HISTOLOGIE: Larve der Drosophila Melanogaster, zweiter Schnitt!

Begonnen von Ronald Schulte, Mai 15, 2016, 21:55:02 NACHMITTAGS

Vorheriges Thema - Nächstes Thema

Ronald Schulte


In 2014 habe ich schon mal ein Sagittalen Schnitt gezeigt. Den heutigen Schnitt kommt von genau dasselbe Block nur ist es so 300µm weiter geschnitten. Beitrag 2014 ist HIER!

In ein Stuck Melone ist es sehr einfach um die Larven von den Drosophila Melanogaster zu Züchten.
Im dritten Stadium (genau vor die Verpuppung) habe ich einige Larven Fixiert in ein Gemisch von Formalin und Glutaraldehyde (2,5%, 2%).
Eingebettet wurde in Technovit 7100.










Um das Bild in Zoomify zu beobachten bitte HIER klicken.





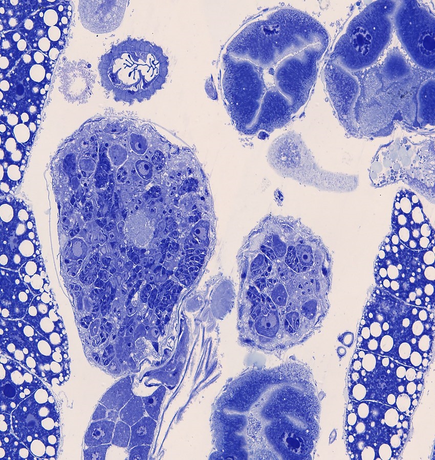
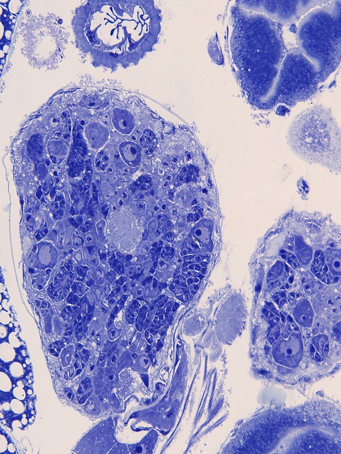
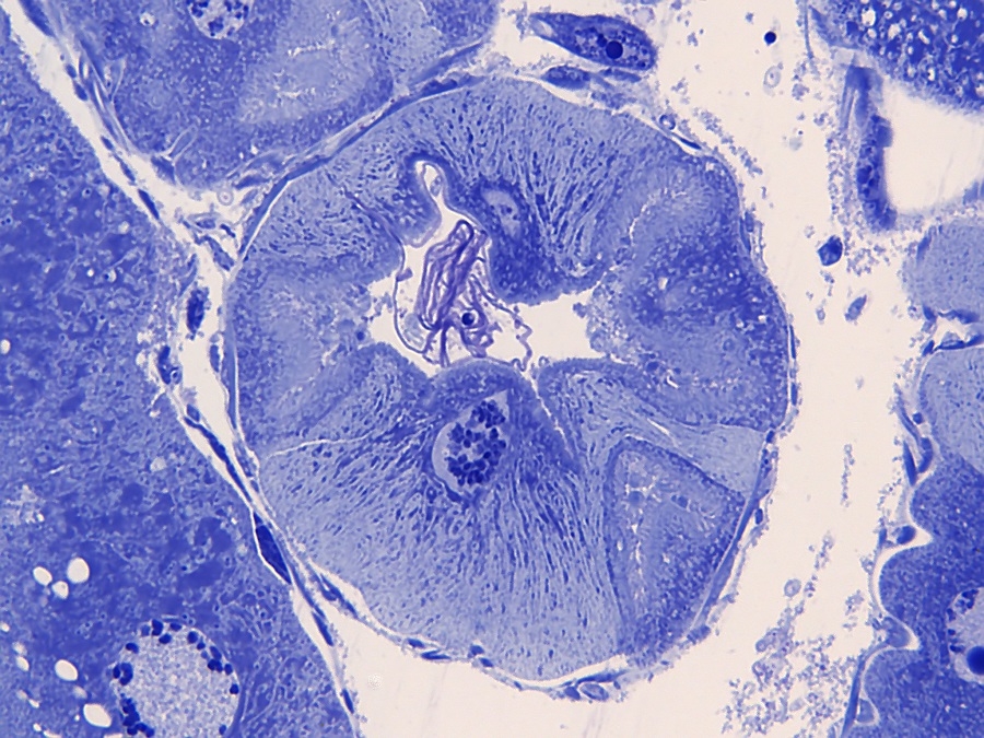
Bild 2. Gehirn mit Neuronen? Stitch von 6 Bilder.






Bild 3. Gehirn mit Neuronen? Stitch von 2 Bilder.





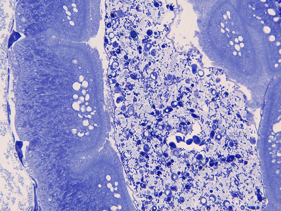
Bild 4. Darm Quer mit Nahrung?





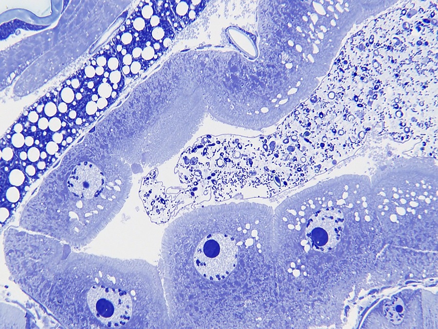
Bild 5. Darm Langs mit Nahrung?





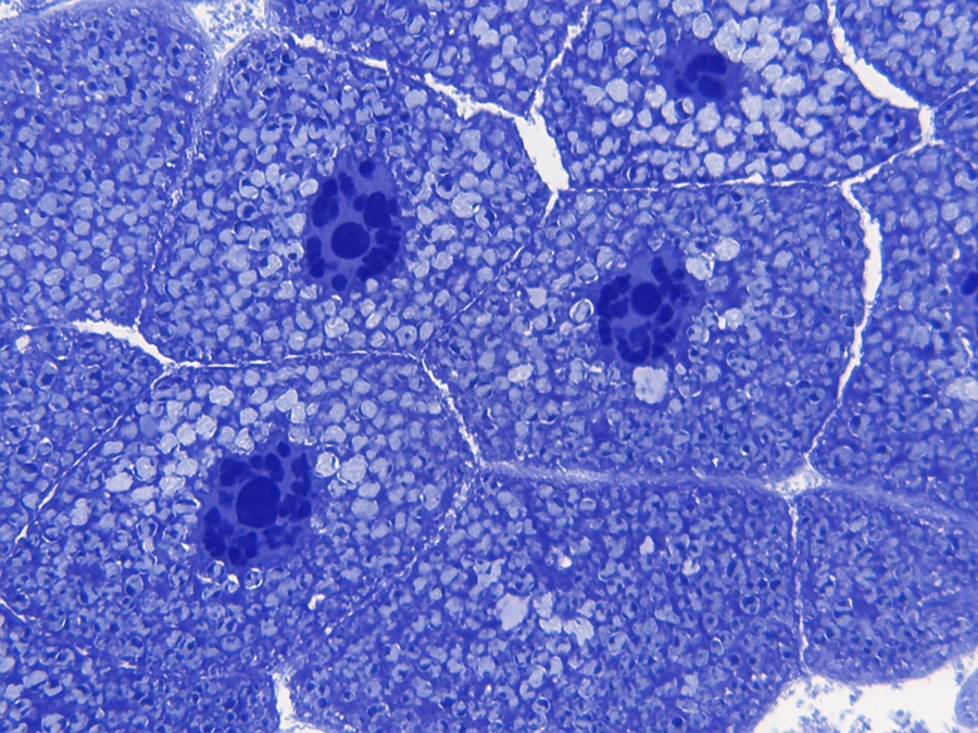
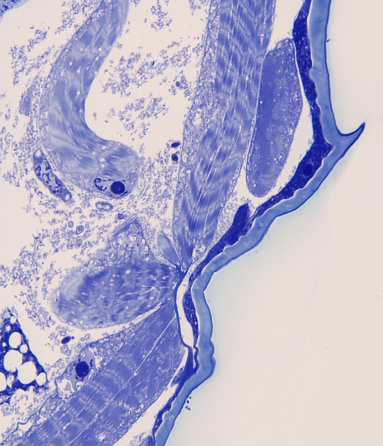
Bild 6. Haut mit Muskelzellen.




Grusse Ronald

Mikroskope:
Leitz Orthoplan (DL, AL-Fluoreszenz und Diskussionseinrichtung).
Leica/Wild M715 Stereomikroskop.
Mikrotom:
LKB 2218 Historange Rotationsmikrotom.

Ralf Feller

Hallo Ronald,
das sind sehr schöne Schnitte. Das Thema Insekten, das ja sonst nur noch in Vollendung von Jürgen Harst verfolgt wird finde ich so faszinierend weil hier noch echt unbekanntes zu entdecken ist. Hast Du auch mal mit Technovit 8100 gearbeitet? Ich habe das 8100 mal ausprobiert wegen der, so hatte ich gehört, besseren Wassergänigkeit. Ich habe keine Erfahrungen mit 7100, doch in 8100 gelang die HE-Färbung ganz gut.

viele Grüße, Ralf

Fahrenheit

Lieber Ronald,

wie immer sehr schöne und interessante Schnitte! Danke fürs Zeigen.

Herzliche Grüße
Jörg
Hier geht's zur Vorstellung: Klick !
Und hier zur Webseite des MKB: Klick !

Arbeitsmikroskop: Leica DMLS
Zum Mitnehmen: Leitz SM
Für draussen: Leitz HM

Alfons Renz

Sehr beeindruckende Bilder sind dies wieder, lieber Ronald!

Auch bei der Zuordnung der morphologischen Strukturen stimme ich Dir zu. Wobei es wahrscheinlich zweckmässig wäre, sich vor der Interpretation des histologischen Schnittes einen Überblick zur Anatomie der Larven dadurch zu verschaffen, indem man einige Larven unter dem Binokular seziert und so die Lage der Organe erkennt.

Die Drosophila-Larven sind zwar sehr klein, aber mit feinem Sezierbesteck ist das möglich.

Eine weitere Informationsquelle wären fixierte Larven, die Du in Polyvinyl-Lactophenol einbettest und im Durchlicht mikroskopiert. Färbungen sind bei dieser leicht mazerierenden Einbettung leider nicht möglich. Hierzu müssten die Larven nach Färbung, etwa mit Fuchsin, entwässert und erst dann eingebettet werden.

Viel Erfolg und herzliche Pfingstgrüße,

Alfons


Ronald Schulte

#4
Alfons,

Ja die genaue Zuordnung der morphologischen Strukturen kann ich selbstverständlich einfach unter den Stemi mit Lebende Larven machen und werde ich auch machen. Ich habe schon öfters die Speicheldrusen frei präpariert und kenne mich da schon einigermaßen aus. Das ist z.B. auch schon ein komische Sache. Ich weis genau wo die zu finden sind aber im Schnitt kann ich die gar nicht mehr bestimmen. Problem ist da wieder das ich nicht genau weis wie die Drüsen im Histologischen Schnitt aussehen. Darum werde ich die auch mal separat einbetten, das lasst sich ziemlich einfach machen.
Ein weiteres Problem beim einbetten ein Kompletten Larve ist das ich immer ein Teil abschneiden muss weil sonst das Fixier, Ethanole und das Harz nicht die Chitin haut passieren kann. So ist die Larve schon ein wenig zerquetscht bevor ich es uberhaupt schneiden kann (darum siehst du bei mir im Schnitt auch nicht das Komplette Tier). Dann kommt noch das Problem von die Orientierung im Flüssigen Harz beim einbetten. Das ist eine reine Glückssache um das Tier so einzubetten das z.B. die Speicheldrüsen schön Links und Rechts zu beobachten sind.
Auch ist es für mich schlecht um an gute Dokumentation zu kommen. Internet ist da sparsam und wenn ich dann was finde sind es meist Wissenschaftliche Artikel die alle zuerst bezahlt werden müssen.

Gruße Ronald  


Hier mal ein Bild von das Block am Ultra. Die Larve ist hier gut zu erkennen (denke ich)!

Mikroskope:
Leitz Orthoplan (DL, AL-Fluoreszenz und Diskussionseinrichtung).
Leica/Wild M715 Stereomikroskop.
Mikrotom:
LKB 2218 Historange Rotationsmikrotom.

Alfons Renz

Lieber Ronald,

Es ist einen Versuch wert, die Larven erst in Alkohol zu fixieren, dann eventuell zu färben und in Glyzerin aufzuhellen und erst zuletzt zu sezieren. Beim Aufschneider / Aufreissen einer frischen Larve (=> in Insekten-Ringer) wirst Du immer das Problem haben, dass die Organe zerplatzen und dann nicht mehr gut zu erkennen sind.

Diese aufgehellten Larven lassen sich gut einbetten, quetschen und im Durchlicht untersuchen.

Zur schnellen Fixierung von Insekten eignet sich Carnoy, Bouin und eventuell Hitze (in der Mikrowelle). Wobei in der Mikrowelle Vorsicht mit Chlorofom etc. geboten ist: nur winzige Mengen und Sekunden! Ich habe bislang nur im Wasserbad fixiert, und das ist auch schon lange her!

Bei Paraffin-Einbettungen kann man die Objekte recht gut mit heissen Nadeln orientieren (ev. vorher markieren oder anfärben) und später den Block entsprechend zuschneiden. Bei Kunstharz ist dies schwieriger, sollte aber nicht unmöglich sein.

Herzliche Grüße,

Alfons


Bezüglich der wisssenschaftlichen Artikel: Schreibe doch einfach die Verfasser ("korrespondierende Autoren") an oder schau bei Research Gate: In der Regle schickt man Dir ein PDF des Artikels gerne zu. Oder schau auf deren Homepages, da sind auch oft Dateien zum Herunterladen zu finden.

Jürgen H.

Lieber Ronald,

herzlichen Glückwunsch zu diesem tollen Technovitschnitt! Sobald einem das Chitin nicht allzusehr in die Quere kommt, bietet der Kunststoff doch erhebliche Vorteile.

Ich denke, bei Bild vier sieht man im Darmquerschnitt keine Nahrung, sondern zusammengefaltet, die sogenannte perithropische Membran. In Bild fünf ist sie in ihrer Funktion sehr gut zu erkennen: Ein dünnes Häutchen, das den Nahrungsbrei umschließt und so die empfindlichen Darmzellen schützt. Verdauungssekrete können ihn passieren und die aufgelösten Nahrungsbestandteile auch. Er umschließt die Nahrung in etwa wie ein äußerst feinmaschiger Schlauch.

Vielen Dank fürs Zeigen und schöne Grüße

Jürgen

Ronald Schulte

#7
@Alfons,
Danke für dein Antwort. Ich bin gestern angefangen um ein neues Block an zu schneiden und nach 10-20mu Vorschub immer wieder zwei drei schnitte zu machen um so was besser ein Eindruck von die Organe zu bekommen. Die Speicheldrüsen die ich nicht sah ist jetzt vollkommen klar warum ich die nicht sah. Die liegen ganz an die Außenseite von die Larve. Die schneidet man also unmittelbar an. Habe die ersten Schnitte gestern gefärbt und erkenne die jetzt auch wieder genau wie Speicheldrusen. So werde ich weiter schneiden.

@Jürgen,
Ja wenn das Gewebe nicht ausbricht ist Technovit Ideal. Ich denke das die Larven noch nicht so Chitin haltig sind. Vielleicht war es auch nicht notwendig um die Larve am ende ab zu schneiden! So wie ich es jetzt präpariert habe geht auf jeden fall prima. Das Harz ist vollkommen in die Larve eingedrungen. Es schneidet sich wie Butter.
Nachteil von das Kunststoff finde ich immer das nur sehr wenige Farbstoffe im Matrix eindringen so das eigentlich jede Schnitt Blau wird. Deine schone AZAN Färbung z.B. ist in Kunststoff nicht möglich. Ab und zu wirkt HE auch aber das ist nicht immer überzeugend. Großes Vorteil ist selbstverständlig die große Detaillierung die erreicht werden kann weil richtig dünn geschnitten werden kann.

Gruße Ronald
Mikroskope:
Leitz Orthoplan (DL, AL-Fluoreszenz und Diskussionseinrichtung).
Leica/Wild M715 Stereomikroskop.
Mikrotom:
LKB 2218 Historange Rotationsmikrotom.

Jürgen H.

Lieber Ronald,

Bitte zeige unbedingt den Schnitt von der Speicheldrüse. Das interessiert mich sehr, da ich selbst gerade intensiv mit der Speicheldrüse von Graphocephala f. beschäftigt bin, die sehr eigen aufgebaut ist.

Interessant dürfte bei Drosophila wegen der Chromosomen auch eine Fluoreszenzfärbung über DAPI oder Acridinorange sein. Du hast ja die Einrichtung dazu. Ich bin sehr gespannt!

Schöne Grüße Jürgen

Ronald Schulte

Jürgen,

Kein Problem. Bilder kann ich heute Abend schon machen. Ich sah gestern schon die große Chromosomen aber dann selbstverständlich nicht zerquetscht so wie im Quetsch Präparat, sondern eingepackt im großen Kern wie ein Ball Spaghetti. DAPI geht auch nur muss ich zuerst wieder schneiden. Kann aber diese Woche.

Ich hatte gerne von dich was Zeichnungen oder Bilder von de Drosophila Organ Architektur. Wenn du hast natürlich.

Gruße Ronald
Mikroskope:
Leitz Orthoplan (DL, AL-Fluoreszenz und Diskussionseinrichtung).
Leica/Wild M715 Stereomikroskop.
Mikrotom:
LKB 2218 Historange Rotationsmikrotom.

Ronald Schulte

Jürgen,

Hier ein Übersicht von ein Schnitt die ich gestern von ein neues Block hergestellt habe.
Wie ich schon erwartet habe befinden sich die Speicheldrusen unmittelbar hinter die Haut.
Im Bild siehst du dann auch Muskel, Fett und eine Speicheldrusse. Übrigens sind Links die Mundwerkzeuge angeschnitten und Gans rechts ein Anschnitt von ein Darm.

Stitch von 8 Bilder, Objektiv Plan Fluotar 10x.




Detail Speicheldrusen. Objektiv Plan Fluotar 25x.





Detail Drusen Zellen. Die Riesenchromosomen sind hier deutlich zu erkennen. Objektiv Plan Apo 63x.





Detail Drusen Zellen. Die Riesenchromosomen sind hier deutlich zu erkennen. Objektiv Plan Apo 63x.





Das perithropische Membran umschließt den Nahrungsbrei. Objektiv Plan Apo 63x.





Grusse Ronald
Mikroskope:
Leitz Orthoplan (DL, AL-Fluoreszenz und Diskussionseinrichtung).
Leica/Wild M715 Stereomikroskop.
Mikrotom:
LKB 2218 Historange Rotationsmikrotom.

Jürgen H.

Lieber Ronald,

ein ganz phantastischer Schnitt, herzlichen Dank! Wunderbar kommt die Intersegmentalmuskulatur heraus. Man sieht geradezu, wie sich die einzelnen Muskelstränge zwischen den Segmaneten zusammenziehen können und sich damit die ganze Larve kontrahieren kann um sich fortzubewegen.

Bei der Speicheldrüse bin ich gespannt, ob Du auch noch einen Schnitt fischst, der das Lumen und die umgebenden annähernd kubischen Speicheldrüsenzellen und den Speicheldrüsenausgang zeigt. Toll wie detailreich Dein Technovitschnitt gelungen ist.

Speziell zu Drosophila habe ich leider gar nichts, auch nichts zu Larven. Das ist ein Thema, das auch noch vor mir liegt. Die Entwicklung einzelner Organe, z.B. der Augen oder der Glieder aus den Imaginalscheiben ist ganz bestimmt spannend zu verfolgen.

Oder meintest Du die Lage einzelner Organe bei der Imago? Dazu müsste jede Fliegenart verwendet werden können.

Zum Gehirn von drosophila gibt es ein phantastische Seite:

http://flybrain.neurobio.arizona.edu/Flybrain/html/atlas/index.html

Schöne Grüße

Jürgen

Jan Dunst

Lieber Ronald,

herzlichen Glückwunsch zu diesen Schnitten. Eine Augenweide.

Vielleicht kann ich mit ein paar Links helfen:


Generelle morphologische Uebersichten von Drosophila: http://flybase.org/static_pages/imagebrowser/imagebrowser10.html
Eine grobe histologische Uebersicht des Darms aus unserem Labor mit verschiedenen Färbungen, hier wurde jedoch kein Fokus auf Strukturen gelegt, es ging hauptsächlich um die Regionalisierung des Darms: http://flygut.epfl.ch/histology
Grobe Darstellungen der Entwicklung von Drosophila, keine histologischen Schnitte aber schematische Zeichnungen und viel Informationen: http://www.sdbonline.org/sites/fly/atlas/00atlas.htm
Detaillierte Entwicklung der Drosophila Larve, aber leider keine Bilder: http://www.sdbonline.org/sites/fly/aimorph/imagdisc.htm

Ich habe noch etwas unvollständiges Material über die Speicheldrüsen, den Darm und das Gehirn aus einem alten Buch. Wenn du mir deine Mail zukommen lassen willst, kann ich dir das gerne schicken.

Viele Grüsse,
Jan

Ronald Schulte

Jan,

Herzlich dank, das sind genau was Links die ich brauchte. Denke das Jürgen die auch gerne haben mochte. Prima so!
Mehr Info über die Speicheldrussen hatte ich gerne. Meine Mailadresse schicke ich mit ein PN.

Grusse Ronald
Mikroskope:
Leitz Orthoplan (DL, AL-Fluoreszenz und Diskussionseinrichtung).
Leica/Wild M715 Stereomikroskop.
Mikrotom:
LKB 2218 Historange Rotationsmikrotom.