Hauptmenü

Alectoria ochroleuca

Begonnen von Ralf, Februar 04, 2011, 21:37:32 NACHMITTAGS

Vorheriges Thema - Nächstes Thema

Ralf

Hallo,

Alectoria ochroleuca ist eine typische Flechte alpiner Zwergstrauchheiden mit saurem Untergrund. Mein Fund stammt aus der Umgebung Thialkopf / Gigglspitze bei Landeck, Tirol.

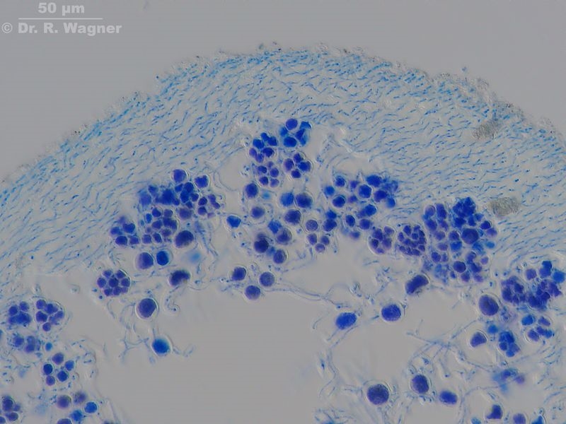
- Thallus, 8 - 12cm , strauchig, aufrecht, mäßig verzweigt, Äste bis 2 mm Durchmesser, gelbgrün bis hellgrün, Apex oft schwarz. Längliche, helle Pseudocyphellen, häufig schwarze Pyknidien an den Spitzen. Chemie: Mark: CK + gelb (diffractic acid), Kortex: KC+ gelb (usnic acid).



- Nahansicht Thallus mit länglichen Pseudocyphellen.



- Nahansicht Apex mit schwarzen Pyknidien.



- Astquerschnitt. Im Gegensatz zu Usnea ist Alectoria ohne Zentralstrang; Färbung mit Lactophenol-Methylblau-Acidfuchsin. (über einen Objektträger eingespiegelter Blitz)



- Nahansicht Astquerschnitt, Rest wie zuvor.






Erich Riedel

Hallo Ralf,
prima Aufnahmen!
Ist diese Flechte mit einer Rentierflechte (Cladonia) entfernt verwandt, weil sie auch am Boden wächst? Oder steht sie dem Baumbart (Usnea) evtl. näher, den Du bei den Schnitten erwähntest?
Warum verwendest Du "eingespiegelten Blitz" bei den Aufnahmen der Schnitte? Ich dachte, diese Beleuchtung macht nur bei sich bewegenden Objekten Sinn?
Viele Grüße
           Erich

Ralf

Hallo Erich,

Verwandschaftsgrade sind immer schwer anzugeben, hier hadern die Wissenschaftler noch untereinander. Es ist aber sicherlich so, dass alle 3 Gattungen zu den Strauchflechten gehören und insofern auch miteinander verwandt sind.

Geblitzt habe ich hier um an unbeweglichen Objekten zunächst einmal die Technik zu üben und zu testen. Später will ich dann auch bewegliches Blitzen, da macht dann der Blitz natürlich erst wirklich Sinn.