HISTOLOGIE: Skelettmuskulatur Zunge eine Ratte in Technovit 7100

Begonnen von Ronald Schulte, Juli 04, 2011, 20:21:39 NACHMITTAGS

Vorheriges Thema - Nächstes Thema

Ronald Schulte

Theorie @Welsch Sobotta Seite 157

Skelettmuskulatur;

Skelettmuskulatur bildet die aktive Komponente des Bewegungsapparats. Sie ist das, was man gemeinhin "Muskulatur" nennt. Die Skelettmuskulatur baut aber auch folgende Organe auf: Zunge, Gaumen, oberen Ösophagus, mimische Muskulatur, Zwerchfell, äußere Augenmuskeln u.a. Sie ist fast immer willkürlich inerviert und in der Lage, schnell für kurze Zeit große Kraft zu entwickeln; sie ermüdet rasch. Baueinheiten sind lange, vielkernige, quergestreifte Muskelzellen (Muskelfasern).
Mehr streifungs-Theorie hat Alfons Renz und Florian Stellmacher letzte Woche schon gegeben.

Gefärbt ist mit Toluidin Blau die in eine 1% Borax-lösung Alkalisch gemacht wird.
Aufnamen wie immer mit die Moticam 2300 am Leitz Orthoplan

Verschiedenes Gewebe liegt in Technovit 7100 zu Polymerisieren.


Mit Technovit 3040 werden die HistoBlöcke aufgebaut.


Die fertige Blöcke


Ein Gewebe Block am LKB Historange 2218 Mikrotom




L= Muskelzelle Längs getroffen
Q= Muskelzelle Quer getroffen
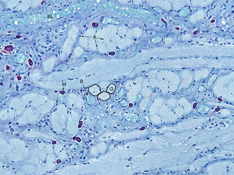
Objektiv, Leitz Plan Fluotar 10x



Q= Muskelzelle Quer getroffen
B= Blutgefäß Quer getroffen
BL= Blutgefäß Längs getroffen
M= Mastzelle
K= Kernen von Muskelzellen
Objektiv, Leitz Plan Fluotar 16x



Objektiv, Leitz Plan Fluotar 25x



Beachte das Mitose Figur!
Objektiv, Leitz Plan Apo 40x



Myofibrillen in Quer getroffenen Muskelzellen
Objektiv, Leitz Plan Apo 40x



Fünf Mastzellen zwischen die Muskelzellen
Objektiv, Leitz Plan Apo 63x



Objektiv, Leitz Plan Apo 63x



BL= Blutgefäß Quer getroffen
K= Kern von Muskelzelle
N= Nerv
Sch= Kern von ein Schwann Zelle
Objektiv, Leitz Plan Apo 63x



Myofibrillen
Objektiv, Leitz Plan Apo 63x


Viel Spaß beim anschauen,
Grüße Ronald
Mikroskope:
Leitz Orthoplan (DL, AL-Fluoreszenz und Diskussionseinrichtung).
Leica/Wild M715 Stereomikroskop.
Mikrotom:
LKB 2218 Historange Rotationsmikrotom.

Florian Stellmacher

Lieber Ronald,

WOW! Das kann man nicht mehr besser machen! Die Mühe mit dem Technovit lohnt sich wirklich.

Besonders freue ich micht natürlich, wenn ich die Mastzellen, unsere alten Freunde, so brilliant dargestellt sehe.

Ein echter Augenschmaus!

Herzliche Grüße,
Florian
Vorwiegende Arbeitsmikroskope:
Zeiss Axioskop 2
Olympus BHS (DL, Pol, Multidiskussionseinrichtung)
Zeiss Axiophot (DIK und AL-Fluoreszenz)
Zeiss Axiovert (Fluoreszenz)
Wild M400 Fotomakroskop (DL, DF, AL, Pol)

Ronald Schulte

#2
@Florian,

Danke für dein Lob. Verbessern kann aber immer noch!
Den aufwand von Technovit ist eigentlich gar nicht so groß wie ich mich vorgestellt hatte. Mit Paraffin ist mehr Arbeit zu machen und sind die Färbungen viel aufwendiger. Farben mit Technovit Schnitte ist sehr viel einfacher.
Nur das Schneiden von die Kunststoff-Blocke ist ein andere Sache aber das ist auch noch meine ungeschicktheit die zahlt. Da wird aber kräftig an gearbeitet um es zu verfeinern.

Die Mastzellen sind zusammen mit Purkinjezellen aus den Cerebellum mein Favorit. Besonders mit Giemsa oder Toluidin B werden sie durch die Metachromatische Färbung sehr schon dargestellt.
Habe mich gewundert wieviele Mastzellen in so ein kleines Stückchen Zunge verbleiben.
Warum sehe ich Mastzellen hier in eine Muskel sehr viel und z.B. in Lungengewebe nicht oder sehr wenig?

Grüße Ronald
Mikroskope:
Leitz Orthoplan (DL, AL-Fluoreszenz und Diskussionseinrichtung).
Leica/Wild M715 Stereomikroskop.
Mikrotom:
LKB 2218 Historange Rotationsmikrotom.

Ralf Feller

Hallo Ronald, auch von mir ein dickes Lob.
Tolle Arbeit, und da steckt auch viel Geld drin.

Gruß Ralf

Florian Stellmacher

Lieber Ronald,

mir ist schon aufgefallen, dass bei Mäusen und Ratten Mastzellen offenbar physiologischerweise häufiger zu beobachten sind als beim Menschen. Bei vielen Tierarten kommen auch Mastzellerkrankungen (Mastozytosen, z.T. auch mit anderen begleitenden Bluterkrankungen) relativ häufig vor. Möglicherweise liegt die Vermehrung von Mastzellen in Deinem Schnitt daran, dass das Gewebe aus der Mundhöhle und somit schon aus dem Verdauungstrakt stammt. Dort kommen Mastzellen auch beim Menschen häufiger vor.

Herzliche Grüße,
Florian
Vorwiegende Arbeitsmikroskope:
Zeiss Axioskop 2
Olympus BHS (DL, Pol, Multidiskussionseinrichtung)
Zeiss Axiophot (DIK und AL-Fluoreszenz)
Zeiss Axiovert (Fluoreszenz)
Wild M400 Fotomakroskop (DL, DF, AL, Pol)