Dicker Tropfen, Giemsa-Färbung, Fixierung, Dauerpräparate

Begonnen von TPL, Januar 22, 2016, 12:00:44 NACHMITTAGS

Vorheriges Thema - Nächstes Thema

TPL

Mbote, liebes Forum,

aus gegebenem Anlass möchte ich (als bisher notorischer BioMed-Laie!) gerne lernen, wie ich mich - gegebenenfalls wöchentlich - auf Malaria und andere Tropenkrankheiten untersuchen kann, ohne dabei allzu tief in die Materie einsteigen zu müssen. Aus meiner knappen Recherche habe ich die Schlagworte im Betreff aufgegriffen und verstanden, dass ich die Blut-Präparate färben muss, um die Erreger und/oder Parasiten erkennen zu können.

Woher bekomme ich die benötigte Giemsa-Lösung und die Einweg-Lanzetten? Welche weiteren Gerätschaften benötige ich? Wäre eine Zentrifuge sinnvoll (ich habe eine mit Handbetrieb)? Wie dauerhaft ist die Färbelösung unter tropischen Bedingungen (Kühlschrank vorhanden)? Wie vermeide ich Risiken durch die Untersuchung selbst? Wo bekomme ich eine möglichst praxisorientierte Anleitung?

Vielen Dank für Eure Hinweise
Tokomonana!
Thomas

beamish

Hallo Thomas,

wenn der Blutstropfen aus der Fingerkuppe entnommen werden soll, würde ich eine Stechhilfe mit Einweglanzetten für Diabetiker empfehlen. Gibt es von vielen Herstellern in der Apotheke.
Zum Rest kann ich nichts beitragen.

Herzlich
Martin
Zeiss RA mit Trinotubus 0/100
No-Name China-Stereomikroskop mit Trinotubus
beide mit Canon EOS 500D

l'œil armé

#2
Zitat von: TPL in Januar 22, 2016, 12:00:44 NACHMITTAGS
... gerne lernen, wie ich mich - gegebenenfalls wöchentlich - auf Malaria und andere Tropenkrankheiten untersuchen kann,

Moin Thomas,

Du bist Dir aber schon darüber im Klaren, dass Du auf diese Weise Bilharziose, Hakenwürmer, Fleckfieber, Typhus, Diphtherie, Cholera, Marburgfieber, Ebola und was es da sonst noch Unerfreuliches gibt, nicht gleich im Blutbild wiederfinden kannst, d.h. bloß weil Dir kein Trypanosom aus dem Mikroskop-Okular entgegenlacht bist Du deswegen nicht zwingend gesund.  ;D

Freundlich-hypochondrische ;) Grüße

Wolfgang
"Du" fänd' ich absolut in Ordnung

das schönste: Zeiss Lumipan
das liebste: Leitz Ortholux/Panphot
das beste: Zeiss Axiomat

Ich bin übrigens keineswegs mit meinem Umfang an Intelligenz zufrieden; ich bin lediglich froh, mit meiner Dummheit so weit gekommen zu sein.

TPL

Hallo Martin und Wolfgang,

danke für die Hinweise.
Keine Sorge: es geht mir nicht darum, die erforderlichen Arztbesuche zu verringern oder gar zu ersetzen, sondern nur, einen eigenen Eindruck davon zu bekommen, was man da mit mikroskopischen Mitteln untersuchen kann. Denn natürlich gehen (mindestens zwei) Mikroskope mit auf die Reise - soll ja nicht langweilig werden ;).

Viele Grüße
Thomas

cabo

Zitat von: Safari in Januar 22, 2016, 17:09:40 NACHMITTAGS
die Sichelzellenanämie

Naja, so richtig ansteckend ist die aber nicht. Außer man denkt über zukünftigen Nachwuchs nach.

Ich kann noch Onchozerkose anbieten, als weiteren Grund zur Panik  ::)

Gruß aus der tropenkrankheitenfreien Schweiz

Christian

Klaus Herrmann

Gerade in Südafrika kann man auch üble Krankheiten bekommen wenn man gar nicht gestochen wird, sondern wenn man selbst der aktive Teilnehmer ist! ;D
Mit herzlichen Mikrogrüßen

Klaus


ich ziehe das freundschaftliche "Du" vor! ∞ λ ¼


Vorstellung: hier klicken

l'œil armé

#6
Ach, in Pretoria kann man schon gestochen werden, wenn man nach Einbruch der Dunkelheit mit dem Auto an einer Ampel hält, habe ich mir von ortskundigen Bekannten sagen lassen.
"Du" fänd' ich absolut in Ordnung

das schönste: Zeiss Lumipan
das liebste: Leitz Ortholux/Panphot
das beste: Zeiss Axiomat

Ich bin übrigens keineswegs mit meinem Umfang an Intelligenz zufrieden; ich bin lediglich froh, mit meiner Dummheit so weit gekommen zu sein.

limno

Hallo Wolfgang (Safari),
vermutlich bist Du etwas hypochondrisch veranlagt! ;), die Sichelzellenanämie ist keine Infektions-sondern eine Erbkrankheit, die in ihrer heterozygoten Form, sogar die Malaria mildert, da die Plasmodien dann Schwierigkeiten haben sich zu vermehren (Evolutionsvorteil gegenüber "Gesunden"!). Wenn Du nicht gerade direkte afrikanische Vorfahren hast (irgendwo haben wir die wohl alle!) und Du keine Spontanmutationen erleidest, wirst Du gesund bleiben ;D)
Vale!
Heinrich
So blickt man klar, wie selten nur,
Ins innre Walten der Natur.

peter-h

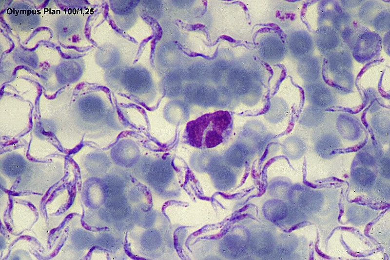
Hallo Thomas,

ich kann ein schönes Beispiel beisteuern. Vor vielen Jahren an der UNI bei Dieter Gerlach selbst angefertigt  ;D , Blut war zum Glück nicht von mir.


Dir alles Gute und viel Glück
Peter


TPL

Meine Güte, Eure Sorge um mich ehrt mich aber...

Danke, Peter, für das instruktive Bild. So etwas suche ich noch als Präparat, aber natürlich ebenfalls besser nicht vom eigenen Blut.

Viele Grüße
Thomas

Gerd Schmahl

Hallo Thomas,
aber Deinen schönen Avatar hat's scheinbar schon erwischt, oder hast Du den selber verändert. Wenn ja, würde mich mal interessieren, was da steht. Außer "allemande" kann ich nichts entziffern.
Beste Grüße
Gerd
Man sagt der Teufel sei, im Detail versteckt,
doch hab' ich mit dem Mikroskop viel Göttliches entdeckt.

beamish

Hallo Gerd,

wer "Tokomonana!" googelt, ahnt, daß es in den Kongo geht (rechter Teil des Banners).

Grüße
Martin
Zeiss RA mit Trinotubus 0/100
No-Name China-Stereomikroskop mit Trinotubus
beide mit Canon EOS 500D

cabo

Zitat von: TPL in Januar 22, 2016, 12:00:44 NACHMITTAGS
Wo bekomme ich eine möglichst praxisorientierte Anleitung?

Eine gute Quelle hierfür ist die US-Army, genauer das  Armed Forces Pest Management Board. Ich habe dort auf die Schnelle ein Handbuch für DIAGNOSING MEDICAL PARASITES gefunden, was aber nur sehr allgemein gehalten ist. Sicherlich findet sich in den Tiefen des AFPMBs auch noch Anleitungen für den im Feld stehenden Soldaten, welcher kein Etappen-Labor unmittelbar zur Verfügung hat. Ich bin aber gerade zu faul zum suchen.

Die Anopheles gambiae ist übrigens, rein ästhetisch gesehen, eine der schönsten Mücken, die mich je gestochen hat.

Grüße aus der Schweiz

Christian


Ralf Feller

Lieber Thomas,
von praktischer Bedeutung dürfte für Dich nur der mikroskopische Nachweis
von Malariaplasmodien sein. Zwar lassen sich auch andere Blutparasiten wie
Mikrofilarien von Wucheria bancrofti (Ägypten, Arika, Asien, Indien uvm.) und
Brugia malaya (Indien, Sri lanka, Südostasien uvm.) den Erregern von Haut-
ausschlägen bis hin zur Elephantiasis, Tryphanosomen wie im Bild von Peter und
selbst Borrelia recurrentis (Läuserückfallfieber) im Blutausstrich nachweisen,
es ist aber sehr unwahrscheinlich das Du so etwas bei Dir findest. Mikrofilarien
findet man erst Monate nach einer Infektion. Tryphanosomiasis ist viel seltener
als Malaria und man braucht auch sehr engen Kontakt zu Trägern und Vektoren
(Tsetsefliege) und die Risikogebiete sind geographisch eng begrenzt.

Blutparasiten weist man im normalen Blutausstrich, der nach Pappenheim
gefärbt wird nach (auch die oben genannten seltenen Erreger).
Dazu braucht man:
1.   May-Grünwald (methanolische Lösung für die Hämatologie)
2.   Giemsa-Lösung (1 + 19Teile Phosphatpuffer nach Weise pH6,8)
3.   Phosphatpuffer nach Weise pH6,8

1.   Blutausstrich anfertigen und wenigstens 15min Trochnen lassen
2.   in unverdünnter May-Grünwald-Lsg. fixieren und vorfärben
(5 min einfach darin belassen)
3.   kurz in Weisepuffer abspülen
4.   20 min in der verdünnten Giemsalösung färben
5.   in Weise spülen (Sekunden)
6.   in Wasser spülen (Sekunden)
7.   trocknen und mit der 100x Ölimmersion mikroskopieren

Den Phosphatpuffer kann man auch weglassen und durch Wasser ersetzen, dann
bekommt man aber Farbpräzipitate und je nach Wasser-pH rot (sauer) oder
blau(alkalisch)stichige Resultate.
Die einzelnen Malariaplasmodien (falciparum, vivax, ovale, malariae) kann man
nur im Ausstrich differenzieren.
http://www.mikroskopie-forum.de/index.php?topic=18560.0;topicseen

Der dicke Tropfen dient nur der Parasitenanreicheung bei geringer Parasitendichte
im Blut. Dabei wird ein kleiner Blutstropfen auf einen Objektträger gebracht und
etwa auf die Größe eines 1Cent-stückes rund verteilt, 2-3h trocknen lassen und
nur in verdünnter Giemsa färben. Die Fixierung in May-Grünwald unterbleibt,
die Erythrozyten werden hämolysiert und es bleiben die Kerne der Leukozyten
und eben die Malariaplasmodien übrig.

Es gibt übrigens auch fertige Blutfärbe-Kits zu kaufen, die Ergebnisse finde ich
aber nicht so gut.
Es gibt auch nichtmikroskopische Schnelltests auf Malaria, diese sind aber
auch nach meiner eigenen Erfahrung sehr unzuverlässig (falsch negativ).

Du kannst nur mit einem Parasitennachweis rechnen wenn Du Fieber hast, und
dann sollte das Blut entnommen werden. Ob Du dann aber Lust zum Färben und
mikroskopieren hast???
Genau so interessant wie die Parasiten sind in den Tropen aber auch die Vektoren.
Vielleicht findest Du ja Zeit zum Mückenfang. Die Differenzierung unter dem
Stereomikroskop kann sehr interessant sein - ohne Vektor keine Übertragung.

Ich wünsch Dir eine krankheitsfreie Zeit, Blutausstriche kannst Du Dir auch im
örtlichen Krankenhaus holen, wenn es da Krankenhäuser gibt.

LG Ralf

-JS-

Lieber Thomas,

ich hoffe inständig, dass Du Dich nun nicht anschickst, ein Nachfolger des legendären 'Mr. Kurtz' aus Conrad's 'Herz der Finsternis' zu werden ?  ;D
(Parallelen zu Marlon Brando als Colonel Walter E. Kurtz in 'Apocalypse now' sind da wohl eher rein zufälliger Natur...)

Dennoch: ich wünsche Dir viel Erfolg bei der von Dir geplanten Reise.

Viele Grüße
Joachim


... bevorzugt es, ge_Du_zt zu werden ...