Botanik: Zaunwinde - Pollen (Calystegia sepium) *

Begonnen von Heiko, Juli 19, 2016, 00:22:40 VORMITTAG

Vorheriges Thema - Nächstes Thema

Heiko





Hallo,
derzeit blüht die Zaunwinde, was zu einem Blick auf die Pollen dieser Art verleitet.

Diese Aufnahme war schon mit dem 10er Objektiv möglich, was der beachtlichen Größe des Pollenkorns geschuldet ist. Der heftige Kontrast: Wasser und Deckgas fanden keine Verwendung. Der ,,Keimling" lag auf der Narbe und wurde von dort auf den Objektträger geschubst:



Die Darstellung des Ornaments bereitete mir Mühe. Auch Schieflicht wollte nicht recht gefallen. Letztlich färbte ich mit einem Hauch Fuchsin – die Pollen wurden schnell zu dunkel – nahm in der digitalen Nachbearbeitung dann die Farbe aber komplett heraus:





Viele Grüße,
Heiko

Carlos

Hallo Heiko,
Zitat... Auch Schieflicht wollte nicht recht gefallen.

Das ist doch ,,schiefe Beleuchtung", vermutlich nicht einmal ,,gestackt". Richtig?
Aber egal, ich finde die Bilder einfach ,,klasse"!
Gruß Carlos

rhamvossen

Hallo Heiko,

Das sind schöne grosse Pollen. Mal sehen ob ich die bei mir in der Gegend auch finden kann. Beste Grüsse,

Rolf

Heiko

Hallo Carlos & Rolf,

am Ausdruck übe ich – seit der Geburt – will einfach nicht besser werden: gefärbt, dezentriert beleuchtet und gestapelt.
Rolf, würde gerne sehen, was Du aus dem Objekt ,,herauskitzelst".

Danke für Euere Antworten.

Grüße, Heiko

Carlos

Hallo Heiko,
Also doch ,,gestackt". War mir nicht sicher ob, oder ob nicht.  Hat das ,,Stacken" in diesem Fall wirklich was gebracht? Wie sieht die ,,beste" Einzelaufnahme aus? Haben das ,,Anfärben" und die ,,digitale Entfärbung" die Bilder qualitativ ,,positiv" verändert? ( (Ich glaube, ,,kaum".)
Bin gespannt, ob Rolf auch Pollen von ,,Winden" findet und Bilder einstellt. Um Bessere zu zeigen als Deine, muss er sich aber gewaltig anstrengen! (Rolf streng Dich also an!)
Gruß Carlos

Heiko

Gretchenfragen, lieber Carlos.  :D

Deinem Wunsch entsprechend, stelle ich gerne zwei ,,Schieflichter" nebeneinander:



Was sagst Du?

Das Pollenkorn stammt von einer Fuchsie, Fuchsia boliviana eventuell. Es wurde sehr vorsichtig mit Fuchsin gefärbt, eigentlich überflüssig (Erkenntnis im Nachhinein), da sich die Kontrastsituation nicht/kaum verbesserte.

Viele Grüße,
Heiko

Carlos

Hallo Heiko,
Beide Bilder zeichnen die Strukturen m. E. recht gut. Das rechte Bild allerdings ist für mich das klar bessere. Es ist etwas dunkler und (deshalb?, ,,gestapelt"?) kontrastreicher.
Gruß Carlos

A. Büschlen

Hallo,

hier mein Beitrag zu den Pollen von Calystegia sepium:



Ein Bild im Durchlicht/Hellfeld/zentral am Zeiss Standard 16; Objektiv Nikon Plan 50/0.85 Oil mit Iris; im CS4 in S/W umgewandelt.

Gruss Arnold

Schwerpunkt z.Z.:
- Laub- und Lebermoose.
- Ascomyceten als Bryoparasiten.

Carlos

Hallo Arnold,
Zitat... Objektiv Nikon Plan 50/0.85 Oil mit Iris;
Habe gerade auch Pollen von der ,,Zaun-Winde" mikroskopiert.
Die Dinger sind ,,verdammt groß" und vor allem ,,rund". Da hilft auch ein ,,Plan-Objektiv" ohne ,,Stacken" vermutlich wenig, den ,,Rand" der Pollen einigermaßen scharf abzubilden.
Mit meinem Leitz 25-ziger Achromat  klappt es fast bis zum Rand, allerdings mit geringerer Auflösung, mit dem 40-iger und 63-ziger (beide trocken) erreiche ich zwar eine sehr gute Auflösung bis zu 2/3 des Durchmessers des Pollen, der Rand ist aber ,,unscharf" ( durch ,,Schieflicht" einseitig verzerrt.)
Jetzt erst kann ich die ,,Klasse-Qualität" der Bilder von Heiko richtig einschätzen.
Gruß Carlos

Heiko

Hallo Carlos,

ich meine auch, dass Mini-Stapel bei Schieflicht ihre Berechtigung haben (können). ,,Lust" dem Kontrast, ,,Last" der Auflösung ...
Du vermutest zutreffend in der rechten Abbildung den Stapel.


Hallo Arnold,

danke für Dein Foto, Du legst damit einen tollen Kontrast vor.

Zwar hast Du vermutlich in kleineres Exemplar erwischt, dennoch würde ich mich über eine Ausschnitt-Darstellung freuen – dem 50er können wir, denke ich, das ,,zumuten".


Viele Grüße,
Heiko

Fahrenheit

Lieber Heiko,

schöne Aufnahmen, der Pollen ist wirklich interessant.

Ich habe Deinen Beitrag gelistet und den Titel entsprechend angepasst.

Herzliche Grüße
Jörg
Hier geht's zur Vorstellung: Klick !
Und hier zur Webseite des MKB: Klick !

Arbeitsmikroskop: Leica DMLS
Zum Mitnehmen: Leitz SM
Für draussen: Leitz HM

A. Büschlen

Hallo Heiko,

hier nun noch ein Vergleich mit einer ca. formatfüllender Nachvergrösserung. Massstab siehe oben, Aufnahme ein Bild Hellfeld/ Durchlicht/ zentral. Bearbeitung im CS4



Gruss Arnold
Schwerpunkt z.Z.:
- Laub- und Lebermoose.
- Ascomyceten als Bryoparasiten.

Heiko

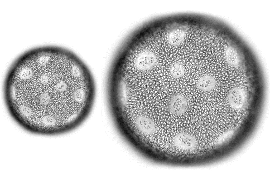
Arnold, hoffe Du gestattest diese hemdsärmelige Manipulation:



Sind ,,zentral" und ,,schief-gestapelt" tolle Objekte.

Gruß, Heiko

rhamvossen

Hallo,

Ich möchte noch ein Bild zur Ergänzung zeigen, wo man die Verdünnungen in der Wand der Pollenkörner gut sehen kann. ZW 40er achromat, Hellfeld:



Beste Grüsse,

Rolf


Heiko