Heidenhain-und andere histo-historische Präparate: Qualität und Erhaltung

Begonnen von Alfons Renz, August 01, 2012, 11:12:17 VORMITTAG

Vorheriges Thema - Nächstes Thema

Ronald Schulte

Allen,

Ich bekomme richtig feuchte Augen von was ich in diesen 'tread' lese und sehe. Freut mich wirklich das die Histologie hier im Forum noch lange nicht Tod ist.

Mache weiter so, grüße aus den Harzgebirge Ronald
Mikroskope:
Leitz Orthoplan (DL, AL-Fluoreszenz und Diskussionseinrichtung).
Leica/Wild M715 Stereomikroskop.
Mikrotom:
LKB 2218 Historange Rotationsmikrotom.

Klaus Herrmann

Lieber Alfons,

Tibia ist es nicht aber ein Fingerglied mit Gelenk. Bin mir nicht sicher, ob es eine HE-Färbung ist. Es ist nicht vermerkt auf dem Präparat.



Mit herzlichen Mikrogrüßen

Klaus


ich ziehe das freundschaftliche "Du" vor! ∞ λ ¼


Vorstellung: hier klicken

Alfons Renz

#32
Lieber Klaus,

Die Knochenbildung verdeutlicht, mit welcher Erfindungskunst die Natur konstruktive Aufgaben löst: Ein Tragegerüst, das bei voller Funktion noch wächst und zugleich durch Leichtbauweise Raum für Energiespeicher (weißes Knochenmark: Fett) und Regeneration (rotes Knochenmark: Blutbildung) bietet. Ein solches Chassis müssten die Automobilhersteller erst erfinden!

In der Histologie sind Knochenpräparate vielfach vertreten: Längs- und Querschnitte der Knochenbildung, Knorpel und Osteozyten, sowie bei der Haemopoese (Blutbildung).

Hier ein Präparat einer Tibia (Schienbein) eines kleinen Kindes, aus einer Kursserie ca. 1925:



Beschriftung: Tibia, Kind, proximal, in Epiphysennähe. Also in Nähe des Kniegelenks und des Knorpels, der die Gelenkfläche bildet.



Gefärbt wurde mit Haematoxylin und Rosindulin. Man erkennt das lockere Gerüst der Knochenbälkchen (gelb-rosa) und dazwischen die Zellen des Roten Knochenmarks, dessen Bau und Funktion in einem früheren Faden sehr schön beschrieben wurde: https://www.mikroskopie-forum.de/index.php?topic=3785.0.

Mit herzlichen Mikrogrüßen,

Alfons

A. Büschlen

Herr Renz

dieser Thread gefällt mir sehr! Eine interessante Geschichte liebevoll aufbereitet.

Herzlichen Dank

Arnold Büschlen
Schwerpunkt z.Z.:
- Laub- und Lebermoose.
- Ascomyceten als Bryoparasiten.

Alfons Renz

Die Niere gehört zu den am häufigsten mikroskopierten Schnitt-Präparaten der Histologie, wobei die Begeisterung der Betrachter sicherlich von der Qualität der Fixierung und Färbung abhängt. Hier drei Beispiele, die aber mehr den beschränkten Umfang meiner Sammlung als einen repräsentativen Überblick über die Qualität histologischer Präparate wiedergeben kann:

Drei englische Präparate aus einer 'viktorianischen' Sammlung, also vermutlich zwischen 1880 und 1920 entstanden



Hierzu jeweils eine Aufnahme mit dem Zeiss-Achroplan 20x am Axiolab A1, ohne weitere Bearbeitung, Stacking etc.:



"Kidney frog" - die Niere des Frosches ist offenbar ganz anders gebaut als die des Menschen. Leider keine weiteren Angaben hinsichtlich Färbung, Alter etc.



"T.S. Kidney of rat" - Querschnitt durch die Niere einer Ratte. Man erkennt die Nierenkörperchen, die allerdings viel kleiner sind als beim Affen:



"Kidney of monkey"

oder beim Menschen, hier in einem 'Heidenhain'-Präparat aus der Anatomie in Tübingen:



Niere des Menschen, Präparat Nr 34 bzw. 142, AZAN-Färbung. Der Feinbau der Niere wurde schon mehrfach anderweitig beschrieben, z.B. https://www.mikroskopie-forum.de/index.php?topic=2276.0

Viel Spass beim Betrachten,

Alfons

Alfons Renz

Wer nicht Medizin studieren wollte, um in den Genuss schöner histologischer Präparate zu kommen, kaufte sich beim Kosmos-Verlag in Stuttgart eine Serie von Schnitten durch 'Organe der Atmung, Organe der Harnbildung und -ausscheidung' etc.. Hergestellt wurden diese Prof. Dr. Fr. Sigmund im Auftrag der Geschäftsstelle des Mikrokosmos, Franck'sche Verlagshandlung Stuttgart (ca. 1920-1925?), deren Versand ins Ausland übrigens laut Aufdruck verboten war! Dafür gab es Niederlassungen in vielen Ländern:






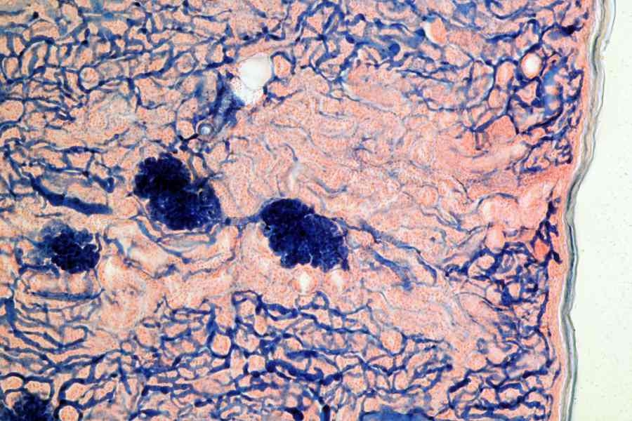
Schnittpräparat der Niere eines Kaninchens, injiziert


Durch Injektion eines blauen Farbstoffs wurden die Blutgefäße sichtbar gemacht. Von der Feinstruktur des Nierenkörperchen ist allerdings wenig erhalten. Auffällig ist - wie eigentlich bei fast allen inneren Organen -, die sehr schmächtige Außenhülle. Erstaunlich, dass dieses feine Bindegewebe so fest ist!


Vertrauter ist hier die H-E-Färbung der Niere einer Maus.

Zu den Präparaten-Mappen gab es ein gebundenes Heft mit detaillierten Erläuterungen der jeweiligen Präparate und auch eine Mappe mit Zeichnungen.

Viel Freude beim Betrachten!

Alfons

Mila

Lieber Alfons,

ich bin sehr beeindruckt! Ein wunderbarer, lesenswerter und auch berührender Beitrag.

Herzliche Grüße
Mila

Alfons Renz

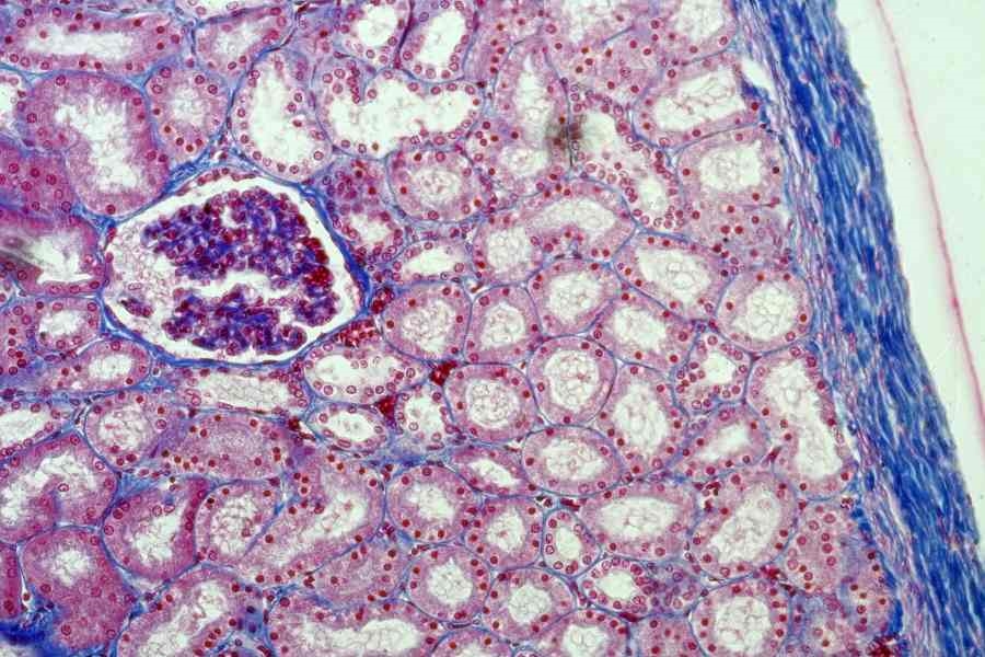
Auch der Hersteller Mikroskopischer Präparate Dr. Schuchardt in Göttingen hat(te) die Niere im Angebot:



Leider sind weder die Präparate des 50 Objektträger enthaltenden Kastens zeitlich datiert noch der mit dem Emblem der Firma verzierte Kasten selbst. Deshalb ist meine Schätzung 'ca. 50 Jahre alt' nur eine vage Vermutung.



Die Färbung (vermutlich mit Haematoxylin und Eosin) ist kräftig und der Erhalt der Struktur gut, wie die folgende Aufnahme bei stärkerer Vergrößerung beweist:



Sehr schön ist hier der Nieren-Glomerulus am Blutpol angeschnitten. Man erkennt die Macula densa, große und stark angefärbte Zellen in der Wand des direkt über dem juxtaglobulären Komplex (Goormaghthik-Zellen) liegenden Harnkanals (Tubulus, Mittelstück). Hier wird der Blutdruck und damit die Harnausscheidung gesteuert. => ich hoffe, mich hier bei der Interpretation des Bildes nicht zu täuschen: Möglich wäre auch, dass hier das afferente (oder efferente) Blutgefäß direkt über den Goormaghthik-Zellen quer getroffen ist, und folglich der Tubulus darüber liegen müsste. Allerdings liegen ja diese Zellen laut Lehrbuch (s.u.) über den Blutgefässen und nicht darunter. Vielleicht kann ein hier mitlesender Histologe/Pathologe darüber entscheiden?



Abbildung aus einem Lehrbuch der Histologie.

Die 1948 gegründete Firma Dr. Schuchardt bietet auch heute ein breites Angebot an mikroskopischen Präparaten:
http://www.schuchardt-lehrmittel.de/shop/katalog/alle/lehrmittel/index.html#/115

Viel Spass beim Anschauen!

Alfons

Lothar Gutjahr

Lieber Alfons,

ja die Nierchen, das ist schon beeindruckend, wie das alles funktioniert. Sich dann als Laie solche gut erhaltenen Präparate anschauen zu können macht besonderen Dank nötig ! Mein Umbau auf universelles Photomikroskop geht übrigens gut voran, sodaß ich solche Präparate auch bald als Ganzes fotografieren kann. Ich habe da auch noch ein paar alte Schätzchen, die um die 70 Jahre alt sind. Kann ich davon die schönsten hier mit posten oder soll ich sie dir dann lieber zur Auswahl mailen?

Gruß Lothar

Alfons Renz

Natürlich, lieber Lothar,


    sind Bilder und Informationen zu anderen historischen histologischen Präparaten hier hochwillkommen! Es soll gewiss kein Monolog meinerseits werden. Deshalb habe ich auch versucht, den Titel dahingehend zu ändern: Heidenhain- und andere histo-historische Präparate.

Schön wäre es, zu den jeweiligen Präparaten auch den Hintergrund ihrer Provenienz zu erfahren.

Ich bin gespannt,

Herzliche Mikrogrüße,

Alfons

Lothar Gutjahr

Lieber Werner,

vom halbfertigen "UPHOMI" aus mal die "Kriegskatze" beziehungsweise ein Schnitt durch einen Gelenkkopf. Zunächst zwei von den 25 Objektträgern.



Ich zeige dieses Präparat, weil es das einzige ist mit dem Namen des Erstellers, ein Werner Bandt, von dem wir wohl nicht erfahren werden was aus ihm geworden ist. Ob er den Krieg überlebt hat ?

Versuch einer Auflichtaufnahme mit weißem Papier dahinter LED-Licht (Objektiv "unbekannter Glasbrocken" direkt)


Mit Zeiss apo 6,3/0,20 Durchlicht; anstatt Kondensor ein Diffusor noch Original-Hallogenlicht ( weißes Papier auf dem Kondensorträger 10 cm entfernt)
gemessene Bildbreite 2,9 mm


Mit der geplanten Beleuchtung hapert es auch noch. Man möge mir daher die "wie gewohnt miserablen Fotos" nachsehen.

Gruß Lothar

Lothar Gutjahr

Lieber Alfons, mit dem 50.er Objektiv noch ein Nachschlag zu oben:

Alle Aufnahmen sind im Durchlicht mit diffusem Licht gemacht. Objektiv B+L U.L.W.D. 50/0.15 bis 0.45 an "UFOMI" mit Sony NEX-5
anstatt eines Kondensors wurde ein Stück weißes Papier auf den Kondensorträger gelegt.
Die Breite eines Bildes ist ziemlich genau 500 µm.




Hier taucht die Frage auf, was das stäbchenförmige etwas ist?



Diese Aufnahme stammt vom dem zweiten Objektträger "Rind"


Hier mal von einem zunächst ziemlich nichtssagenden OT "Lunge versilbert"
da sind doch schöne Details versteckt. Wessen Lunge steht leider nicht dabei


Gruß Lothar

Holger Adelmann

Hallo Lothar,
Jetzt wirds mir grad auch zuviel. Deine Beiträge im sehr schönen Thread von Alfons sind weder schön anzuschauen noch in irgendeiner Weise informativ.
An mindestens einem von beiden solltest Du arbeiten, und die von Dir mittlerweile selbstkultivierte "Ausrede" mit den "gewohnt schlechten Bildern" empfinde ich mittlerweile nicht mehr lustig. Arbeite dran oder lass es sein.
Ich frage mich also ernsthaft, was das zwanghaft erscheinende Geposte soll !

Gruss
Holger

Florian Stellmacher

Lieber Holger,

vor allem verstehe ich nicht, warum die gelbstichigen und ungleichmäßig ausgeleuchteten Fotos nicht wenigstens nachbearbeitet wurden  ??? Mal davon ab: Was bitte spricht dagegen, mikroskopische Präparate an einem Mikroskop (sowas dürfte sich in Lothars Fundus doch auftreiben lassen) abzulichten?

Herzliche Grüße,
Florian
Vorwiegende Arbeitsmikroskope:
Zeiss Axioskop 2
Olympus BHS (DL, Pol, Multidiskussionseinrichtung)
Zeiss Axiophot (DIK und AL-Fluoreszenz)
Zeiss Axiovert (Fluoreszenz)
Wild M400 Fotomakroskop (DL, DF, AL, Pol)

Florian Stellmacher

Lieber Lothar,

das "stäbchenförmige Etwas" ist ein Tierhaar - sofern Du das große geringelte Ding meinst. Die ganzen anderen dunklen und hellen Stäbchen und Punkte, die wie auf das Foto draufbelichtet aussehen, kann ich leider nicht bestimmen...


Ein bisschen Weißabgleich, Helligkeit und Kontrast, LAB-Farbraum ins Rote, Farbsättigung etwas hoch, Pfeffer und Salz dazu - und: immer noch grauenhaft  ;D

Herzliche Grüße,
Florian
Vorwiegende Arbeitsmikroskope:
Zeiss Axioskop 2
Olympus BHS (DL, Pol, Multidiskussionseinrichtung)
Zeiss Axiophot (DIK und AL-Fluoreszenz)
Zeiss Axiovert (Fluoreszenz)
Wild M400 Fotomakroskop (DL, DF, AL, Pol)