Histologie: Rückenmark-Regeneration mittels "olfactory ensheathing cells"

Begonnen von Holger Adelmann, Oktober 21, 2014, 16:05:34 NACHMITTAGS

Vorheriges Thema - Nächstes Thema

Holger Adelmann

Liebe Kollegen,

heute kommt zwar kein Bildbeitrag von mir, aber eine hochspannende Story die erst kürzlich publizert worden ist.

Im Gegensatz zu einer Diskussion in NATURE (2006), wo noch mehrere präklinische Erfolge zur Reparatur von Rückenmarksverletzungen diskutiert wurden,
ist es nun offenbar gelungen, einen Patienten mit Rückenmarksdurchtrennung nach einer Messerattacke zumindest teilweise zu heilen - er kann mittels Gehhilfe wieder laufen und auch Auto fahren.
Anscheinend war er vorher unterhalb der Rückenmarksverletzung gänzlich gelähmt!
http://www.medicalnewstoday.com/articles/284152.php

Lieber Ronald,
ausschlaggebend für die Regeneration der Nervenbahnen ist wohl ein Zelltyp der aus der Nase des Patienten entnommen wurde.
Es handelt sich um sog. "olfactory ensheathing cells", ein Spezialtyp der Neuroglia- also der Stütz- und Begleitzellen im Nervensystem.
Dieser Zelltyp ist offenbar phylogenetisch recht alt und zumindest vom Nager bis zum Menschen konserviert.
Vielleicht kannst Du diese Zellen einmal in Deinen Nagerschnitten aufsuchen?

Hier ist noch mehr zu diesem Zelltyp:
http://www.ucl.ac.uk/ion/departments/repair/themes/spinal-repair
http://www.ncbi.nlm.nih.gov/pmc/articles/PMC3089736/
http://www.ncbi.nlm.nih.gov/pubmed/14690478


Herzliche Grüsse,
Holger




Ronald Schulte

Holger,

Sehr interessante Materie. Rein zufällig war gesternabend ein Medizinisches Fernseher Programm auf unsere Rundfunk wo meine Frau mir weg vom Mikroskop holte.
Das Thema war genau dieses und richtig interessant.
Ich kann mich jetzt schon einige Strukturen in meine Kopf-Schnitte Erinnern die für mich immer unbekannt war aber da bekomme ich jetzt 'Bild' dabei.
Ich werde kommendes Wochenende was Fotografieren und hier Posten.

Grüße Ronald
Mikroskope:
Leitz Orthoplan (DL, AL-Fluoreszenz und Diskussionseinrichtung).
Leica/Wild M715 Stereomikroskop.
Mikrotom:
LKB 2218 Historange Rotationsmikrotom.

Ronald Schulte

Holger,

Wenn man sich weiter vertieft in die, übrigens sehr interessante, olfactory ensheathing cells dann ist es noch nicht so leicht um die im Mikroskop zu sehen.
Den Schnitt und die Färbung habe ich noch nicht.
Was mir aber wohl gelungen ist, ein Bild zu machen von die Mitral Zellen und die Glomerulus im Olfactory bulb. Die hatte ich schon langer gesehen aber wusste nie was es war.

Zuerst zwei Zeichnungen zur Verdeutlichen von die Zellen. Dann zwei Bilder von ein Maus Gehirn.









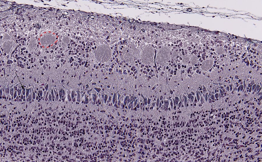
Bild zeigt eine horizontalen Schnitt durch ein Mauskopf. Maus ist fünf Tagen alt. Bouin Fixiert und gefärbt nach Masson-Goldner.
Den Roten Kreis zeigt die zwei Olfactory Bulbs.
Weiter sind gans Links noch das Mittelohr zu sehen und die Ampulle im Bogengang (Gleichgewichtsorgan).





Detail aus den Schnitt. Objektiv 25x.
Die Glomerulus sind gut zu sehen (Roten Kreis) und auch die Mitral Zell Schicht (Schwarzen Pfeil).




Grusse Ronald
Mikroskope:
Leitz Orthoplan (DL, AL-Fluoreszenz und Diskussionseinrichtung).
Leica/Wild M715 Stereomikroskop.
Mikrotom:
LKB 2218 Historange Rotationsmikrotom.

Holger Adelmann

Das ist schon sehr schön Ronald- vielen Dank für den tollen Schnitt!

Topographisch ideal wäre es womöglich, einen Horizontalschnitt durch die Ebene der Foramina in der Lamina cribriformis (eng. "cribriform plate") zu haben -
und somit die durchtretenden Neuronen mit ihren ensheathing cells im Querschnitt.

Herzliche Grüsse
Holger


Ronald Schulte

Holger,

Ein Schnitt durch der Lamina cribriformis kommt noch. Zuerst komme ich noch an in das Augenbereich und ich denke das erstdarunter der Lamina cribriformis kommt.
Wenn es gelingt werde ich sicher noch ein Bild Posten.

Grüße Ronald
Mikroskope:
Leitz Orthoplan (DL, AL-Fluoreszenz und Diskussionseinrichtung).
Leica/Wild M715 Stereomikroskop.
Mikrotom:
LKB 2218 Historange Rotationsmikrotom.

Ronald Schulte

#5
Holger,

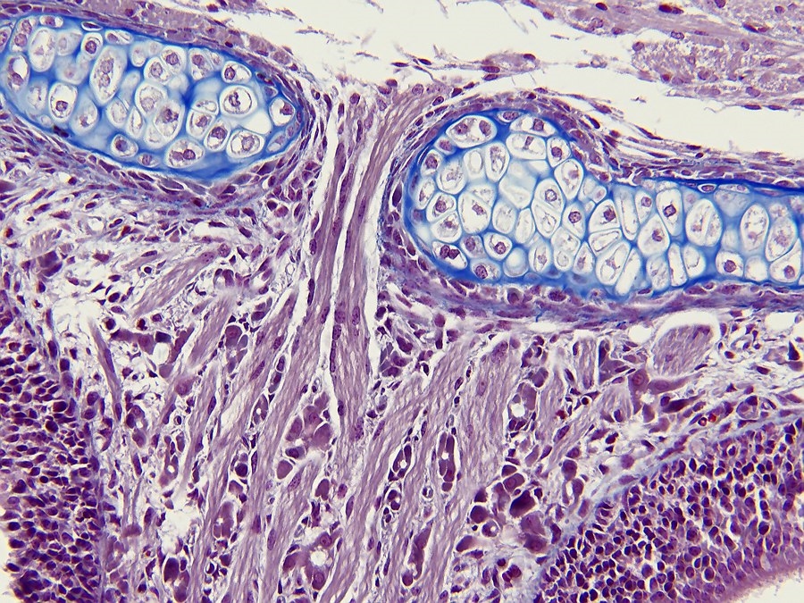
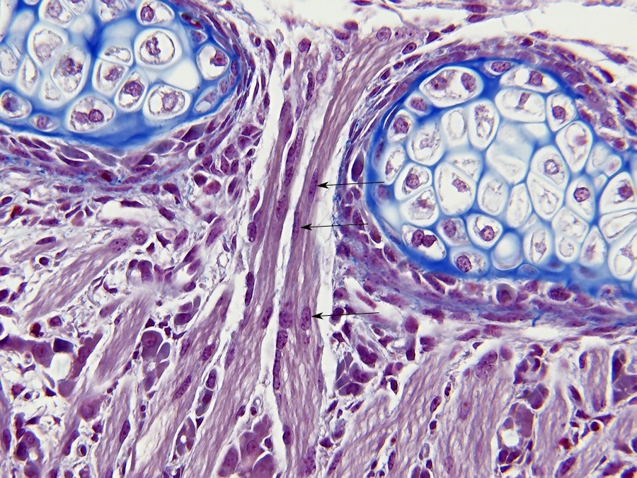
Gestern bin ich in die gewünschte Region angekommen und möchte mal zeigen was die "olfactory ensheathing cells" sein könnte. Nochmal: es könnte so sein!

Hier nochmal die Region wo die sich die Zellen aufhalten.





Hier meine Bilder:













Warte gerne auf Reaktionen, grüße Ronald
Mikroskope:
Leitz Orthoplan (DL, AL-Fluoreszenz und Diskussionseinrichtung).
Leica/Wild M715 Stereomikroskop.
Mikrotom:
LKB 2218 Historange Rotationsmikrotom.

Holger Adelmann

Hallo Ronald,

Der Mäusekopf ist Dir wieder sensationell gelungen und die Orientierung des Schnittes ist schon gut, allerdings kann ich Nervenfasern nicht wirklich von OECs und Bindegewebe unterscheiden.
Idealerweise muss ein <= 1 µm Kunststoffschnitt her.

Ich denke es wäre optimaler, wenn Du die Nasenpartie aus dem Kopf herauspräparierst und dann erst fixierst (gepufferter Glutaraldehyd-Formaldehyd Mix).
Die Fixierung des ganzen Kopfes gibt duch das langsame Eindringen des Fixiermittels für solche feinen Fragestellungen einfach kein auseichendes feingewebliches Fixierungsergebnis.
Der Schnitt ist auch für diese Fragestellungen vermutlich zu dick.

Viele Grüsse,
Holger