Hauptmenü

Magenbiopsie (Pathologie)

Begonnen von 42, Februar 19, 2013, 21:57:31 NACHMITTAGS

Vorheriges Thema - Nächstes Thema

42

Hallo liebe Mikroskopiefreunde,

heute möchte ich euch mal einen winzigen Ausschnitt aus der pathologischen Diagnostik zeigen.

Bei längerfristigen Magenbeschwerden wird meist eine Magenspiegelung (Gastroskopie) empfohlen, um die Ursachen abzuklären und eine gezielte Therapie einleiten zu können. Fast immer werden dabei kleine Gewebeproben (Biopsien) entnommen, um die Diagnose zu sichern. Magenbiopsien gehören daher zum täglichen Brot des Pathologen und die feingewebliche Diagnostik ist nach wie vor der Goldstandard bei vielen Untersuchungen.
Magenerkrankungen gibt es eine Vielzahl und es würde zu weit führen, sie hier alle aufzulisten, daher habe ich auch nur exemplarisch ein Beispiel herausgesucht und will zu Anfang auch nicht zu viel verraten. Da man im Prinzip sehr weit ausholen müsste, um selbst dieses Beispiel medizinischen Laien verständlich zu erklären, können die folgenden Beschreibungen auch nur als kleine Handreichung zum Weiterlesen verstanden werden und um Fachbegriffe komme ich leider nicht ganz herum. Im Einzelnen hilft da sicher Wikipedia weiter und ich beantworte auch gerne aufkommende Fragen in diesem Thread. ;-)

Da dem Bildbetrachter oft nicht klar ist, was man auf einem Bild wo sehen kann, habe ich am Speicherort Bilderklärungen eingefügt (auf Englisch), einfach mit dem Mauszeiger drüber fahren! Ich werde euch zuerst mit einigen Vorbemerkungen und Erklärungen quälen und hier hier wichtige Schlagworte fett markieren und dann bei den einzelnen Bildern noch einmal stichpunktartig darüber schreiben, was man erkennen kann.


Also fangen wir an. Übersandt wurden Biopsien aus dem Magenantrum und aus dem Magencorpus. Die Veränderungen konzentrieren sich bei diesem Krankheitsbild meiner Erfahrung nach auf den Antrumbereich, so auch in diesem Fall, daher stammen die folgenden Bilder ausschließlich aus dem Antrumbereich. Zur Histologie der Corpusschleimhaut empfehle ich dem Interessierten z.B. die Ausführungen von Ronald Schulte: https://www.mikroskopie-forum.de/index.php?topic=13840.0


Zur Histologie der Antrumschleimhaut:

Die Antrumschleimhaut weist absolut und im Vergleich zu den überdeckenden Foveolen ("Grübchen", Drüsenausführungsöffnungen) einen dünneren Drüsenkörper auf und es fehlen die Belegzellen. Im Bild A) beträgt das Verhältnis Foveolen zu Drüsen ungefähr 1 : 2. Im Corpusbereich ist es meist über 1 : 4, sofern keine Atrophie (Gewebsrückbildung) vorliegt. Erfasst ist nur die Schleimhaut (Mucosa), bestehend aus dem Epithel (Foveolardeckzellen und Drüsenzellen), dem Bindegewebe dazwischen (Lamina propria) und zur Tiefe eine Schicht glatter Muskelfasern (Lamina muscularis mucosae).


Zu den pathologischen Veränderungen:

- Auffällig ist, dass relativ viel Bindegewebe zwischen den Drüsen liegt (Stromafibrose), eine Art der Vernarbung und ein Zeichen der chronischen unspezifischen Entzündung.  Dabei können auch vermehrt glatte Muskelfasern eingelagert sein, die von der Lamina muscularis mucosae nach oben ziehen.

- Weiterhin fällt auf, dass das Gewebe zur Oberfläche (nach luminal) sehr viel dunkler wird.

-- Dies kommt zum einen durch eine Infiltration durch Entzündungszellen zustande, und damit einer hohen Dichte an blauen (basophilen, somit mit Hämatoxilin angefärbten und Nukleinsäurereichen) Zellkernen im Vgl. zum zellarmen faserreichen und damit eher rosa (eosinophil) gefärbten Bindegewebe.

-- Zum anderen ist das foveoläre Deckepithel offensichtlich gereizt und weist aufgrund einer erhöhten Nukleinsäurensynthese reaktiv vergrößerte basophile Zellkerne und ein basophileres Zytoplasma auf (reaktive Epithelveränderung).

- Ein weiteres charakteristisches Zeichen einer Gewebsabwehrreaktion (= Entzündung) sind die korkenzierartig verlängerten und gewundenen Foveolen (reaktive foveoläre Hyperplasie).

- Weiterhin sind die oberflächlichen Kapillargefäße sehr blutreich (Hyperämie), makroskopisch entsprechend einer Rötung (eines des klassischen Entzündungszeichen!).

- In den höheren Vergrößerungen sieht man zudem die einzelnen Entzündungszellen im Stroma (Bindegewebe), im Epithel und in den Foveolen. Wie das Vorhandensein dieser Zellen zu werten ist hängt von der Lokalisation, Menge, dem Organ und weiteren Faktoren ab. In diesem Falle ist es auf jeden Fall pathologisch.

-- Zahlreiche Lymphozyten und Plasmazellen durchsetzen die Lamina propria und sind ein Indikator für die chronische (d.h. mittel- und langfristige) Immunantwort der spezifischen verzögerten Abwehr. Hierbei imponieren vor allem die Aggregate aus Lymphozyten, die sich zum sekundären Lymphfollikel organisiert haben mit Keimzentrum und eingestreuten Kerntrümmermakrophagen, so wie man es z.B. auch reaktiv veränderten lymphatischen Organen (Lymphknoten, Wurmfortsatz, Tonsille) sehen kann.

-- Neutrophile Granulozyten sind das morphologische Korrelat der floriden bzw. aktiven Entzündung, also der unspezifischen Sofort-Abwehr,  in größeren Mengen auch "Eiter" genannt (eitrige Entzündung). Im Bild sieht man Aggregate aus neutrophilen Granulozyten in einer Foveole, entsprechend einem Empyem (Eiteransammlung in einem präformierten Hohlraum, im Ggs. zum Abszess).

-- Daneben finden sich eingestreut eosinophile Granulozyten, die sich bei vielen Entzündungen oft im subakuten Stadium finden oder typischerweise in größerer Anzahl vor allem bei parasiären und allergischen Erkrankungen und bestimmten Autoimmunerkrankungen, aber das können wir hier alles aussen vor lassen.

-- Daneben gibt es sicher auch Makrophagen, Mastzellen und andere, die man im HE-Schnitt aber nicht besonders gut abgrenzen kann und die für die Diagnose in diesem Fall keine Rolle spielen, es sei denn es geht um Morbus Crohn, Mastozytose o.ä..


Hier eine kurze Beschreibung der Entzündungszellen zur Identifikation in den Abbbildungen:

Neutrophile Granulozyten: Meist segmentierte Kerne (junge Zellen auch stabkernig, vor allem, wenn sie zu früh aus dem Knochenmark entlassen werden entsprechend einer Linksverschiebung im Differentialblutbild), schwach eosinophiles Zytoplasma.

Eosinophile Granulozyten: Intensiv rotes (eosinophiles) granuläres Zytoplasma, bilobäre Kerne. "German tourists".

Lymphozyten: "Kleine blaue Zellen" (außer in den Keimzentren -> Zentrozyten, Zentroblasten). In den Abbildung am Besten noch in der Mantelzone der Lymphfollikel zu erkennen.

Plasmazellen: Exzentrisch gelegener basophiler runder bis ovaler Kern, basophiles Zytoplasma, perinukleäre Aufhellung. "Spiegeleier".

Als weiteres Zeichen eines chronischen Entzündungsreizes finden wir eine Umwandlung von Magenepithel in Dünndarmartiges Epithel (intestinale Metaplasie) mit Ausbildung eines Bürstensaums (Mikrovilli), eingestreuten Becherzellen (helles Zytoplasma) und den nicht immer anzutreffenden Paneth-Körnerzellen (rote zytoplasmatische Granula).


Das nur als Vorbemerkung und nun die Bilder:

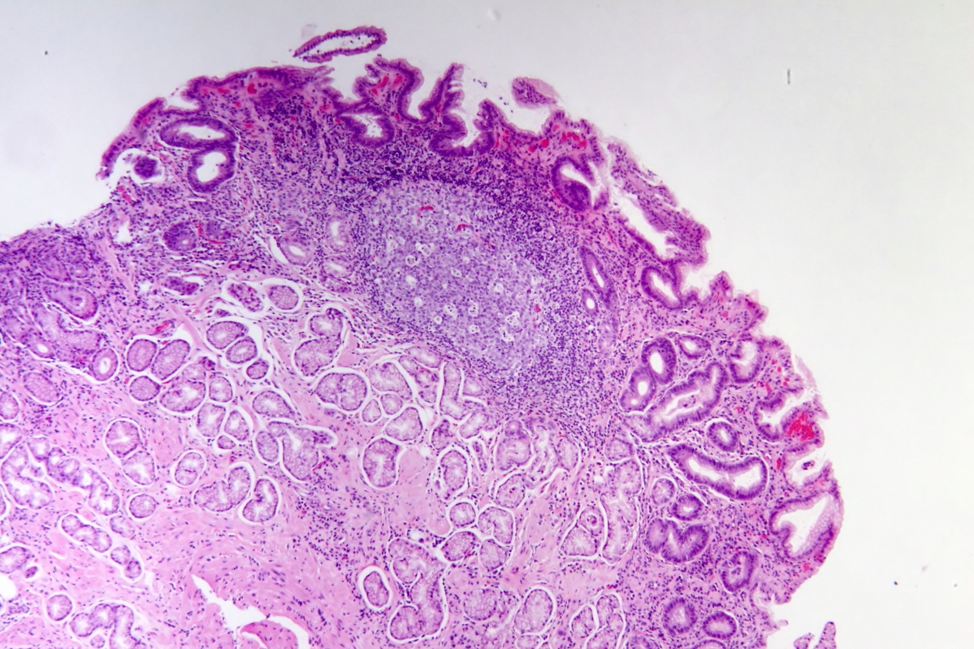
A) Histologie (Foveolen und Antrumdrüsen), oben dunkel (Entzündungszellen und Epithelreaktion), unten hell (Stromafibrose):



https://commons.wikimedia.org/wiki/File:Helicobacter-Gastritis_1.jpg

B) Stromafibrose (zuviel Bindegewebe und glatte Muskelfasern zwischen den Drüsen). Rechts im Bild zunehmend eingestreute Entzündungszellen.



https://commons.wikimedia.org/wiki/File:Helicobacter-Gastritis_2.jpg

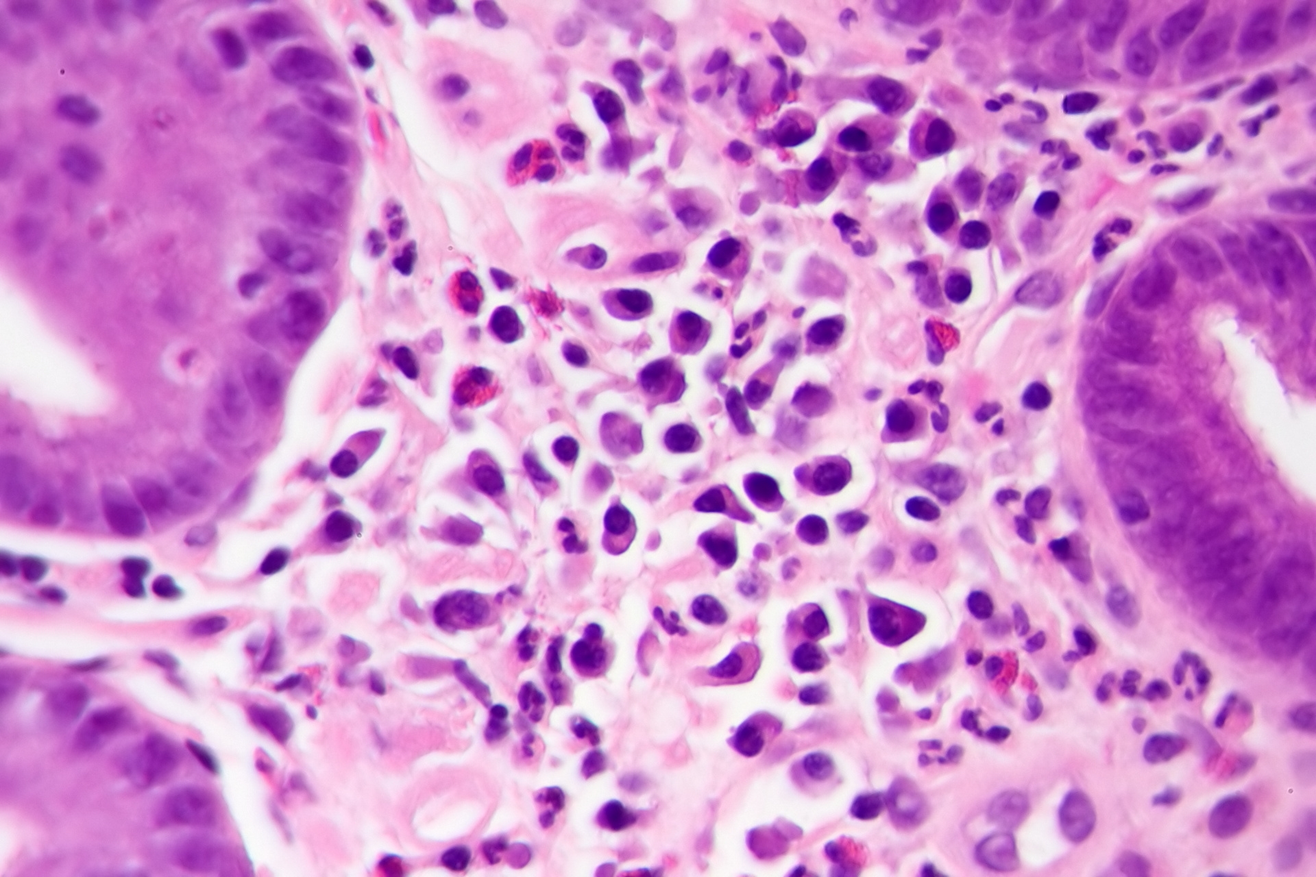
C) Epithelreaktion (dunkeles Zytoplasma, dunkle vergrößerte Zellkerne), foveoläre Hyperplasie (korkenzieherartig), Entzündungszellen im Stroma (Bindegewebe, Lamina propria), im Epithel (hier vor allem die segmentkernigen neutrophilen Granulozyten) und in der Foveole oben rechts (ebenfalls segmentkernige neutrophile Granulozyten = Eiter) i.S. eines foveolären Empyems.



https://commons.wikimedia.org/wiki/File:Helicobacter-Gastritis_3.jpg

D) Hier sieht man besonders gut die segmentkernigen neutrophilen Granulozyten im Epithel und in der Foveole rechts oben:



https://commons.wikimedia.org/wiki/File:Helicobacter-Gastritis_4.jpg

E) Hier gut zu erkennen: Die foveoläre Hyperplasie, die Hyperämie und die bunt durcheinander gemischten Entzündungszellen im Stroma:



https://commons.wikimedia.org/wiki/File:Helicobacter-Gastritis_6.jpg

F) Herdförmig gruppieren sich Lymphozyten sogar zu Sekundärfollikeln (Follikel mit Keimzentrum). Diese bestehen vorwiegend aus B-Lymphozyten. Im Keimzentrum finden sich in diesem Beispiel auch sternenhimmelartig eingestreut sog. Kerntrümmermakrophagen (tingible body macrophages). Daneben wahrscheinlich auch follikulär-dentritische Zellen (FDZ, Antigen-präsentierende Zellen).



https://commons.wikimedia.org/wiki/File:Helicobacter-Gastritis_16.jpg

G) Stärkere Vergrößerung.



https://commons.wikimedia.org/wiki/File:Helicobacter-Gastritis_17.jpg

H) Die tingible body Makrophagen:



https://commons.wikimedia.org/wiki/File:Helicobacter-Gastritis_19.jpg

I) Ein weiterer Follikel:



https://commons.wikimedia.org/wiki/File:Helicobacter-Gastritis_10.jpg

J) Übergang von Keimzentrum (große helle Zellen) zur Mantelzone (kleine blaue Zellen, ähnlich den im übrigen Stroma eingestreuten Lymphozyten). Die "haarige" Zelle oben links ist vielleicht eine FDC, aber da müsste ich selbst nochmal recherchieren:



https://commons.wikimedia.org/wiki/File:Helicobacter-Gastritis_11.jpg

K, L, M) Als nächstes wenden wir uns noch den übrigen Entzündungszellen im Stroma zu, Lymphozyten und neutrophile Granulozyten kennt ihr ja nun schon. ;-)

Wie oben beschrieben:
- Violette Spiegeleier = Plasmazellen
- Rote Freunde mit Sonnenbrille = Eosinophile Granulozyten
- Kleine blaue Zellen mit wenig Zytoplasma = Lymphozyten
- Segmentkernige = Neutrophile Granulozyten



https://commons.wikimedia.org/wiki/File:Helicobacter-Gastritis_7.jpg



https://commons.wikimedia.org/wiki/File:Helicobacter-Gastritis_8.jpg



https://commons.wikimedia.org/wiki/File:Helicobacter-Gastritis_12.jpg

N) Nun noch die angesprochene intestinale Metaplasie, ebenfalls eine Manifestation des chronischen Entzündung. Hierfür braucht man zwingend Becherzellen, Paneth-Körnerzellen können vorkommen und oft lässt sich ein Bürstensaum nachweisen. Besonders leicht lässt sich die Metaplasie in der PAS-Färbung erkennen, da Becherzellen und Bürstensaum PAS-positiv sind (habe ich hiervon aber leider nicht). Das Epithel wirkt meist dunkler und es finden sich häufig Mitosefiguren.



https://commons.wikimedia.org/wiki/File:Helicobacter-Gastritis_18.jpg

O) Becherzellen ("Löcher" im Epithel) und Mitosen sowie angedeuteter Bürstensaum:



https://commons.wikimedia.org/wiki/File:Helicobacter-Gastritis_21.jpg

P) Paneth-Zellen mit apikal (luminal) zahlreichen zytoplasmatischen eonsinophilen Granula und basal gelegenem Zellkern.



https://commons.wikimedia.org/wiki/File:Helicobacter-Gastritis_20.jpg


Zusammenfassend haben wir also eine deutliche chronische partiell lymphofollikuläre und aktive Antrumgastritis mit Stromafibrose und intestinaler Metaplasie.

Es fehlt nur noch die Ursache:

Klassisch teilt man Magenschleimhautentzündungen (Gastritiden) grob in Typ A (autoimmun), B (bakteriell) und C (chemisch-toxisch) ein.

Ich darf soviel verraten, dass das Ausmaß der Entzündung und die antrale Betonung schon auf eine B-Gastritis hinweist. Eine nähere Betrachtung des Foveolarepithels liefert dann auch die Bestätigung, hier wimmelt es nur so von kurzen geringgradig gewundenen Stäbchenbakterien, entsprechend einer Besiedelung durch Helicobacter (a.e. H. pylori), am besten zu sehen in einer Spezialfärbung wie z.B. einer abgewandelten Giemsa-Färbung.

Q) Helicobacter in der HE (40x):



https://upload.wikimedia.org/wikipedia/commons/4/40/Helicobacter-Gastritis_13.jpg

R) Helicobacter in der Giemsa-Färbung (40x):



https://commons.wikimedia.org/wiki/File:Helicobacter-Gastritis_14.jpg

S) und mit Ölimmersion (100x):



https://commons.wikimedia.org/wiki/File:Helicobacter-Gastritis_15.jpg

Ich hoffe ihr fandet es interessant, was man aus milimetergroßen Gewebsstücken so alles herauslesen kann, ohne den Patienten selbst je gesehen zu haben. Anregungen und Verbesserungsvorschläge nehme ich gerne entgegen und freue mich auch über ergänzende Kommentare und Diskussionen.

Hier noch ein paar ergänzende Links:

https://de.wikipedia.org/wiki/H._pylori

https://de.wikipedia.org/wiki/Gastritis
MfG
Christian

Heino Lauer

Hallo Christian,

wie schön, einen histopathologischen Beitrag zu finden! Du hast Dir sehr viel Arbeit gemacht, vielen Dank dafür.
Dein Text wird mir Anlass sein, mich noch einmal in die Literatur zu vertiefen und auch eigene Präparate vergleichend zu
betrachten.

Natürlich nötigt gerade die Diagnose am vergleichsweise winzigen Bioptat immer wieder Respekt ab. Wenn ich mich richtig erinnere,
war es Virchow, der den Begriff "Stückchendiagnose" geprägt hat. Er meinte das zu seiner Zeit allerdings kritisch, da er es für nicht
zulässsig hielt, von einem vergleichsweise winzigen Stück Gewebe auf den Zustand eines Organs oder eines größeren Teils davon  zu schliessen.
Für seine Zeit hatte diese Skepsis sicherlich auch ihre Berechtigung. Umso eindrucksvoller, zu welcher Perfektion ihr diesen Teil der histo-pathologischen
Diagnostik im Verlauf von Jahrzehnten entwickelt habt. Gibt es eigentlich Untersuchungen zur Treffgenauigkeit der Diagnose am Bioptat im Vergleich
zur Diagnose am späteren Resektat, so denn ein Eingriff erforderlich war?

Für mich als Amateur ist Dein Beitrag, neben den Ausführungen zur Mikroskopie der Gastritis, noch in anderer Hinsicht sehr wertvoll. Das betrifft die Kenntnis der unterschiedlichen Entzündungszellen. Als Blutbestandteil im Ausstrich sind sie gut zu erkennen und zu unterscheiden. Sind sie aber ins Gewebe eingewandert, fällt mir die Differenzierung wesentlich schwerer. Deine Bilder und die Erläuterungen in der Originaldatei sind mir deshalb eine große und wertvolle Hilfe, über die ich mich sehr freue.

Herzlicher Gruß

Heino

Fahrenheit

Lieber Christian,

vielen Dank für Deinen schönen Bericht zur Histologie der Magenschleimhaut!
Durch Deine umfangreichen Erklärungen und die Mouse Over Infos in den Bildern hinter den Links ist er auch für mich als Laie interessant.

Herzliche Grüße
Jörg
Hier geht's zur Vorstellung: Klick !
Und hier zur Webseite des MKB: Klick !

Arbeitsmikroskop: Leica DMLS
Zum Mitnehmen: Leitz SM
Für draussen: Leitz HM

Jan Dunst

Hallo Christian,

auch ich schließe mich den Vorrednern an, ein wirklich zauberhafter Beitrag. Qualitativ und vor allem informativ herausragend.

Stimmt es eigentlich das die Entdecker des Zusammenhang zwischen H. pylori und Gastritis sich zur Beweisführung selbst mit diesem infiziert haben um das auftreten der Gastritis zu belegen? Diese Legende habe ich nun schon einige Male in Vorlesungen gehört und mich immer gefragt wieviel Wahrheit diese enthält.

Ich habe im Bekanntenkreis gute Freunde mit einer 15 jährigen Tochter die völlig vernarrt in diese pathologischen Fernsehsendungen (CIS oder wie auch immer) ist und sich dieses beruflich Vorstellen könnte. Ich denke ich werde ihr mal diesen Beitrag vorstellen um zu schauen ob dies dann immer noch von Intresse ist. Das Bild eines Pathologen was im Fernsehen transportiert wird ist ja doch eher realitätsfern, da werden DNA Tests mit Gewebe auf Objektträgern und PC DVD-Laufwerken innerhalb 15 Sekunden vorgenommen. :)

42

Hallo Heino,

Studien zur Korrelation gibt es bestimmt, müsste ich aber heraussuchen. Die Helicobacter-Besiedelung kann fleckförmig sein, so dass theoretisch ein sog. sampling error auftreten kann. Wir bekommen jedoch bei Gastritisverdacht fast immer mehrere Biopsien jeweils von Antrum und Corpus, so dass die Trefferquote recht hoch sein dürfte.  In Einzelfällen kann aber trotz des typischen Entzündungsbildes der Nachweis von H.p. histologisch misslingen. das kann z.B. auch bei ausgedehnten intestinalen Metaplasien vorkommen, die den Helicobacter lokal vertreiben (zu alkalisch?). In diesem Fall kann man dem Kliniker empfehlen, noch einen Atem-Test anzuschließen, um die Sensitivität zu erhöhen. Bei therapieresistenter Gastritis wird meist auch noch Material in die Mikrobiologie geschickt, da es mittlerweile auch Antibiotika-resistente Helicobacter gibt. Daneben gibt es noch Helicobacter heilmanii, der ähnlich aussieht, aber etwas länger und "spirilliger" (korkenzieherartig) ist:

http://thunderhouse4-yuri.blogspot.ru/2013/02/helicobacter-heilmanii.html

Hier gibt es noch weitere Abbildungen und Informationen, darunter auch eine Abbildung von unauffälliger Antrumschleimhaut zum Vergleich:

http://alf3.urz.unibas.ch/hipaku/stud/det.cfm?id=128&l=bs

http://alf3.urz.unibas.ch/pathopic/getpic-fra.cfm?id=4392


Hallo Jan,

von diesem Selbstversuch habe ich auch schon mehrfach gehört und auch bei Wikipedia ist er erwähnt und in der dort angegebenen Quelle, da ist dann wahrscheinlich was Wahres dran:

https://de.wikipedia.org/wiki/Barry_Marshall

http://www.nzzfolio.ch/www/d80bd71b-b264-4db4-afd0-277884b93470/showarticle/af92a1b6-2f62-42d2-bae8-7dac2b5bd854.aspx

Den meisten Menschen, offensichtlich auch Dir, ist der Unterschied zwischen Pathologen und Rechtsmedizinern nicht bekannt, zur Aufklärung tragen dann auch die amerikanischen Sendungen nicht bei, wo die Rechtsmediziner (die nebenbei auch noch Profiler, Spurensicherer und Kriminalbeamter sind -> realitätsfern) meist als Pathologen bezeichnet werden. Pathologen kümmern sich fast ausschließlich um Krankheiten, Rechtsmediziner um alles "Unnatürliche" (Unfall, Suizid, Fremdeinwirkung).

Und wenn der Unterschied bekannt ist, dann denken die meisten, man würde nur an den Toten arbeiten, was natürlich auch dazugehört, aber in den letzten Jahrzehnten ist die Diagnostik am Lebenden doch stark in den Vordergrund gerückt. Praktisch jedes chirurgisch entfernte Gewebe, vom Wurmfortsatz ("Blinddarm") über Gallenblase und Tonsille bis zum Tumorresektat wird pathologisch untersucht, dazu kommen Biopsien aus HNO-Bereich, Speiseröhre, Magen, Colon, Lunge, Haut usw. und zytologische Untersuchungen (Urin, Gelenkpunktat, Abstriche) und die Schnellschnittdiagnostik (mittels Gefrierschnitttechnik), wo der Operateur noch während der Operation von uns z.B. wissen will, ob ein Schnittrand tumorfrei ist oder ob er noch etwas weiter resezieren muss oder z.B. ob überhaupt ein Tumor (Neubildung) vorliegt oder doch etwas anderes.

MfG
Christian

Jan Dunst

Hallo Christian,

danke für deine Antwort und den Nzz Artikel.

Der Unterschied ist mir durchaus bewusst, aber da es im Fernsehen mehrere ermittelnde Pathologen/innen gibt werden diese Tätigkeitsfelder (ständige Lebensgefahr, Pistolengeschichten, Hightech Labore mit Discobeleuchtung usw.) so in die Jugend transportiert. Trotzdem danke für deine Richtigstellung.

Florian Stellmacher

Lieber Heino,

vielleicht darf ich Christian bezüglich Deiner Frage zur Seite springen?

Es gibt natürlich Untersuchungen hinsichtlich der Korrelation bioptisch gestellter Diagnosen zum OP-Präparat, diese sind aber sehr unterschiedlich, je nach dem, was biopsiert wurde. So korreliert z.B die anhand von Lungenbiopsien gestellte Diagnose der Tumor-Entität (z.B Plattenepithelkarzinom, Adenokarzinom etc.) sehr gut mit der am OP-Präparat zu stellenden Diagnose, sofern der Tumor initial in der Biospie erfasst wurde. Bei anderen Biopsien liegt allerdings die "Trefferquote" deutlich niedriger; so ist z.B. die Diagnose des Morbus Crohn, einer chronisch-entzündlichen Darmerkrankung, nur in der Zusammenschau zahlreicher Proben aus diversen Stellen des Darmes mit einer ausreichenden Wahrscheinlichkeit zu stellen, in Publikationen von international bedeutenden Experten liegt hier die Übereinstimmung mit dem OP-Präparat gerde mal bei 50%; dies verwundert den Pathologen keineswegs, da eine Vielzahl diagnostischer Kriterien sich nur in Anteilen der Darmwand nachweisen lassen, die in einer endoskopisch gewonnenen Biopsie gar nicht erfasst werden können. Internisten verblüfft dies allerdings immer wieder. Bei anderen Erkrankungen z.B. fibrosierenden intersitiellen Lungenerkrankungen, kann die Biopsie, die i.d.R. nur Brochusschleimhaut sowie ein kleines benachbartes Stück Lungengewebe beinhatet, nur in Kenntnis des Röntgenbildes und weiterer klinischer Angaben wie klin. Symptome, Schadstoffbelastung am Arbeitsplatz oder beim Hobby, Erkranungsdauer etc. sinnvoll zur Diagnose beitragen. Ggf.kann eine kleine Biopsie auch die Entnahme eines größeren Gwebsstückes erforderlich machen, sofern eine klare Diagnose nicht möglich ist, eine umfangreiche Operation jedoch ohne sichere Diagnose nicht gerechtfertigt ist.

Es lässt sich also keine allgemeine Antwort zu Deiner Frage geben.

Herzliche Grüße,
Florian

P.S.: Hallo Jan, Hightech-Labore haben Pathologen heute auch!  ;)
Vorwiegende Arbeitsmikroskope:
Zeiss Axioskop 2
Olympus BHS (DL, Pol, Multidiskussionseinrichtung)
Zeiss Axiophot (DIK und AL-Fluoreszenz)
Zeiss Axiovert (Fluoreszenz)
Wild M400 Fotomakroskop (DL, DF, AL, Pol)

Peter V.


Lieber Florian,

ich denke noch grne an Deinen amüsanten Vortrag auf der Kornrade zurück, den Du so treffend und platisch mit zwei Bildern eingeleitet hast, die erklärten, welcher Exitus ein Fall für den Pathologen und welcher ein Fall für den Rechtsmediziner ist.

Aber das Bild vieler Berufsgruppen wird im Fernsehen verfälscht dargestellt. Während des Studiums gingen wir auch fest davon aus, irgendwann im schönen Schwarzwald am frühen Nachmittag bei strahlendem Sonnenschein lässig über die geschlossene Tür in ein Carbrio an die Seite einer uns bewundernd anhimmelnden Lernschwester springen zu können, so, wie es uns Sascha Hehn vorlebte (war für uns damals natürlich Pflichtprogramm im TV). Und wie sah die bittere Realität aus?  :o  :'(  >:(

Herzliche Grüße
Peter

Dieses Posting ist frei von kultureller Aneigung, vegan und wurde CO2-frei erstellt. Für 100 Posts lasse ich ein Gänseblümchen in Ecuador pflanzen.

Florian Stellmacher

Liebe Freunde der Histologe,

noch eine Ergänzung: Mitunter passen die in der Biopsie erkennbaren histologischen Veränderungen perfekt zu einer Helicobacter pylori-induzierten Gastritis, ohne dass mit den gewöhnlichen Färbungen die Erreger nachweisbar sind. Dann hilft die Immunhistochemie weiter; hierbei werden die Erreger von einem (leider nicht ganz) spezifischen Antikörper, mit dem ein Farbstoff gekoppelt ist, erkannt, sodass auch nur sporadisch vorhandene Bakterien nachgewiesen werden können.


Leitz Pl APO 63x 1,4

Herzliche Grüße,
Florian
Vorwiegende Arbeitsmikroskope:
Zeiss Axioskop 2
Olympus BHS (DL, Pol, Multidiskussionseinrichtung)
Zeiss Axiophot (DIK und AL-Fluoreszenz)
Zeiss Axiovert (Fluoreszenz)
Wild M400 Fotomakroskop (DL, DF, AL, Pol)

Ronald Schulte

Christian,

Zuerst mochte ich mal sagen das es mir sehr gut tut das wider eins einen Histo- Pathologischen Beitrag schreibt und, so finde ich, sehr gut gelungen.
Was mir aber befremd ist das du die sekundären Lymphfollikel bezeichnest wie Pathologische Veränderungen.
Es ist doch so das auch in Gesundes Magengewebe sehr viele Lymphfollikel vorkommen? Das die "haarige" Zellen da nicht hin gehören kann ich mich aber vorstellen.

In mein zweites Bild zeige ich ein Schnitt von ein Lymphadenitis die ich gerade geschnitten habe. Da meine ich aber auch von diese gleiche "haarige" Zellen zu sehen.
Wurde sehr Interessiert sein wenn eine die Zelle bestimmen könnte.

Grüße Ronald



Mikroskope:
Leitz Orthoplan (DL, AL-Fluoreszenz und Diskussionseinrichtung).
Leica/Wild M715 Stereomikroskop.
Mikrotom:
LKB 2218 Historange Rotationsmikrotom.

Jan Dunst

Zitat von: Florian Stellmacher in Februar 22, 2013, 19:38:45 NACHMITTAGS
hierbei werden die Erreger von einem (leider nicht ganz) spezifischen Antikörper, mit dem ein Farbstoff gekoppelt ist, erkannt, sodass auch nur sporadisch vorhandene Bakterien nachgewiesen werden können.

Hallo Florian,

welches Epitop wird denn von dem AK erkannt?

Florian Stellmacher

Hallo Jan,

das kann ich Dir so aus dem Stehgreif nicht sagen, da müsste ich erstmal den (im Institut befindlichen) Waschzettel lesen...

Herzliche Grüße,
Florian
Vorwiegende Arbeitsmikroskope:
Zeiss Axioskop 2
Olympus BHS (DL, Pol, Multidiskussionseinrichtung)
Zeiss Axiophot (DIK und AL-Fluoreszenz)
Zeiss Axiovert (Fluoreszenz)
Wild M400 Fotomakroskop (DL, DF, AL, Pol)

Heino Lauer

Lieber Florian,

vielen Dank für Deine Erläuterungen! Es ist verständlich, daß angesichts solcher Vielfalt im Untersuchungsgut nicht eine allgemeine Antwort zur Befundkorrelation gegeben werden kann. Das hatte ich, als ich meine Frage formulierte, nicht bedacht. Umso mehr freue ich mich über Deine ausführliche Antwort.

Herzlicher Gruß

Heino

42

Hallo Ronald,

soweit ich weiß sollen Lymphozyten in der (menschlichen) Magenmukosa nur spärlich vorhanden sein, Lymphofollikel gar nicht. Umgekehrt sind Lymphfollikel sehr verdächtig auf Helicobacter. Vgl. z.B..:     

http://www.saudijgastro.com/article.asp?issn=1319-3767;year=1999;volume=5;issue=1;spage=15;epage=17;aulast=Afzal

Du kannst ja mal deine Maus-Präparate dahingehend untersuchen:

http://jaxmice.jax.org/jaxnotes/archive/469a.html
MfG
Christian

Heino Lauer

Hallo Christian, Hallo Ronald,

Mills[1] schreibt zu den Lymphfollikeln in der Schleimhaut des Magens:

"Recently it has been shown that small numbers of primary lymphoid follicles (aggregates of small lymphocytes)can be found in the normal stomach(20). However, secondary lymphoid follicles (follicles with germinal centers) are found only in gastritis, usually secondary to infection with Helicobacter pylori."

Welsch[2] hingegen geht, für die normale Histologie, weiter und sagt:"Regelmäßig sind in der Schleimhaut Lymphfollikel zu finden". An anderer Stelle sogar:"In der Schleimhaut der Pars pylorica treten relativ häufig Lymphfollikel auf."

Sicher ist demnach zumindest, das das Vorkommen von sekundären Lymphfollikeln an eine Gastritis denken lassen muss, oder?
So ja auch Afzal et al. in der von Dir zitierten Arbeit, obwohl dort nicht von sekundären Lymphfollikeln gesprochen wird.

Viele Grüße

Heino


[1] Mills, Stacey E.: Histology for Pathologists. p 595   3.ed  Lippincott   (Die neueste Auflage steht mir nicht zur Verfügung)

[2] Welsch, Ulrich: Sobotta Lehrbuch Histologie. S. 334   1. Aufl. 2003  Urban & Fischer  München