Hauptmenü

Stechmücken

Begonnen von Ralf Feller, Mai 25, 2009, 14:42:34 NACHMITTAGS

Vorheriges Thema - Nächstes Thema

Ralf Feller

Aufzucht und Mikroskopie von Stechmücken

Stechmücken (Familie Culicidae) haben mich seit langem immer wieder fasziniert.
Wegen ihrer Bedeutung bei der Übertragung von Krankheiten wollte ich mich mit der
Histologie der Tiere einmal beschäftigen, als mir das nun an im Freien gefangenen
Tieren an Paraffinschnitten und auch an Schnitten in Kunstharzen (Technovid)
mit dem Rotationsmikrotom gelungen war, stellte ich fest, dass ich nun gar nicht genau
wusste welche Tiere ich da untersuche. Die Bestimmung einzelner Tiere gelingt
zwar unter dem Stereomikroskop, doch fehlen die Larven- und Puppenstadien um
sicher zu gehen, und die Tiere sind nach Trockenbeobachtung für die Histologie
nicht mehr zu gebrauchen.
Ich habe mich also entschlossen Stechmücken zu züchten und möchte darüber
hier kurz berichten.

Man benötigt ein genügend großes Zuchtgefäß in dem man einzelne Tiere, Larven
und Puppen gezielt fangen und untersuchen kann. Dazu sollte eine Styroporbox mit
angeschraubten Lüftungsrohren, verschlossen mit Damenstrümpfen dienen.


Im Inneren befindet sich ein mit abgekochtem Wasser gefülltes Eiablagegefäß
(später wenn die Larven geschlüpft sind werden sie mit Fischfutter TetraMin Baby
gefüttert) und ein Gefäß mit Traubensaft und einem Stück Küchenpapier auf dem
die Tiere fressen können. Die meisten Stechmücken benötigen zur Eientwicklung
zusätzlich Blut, dies kann durch Eigenblutspende mit den eigenen Unterarmen
erfolgen. Die hier gezeigten Culex (Hausmücken) benötigten zu ihrer Vermehrung
über viele Generationen jedoch zu meinem Erstaunen kein Blut, woraus ich
schließe, das es sich um eine Unterart von Culex pipiens, der autogen
vermehrungsfähigen Molestusform (Culex pipiens molestus), die auch
in den U-Bahntunneln von London beschrieben wurde, handelt
(Anmerkungen sind sehr willkommen).


Ein in Büsum an der Nordseeküste gefangenes Weibchen wurde in eine
solche Box gesetzt. Nach zwei Wochen war die Eiablage erfolgt, wobei
immer nur sehr kleine Eipakete abgesetzt wurden.


Innerhalb von zwei Wochen entwickelten sich die Larven.


Hier lassen sich auch im Lebendzustand sehr viele Einzelheiten
unter dem Stereomikroskop beobachten.


Aus den Larven entwickeln sich die Puppen.


Die geschlüpften Tiere können lebend beobachtet werden,


Zur Bestimmung eignen sich jedoch nur tote Tiere.



Die Larvenstadien bieten eine unglaubliche Vielfalt an mikroskopischen
Einzelheiten, besonders wenn man sie in Polyvinyl-Lactophenpl präpariert
(Vielen Dank an Herrn Renz aus Tübingen für die Hinweise).


Von allen Entwicklungsstadien lassen sich histologisch Präparate fertigen,
was über Monate bis Jahre eine spannende Aufgabe sein kann.


Gruß aus Mülheim-Ruhr,
Ralf Feller

Päule Heck

Hallo Ralf,

eine super Dokumentation. Ich habe übrigens noch "eingelegte" Exemplare von Sandmücken / Schmetterlingsmücken (Phlebotomus sp.), die im Mittelmeerraum beheimatet sind und die verschiedene Leichmaniose-Formen (Kala-azar, Orientbeule, Espundia) und das Pappataci-Fieber auf Mensch und Tier übertragen können. Sie sind so klein, dass sie sogar durch die Moskito-Netze schlüpfen. Wenn Du an einigen Viechern interessiert bist, schick mir einfach eine PN.....

Herzliche Grüße

Päule

Fahrenheit

Hallo Ralf,

da kann ich mich Päule nur anschließen - eine sehr schöne Dokumentation und tolle Bilder. Wie oft wirst Du so pro Woche von Deinen Gefangenen gestochen?  ;D

@ Päule: Worin legst Du kleine Insekten ein? Also was nutzt Du zum Fixieren und was zum Aufbewahren? Ich habe mich bis zum letzten Moment vor der Steuer gedrückt und muss mich jetzt mit der Elster rumärgern - daher brauche ich einen Tipp für meine Blattflöhe, die nun noch warten müssen und zur Zeit in AFE liegen.

Euch beiden herzlichen Dank!
Jörg
Hier geht's zur Vorstellung: Klick !
Und hier zur Webseite des MKB: Klick !

Arbeitsmikroskop: Leica DMLS
Zum Mitnehmen: Leitz SM
Für draussen: Leitz HM

Päule Heck

Hallo Jörg,

fixiert sind die Mücken ja noch nicht. Ich hatte einige Fläschchen vor ca. zwei Jahren mal in der Bucht ersteigert, um sie in der Schule mit meiner WP-Gruppe zu betrachten. Dem Geruch nach sind sie in Alkohol eingelegt und sehen immer noch "wie neu" aus. Unter dem Mikroskop haben wir sie - nachdem der Alkohol sich verflüchtigt hatte - mit Wasser unterm Deckglas betrachtet. Hat ganz gut funktioniert.....
Mein Angebot gilt übrigens für alle Interessierten. So lange der Vorrat reicht, gebe ich gerne welche ab.....

Herzliche Grüße

Päule

Fahrenheit

Hallo Päule,

vielen Dank! Dann werde ich meine Viecher erst mal im AFE lassen bis mich die Elster in Ruhe lässt.

Aus diesem Grunde möchte ich Dein Angebot bezüglich Deiner eingelegten Fliegen erst ein mal ablehnen.
Ich kann nicht absehen, wann ich dazu kommen werde, sie zu präparieren und es wäre schade, wenn sie bei mir verrotten würden.

Herzliche Grüße
Jörg
Hier geht's zur Vorstellung: Klick !
Und hier zur Webseite des MKB: Klick !

Arbeitsmikroskop: Leica DMLS
Zum Mitnehmen: Leitz SM
Für draussen: Leitz HM

rekuwi

Lieber Ralf Feller,

danke für diese schöne Dokumentation. Sehr informativ und prima Bilder.
Allerdings hat mich dabei heftiger Juckreiz befallen, ich habe eine leichte Insektengift-Unverträglichkeit, speziell Grasmilben sind jährlich wiederkehrende Plagegeister die mir schon 2 x den Notarzt eingebrockt haben.

Trotzdem liebe Grüße
Regi

A. Büschlen

Hallo Herr Feller,

sie zeigen eine sehr schöne Darstellung!

Hier noch ein Literartur-Hinweis:

Insektenzucht; Methoden der Zucht und Haltung von Insekten und Milben im Laboratorium. Autor: Dr. René Wyniger, 1974 im Verlag Eugen Ulmer Stuttgart.
Es ist ein sehr umfassendes Werk und es lohnt sich dieses zu Buch zu suchen.

Freundliche Grüsse

Arnold Büschlen
Schwerpunkt z.Z.:
- Laub- und Lebermoose.
- Ascomyceten als Bryoparasiten.

Franz

für Ralf Feller:

Gratulation für diese interessanten Bilder!
Danke

Franz


volkera

Wirklich großartige Dokumentation, vielen Dank hierfür...

Zwei Verständnisfragen:
1. Pedipalpen können ja meines Wissens verschiedene Aufgaben haben, wozu dienen sie den Mücken (und damit v.a. den Männchen)?
2. Was genau machen die Kiemenblättchen? Die Luftversorgung erfolgt ja über das Atemrohr...

Nochmals vielen Dank für so einen spannenden Beitrag!!!

Volker

Jürgen H.

Lieber Herr Feller,

auch von mir ganz herzlichen Dank für Ihren informativen Beitrag! Wir bewegen uns ja auf gleichem Gebiet: Die Anatomie der Insekten hat es mir ebenso angetan, wie Ihnen.

Um Ihre Möglichkeit, mit dem Rotationsmikrotom Technovitpräparate schneiden zu können, beneide ich Sie offen gestanden. Ich vermute, dass mir diese Variante verschlossen ist, da ich nur ein kleines Schlittenmikrotom besitze und Technovit zum Schneiden mit einem derartigen Mikrotom zu hart sein dürfte, oder was meinen Sie?

Wunderschöne Zeichnungen von boris jobling zur aedes aegypti finden Sie übrigens hier:

http://web.archive.org/web/20040422130338/mosquito.colostate.edu/aegypti/jobling/jobling.html

Vielleicht ist die Seite zur Bestimmung anatomischer Details für Sie hilfreich.

Ich würde mich sehr freuen, wenn Sie öfter einige Bilder Ihrer Schnitte hier einstellen könnten.

Mit herzlichem Mikrogruß

Jürgen Harst

Ralf Feller

Entschuldigung für die späte Antwort;

@ volker

Die Pedipalpen sind soweit ich weiss Tastwerkzeuge,
ich bin leider noch nicht dazu gekommen nachzusehen welche speziellen
Aufgaben sie beim Männchen noch haben.

Die Culexlarve atmet durch durch ihr Atemrohr,
ob die Kiemenblättchen tatsächlich noch eine Funktion bei der Sauerstoffversorgung
haben weiss ich noch nicht. Vielleicht kennt ja jemand eine Antwort. Wenn ich etwas
finde werde ich es nachliefern.


@ Herrn Harst

Lieber Herr Harst,
Sie sind mir natürlich schon oft durch Ihre ganz tollen Beiträge zur Insektenhistologie
aufgefallen. Ihre Schnitte und Aufnahmen sind ganz phantastisch. Ich bin im letzten
Jahr im Bereich der Mückenbestimmung stecken geblieben. Ich hatte verschiedene
Stechmückenarten gezüchtet, die adulten Tiere dann zur Bestimmung eingefroren
oder für die Histologie in Alkohol (30)/Formalin(37% 20Teile)/Eisessig(10Teile)
fixiert (nach 2 Tagen 70% Alkohol) eingelegt. Die Larven kommen sofort in 70%
Alkohol. Nun musste ich diverse Bestimmungsmethoden erlernen und viel üben.
So fand ich in der Bestimmungsliteratur beispielsweise immer ganz tolle Zeichnungen
von Larven und dachte immer mein Stereomikroskop würde nicht ausreichen um
die Einzelheiten erkennen zu können, bis ich auf die die Präparation mit Polyvinyl-
Lactophenol stieß und erkannte, dass die Larvenuntersuchung am besten unter dem
Durchlichtmikroskop erfolgt. Viele Probleme lassen sich nur durch geeignete
Präparation und gute Literatur lösen und eben nicht durch immer neue teurere Geräte.

Zur Histologie in Technovid möchte ich Ihnen volgendes berichten:
Ich habe die Methode fast vollständig wieder aufgegeben zugunsten der Paraffinschnitte.
Paraffinschnitte blieben immer unübertroffen bei Morphologie und Färbung.

Technovid habe ich ausprobiert um Xylol  überflüssug zu machen. Bei der Technovid-
Methode kann man Gewebe normal entwässern bis 100% Alkohol oder schnell entwässern
mit Aceton und geht dann sofort in das Kunststoffmedium. Restwasser stört nicht so doll
wie bei der Paraffineinbettung und alles läuft bei Raumtemperatur ab.
Die Infiltration mit den Flüssigkunststoff gestaltet sich aber bei Insekten schwierig weil
der Kunststoff schlecht durch die Chitinhülle dringt. Man muß Insekten teilweise aufschneiden um eine Kunstharzpenetration zu ermöglichen. Mit anderen tierischen Geweben geht das einfacher, obwohl man die Gewebe eine ganze Nacht im Kunsthatz bewegen muß. Dazu habe ich Gewebestückchen in ein verschließbares Röhrchen mit dem Technovid gebracht uns das Röhrchen an einem Gartengrillrotor befestigt.
Nach der Infiltration wird ein Polimerisationsstarter zugesetzt und die Probe wird innerhalb von 12h fest. Zum Zuschneiden der harten Probe benötigt man nun eine kleine Handschleifmaschine (Drehmel bei Aldi 20E).
Die Proben sind so hart, dass man sie nur an einem alten, sehr schweren Rotationsmikrotom schneiden kann. Normale Probenhalter halten die Probe nicht lange, man muß die Probe schon wie auch im Manual zu Technovid beschrieben, auf den Präparatehalter des Mikrotoms aufkleben. Ich habe als Präparatehalter eine Stahlschraube genommen, die genau in den Haltearm meines Mikrotoms passt, und habe die Probe mit Sekundenkleber darauf fixiert.
Die probe kann jetzt geschnitten werden, doch gelingen keine Serienschnitte. In meinen Versuchen war einer von 10 Schitten brauchbar. Wenn man den Mikrotomvorschub zu schnell steigert splittert das Blöckchen. Die Schnitte werden oft durch elektrische Aufladung vom Mikrotommesser verwirbelt und man findet sie nicht wieder. Der Vorteil, wenn die methode gelingt, ist aber, man kann direkt durch den Kunststoff färben ohne zu entparaffinieren und ohne Alkoholreihe. Bei meinen Mücken zeigten sich aber oft Ablösungen der Kunststoffmatrix vom Chitin. Daneben ist der Hintergrund unsauberer als bei Paraffinschnitten.
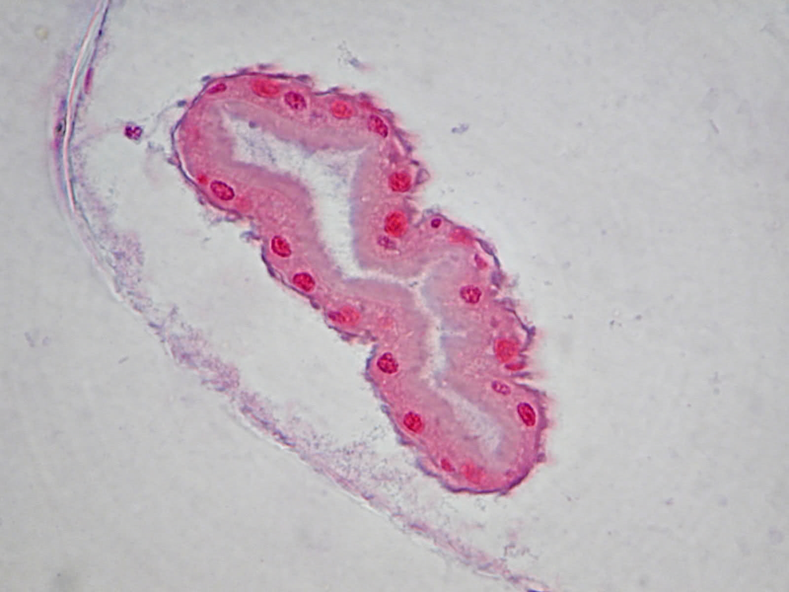
Hier einige Beispiele:
Culex Abdomen

Mitteldarm

Auge


Lieber Herr Harst,
ich würde beim Paraffin bleiben,
Ihre Schnitte sind super.
Danke auch für den Hinweis auf die anatomischen Zeichnungen.

Schöne Pfingsten für euch alle wünscht
Ralf Feller


Jürgen H.

Lieber Herr Feller,

Haben Sie ganz herzlichen Dank für Ihren ausführlichen Bericht. Ich schaue eben immer noch nach einer anderen Methode um zwei meiner Probleme zu lösen: Zum einen die erheblichen Schrumpfungen, die mit der Paraffineinbettung wohl unausweichlich verbunden sind. Zum anderen mit den Orientierungsschwierigkeiten, die man bei den kleinen Tierchen hat, wenns ans - gerichtete - Schneiden gehen soll. Es wäre so schön, wenn man so eine Mücke etwas deutlicher in ihrer Lage sehen könnte, b e v o r man bereits "im Fleisch" ist. Technovid klingt so einfach in der Beschreibung, aber ich dachte mir schon, dass mein kleines altes Leitzschlittenmikrotom aufgrund der Härte des Materials kaum geeignet sein dürfte. Nun berichten Sie auch noch von anderen Problemen. Immerhin ist die Paraffineinbettung dann doch verhältnismäßig einfach. Ich besitze noch nicht einmal einen Wärmeschrank dazu.

Versuchen würde ich gerne auch einmal die Celloidineinbettung aus den genannten Gründen. Ich erinnere mich dunkel, dass ein anderer Forist sie vor ziemlich langer Zeit als das Mittel der Wahl bei der Insektenhistologie gepriesen hatte. Andrerseits klingt auch diese Behandlung nicht gerade einfach. Haben Sie damit Erfahrungen?

Nochmals herzlichen Dank für Ihre Mitteilungen und freundliche Grüße

Jürgen Harst