Zoologie: Mitteldarm einiger Insekten

Begonnen von Jürgen H., Oktober 13, 2013, 20:50:27 NACHMITTAGS

Vorheriges Thema - Nächstes Thema

Jan Dunst

Lieber Jürgen,

das ganze ist trivialer als es aussehen mag. Richtig erkannt, es ist ein Schälchen mit geschwärztem Parrafin.

Da die armen Biester hier im Akkord dran glauben müssen und das ganze möglichst "steril" laufen soll, wird auf das Schälchen eine Lage Parafilm gelegt. Dieser kann nach der Präparation mit dem Präparat abgezogen werden und ins Tiefkühlfach. Die Schale ist dann nach einem Wisch mit Schnaps wieder relativ sauber und kann weiterhin genutzt werden. Das hat den Vorteil das die Sache schneller erledigt werden kann, das verkürzt das Leiden da es Lebendpräparationen sein müssen.

Die Nadeln sind simple Stecknadeln.

Wie du siehst, ziemlich unspektakulär... ;)

Jürgen H.

Liebe Mitmikroskopiker,

ergänzend noch zwei Photos aus einem heute gefertigten weiteren Präparat vom Mitteldarm einer Wespe:



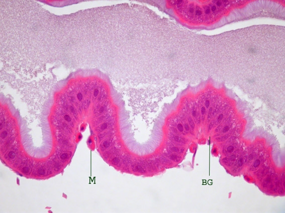
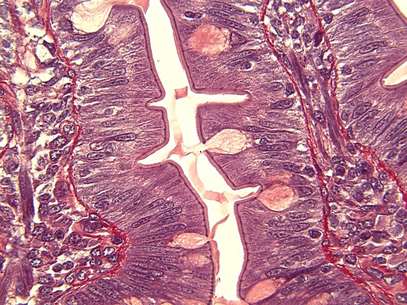
MV Der ganz gut zu sehende Mikovillibesatz im  Darmlumen, QM die Quermuskulatur, die der Einschnürung des Darms dient,
LM hingegen die längs des Darms verlaufende Muskulatur, TR eine winzige Tracheole im Querschnitt, die der Luftversorgung
des anhängenden  Muskels dient, TP die tunica propria, an der die einzelnen Darmzellen liegen, ZK Zellkerne der Darmzellen
und ZW die Zellwände, die die Darmzellen untereinander abgrenzen.



Hier ist die Quermuskulatur M tätig gewesen, der Darm "ringelt" sich. Auffällig ist die Strukturen BG,
die wohl die Beschädigungb der Darmzellen beim Einschnürungsvorgang verhindern.

Schöne Grüße in die Runde

Jürgen


Ronald Schulte

Jürgen,

Herrliche Bilder. Finde es richtig schade das so wenige sich mit die Histologie Beschäftigen, kann doch jede lernen!
Ich glaube das wir Samstag auch Insektendarm schneiden werden in Kunststoff, ich freue mich schon.

Ich sehe keine Schleimbecherzellen, stimmt das? Brauchen Insekten die nicht?

Zu dein Fragezeichen mochte ich sagen: 'L.C. Junqueira und J. Carneiro' schreibt da: "Glycocalix (fuzzy coat) von 0,5µm zwischen das Apikale Teil der Zelle und der Mikrovilli wo sich Sacharidasen, Peptidasen und andere Enzyme wie ein Filter befinden." (Beitrag aus 2010)

Kann durchaus sein das es bei Insekten genau so aussieht!






Grusse Ronald
Mikroskope:
Leitz Orthoplan (DL, AL-Fluoreszenz und Diskussionseinrichtung).
Leica/Wild M715 Stereomikroskop.
Mikrotom:
LKB 2218 Historange Rotationsmikrotom.

Jürgen H.

Lieber Ronald,

wunderschöner Schnitt! Kannst Du einmal bitte etwas zu dem Protokoll Deiner  Wolframatophosphorsäure-Hämatoxylin Färbung schreiben?

Becherzellen gibt es bei einigen Insekten auch, insbesondere bei Schmetterlingslarven, nicht hingegen bei den Imagines der Dipteren. Sie haben aber eine ganz andere Funktion als bei den Vertebraten. Sie produzieren keinen Schleim, sondern dienen dazu - durch einen Mikrovillisaum gegen das Darmlumen abgeschirmt, überschüssige Kaliumionen aus der Hämolymphe zunächst zu sammeln und dann ins Darmlumen abzutransportieren. Sie haben also eine exkretorische Funktion, vergleichbar den Malphigischen Gefäßen.

Raupen von Schmetterlingen habe ich noch nicht geschnitten. Was man alles machen könnte......

Zu der mit ? versehenen Stelle werden wir vielleicht in einem Kunststoffschnitt Näheres sehen. Es müsste sich ja um eine Epithel handeln, das zum Transport von Stoffen geeignet ist, vermutlich auch einen hohen Mitochondrienbesatz aufweist. Vielleicht müsste ich auch eine andere Färbung versuchen, als die der Übersichtsfärbung von Hämatoxylin und Azophloxin.

Schöne Grüße

Jürgen

Ronald Schulte

Jürgen,

Gerne! Die Färbung sieht aufwendig aus aber ist sehr einfach durch zu fuhren weil zeit genug ist und es eigentlich nicht schnell überfarbt. Ich Farbe meist zwei/drei Schnitte auf einen mal und Farbe so 12, 16 und 20 Stunden. Meist ist es bei 4µm dicke Schnitte in 16 Stunden erfolgreich, nicht überfarbt und doch genug Detail.

Hier noch das Farbprotokol die PTAH Färbung (nach Romeis 17):

Nach Fixierung mit Sublimat (Zenker, SUSA usw) unbedingt die Sublimatniederschläge lösen durch"
- Lugol, 2min
- AD
- Natriumthiosulfat 5%, 2min
- AD
Nach alle Fixierarten erfolgt ein Oxidierungsfase durch:
- Kaliumpermanganat, 10min
- AD
- Oxalsäure 5%, 10min
- AD
- Fosforwolframhaematoxyline nach Mallory, 18Stunden
- Ethanol 96% 2x, 1min
- Isopropanol 100% 2x, 4min
- Euparal oder nach 2x Xylol in Depex.

Grusse Ronald
Mikroskope:
Leitz Orthoplan (DL, AL-Fluoreszenz und Diskussionseinrichtung).
Leica/Wild M715 Stereomikroskop.
Mikrotom:
LKB 2218 Historange Rotationsmikrotom.

Rawfoto

Guten Morgen Jürgen

Ich bewundere Präparate von so kleine Objekten immer, toll ist auch die Darstellung wie so etwas präpariert wird ==> ist ein spitzen Ergänzung für Aussenstehende, daher natürlich auch danke an Jan ...

Freue mich auf den nächsten Beitrag und bin mir sicher auch bei diesem noch ein paar Mal vorbeizuschauen ...

Liebe Grüße

Gerhard
Gerhard
http://www.naturfoto-zimmert.at

Rückmeldung sind willkommen, ich bin jederzeit an Weiterentwicklung interessiert, Vorschläge zur Verbesserungen und Varianten meiner eingestellten Bilder sind daher keinerlei Problem für mich ...

Jürgen H.

#21
Lieber Ronald,

vielen Dank für das Rezept zu Deiner Färbung. Ich habe noch ein paar Fragen dazu, aber das können wir ja Sa. klären....

Lieber Gerhard, auch Dir vielen Dank für Deine Worte! Spaß macht das Zeigen ja nur, wenn man auch eine Rückmeldung bekommt....

Ergänzend möchte ich noch ein paar Photos zeigen, bei denen ich noch rätsele, was sie eigentlich zeigen. Sie stammen von dem oben bereits gezeigten Mitteldarm einer Wespe:



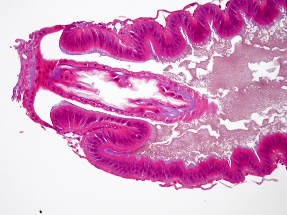
Ich hatte ja den Darm aus einer Wespe herauspräpariert. Das geht verhältnismäßig einfach. Man fasst mit einer spitzen Pinzette die letzten beiden Segmente des Abdomens und zieht daran. Die Stelle links ist offenbar der Abriss des Mitteldarms im Abdomen. Man sieht von links einen Gebilde in den Darm hineinwachsen, das mit der Darmwand offenbar verbunden ist.



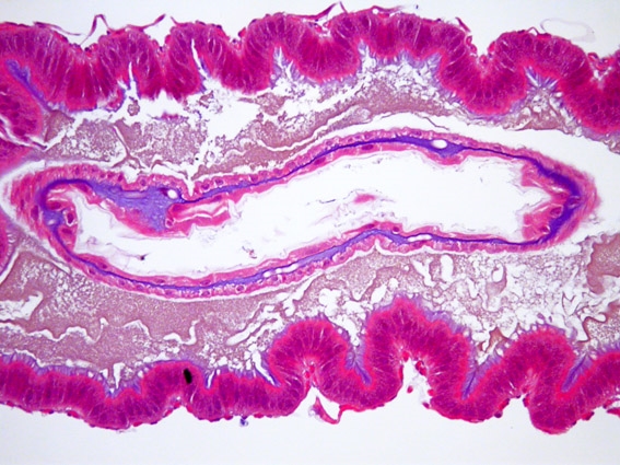
Ein Schnitt tiefer zeigt sich, dass sich dieses Gebilde, offenbar röhrenförmig, in den Darm hinein fortsetzt. Scharf blau gefärbt erscheint mittig ein Bindegewebe, dass von Trachen (den kreisrunden Löchern) durchzogen ist. Beiseits des Bindegewebes befinden Zellen mit Zellkernen. Für mich stellt sich der Sachverhalt auf Grund einer nicht! vollständigen Schnittserie so dar, als wäre eine weitere Röhre in das Darmlumen hineinverlegt, die sich sehr weit in den Darm fortsetzt:



Hier ein schon wesentlich späterer Darmabschnitt. Das Gebilde ist immer noch vorhanden. Jedoch erscheint das Zellgewebe bereits denaturiert. Das Bindegewebe ist zwar noch scharf blau gezeichnet zu erkennen. Beidseits des Bindegewebes ist jedoch keine deutliche Zellstruktur mehr zu vorhanden. Zellkerne sind nicht mehr zu sehen.

Meine erste Vermutung beim Bild, das das erste Photo zeigt, war, dass ich einen Teil der Valvula cardiaca sehe, ein Gebilde, dass sich am Eingang des Mitteldarms befindet, als kurze Röhre in den Mitteldarm hineinwächst und wie ein Ventil wirkt, vergleichbar den kurzen Gummischläuchen in alten Fahradventilen. Nur wächst das hier gezeigte Gebilde sehr sehr weit in den Mitteldarm hinein.

Das schreit wie manche andere Fragen nach weiterer Präparationsarbeit und nach dem nächsten Wespen (bzw. der nächsten Pflaumenkuchenzeit..... :-) )

Schöne Grüße

Jürgen