Zeiss Neofluar - Plan Vergleich

Begonnen von peter-h, März 21, 2012, 15:38:24 NACHMITTAGS

Vorheriges Thema - Nächstes Thema

peter-h

Zum Xten mal ein kleiner Vergleich.

Anlaß dafür gab es durch Angies Zukauf eines Neofluars und die neuen Bilder. Was lag also näher, auch einen direkten Vergleich nur durch Umschwenken des Revolvers zu machen. Ohne jede Veränderung, nur die Helligkeit der LED nachgestellt, damit das Neofluar nicht überstrahlt.

Ausschnitt ohne jede Nachbearbeitung, nur in der Größe angepaßt.

Und noch das ges. Bild

Casuarina glauca 8µm Schnitt von Robin Wacker , in PERTEX
Aufn.: Zeiss Junior mit CMOS Kamera, Einzelbild

Die Unterschiede muß man sicher nicht bewerten  ;)
Ähnliche Ergebnisse fand ich mit einem Plan 16/0,35 zu Neofluar 16/0,40 und auch beim 40er Plan zu Neo.

Gruß
Peter

rhamvossen

#1
Hallo Peter,

Mich verwundert doch das flaue Bild von das Plan 6.3x. Das sollte nicht so ausehen. Vielleicht muss die Apertur fur das Plan 6.3x angepast werden. Wie sieht es denn aus wenn die Aperturblende soweit geöffnet ist das für beide Objektive die Hinterlinse ganz und exakt (und nicht mehr) ausgeleuchtet wird, also die Aperturblende ist dann für das Neofluar weiter geöffnet.  Beste Grüsse,

Rolf

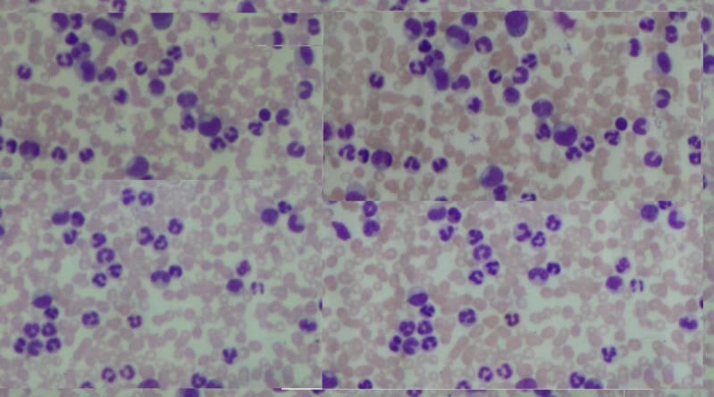
reblaus

Hallo -

zuerst dachte ich, der Unterschied könnte auf die knappere Belichtung beim Neo 6,3 zurückzuführen sein. Als misstrauischer Mensch habe ich deshalb das ganze mit einem Blutausstrich wiederholt. Beides "mittelalte Objektive" in gutem Zustand. Rechts ist Neo 6,3, links Plan 6,3. Oben ist Bildrand (allerdings mit Optovar 2,0), unten ist Bildmitte. Leider habe ich zu sehr verkleinert, bei den Originalbildern ist der Unterschied noch deutlicher: Der Kontrast der Neos ist - wie die Lehrmeinung ja auch sagt - deutlich besser. Natürlich ist der Unterschied nicht so groß, dass man diese Aussage auch aus der Erinnerung machen könnte, man braucht schon Fotos dazu, andererseits ist dies geringe Kontrastminderung im Zeitalter der Digitalfotografie auch nicht mehr so wichtig.



Also ein Diatomeenpräparat darunter - mit einem farblosen Bild wird alles anders (?) - denkste! Dort zeigte sich nur gnadenlos die bessere Auflösung des Neo! Diese bessere Auflösung des Neo 6,3 war nicht durch die höhere Apertur zu erklären - sie blieb bei entsprechendem Abblenden erhalten.

Auch die Annahme/Hoffnung, dass bei der Bildfeldwölbung das Plan überlegen sei (Optovar auf 1,25) hat sich hier nicht bestätigt. Bei den stärkeren Objektiven sind da die Neofluare deutlich unterlegen - aber beim 6,3 offensichtlich nicht! Eventuell merkt man was, wenn man das Bildfeld voll ausnützt, was bei mir zuviel Umbau erfordert hätte und deshalb unterlassen wurde.

@Rolf: 
Mit Ausleuchtung und Blenden habe ich auch gespielt: Apertur bei beiden etwa gleich (d.h. Plan offen, Neo leicht abgeblendet), beide 25 % abgeblendet, beide ganz offen - kein Unterschied!

Viele Grüße

Rolf



fabelfroh

Ein sehr schöner Vergleich.  :) Toll wie sich da die Neofluare schlagen.

1. Könnten die Unterschiede daher rühren, dass beide Objektive eine andere Aperturblende benötigen um optimale Ergebnisse zu liefern?
2. Könnte es sein dass das erste Planapo-Bild weniger Kontrast hat weil die Belichtung anders (heller) ist?

Mich würden Vergleiche mit Diatomeen interessieren.

Peter V.

Lieber Peter,

Du siehst - es hat keinen Sinn!  ;)
Ich habe ja auch schon einen solchen Vergleich gezeigt.
Man glaubt uns nicht! :'(
Weil nicht sein darf was nicht sein soll?

Herzliche Grüße
Peter

Dieses Posting ist frei von kultureller Aneigung, vegan und wurde CO2-frei erstellt. Für 100 Posts lasse ich ein Gänseblümchen in Ecuador pflanzen.

Klaus Herrmann

Liebe Peters,

ZitatDu siehst - es hat keinen Sinn!

vielleich sollte man es mal versuchen mit einer Suchanzeige:

suche tadellose Neofluare im Tausch gegen tadellose Planachromate! 8)  ;D
Mit herzlichen Mikrogrüßen

Klaus


ich ziehe das freundschaftliche "Du" vor! ∞ λ ¼


Vorstellung: hier klicken

Eckhard F. H.

#6
ZitatMan glaubt uns nicht!

Hallo Peter,
"Sehen heißt glauben", meinte mal einer. Offensichtlich sehen jene keinen Unterschied, die ihn verneinen. Ich gehöre dazu. Das der strittig ist beweist, daß er  zumindest unwesentlich ist.
Gruß - EFH

Ulf Titze

#7
Hallo,

möglicherweise liegt der systematische Fehler aber genau darin, daß man wissenschaftlich an das Thema rangeht. Oder konkret: daß man untersucht, welches Objektiv bei konstantem Setting besser zeichnet. Dabei sei die Frage erlaubt, ob dies Sinn macht? Werde ich dadurch wirklich beiden Objektiven gerecht? Ist es wirklich das, was ich wissen will?

Pragmatischerweise interessiert mich doch, mit welchem Objektiv ich "bessere" Bilder machen kann. Und da erscheint es mir notwendig, beim direkten Vergleich jeweils das "Optimum" aus den Objektiven rauszuholen - und das Ergebnis dann zu dokumentieren. Dabei ist natürlich die Wahrscheinlichkeit hoch, daß ich bei unterschiedlichen Einstellungen der Beleuchtung fotografiert habe. Klar, das ist ein Manko, weil ab hier nur noch schwer reproduzierbar. Daher kann ich wirkliche Unterschiede nur in größeren Stichproben erfassen, um einzelnen Ausreißern das Gewicht zu nehmen.

Ich finde, dies leistet Monsti mit ihren vielen Beiträgen. Ihre Bilder mit den Achromaten sind über die zeit immer besser geworden. Und jetzt mit den Neofluaren scheint sich eine neue Qualitätsverbesserung einzustellen.

Wobei ich hier noch definieren muss, worin "Qualität" besteht. Wenn ich "besser" allein mit Auflösungsgewinn gleichsetze, wird es natürlich schwierig, Unterschiede in den Mikroskopischen Bildern zu belegen, weil man ja meist nicht alles, was man in den Okularen sieht, auch aufs Bild kriegt. Wenn ich aber Faktoren wie Kontrast, Helligkeit, Schärfe o.ä. der Bilder betrachte, kann ich Unterschiede erkennen - nur wird es eben wieder schwierig, diese quantitativ zu erfassen.

Insofern ist an dem Spruch "Sehen heißt Glauben" schon was dran....

Nachdenkliche Grüße

Ulf
"Do not worry about your problems with mathematics, I assure you mine are far greater." (A. Einstein)

"Komm wir essen Opi!" - Satzzeichen können Leben retten!!!

treinisch

Lieber Eckhard,

Zitat von: Eckhard F. H. Nowack in März 22, 2012, 11:01:41 VORMITTAG
Das der strittig ist beweist, daß er  zumindest unwesentlich ist.

bei aller persönlichen Hochachtung ist dieser Schluss trotzdem so falsch, dass nichtmal das Gegenteil richtig ist.


Viele Grüße

Timm
Gerne per Du!

Meine Vorstellung.

Eckhard F. H.

Hallo Timm,
wie meinen? Erbitte Nachhilfe.  :-[
Gruß - EFH

peter-h

Liebe Kritiker,

es ist genau wieder das eingetreten, was ich befürchtet habe  :( Was ist Qualität, oder wie soll ich Objektive beurteilen?
In meinem primitiven Vergleich zeigt das Neofluar etwas brilliantere Farben. Schärfer ? nein, so nicht zu beurteilen ! Dazu wären andere Testobjekte nötig. Ganz im Hintergrund die Planität - ist die wichtig ?
Es gibt so viele Parameter und so viele Testbedingungen, dass man fast jedes Ergebnis erzeugen kann. Und was schreibt Zeiss selbst üner Neofluare ?



Also so ganz falsch hinsichtlich Farbkontrast liegen die meisten Meinungen nicht  :D
Was ist das Manko an meinem Test ? Ich habe 2 willkürliche Objektive verglichen und nicht aus jeder Serie 100 Stück !
Und mit etwas Bildverarbeitung zaubere ich auch aus einer Achromataufnahme ein Bild als wäre es mit einem PlanApo gemacht. Wenns sein muß sogar mit Korrektur der CVD, weil ein Objektiv von Zeiss und ein Okular von Nikon für die Aufnahme standen.

Das wollte ich noch zum Abschluß loswerden  ;D
Peter


fabelfroh

Peter: Du hast für deinen Test Pflanzenzellen ausgewählt - ein Präparat was eigentlich keine großen Anforderungen an ein Objektiv stellt. Da können selbst Achroplane o.ä. noch ganz gute Ergebnisse liefern. Interessanter fände ich wenn du z.B. eine Alge, Diatomee oder ein ähnliches Präparat einmal gegenüberstellst das höhere Anforderungen an die z.B. Farbkorrektur eines Objektivs stellt. Hier sollten die Unterschiede dann auch stärker ausfallen. Das sind ja eigentlich auch die Bereich in denen solche teuren Objektive genutzt werden wenn man jetzt mal Kontrastverfahren beiseite lässt. Wozu wurden dann die Apos überhaupt entwickelt?

reblaus

Hallo -

ich werde meine Planobjektive wegen dieser ausdrücklich auf Neo/Plan 6,3 beschränkten Schnappschüsse trotzdem wesentlich häufiger benutzen als die Neofluare, die am Fluoreszenzkondensor ihren Lebensabend genießen. Schließlich gibt es auch Nachteile, die wir hier nicht diskutiert haben (z.B. die meist schlechte Eignung für DIC) und die kräftige Bildfeldwölbung bei den stärkeren Vergrößerungen.

Unabhängig von diesen Einzelergebnissen verbleibt die Tatsache, dass die Neos weniger Linsen haben und deshalb etwas kontrastreicher sein müssen! Nicht umsonst waren sie deshalb zur ihrer Zeit auch meist etwas (bis sehr viel) billiger als die Planobjektive:

Z.B. kostete 1987 ein Plan 100/1,25 Oil DM 2297.- (+ MWSt), während das Neofluar 100/1,30 Oil für DM 1382.- zu haben war! Kaum zu glauben, dass das Plan-Neofluar 100/1,25 Oil mit 2751.- DM nur ein Fünftel teurer war, aber heute auf dem Gebrauchtmarkt das Fünffache kostet.

Wahrscheinlich ist es auch kein Zufall, dass dies für die anlässlich unserer Schnappschüsse untersuchten Objektive nicht gilt: Das Neo 6,3/020 kostete 754.- DM, das Plan 6,3/0,16 war mit 715.- sogar etwas billiger.

@andreas: Von PlanApos war hier nirgends die Rede, wenn diese ausnahmsweise nicht delaminiert sind, spielen sie dann doch in einer anderen Klasse!
Aber ich bleibe dabei - an einige Diatomeen eines Streupräparates löste das Neo 6,3 noch Poren auf, die das Plan einfach nicht mehr sah - auch bei entsprechend auf etwa 0,16 reduzierter Apertur.

Viele Grüße

Rolf

peter-h

Auf besonderen Wunsch eines einzelnen Herrn !

Diatomeen mit einem 6,3er Objektiv - habe ich bisher noch nie gemacht  ??? Es widersterbte mir !
Es zeigt nicht den Unterschied zwischen Plan- und Neofluare, sondern nur von 2 Objektiven aus meinem Bestand !



Bildmitte ! NICHT geköhlert ! Aperturblende voll offen ! Helligkeit mit der LED nachgeregelt ! Weißabgleich automatisch.
Ohne jede Nachbearbeitung !


Gruß
Peter

Monsti

Hallo Peter,

eindeutiger geht's nicht. Wer den Unterschied nun immer noch nicht sieht, sollte vielleicht mal zum Augenarzt gehen.  ;)

Herzliche Grüße
Angie