eupeodes corallae Rectalpapillae

Begonnen von Jürgen H., Dezember 01, 2012, 19:06:31 NACHMITTAGS

Vorheriges Thema - Nächstes Thema

Jürgen H.

Liebe Mitmikroskopiker,

zu musca domestica hatte ich sie bereits einmal gezeigt: Die Rectalpapillen. Sie sitzen im Rectum der Insekten und dienen gewissermaßen als Restverwertung. Zum einen entziehen sie den Faeces bei den territisch lebenden Insekten das letzte Wasser und führen es dem Hämolymphraum zu. Zum anderen aber gewinnen sie auch Aminosäuren und Zucker aus dem Rektallumen.
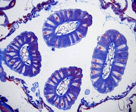
Hier folgt zunächst ein Überblicksbild (20er Objektiv) über das Rectum, das die Rectalpapillen mehr oder weniger quer geschnitten zeigt:



Die vier Papillen, die im Lumen des Rectums liegen, sind gut zu erkennen.

Näher betrachtet (63er Objektiv) sieht das dann so aus:



I ist die Intima, die die Papille zum Raum des Rectums hin abgrenzt.  Die iS innere (zum Rectum hin und daher innen gelegene) Schicht ist stark unterschiedlich strukturiert. In den helleren Räumen liegen große Zellkerne ZK. Auf die innere Schicht folgt eine membranähnliche Wand W2. Zwischen dieser Membran und der inneren Schicht bildet sich ein Hohlraum HR, der durch diese Membran zum Hämolymphraum Hä abgegrenzt wird. Dieser in der Papille gelegene Raum Hä ist also mit dem Raum um das Rectum herum, dem allgemeinen Hohlraum des Abdomenes oder dem Hämolymphraum verbunden und gehört daher zu dem äußeren Raum, der die Papillen umgibt. Aus diesem Hämolymphraum rühren auch die vielen Tracheen her, die hier quer geschnitten sind, z.B. T1. Bei T3 ist gut zu erkennen, dass kleine Abzweigungen der Tracheen die Membran durchstoßen und die innere Schicht durchziehen, sich sogar darin weiter verzweigen (T2)

Auffällig ist, dass sich an der Membran an Stellen, wo kleine Zellkerne sitzen, eine starke (basophile) Blaufärbung ergibt. Im rechten oberen Teil des Hohlraums ergibt sich zudem eine etwas schwächer gefärbte blaue leicht granulär erscheinende Masse. Es sieht so aus, als hätte die Membran W 2 hier eine Sperrfunktion.

Unklar ist mir die dünne strichförmige Verbindung zwischen der stärker gefärbten inneren Schicht und der Intima S.

Schöne Grüße

Jürgen

Ronald Schulte

Jürgen,

Wenn ich es gut verstehe ist also T3 ein Art von Zellfortsätz die mittels eine Trachee (T2) die Zelle ernährt? So eine Art von Mikrovilli?

Dein 63x liefert schöne Bilder, ist das ein planapo objektiv?

Grüße Ronald
Mikroskope:
Leitz Orthoplan (DL, AL-Fluoreszenz und Diskussionseinrichtung).
Leica/Wild M715 Stereomikroskop.
Mikrotom:
LKB 2218 Historange Rotationsmikrotom.

reblaus

Hallo Jürgen -

sehr überzeugende Bilder.
Wie lang sind eigentlich diese Papillen und das ganze Rektum im Verhältnis zum Abdomen? Mit der Nomenklatur "innere Schicht", weil zum Rektum hin gelegen, habe ich auch noch meine Schwierigkeiten.

Viele Grüße

Rolf

Jürgen H.

Lieber Ronald,

Die Tracheen der Insekten dienen der Sauerstoffversorgung. Der Sauerstoff wird durch die Tracheen und feinste Tracheolen zum Ort des Verbrauchs geleitet, im Wesentlichen nicht über die Hämolymphe. Das ist also ein völlig anderes System als beim Menschen. Feine Tracheolen finden sich daher naturgemäß besonders dort, wo der Sauerstoff benötigt wird bzw. Kohlendioxiyd abgegeben wird, z.B. in der Flugmuskulatur. Man hat früher daher vermutet, die Rectalpapillen würden dazu dienen, der Hämolymphe das Kohlendioxyd zu entziehen und ins Rectum abzugeben.

Lieber Rolf,

die Frage nach der Länge kann ich bei eup. corollae leider nicht beantworten, ich habe ja nur einen Querschnitt, ich messe gleich einmal den Durchmesser.

Zum Nomenklatur kann man in der Tat seine Schwierigkeiten haben. Ich weiß auch nicht ob sie heute noch up to date ist. Ich habe sie dem Lehrbuch von Weber entnommen. Und da das in den Zusammenhang passt anbei ein paar Zeichnungen aus dem Lehrbuch, die die Variationsbreite dieser Organe zeigen:



d) aus der Zeichnung entspricht dann dem hier bereits gezeigten Photo einer Rectalpapille von musca d.



WR = Wand des Rectums, an dieser Stelle und bei musca sehr muskulös aufgebaut.
Tr = große Trachee.
Tra = feine Tracheolen in die " innere Schicht"

ÖH = Der Hohlraum der Papillen ist zum Hämolymphraum hin geöffnet.

"Innen" und "Außen" wird vielleicht auch noch besser in einem Übersichtsphoto deutlich:




Hier ist der "Innenraum" des Rectums R vollständig zu sehen. Und das Innere der Rectalpapille RP steht mit der "äußeren" Umgebung des Hämolymphraums in Kontakt.

Schöne Grüße

Jürgen


Jürgen H.

Lieber Rolf, noch die Größenangabe:

Die Rectalpapille im ersten Bild oben misst ca.140µ quer und 210µ längs.

Schöne Grüße


Jürgen