Hauptmenü

biologische Pumpen

Begonnen von Jürgen H., August 02, 2011, 16:19:46 NACHMITTAGS

Vorheriges Thema - Nächstes Thema

Jürgen H.

Liebe Mitmikroskopiker,

Mich treibt im Augenblick ein Thema um, dass nur bedingt etwas mit Mikroskopie zu tun hat. Welche Pumpen zum Flüssigkeitstransport sind im pflanzlichen und/oder tierischem Bereich zum Transport von Flüssigkeiten im Gebrauch oder denkbar?

Mir fallen spontan ein:

1. Sog durch Kapillarkräfte
2. Sog durch Verdunstung
3. Mechanische Pumpen: Sog/Druck durch Ausdehnung und Kompression von Gefäßen
4. Sog/Druck durch osmotische Kräfte.

Habe ich etwas vergessen? Fallen euch noch weitere Möglichkeiten ein, mit denen Pflanzen oder Tiere Flüssigkeiten bewegen? Wäre z.B. eine Adhäsionskraft im Mikrobereich zur gerichteten Verteilung von Flüssigkeiten denkbar? Oder eine Pumpe infolge chemischer Reaktionen?

Mikrogrüße

Jürgen

Detlef Kramer

Lieber Jürgen,

was Du vergessen hast, ist der riesige Komplex der ATPase-moderierten Membran-Pumpen. Aber, das sind natürlich primär keine Flüssigkeits-Pumpen. Aber der Zuckertransport im Phloem (Massenstrom) gehört dazu, aber auch die Entwässerung durch die Nieren. Jetzt habe ich aber auch noch bestimmt eine Menge vergessen (z.B. der Salzwasser-Transport beim Flennen), aber vielleicht bringen Dich die Stichworte auf die Spur.

Noch ein Stichwort: die Aquaporine in den Pflanzen.

Herzliche Grüße

Detlef
Dr. Detlef Kramer, gerne per DU

Vorstellung: Hier klicken

Mila

Hallo,

Zitat von: Detlef Kramer in August 02, 2011, 16:56:48 NACHMITTAGS

Noch ein Stichwort: die Aquaporine in den Pflanzen.


... die es auch bei uns gibt: http://de.wikipedia.org/wiki/Aquaporine

Kosmetikfirmen versuchen diese zu aktivieren ;) http://www.eucerin.com/specials/aquaporin/de/

Viele Grüße
Mila

purkinje

.. und bei einer ziemlich bösartigen Multiple-Sklerose- artigen Erkrankung dem Devic-Syndrom findet man Antikörper gegen Aquaporin-4...

aber noch ein Wort zum generellen Thema; wir haben ja ungezählte Ionenkanäle in unserem Körper durch die Na+, K+, Cl-, Ca2+ etc "strömen", diese sind ja alle wässrig gelöst (manchmal mit Transportproteinen) , so bewegt sich auch ne Menge Wasser in jeder Zelle.

Jürgen H.

Liebe Mila, lieber Detlef,

vielen Dank für eure Hinweise und Mithilfe.

Sind aber nicht die von Dir erwähnten Pumpen, lieber Detlef, soweit sie Flüssigkeiten transportieren, schon unter den osmotischen Pumpen einzuordnen? Natürlich ist Voraussetzung für den osmotischen Druck, dass zunächst ein entsprechender Gradient aufgebaut wird, z.B. durch entsprechende Protonenpumpen. Aber das Wasser fließt dann aufgrund des osmotischen Drucks in Richtung des aufgebauten Gradienten. Auch Auquaporine sind doch eigentlich nur Löcher in den Lipidmembranen, die Wasserfluß zulassen und pumpen nicht selbständig? Oder verstehe ich da etwas falsch?

Schöne Grüße

Jürgen

Jürgen H.

Und lieber Pukinje, Dank auch für Deinen Beitrag. Aber auch da scheint mir Ursache für den Wasserstrom der osmotische Vorgang zu sein, der natürlich Folge des Ionentransportes ist.

Schöne Grüße

Jürgen

Hyperion

#6
Zitataber noch ein Wort zum generellen Thema; wir haben ja ungezählte Ionenkanäle in unserem Körper durch die Na+, K+, Cl-, Ca2+ etc "strömen" diese sind ja alle wässrig gelöst (manchmal mit Transportproteinen) , so bewegt sich auch ne Menge Wasser in jeder Zelle.

Nein tun sie nicht.

Die Ionenkanöle sind keine einfachen Löcher, sondern sind so spezifisch das nur bestimmte Ionen durchpassen.

Die Hydrathülle der Ionen wird ersetzt durch hydrophile Reste im Inneren des Kanals. Sie wird sozusagen vorher ausgezogen und auf der anderen Seite wieder an. Wasser wird damit direkt keines transportiert. Höchstens indirekt, wenn es zu einem Strom durch andere Osmolaritäten kommt.

EDIT: Jürgen war schneller...

Detlef Kramer

Lieber Jürgen,

ich denke, Du hast recht. Man kann das so ordnen.

Herzliche Grüße

Detlef
Dr. Detlef Kramer, gerne per DU

Vorstellung: Hier klicken

ThomasJ

Nicht zu vergessen die Komplexe der Atmungskette, die Protonen über die innere Mitochondrienmembran (oder die Bakterielle Zellmembran) pumpen^^

...neinnein, hier folgt natürlich kein Wasser nach.

Alfons Renz

Lieber Jürgen,

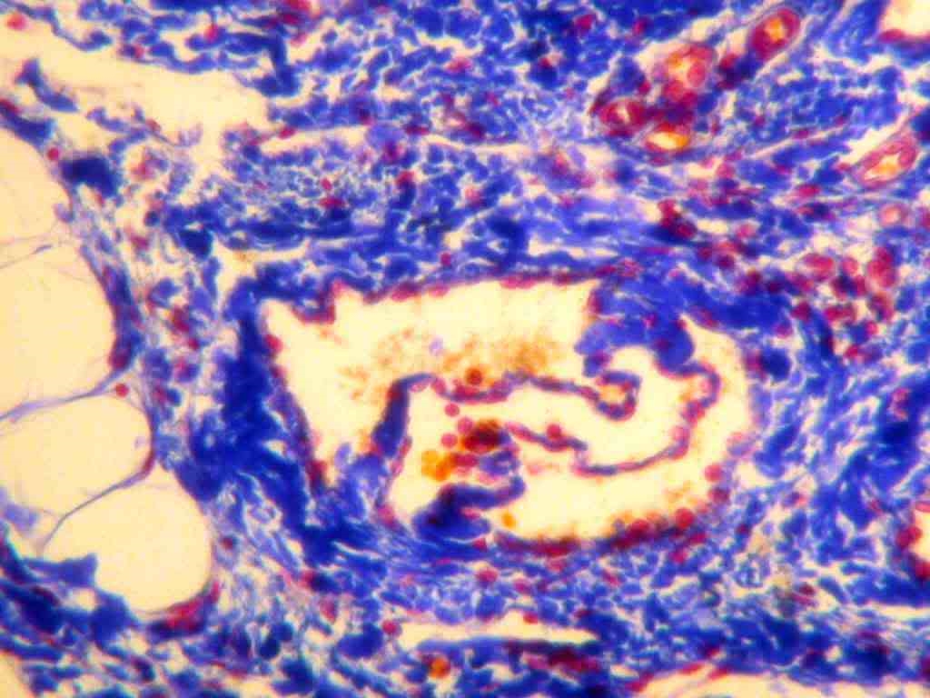
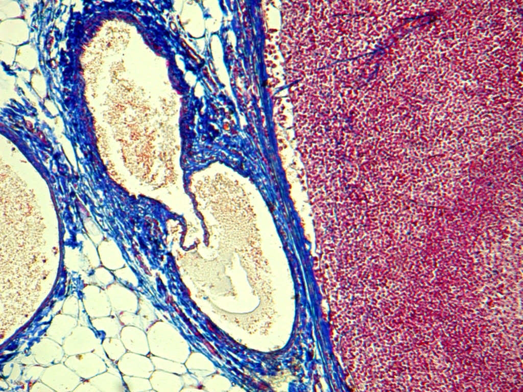
Grau ist alle Theorie, jedoch mit farbig bunter AZAN-Färbung sehen die rein mechanisch arbeitenden Pumpventile des Lymphsystems am schönsten aus. So schön, dass man auch deren Funktion leicht erkennt:



Zum Lymphknoten (hier eines Hundes, rechts im Bild) hin führen die Sammelgefäße der regionalen Lymphdrainage. Die Lymphe fließt über den Knoten zum Herzen hin, steht aber nicht mehr unter (arteriellem) Druck und muss daher passiv durch die Lymphgefäße gepumpt wrden. Dazu diesen die schleußenartigen Ventile mit zwei Klappen, die einen Durchfluß nur in eine Richtung erlauben.

Im Querschnitt (ein etwas unscharfes Photo eines Studentens) erkennt man die Konstruktion: Die beiden Lappen der Lymphpumpe hängen wie ein Schlauch zwischen den Bändern. Mit der Muskelbewegung wird die Lymphe durch dieses Ventil zum Lymphknoten hin gepresst.



Mit herzlichen Grüßen,

Alfons

Jürgen H.

Lieber Alfons,

tolles Beispiel einer muskulären Pumpe und tolles Beispiel für die Ventiltechnik vor allem, ganz herzlichen Dank! Eine vergleichbare Ventiltechnik gibt es ja auch beim schlauchförmigen Insektenherz. Leider habe ich noch keinen entsprechenden Schnitt machen können.

An alle:


Offen ist für mich nach wie vor, ob es noch weitere Pumpmöglichkeiten gibt, insbesondere vielleicht durch chemische Reaktionen funktionierende Flüssigkeitspumpen?

Schöne Grüße

Jürgen


Mila

Lieber Jürgen,

von einer chemischen Reaktion wird die (indirekte) Rückresorption von Wasser im proximalen Tubulus des Nephrons (Niere) mittels des Enzyms Carboanhydratase begleitet.
Ich zitiere aus dem Taschenatlas der Pharmakologie, Lüllmann, Mohr, Hein, 6. Auflage (dort steht es recht kurz und knackig):

Die Carboanhydratase (CAH) beschleunigt die Gleichgewichtseinstellung der Reaktion: H+ + HCO3- <=> H2CO3 <=> H2O + CO2.
CAH fördert in den Tubuluszellen die Bereitstellung von H+, welches im Austausch gegen Na+ in den Harn transportiert wird. Dort fängt es ein HCO3- ein. Durch die in der luminalen Membran lokalisierte Carboanhydratase entsteht wiederum H2O und CO2, das die Zellmembran leicht durchdringen kann. In der Zelle bilden sich wieder H+ und HCO3-.
.

Wenn gewünscht, scanne ich gerne die entsprechende Abbildung aus dem Taschenatlas ein.

Viele Grüße
Mila

purkinje

@Hyperion: Sie haben recht, dass ich es sehr verkürzt und daher wie es so ist in der Wissenschaft, nicht richtig dargestellt habe.
Aber auf der anderen Seite der Zellmembran muss das Ion auch wieder hydratisiert werden, und das muss dann folglich in die Zelle kommen, dass meinte ich und nicht dass das Wasser mit dem Ion durchtritt. Der Wassertransport erfolgt durch die ja bereits erwähnten "Wasserporen", die Aquaporine und nicht, wie lange gedacht durch simple Osmose durch die Zellmembran.

@ Jürgen Harst: auf die Gefahr hin, dass Sie die Links schon kennen:
http://sciencev1.orf.at/science/news/49886
http://www.spektrumdirekt.de/page/fe_seiten?article_id=687495
und schon sehr viel spezieller
http://www.ncbi.nlm.nih.gov/pubmed/11743202
http://www.ncbi.nlm.nih.gov/pubmed/11964478

Microbehunter

Hallo,
ZitatWäre z.B. eine Adhäsionskraft im Mikrobereich zur gerichteten Verteilung von Flüssigkeiten denkbar?
Kapillarkräfte basieren auf Adhäsion und Kohäsion.

Vielleicht könnte man Wasserbewegung aufgrund von Gravitation noch anführen. zB Offenes Blutkreislaufsystem bei Insekten (u.a. Arthopoden) wo das Blut von oben über die Organe geschüttet wird. Aber da braucht man auch eine Pumpe....

Oliver.