HISTOLOGIE: charakteristische Struktur im Gehirn: der Hippocampus

Begonnen von Ronald Schulte, Mai 18, 2013, 16:45:58 NACHMITTAGS

Vorheriges Thema - Nächstes Thema

Ronald Schulte


Im Hippocampus fließen Informationen verschiedener sensorischer Systeme zusammen, die verarbeitet und von dort zum Cortex zurückgesandt werden. Damit ist er enorm wichtig für die Gedächtniskonsolidierung, also die Überführung von Gedächtnisinhalten aus dem Kurzzeit- in das Langzeitgedächtnis. Menschen, bei denen beide Hippocampi entfernt oder zerstört wurden, können keine neuen Erinnerungen formen und weisen somit eine anterograde Amnesie auf. Alte Erinnerungen bleiben jedoch meist erhalten. Der Hippocampus wird somit als Struktur gesehen, die Erinnerungen generiert, während die Gedächtnisinhalte an verschiedenen anderen Stellen in der Großhirnrinde gespeichert werden.

Camillo Golgi war ein italienischer Mediziner und Physiologe. Er erhielt im Jahr 1906 den Nobelpreis für Physiologie oder Medizin.
Golgi entwickelte die nach ihm benannte Golgi-Färbung, eine Methode zum Anfärben einzelner Nerven und Zellstrukturen, die als ,,Schwarze Reaktion" bekannt wurde. Es handelte sich um eine histologische Färbung mit Silbernitrat.
Im Bild eine Zeichnung von Golgi und der Hippocampus.




Folgende zwei Bilder stammen von: Gehirn Atlas von Mensch und Maus
Das Rote Kreuz zielt auf die stelle wo der Hippocampus liegt.








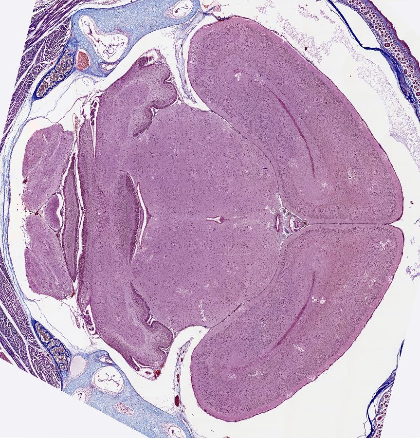
Hier der Hippocampus in mein Gehirnschnitt von eine Junge Maus. Und, es stimmt genau!
Bild ist ein stitch von 34 Bilder. Objektiv Leitz Fluotar 16x.

Ein größeres Bild von 1800x und 2MB ist 'hier' zu downloaden.




Grüße Ronald
Mikroskope:
Leitz Orthoplan (DL, AL-Fluoreszenz und Diskussionseinrichtung).
Leica/Wild M715 Stereomikroskop.
Mikrotom:
LKB 2218 Historange Rotationsmikrotom.

JoachimHLD


Holger Adelmann

Tolles Bild einer faszinierenden Hirnstruktur, lieber Ronald, Glückwunsch !

Herzliche Grüsse
Holger


Ronald Schulte

#3
Hier noch zwei weitere Bilder von der Hippocampus in verschiedene Schnittebenen und Färbungen.

Farbung: PTAH (Phosphorwolframsäure-Hämatoxylin nach Mallory)




Farbung: Kernechtrubin/Anilinblau/Orange G/Eisessig (Rezept von Chroma)





Details von die Körner-Schicht.
Objektiv 40x

Farbung: PTAH (Phosphorwolframsäure-Hämatoxylin nach Mallory)




Farbung: PTAH (Phosphorwolframsäure-Hämatoxylin nach Mallory)




Grüße Ronald
Mikroskope:
Leitz Orthoplan (DL, AL-Fluoreszenz und Diskussionseinrichtung).
Leica/Wild M715 Stereomikroskop.
Mikrotom:
LKB 2218 Historange Rotationsmikrotom.

purkinje

Hallo Ronald,
sehr schöne Schnitte des Ammonshorns, dem Ort des Ultrakurzzeitgedächtnisses.
Bei der Maus ja eine recht filigrane Struktur, wenngleich größer, sieht sie bei unsereins sehr ähnlich aus  :D
Kannst Du noch einen Satz zu den zwei Färbungen schreiben.
beste Grüße
stefan

Ronald Schulte

@Stefan,

Die Färbungen habe ich eingetragen!

Ja der Hippocampus sieht immer schön aus und ähnelt sich zum Menschen.
Heutemittag habe ich mal einen neuen Schnitt Fotografiert die Horizontal geschnitten ist.
Die ersten Resultaten sehen nach mehr aus.
Ich habe noch ein Ganzes Gehirn in Formalin liegen und überlege mich jetzt das es vielleicht schön wäre um den auch ein zu betten für horizontale Schnitte.
Hier die ersten Resultaten, Schnitte sind noch nicht Gans sauber aber das kommt später bestimmt in Ordnung.
Meine ersten Coupes von ein neues Block sind immer was gewöhnungsbedürftig weil sich, bei mir wenigstens, jedes Block anders Schneidet und Färbt.

Was die weise Flecken in das Gehirn vorstellen ist mir noch unklar (sind keine Artefakte). Vielleicht weil es noch ein nicht ausgereiftes Gehirn ist?

Sogar das Ohr ist gut angeschnitten. Färbung nach Mallory aus 1900.
Stitch von 148 Bilder mit ein Leitz plan Fluotar 10x Objektiv.





Färbung nach Mallory aus 1900.
Stitch von 99 Bilder mit ein Leitz plan Fluotar 10x Objektiv.




Grüße Ronald
Mikroskope:
Leitz Orthoplan (DL, AL-Fluoreszenz und Diskussionseinrichtung).
Leica/Wild M715 Stereomikroskop.
Mikrotom:
LKB 2218 Historange Rotationsmikrotom.

Holger Adelmann

Sehr schöne Ergänzungen Ronald, vielen Dank.

Hast Du schon daran gedacht, die Nervenbahnen der Hippocampus-Neurone mit einer Versilberung im etwas dickeren Schnitt darzustellen?

Viele Grüsse
Holger

Ronald Schulte

Holger,

Ja das werde ich sicher machen. Die Materialien habe ich alle und die Technik beherrsche ich auch (beherrschen ist vielleicht ein großes Wort aber die Technik ist mir nicht unbekannt).
Das Horizontale Maus-Block schneidet sich sehr schön.
Bin gerade dabei um was Gewebe einzubetten und dabei ist auch ein Komplettes Adult Mausgehirn. Habe eine neue Paraffinformel von Leica bekommen und werde das jetzt ausprobieren. Das sollte dann besser infiltrieren und lässt sich besser schneiden! Wir werden es erleben aber das Leica schlechtes Paraffin Produziert glaube ich auch nicht.

Grüße Ronald
Mikroskope:
Leitz Orthoplan (DL, AL-Fluoreszenz und Diskussionseinrichtung).
Leica/Wild M715 Stereomikroskop.
Mikrotom:
LKB 2218 Historange Rotationsmikrotom.

Jan Dunst

#8
Hallo Ronald,

toller Schnitt, tolle Färbung und tolle Bilder. Vielen Dank fürs zeigen...

Besonders die Körnerschicht im Hippocampus ist für mich intressant, es gibt hier die sogenannte "subgranular zone of the dentate gyrus", an der Spitze des Hippocampus. Dies ist ein besonderer Ort da es hier neuronale Stammzellen gibt, die neue Neuronen in der Körnerschicht bilden. Vermutlich sind diese vom Aussehen ähnlich wie Astrocyten, müssten also von den bipolaren Neuronen gut zu unterscheiden sein. Ist dir vielleicht beim durchgucken der Präparate soetwas aufgefallen? Das wäre doch intressant zum zeigen.

Schöne Pfingstgrüße,
Jan


Literatur:
Vescovi et al. Nature Reviews Cancer 6, 425–436 (June 2006)
http://fbae.org/2009/FBAE/website/images/PDF%20files/stem%20cells/Brain%20Tumor%20Stem%20Cells.pdf
Auf Seite 4 ist eine schöne Übersichtsgrafik.

Ronald Schulte

#9
Jan,

Danke für das sehr Interessantes Dokument. Ich habe es mal gespeichert.

Wenn ich in die Kornschicht von der Hippocampus schaue sehe ich nichts besonderes aber das kommt weil ich nicht weis wie es aufgebaut sein sollte.
Ich habe zwei Bilder gemacht und die sind eigentlich nicht die Besten weil das Präparat sich dafür nicht besonders eignet. Dafür ist es zu dick und nicht flach genug.
Ein Plastik Schnitt wurde für diese Zweck besser sein denke ich.

Das erste Bild ist mit ein ein 40x Objektiv, das zweite ein 63x. Beide in AZAN Färbung.

Ich sehe Astrocyt-artige Strukturen, so denke ich, die dunkle Runde Kerne.
Was dann ein 'Granule Neuron', 'Neuroblast' oder 'Stemmcell' ist lasst sich schwierig aussagen so wage ich mich auch nicht dran.






Grüße Ronald
Mikroskope:
Leitz Orthoplan (DL, AL-Fluoreszenz und Diskussionseinrichtung).
Leica/Wild M715 Stereomikroskop.
Mikrotom:
LKB 2218 Historange Rotationsmikrotom.