist gleich drei hochspezifische Adaptationen auf:

1) Mit den großen dorsalen Ommatidien sehen und erkennen die unter einer optischen Marke schwärmenden Männchen ein über ihnen vobeifliegendes Weibchen, verfolgen es und kopulieren in der Luft (einige Arten auch am Boden).
2) Die überlangen Rhabdomere durchbrechen die Basalmembran und führen in leichtem Schwung bis direkt zum Hirn. Ihre geschichtete Mikrostruktur ist in verschiedener Richtung orientiert, so dass nicht nur eine Polarisation des einfallenden Lichtes registriert wird, sondern auch seine Richtung (Letzteres ist wohl bei vielen Insekten so, siehe Bienen!).
3) Die Chromophore sind lichtempfindlicher, so daß sich das dorsale Auge schon in der Farbe vom Ventralen unterscheidet.

Wie bei allen Dipteren, so sind auch beim Auge der Kriebelmücken die Ommatidien neuronal so verknüpft, dass die jeweils in die selbe Richtung 'blickenden' Rhadomere benachbarter Ommatidien eine gemeinsame Ableitung besitzen. So lässt sich die Auflösung des mit ca. 1000 Ommatidien (grob geschätzt!) recht pixeligen Bild um ein Mehrfaches erhöhen.

Interessant ist auch das lichtbrechende System: Die gewölbde Kornealinse bricht die Lichtstrahlen ins Innere des Kristallkörpers, wo sie durch tonnenförmige Schichten unterschiedlicher Brechungskraft auf einer schlangenförmigen Bahn zur Basis geleitet werde, um dann in die Rhadomere zu fallen. Diese entsprechen einem Lichtleiter, in welchem durch einen photochemischen Prozess aus einem Photon ein Nervenimpuls erzeugt wird. Je länger das Rhabdomer, umso höher die Chance, dass ein Nervenimpuls erzeugt wird. Das ist entscheidend bei der Geschlechterfindung, da die Männchen am späten Nachmittag schwärmen und dann die winzigen Weibchen gegen einen immer dunkler werdenden Himmel erkennen müssen.

Hier ein Hektogramm aus meinen Kurs:



Histologische Bilder werde ich bei Gelegenheit noch einskannen / machen.

Herzliche Grüße,

Alfons

Jürgen H.

#9
Liebe Mitmikroskopiker

Die Optimierung des Facettenauges hat mich schon immer fasziniert. Hinsichtlich meine Limoniidae habe ich bereits einmal mit meinen recht einfachen Mitteln versucht, den Sachverhalt etwas näher aufzuklären. Insbesondere auch die neuronale Verschaltung des Superpositionsauges hatte es mir angetan:

http://www.mikroskopie-mikrofotografie.de/gast/mueckenauge/verschaltung.htm

Ich hoffe, dass man meine dortigen Ausführungen gut nachvollziehen kann.

Ungläubig habe ich auch gestaunt, als ich festgestellt habe, dass das kleine Mückchen auch so etwas wie eine Pupille besitzt, mit der sie jedes einzelne Ommatidium an veränderte Lichtverhältnisse anpassen kann. Die entsprechenden Hinweise sind in dem kleinen Aufsatz ebenfalls enthalten.

Lieber Herr Renz,

ganz herzlichen Dank für Ihre ergänzenden Ausführungen. Auf Ihre histologischen Bilder bin ich natürlich besonders gespannt!

Einige Gedanken mache ich mir zur Zeit über das lichtbrechende System. Mir ist aufgefallen, dass die Linsen ein eigenartiges Färbeverhalten zeigen. Es scheint bereits darauf hinzuweisen, dass die Linsen keineswegs aus einem einheitlichen Material gebaut sind, sondern unterschiedliche Dichte im  Außenbereich und im Innenbereich besitzen. Dazu werde ich noch Bilder einstellen. Wie Sie bereits schrieben, wird die Funktion der unterschiedlichen Dichte  sein, das optische Ergebnis der Linsen zu verbessern.

Mikrogrüße

Jürgen


Jürgen H.

Liebe Mitmikroskopiker,

hier nun das Photo zur eigenartigen Färbung der Linsen meiner Limoniidae. Die Mücken sind in Azan Geidies gefärbt, also einer Kernechtrot/Anilinblau/Orange G Färbung. Es zeigt sich ein rot gefärbter Innenhof und ein blau gefärbter Außenbezirk. Scheidet man die Linse quer, gibt es einen punktförmigen mittigen roten Einschluss.



Wie kommt dieses eigenartige Färbeverhalten zustande? Merkwürdig ist der ausgesprochen scharfe Farbsprung. Auffällig ist auch, dass sich nahezu die gesamte nach außen gerichtete Linsenoberfläche rot färbt, die gesamte untere Linsenfläche hingegen einen scharf blauen Rand aufweist.

Möglicherweise - nur Hypothese - kommt das Färbeverhalten aufgrund unterschiedlicher Dichte des Materials zustande, weil der rote Farbstoff aufgrund seiner anderen Molekülgröße sich rein physikalisch anders auswäscht als der blaue, sich die Farbstoffe in der Linse also wie in einem Sieb verhalten: Die einen Farbstoffe werden bei der Differenzierung ausgewaschen, die anderen nicht.

Die unterschiedliche Dichte könnte darauf hinweisen, dass innerhalb der Linse Material unterschiedlicher Brechzahl existiert. Das optische Verhalten der Linse wäre damit beeinflusst.

Mikrogrüße

Jürgen




Jürgen H.

#11
Liebe Mitmikroskopiker,

Herr Renz hatte auf meinen obigen Beitrag angeregt, zu untersuchen, ob es sich bei dem gezeigten Auge nicht eher um ein sogenanntes neuronales Superpositionsauge handelt und Holger Adelmann hatte gefragt, ob noch andere Schnittebenen geplant seien.

Beim neuronalen Superpositionsauge sind in jedem Ommatidium mehrere Rhabdomere vorhanden, die nicht zu einem einheitlichen Rhabdom verschmolzen sind, vielmehr deutlich voneinander getrennt sind. In den folgenden Bildern kann man dies deutlich erkennen.

Die Schnitte streifen das Komplexauge, so dass ich im ersten Bild rechts außen noch noch die Linsen angeschnitten habe, während ich links außen bereits unterhalb der Kristallzellen bin. Die ungefähre Schnittebene ist hier zu sehen:





KZ: sind die Kristallzellen. in jedem Ommatidium vier an der Zahl, die die optische Verbindung zwischen der Linse und jedem Rhabdom darstellen.

PZ: Jedes Ommatidium ist durch Pigmentzellen von den benachbarten Ommatidien getrennt.

R: In jedem Ommatidium  finden sich unfusionierte Rhabdomere, deutlich blau gefärbt.




Ein Ausschnitt in stärkerer Vergrößerung:





Hier ist bei den obeneren linken Ommatidien deutlich zu erkennen, dass die Rhabdomere in jedem Ommatidium kreisförmig angeordnet sind, in die Mitte jedoch ein weiteres Rhabdomer vorhanden ist.

Durch die Krümmung des Komplexauges blickt jede Linse in eine leicht andere Richtung. Jedes Rhabdomer in ein und demselben Ommatidium liegt auf einer leicht verschobenen optischen Achse. Die minimale Verschiebung der optischen Achsen ist beim neuronalen Superpositionsauge so konstruiert, dass die optische Achse eines jeden der sieben Rhabdomere in jeden Ommatidium mit der optischen Achse eines der sieben Rhabdomere der benachbarten Ommatidien zusammenfällt. Damit wird ein und derselbe Lichtpunkt von sieben verschiedenen Rhabdomeren in sieben verschiedenen Ommatidien empfangen. Diese Reize werden im Gehirn neuronal zusammengeführt, was eine Verstärkung des empfangenen Lichtreizes ergibt. Man kann den Schnitt durch die Rhabdome auch mit der von Herrn Renz gezeigten Zeichnung in seinem Beitrag oben vergleichen (Querschnitt unten rechts)

Ganz erstaunlich ist, mit welcher Präzision und Stabilität ein derartiges Auge gebaut sein muss. Die Aufnahmen sind immerhin mit einem 40er bzw. einem 100er gemacht worden.

Mikrogrüße

Jürgen

Fahrenheit

Lieber Jürgen,

ein sehr interessanter Thread, der mir während meines Urlaubs völlig entgangen ist. Schön, dass Du ihn mit dem ergänzenden Beitrag noch einmal nach oben geholt hast.

Herzliche Grüße
Jörg
Hier geht's zur Vorstellung: Klick !
Und hier zur Webseite des MKB: Klick !

Arbeitsmikroskop: Leica DMLS
Zum Mitnehmen: Leitz SM
Für draussen: Leitz HM