Histologie: Mensch, Kopfhaut, Längs- und Querschnitte

Begonnen von Hans-Jürgen Koch, Juli 16, 2015, 08:54:48 VORMITTAG

Vorheriges Thema - Nächstes Thema

Hans-Jürgen Koch

Hallo zusammen,

aus der Pathologie bekam ich eine Probe von der Kopfhaut eines Menschen.
Da sich lebendes Gewebe nach der Entnahme aus dem Organismus sehr bald stark verändert, so ist es eine Hauptaufgabe, diesen postmortalen Vorgang vorzubeugen und die Struktur der Gewebe in einem dem anfänglichen Zustand möglichst getreuem Abbild festzuhalten.
Die Kopfhaut wurde in einer 40 Vol. %  ,,Formaldehydlösung" über Nacht fixiert.

Vor einer Einbettung in Paraffin müssen die Präparate ausgewaschen, entwässert, entspritet und durchtränkt werden.
3 Stunden in fließendem Leitungswasser auswaschen.

Stufenweise in 100% igen Isopropylalkohol überführen wie unten stehend gezeigt.

50% 2 Std.
75% 3 Std.
90% 6 Std.
100% 4 Std.
100% 4 Std.

Im Wärmeschrank das Material in zwei Stufen in Paraffin überführen.
Dazu zuerst eine 60°C warme Mischung von Isopropylalkohol und warmen Paraffin verwenden.
Bei dieser Temperatur löst sich das Paraffin im Alkohol.
Während der Einwirkzeit verdunstet der größte Teil des Alkohols und das Objekt wird vom Paraffin durchdrungen.
Danach noch einmal in reines flüssiges (60°C) Paraffin überführen.
Die Probe nicht abdecken damit der Alkohol verdunsten kann.

1:1 Paraffin-Isopropanol 12Std.
Reines Paraffin 8Std.

• Etwas flüssiges Paraffin an besten auf einer Wärmeplatte in ein Förmchen gießen.
• Mit einer warmen Pinzette das Objekt aus dem Paraffinbad nehmen und in das Förmchen setzen.
• Das Förmchen mit Paraffin auffüllen und ruhig erkalten lassen.
• Den Paraffinblock aus dem Förmchen lösen, durch Anschmelzen auf einen Holzblock befestigen und trimmen.

Die Herstellung der 7 µm dicken (Paraffin-)Schnitte erfolgte mit einem Großschnitt-Mikrotom: ,,Tetrander". Die Schnitte wurden auf Glasobjektträger aufgezogen.

Azanfärbung nach Heidenhain (modifiziert)

Benötigte Chemikalien :

Azokarmin G (C.I.50085), Anilinblau (C.I.42755), Orange G (C.I.16230), Phosphormolybdänsäure, Isopropanol, Xylol 

Bemerkung :

Am besten gelingt die Färbung nach Fixierung in sublimathaltigen Flüssigkeiten, chromhaltige Fixiergemische vermeiden. Schnittdicke unter 10µ 

Arbeitsablauf :

1.Schnitte entparaffinieren und in Wasser bringen (evtl. Sublimatniederschläge entfernen)
Nach dem Schneiden und Trockenen im Brutschrank werden die Schnitte in Xylol entparaffiniert, durch die absteigende Alkoholreihe wieder in ein wässriges Milieu überführt und schließlich in den jeweiligen Färbelösungen gefärbt.

Alle drei nachfolgenden Lösungen 1 Stunde im Wärmeschrank vorwärmen (ca. 70 – 80 °C) und heiß verwenden!!!

2.Färben in vorgewärmter Azokarminlösg. im Wärmeschrank bei 70 – 80 °C    10-15 min.
3.Abspülen in Aqua dem.
4.Differenzieren in 2 – 5 %iger Phosphormolybdänsäure bis das Bindegewebe entfärbt ist. (Phosphormolybdänsäure bei Dunkel-bzw. Rotfärbung erneuern!)
5.Abspülen in Aqua dem.
6. Anilinblau – Orange G   10-15 min.
7. Kurz abspülen in Aqua dem.
8.  Aufsteigende Alkoholreihe ab 96 % Alkohol
Bei starker Überfärbung mit Anilinblau kann ab 70 % Alkohol in aufsteigender Alkoholreihe überführt werden; allerdings nur kurz.

Ergebnis :

Zellkern, Erythrozyten und Glia: rot
Kollagenes und anderes Bindegewebe: blau
Zellgranula: blau, gelb oder rot

Ansätze :

•Azokarminlösg.:
0.1g Azokarmin G wird in 100ml Aqua dem. aufschwemmen, kurz Aufkochen und durch ein nicht gehärtetes Filter abfiltrieren dann je 100ml Filtrat 1ml Eisessig zugeben.
•Anilinblau-Orange-Gemisch :
0.5g Anilinblau, 2g Orange G in 100ml Aqua dem. lösen und 8ml Eisessig zugeben, kurz aufkochen und nach dem Erkalten filtrieren.

Hier nun endlich das Ergebnis:

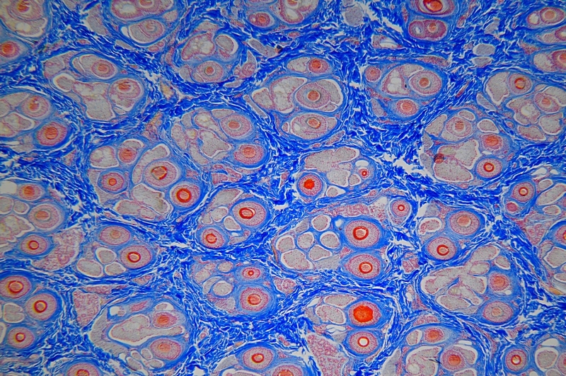
Teil 1 Mensch, Kopfhaut, Längsschnitt

Bild 01 Übersicht

Haare in der Kopfhaut. Zu sehen sind vor allem  meist etwas schräg angeschnittene Haarfollikel.

Bild 02 Haare in der Kopfhaut

1 = Epidermis, 2 = Dermis, 3 = Haartrichter
Dieses Präparat ist von einem älteren Menschen, denn die Haarfollikel stehen weniger dicht. An der Kopfhaut sind die Haarfollikel besonders lang und die Talgdrüsen zahlreicher als in anderen Regionen.

Bild 03

1 = Haarzwiebel, 2 = Subkutis

Bild 04

1 = Talgdrüse

Bild 05



Teil 2  Mensch, Kopfhaut, Querschnitt

Bild 06


Bild 07


Bild 08

1 = äußere Wurzelscheide, 2 = Haar, 3 = innere Wurzelscheide, 4 = Scheidenkutikula, 5 = Haarkutikula

Bild 09


Quellenangabe:

Wikipedia; Freie Enzyklopädie
Sobotta ,, Histologie und mikroskopische Anatomie" (Teil 1 und 2), 1929
Sandritter ,,Histopathologie", 1977
Stein ,, Basiswissen Histologie", ISBN: 3-930007-04-5
Gerhard Seifert ,,Entomologisches Praktikum" ISBN: 3-13-455003-2
Wheater ,, Funktionelle Histologie", ISBN: 3-541-09031-6
Welsch ,, Lehrbuch der Histologie", ISBN: 978-3-437-44431-9


Bei der Beschriftung der Bilder habe ich mich weit aus dem Fenster gelehnt, ich hoffe die Fehler sind überschaubar.

Mit freundlichem Gruß

Hans-Jürgen
Plants are the true rulers - Pflanzen sind die wahren Herrscher.

<a href="http://www.mikroskopie-forum.de/index.php?topic=2650.0" target="_blank">Hier geht es zur Vorstellung</a>

Gerne per "Du"

knipser009

hallo Hans-Jürgen

vielen Dank für das Zeigen dieser schönen Bilder.
Aber noch mehr erfreut mich die Beschreibung der Technik zur Paraffineinbettung.
Viele Grüße aus dem SaarPfalzKreis

Wolfgang
gerne per "Du"

Hans-Jürgen Koch

Hallo Wolfgang,

es freut mich, dass Dir die Bilder gefallen.
Die Technik zur Paraffineinbettung ist ausführlich  im Romeis ,,Mikroskopische Technik" beschrieben.

Gruß

Hans-Jürgen
Plants are the true rulers - Pflanzen sind die wahren Herrscher.

<a href="http://www.mikroskopie-forum.de/index.php?topic=2650.0" target="_blank">Hier geht es zur Vorstellung</a>

Gerne per "Du"

Fahrenheit

Lieber Hans-Jürgen,

mal was anderes von Dir, aber nicht minder akribisch aufbereitet und dargestellt. Tolle Fotos von sehr schönen Präparaten. Vielen Dank!

Herzliche Grüße
Jörg
Hier geht's zur Vorstellung: Klick !
Und hier zur Webseite des MKB: Klick !

Arbeitsmikroskop: Leica DMLS
Zum Mitnehmen: Leitz SM
Für draussen: Leitz HM

Rawfoto

Hallo Hans-Jürgen

Du bist immer für eine Überraschung gut .-)

Habe zwei Mal die Überschrift und wieder Deinen Namen gelesen ...

Ist aber toll geworden!

Bist Du mit den Pflanzen schon durch? Oder ist da einfach als Abwechslung gedacht - naja, wobei, wenn ich so überlege passt das ja zu Deinem Beruf. Der Schnitt ist zwar etwas tief ausgefallen ...

Liebe Grüße

Gerhard
Gerhard
http://www.naturfoto-zimmert.at

Rückmeldung sind willkommen, ich bin jederzeit an Weiterentwicklung interessiert, Vorschläge zur Verbesserungen und Varianten meiner eingestellten Bilder sind daher keinerlei Problem für mich ...

...

#5
.

wejo

Hallo Hans-Jürgen,

in Deinem Eintrag steckt sehr viel Arbeit - Repekt! Die Bilder sind prima geworden, sehr interessant!

MfG, Werner

Klaus Herrmann

Lieber Hans-Jürgen,

eine ganz andere Fakultät! Respekt; und dann gleich in die Vollen: AZAN-Färbung. Heidenhain, respektive sein Oberpräparator Graf hätten ihre Freude dran gehabt!

Ich hab mal vor längerer Zeit ein Original-Präparat "Kopfhaut" von Graf hier gezeigt - Müsste man suchen - aber die Farben sind genau so leuchtend, wie bei dir!
Mit herzlichen Mikrogrüßen

Klaus


ich ziehe das freundschaftliche "Du" vor! ∞ λ ¼


Vorstellung: hier klicken

Holger Adelmann

Ah - ich sehe die Spitzendeckchen sind durch  ;D

Sehr schöne Arbeit, lieber Hans-Jürgen.

Kompliment zur korrekt differenzierten Azan-Färbung!
Auch schön dass Du Dir die Mühe machst, mit Azokarmin zu färben und nicht eine der viel weniger brillianten Kernechtrot-Varianten genommen hast.

Weiter so!

Herzliche Grüsse,
Holger


Jürgen H.

Gratulation zu dem schönen Ergebnis der Azanfärbung auch von mir lieber Hans Jürgen. Ich liebe diese Färbung wegen ihrer leuchtenden Farben sehr,

Eine kleine Nachfrage habe ich allerdings zu Deiner Technik:

Du schreibst, alle Lösungen seien  heiß zu verwenden. Wo stammt das her? Romeis schreibt das jedenfalls in der 17 Aufl. nicht. IMHO ist Azokarmin G zu erwärmen, weil es sich besser im Warmen löst und bei Kälte leicht ausflockt. Daher entnehme ich auch meine OTs sofort nach diesem Schritt aus der Färbekuvette und spüle mit ebenso warmen a.d. Warum sollte di eErwärmung bei den verbleibenden Schritten nötig sein?


Schöne Grüße

Jürgen

Hans-Jürgen Koch

Hallo zusammen,

danke für Euer Interesse. Mit so vielen netten Worten habe ich nicht gerechnet.

@ Gerhard,

der Ausflug in die Histologie war ein Versuch, ich war einfach neugierig.
,,Schiefe Schnitte" liegen voll im Trend. :D
Mit den Pflanzenschnitten geht es weiter, wir haben gerade 30 Proben aus dem Arboretum ,,Schloss Erbhof" in Thedinghausen geholt.
http://www.schloss-erbhof.de/baumpark/das-arboretum/

@ Jürgen,

zu Deiner Nachfrage.
Das Färberezept zur Azan – Färbung nach Heidenhain (modifiziert) habe ich aus dem Fachbuch ,,Basiswissen Histologie" von Karl Heinz Stein. ISBN: 3-930007-04-5. Derzeit leider im Handel nicht verfügbar.

Mit freundlichem Gruß

Hans-Jürgen
Plants are the true rulers - Pflanzen sind die wahren Herrscher.

<a href="http://www.mikroskopie-forum.de/index.php?topic=2650.0" target="_blank">Hier geht es zur Vorstellung</a>

Gerne per "Du"

Holger Adelmann

Hallo Jürgen,

Krauter gibt in "Mikroskopie im Alltag" auf Seite 115 zur Azanfärbung auch an, dass in einer 55-60 Grad C heissen Azokarminlösung zu färben ist.

So hatte ich das früher auch gemacht.

Viele Grüsse,
Holger


Jürgen H.

#12
Zitat
Krauter gibt in "Mikroskopie im Alltag" auf Seite 115 zur Azanfärbung auch an, dass in einer 55-60 Grad C heissen Azokarminlösung zu färben ist.

So hatte ich das früher auch gemacht.

Hallo Holger,

das ist ja auch gut und richtig, weil Azokarmin G kalt leicht ausflockt und dann im Präparat hässliche Farbschollen hinterlässt. So mache ich es auch und spüle sogar noch anschließend vorsorglich mit warmen a.d.

Hans Jürgen Koch schrieb nur, dass alle Lösungen warm zu verwenden seien, also auch die nachfolgende Diff lösung und die Phosphormolybdänsäue, sowie die Anilinblau/Orangelösung.  Wie man an dem schönen Präparat sieht hindert das die Färbung jedenfalls nicht aber nützt das auch? Ich hatte das bisher noch nirgendwo gelesen und habe auch noch nie so selbst verfahren. Da ich für Tipps zur Azanfärbung immer offen bin, fragte ich nach, ob und welcher Effekt damit verbunden sein soll....

Schöne Grüße

Jürgen


Nach nochmaliger Lektüre des von Hans Jürgen wiedergegebenen Rezepts:

Offenbar geht es darum, die Differenzierung mit der Alkohol-Anilinlösung, Zwischenschritt nach dem Heidenhainschen Originalrezept , durch eine wärmeintensivierte Behandlung mit der Säure zu ersparen und die Zeit für die Anilinblau/orangelösung abzukürzen......?

Holger Adelmann

OK, das ist also Dein Punkt Jürgen!
Ich habe noch mit Anillin-Alkohol gearbeitet. Da das Zeug ziemlich giftig (und leichtflüchtig) ist hatte ich das immer auf der Terasse gemacht.
Ja, ich hatte alle Schritte rund ums Azokarmin (Vorbehandlung, Färben, Differenzieren) auch immer in warmen Lösungen gemacht, aber für die Gegenfärbung mit Anillinblau-OrangeG ist das sicherlich nicht nötig, hatte ich nie gemacht.

Viele Grüsse,
Holger

Ronald Schulte

Hans-Jürgen,

Von mir auch die gluckwünsche mit das Resultat. Was ich noch besser finde ist das mal wieder was Histologisches gezeigt wird (als ob es ausgestorben war  :().

Wenn ich AZAN Farbe dann erwärme ich auch das Azokarmin wegen die mögliche Flockenbildungen im Präparat die man nie wieder raus spulen kann. Bei mir wird auch nur die Karminstufe warm durchgeführt und alle weiter stufen einfach auf Zimmertemperatur.

Wenn du die Probe aus die Pathologie bekommen hast; was war den Grund das es in die Pathologie war?
Ich bin zwar kein Pathologe aber kann auch nicht so entdecken was an deinen Schnitt anders ist wie Normal Gewebe!

Grüße Ronald
Mikroskope:
Leitz Orthoplan (DL, AL-Fluoreszenz und Diskussionseinrichtung).
Leica/Wild M715 Stereomikroskop.
Mikrotom:
LKB 2218 Historange Rotationsmikrotom.