Anfärben von DNA in einer eukaryotischen Zelle

Begonnen von Biochemist, Januar 23, 2011, 18:15:32 NACHMITTAGS

Vorheriges Thema - Nächstes Thema

Biochemist

Guten Abend,

wäre es theoretisch möglich, die in einer eukaryotischen Zelle im Zellkern vorhandene DNA in der Zelle mit Ethidiumbromid, einem Farbstoff, der in der Lage ist, DNA anzufärben, anzufärben? Wäre es dann möglich, die angefärbte bzw. die Färbung im Zellkern unter einem Durchlichtmikroskop zu erkennen?

Meine Befürchtung ist, dass bei der Zugabe der (1%igen) Ethidiumbromid Plasmolyse eintreten würde. Wäre es möglich, dies durch Verwendung einer Lösung von Ethidiumbromid in einer Dispersionslösung zu verhindern?

Liebe Grüße

Florian Stellmacher

Hallo Samuel,

dafür würde man wohl eher Acridinorange nehmen - ob Ethidiumbromid theoretisch gehen würde, weiß ich gar nicht. Originelle Idee...

Wo hast Du denn Zugang zu Ethidiumbromid und zu den dafür erforderlichen Sicherheitseinrichtungen?

Grüße,
Florian
Vorwiegende Arbeitsmikroskope:
Zeiss Axioskop 2
Olympus BHS (DL, Pol, Multidiskussionseinrichtung)
Zeiss Axiophot (DIK und AL-Fluoreszenz)
Zeiss Axiovert (Fluoreszenz)
Wild M400 Fotomakroskop (DL, DF, AL, Pol)

Biochemist

Hallo Florian,

Acridinorange kannte ich noch garnicht (hat eine sehr ansprechende Strukturformel ;)), die könnte natürlich auch in Betracht gezogen werden.
Bzgl. der Sicherheitsvorkehrungen in Bezug auf den Umgang mit Ethylbromid kann ich sagen, dass ich Zugang zu Universitätslaboren habe, von daher wäre dies kein Problem.

Auf Ethidium zum Anfärben der DNA bin ich gekommen, da dies zum Anfärben der DNA-Sequenzen bei der elektrophoretischen Trennung von DNA verwendet wird.

Liebe Grüße,
Samuel

Florian Stellmacher

Hallo Samuel,

da hast Du aber Glück, dass die Uni Dich so unterstützt!

Was genau möchtest Du denn mit der Färbung sichbar machen? Wenn Du einen histologischen Schnitt ganz konventionell HE färbst, dann wird die mehr oder weniger verpackte/kondensierte DNA mit dem Hämatoxylin, die Nukleolen z.T. auch mit dem Eosin angefärbt. D.h. Du siehst ja bereits so quasi die DNA.

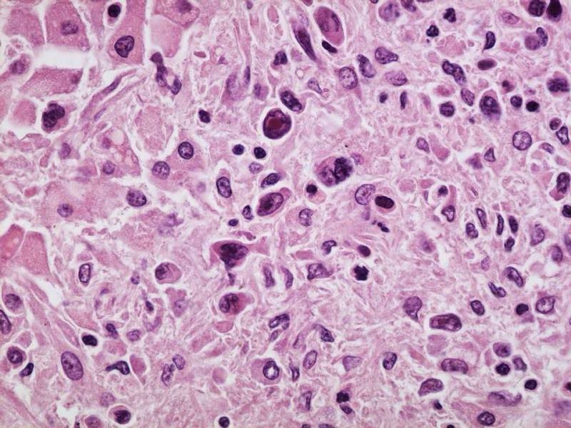
Hier mal ein Beispiel: Krebszellen in der Leber bei einem malignen Lymphom (Morbus Hodgkin) nach Chemotherapie - es sind hier viele Zellen abgestorben, allerdings sind auch etliche besonders "fiese" Zellen übrig geblieben: In den Kernen siehst Du eine unregelmäßige blaue Färbung durch das Hämatoxylin, die darauf hinweist, dass die DNA hier zu einem großen Teil abgespult ist (daher helle Areale) und abgelesen wird. Andere Zellen weisen sehr große Kerne mit gut erkennbaren Nukleolen auf, was auf reichlich DNA einer aneuploiden Zelle hinweisen kann. Wiederum andere Zellen haben ein sehr dunkles, dichtes, unregelmäßiges Kernchromatin; diese Zellen sind offenbar dabei, aufgrund der Chemotherapie abzusterben.


HE, Zeiss Axioskop 2 MOT, Plan Neofluar 40x 0,75

Beste Grüße,
Florian
Vorwiegende Arbeitsmikroskope:
Zeiss Axioskop 2
Olympus BHS (DL, Pol, Multidiskussionseinrichtung)
Zeiss Axiophot (DIK und AL-Fluoreszenz)
Zeiss Axiovert (Fluoreszenz)
Wild M400 Fotomakroskop (DL, DF, AL, Pol)

rhamvossen

Hallo Samuel,

Ethidiumbromide is indeed used to stain DNA electrophorese gels. After staining, the gel is placed on a UV-transilluminater, the light emitted from the DNA-EtBr-complex is orange. EtBr is a intercalating dye and potentially carcinogenic, I would rather not use it at home. We use it less and less at the lab as there are safer alternatives like SybrGreen. So, normally to visualise DNA stained with EtBr, UV-excitation is needed. Beste Grüsse,

Rolf

Ole

Hallo Biochemist,
man kann DNA in Zellen mit EtBr anfärben, allerdings handelt es sich dabei -wie Rolf schon schrieb- um einen Fluoreszenzfarbstoff. Und in der Fluoreszenzmikroskopie sind DAPI und Konsorten meist gängiger.
EtBr oder bevorzugt Propidiumiodid werden jedoch regelmäßig für die DNA-Färbung in FACS-Analysen genutzt (z.B. Zellzyklus- & Apoptose- Analysen), allerdings färben sich dann nur tote Zellen. 
Bei großen Mengen DNA läßt sich die DNA-Färbung mit EtBr auch ohne Fluoreszenzanregung erkennen (z.B. im Gel), das ist aber die Ausnahme!
Viele Grüße,
Ole

Biochemist

Zitat von: rhamvossen in Januar 23, 2011, 18:59:50 NACHMITTAGS
Hallo Samuel,

Ethidiumbromide is indeed used to stain DNA electrophorese gels. After staining, the gel is placed on a UV-transilluminater, the light emitted from the DNA-EtBr-complex is orange. EtBr is a intercalating dye and potentially carcinogenic, I would rather not use it at home. We use it less and less at the lab as there are safer alternatives like SybrGreen. So, normally to visualise DNA stained with EtBr, UV-excitation is needed. Beste Grüsse,

Rolf

Hallo Rolf,

Thank you for your reply.

Is it possible to solve the SYBR Green in water? I'll have to Wikipedia, it dissolves in DMSO, whether it dissolves in water, could not figure out myself.
Would it be possible to transfer the said dye in a eukaryotic cell?

Thank you for your reply:)

An Ole:

Vielen Dank für deine Antwort, auf Wikipedia ist angegeben, DAPI wäre in der Lage, durch intakte Zellmembranen zu diffundieren, hast du eine Angabe (Durchschnittswert), wie lange dies ca. dauert?

Liebe Grüße

Samuel

rhamvossen

Hallo Samuel,

SybrGreen in concentrated stock solutions (were it is actually orange!) is dissolved in DMSO. But the stock will be very much diluted in watery solutions like Tris-EDTA containing buffers. So, the concentrated solution mixes with water. Having said this, I don't think SybGreen either is a very good choice for what you want, it also needs UV illumination and then emits at a green wavelenght. Grüsse,

Rolf

Florian Stellmacher

#8
Hallo Samuel,

so ganz habe ich immer noch nicht verstanden, was Du mit der Färbung eigentlich bezweckst.

Mit DAPI färbt sich der Zellkern in der Fluoreszenzmikroskope blau; wir verwenden DAPI zur Gegenfärbung bei der Fluoreszenz-in-situ-Hybridisierung. Gut, man kann erkennen, ob man sich im Kern befindet, aber was sonst willst Du denn nachweisen?



Sog. FISH-Test zum Nachweis einer Amplifikation des HER2-Gens (rot, Zentromer Chromosom 17 (CEP17) grün). Man erkennt im DAPI blau die DNA.

Ausschnitt aus größerem Bild, Zeiss Axioskop 2, Planapochromat 100x. Fusioniertes Bild mit Überlagerung drei getrennter Aufnahmen aus jeweils separaten Farbkanälen, aufgenommen mit hochauflösender Monochrom-Kamera (Zeiss).

Beste Grüße,
Florian
Vorwiegende Arbeitsmikroskope:
Zeiss Axioskop 2
Olympus BHS (DL, Pol, Multidiskussionseinrichtung)
Zeiss Axiophot (DIK und AL-Fluoreszenz)
Zeiss Axiovert (Fluoreszenz)
Wild M400 Fotomakroskop (DL, DF, AL, Pol)