Hauptmenü

numerische Apertur

Begonnen von peter-h, August 27, 2009, 12:13:49 NACHMITTAGS

Vorheriges Thema - Nächstes Thema

peter-h

Frage an die Optiker :

Ein Objektiv mit der Kennung 4/0,16 hat allgemein ein Arbeitsabstand von ~ 10mm (Sonderfälle ausgenommen).
Wäre man frei im Objektivanschluß (Gewinde usw.) und hätte ausreichend Platz, incl. Tischverstellung, so könnte doch auch ein sehr gutes Fotoobjektiv in Retrostellung als Objektiv für Unendlichsysteme genutzt werden.
Bei einer Tubuslinse mit f = 160mm müßte dann das Objektiv für 4-fache Vergrößerung eine Brennweite von 40mm haben. Das gibt es. Um die gleiche / ähnliche Apertur zu erreichen sollte nach :

NA = sin a , und  tan a = 1 / (Blende * 2)   - für kleine Winkel sin a = tan a

Damit wäre ein Objektiv mit 40mm 1:2,8  ( entspricht nach der Rechnung NA = 0,17 ) ein Objektiv mit Arbeitsabstand 40mm und mehr.

Ist nun diese Betrachtung korrekt ? Voraussetzung dabei, dass das Fotoobjektiv eine ausgezeichnete Korrektur besitzt, bzw. die Betrachtung rein theoretisch ist.

Schöne Grüße
Peter Höbel

Kay Hoerster

Hallo Herr Höbel,

die Bestätigung zur Berechnung der NA überlasse ich anderen, ich berichte mal aus der Praxis:
Ich habe beim Experimentieren mit meinem Vertival (oo-System M19 Zeiss Jena) schon vor einiger Zeit auch ein 50 mm Objektiv, Blende 1,4 (Zeiss/Rollei Planar) mit einem Übergangsgewindering M46/M49 an die Objektiv-Schiebeschlitten vom Vertival gebaut und damit im Auflicht beobachtet. Das funktioniert, der Arbeitsabstand ist gute 35 mm (KB-Objektive ~ 45mm Auflagemaß vom Bajonett bis Filmebene, hinterer Linsenscheitel steht noch ~10mm weiter zur Filmebene, also Schnittweite ca. 35mm) und das Bild ist erstaunlich gut.
Bislang habe ich noch nicht im Durchlicht experimentiert, aber das mache ich jetzt mal. Ich gehe davon aus, daß das mit kürzeren Brennweiten genauso funktioniert (40mm, 35mm), der Vorteil liegt ja in der einigermaßen konstanten Schnittweite der KB-Objektive in Retrostellung und somit konstantem und recht großem Arbeitsabstand. Hinderlich ist eben nur die mit kürzerer Brennweite zunehmende Baulänge der Objektive, den Tisch bekommt man dann nicht mehr weit genug nach unten. Bei meinem Vertival sind aber noch ca. 6mm Reserve und ich habe einen massiven Kreuztisch installiert...
Ich stelle noch mal Fotos vom Aufbau ein.

Gruß Kay Hörster
Mit freundlichen Grüßen
Kay

Nomarski

Hallo Kay,

als ich das so gelesen habe, fiel mir so das Tessar oder Sonnar von der kleinen Rollei 35 ein.
Den Tessaren sagt man ja immer nach, daß sie maßstabsunemfpfindlich seien.
Ob sich in diesem Anwendungsfall damit etwas machen läßt, will ich nicht prognostizieren,
man muß es eben mal ausprobieren.

Gruß
Bernd

Kay Hoerster

Hallo Bernd, der Versuch mit Tessar steht noch aus, ich suche noch jemanden, der mir den passenden Tubus zu den Vertival-Objektivschlitten dreht, Objektiv ist vorhanden  ;D ;D ;D Also entweder einen Ring mit M24,5 Außengewinde (Rollei 35 Tessar Filtergewinde) auf M46/M49 Innengewinde oder auf M19 Außengewinde (Vertival oo-Objektive)...

Gruß Kay
Mit freundlichen Grüßen
Kay

peter-h

Hallo.

also bevorzugt natürlich symmetrische Objektivkonstruktionen, wie Doppelanastigmat, oder Gauss-Typ. Z.B. Symmar, Apo-Ronar, Biotar, Planar, Summar. Dass auch Triplet-Typen (Tessar) möglich sind will ich nicht bestreiten. Aber mit symmetrischem Aufbau hat man weniger Probleme.

Meine Idee wäre als Tubuslinse ein Rodenstock Rodagon 180/1:5,6 und als Objektiv ein Apo-Ronar oder auch Symmar.
Natürlich nicht an einem üblichen Mikroskop, sondern an einem stabilen Stativ. Die einfachere Version wäre ein Balgengerät :-))

Gruß
Peter Höbel

Nomarski

Hallo Kay,

das Drehen wäre für mich nicht das Problem, ist aber zeitintensiv, da es für diese Gewinde keine Gewindeschneider gibt. Deswegen sollte man es irgendwie erstmal lose probieren, bevor die Arbeit hinterher für die Katz ist.

Gruß
Bernd

A. Büschlen

Hallo,

habt ihr schon mit Wechselobjektiven der Super 8 und 16mm Filmkameras experimentiert?
Da gab es hochwertigste Objektive mit unterschiedlichen Festbrennweiten der Marken Kern, Zunow etc.

Freundliche Grüsse

Arnold Büschlen

Schwerpunkt z.Z.:
- Laub- und Lebermoose.
- Ascomyceten als Bryoparasiten.

peter-h

Hallo Herr Büschlen,

der Gedanke ist sicher recht gut, nur habe ich dann wieder die kurzen Schnittweiten der Objektive, sprich kurze Arbeitsabstände. Wenigstens 35 - 40 mm freier Arbeitsabstand soll es schon werden.

Schöne Grüße
Peter Höbel

Jürgen Boschert

Hallo,

seit einigen Wochen bietet jemand immer wieder solche Objektive für 8mm-Filmkameras als Mikroskopobjektive samt RMS-Adapter an (z.B. aktuell Bucht-Nr. 270446596971 ).

Beste Grüße !

JB
Beste Grüße !

JB

Kay Hoerster

Zitat von: peter-h in August 27, 2009, 13:39:35 NACHMITTAGS
Hallo.

also bevorzugt natürlich symmetrische Objektivkonstruktionen, wie Doppelanastigmat, oder Gauss-Typ. Z.B. Symmar, Apo-Ronar, Biotar, Planar, Summar. Dass auch Triplet-Typen (Tessar) möglich sind will ich nicht bestreiten. Aber mit symmetrischem Aufbau hat man weniger Probleme.

Meine Idee wäre als Tubuslinse ein Rodenstock Rodagon 180/1:5,6 und als Objektiv ein Apo-Ronar oder auch Symmar.
Natürlich nicht an einem üblichen Mikroskop, sondern an einem stabilen Stativ. Die einfachere Version wäre ein Balgengerät :-))

Gruß
Peter Höbel

Hallo Herr Höbel,

wieso unbedingt symmetrische Objektive? Das vordere Objektiv wird doch dann in Retro-Stellung verwendet und bildet das Objekt nach oo ab. So stellt es zumindest die Literatur der Makro-Fotografie dar, daß dadurch (durch Retro-Stellung) die (schlechteren) Abbildungseigenschaften der Normalobjektive (unsymmetrischer Aufbau) im Nahbereich wieder weitgehend kompensiert werden sollen...Habe ich da was falsch verstanden?
Ich habe vorhin noch einen Versuch mit einem japanischen Hanimar 2,8/35 im Auflicht gemacht, das hat mich nicht überzeugt, ich gehe davon aus, daß die Tubuslinse natürlich auch einen nicht zu vernachlässigenden Einfluß hat, es müssen eben Objektiv und Tubuslinse harmonieren. Ist das der Grund, weswegen Sie symmetrische Objektive bevorzugen?

Weitere Objektive habe ich noch zum Testen, aber immer nur mit dem Vertival-Aufsatz:



- Pentakta 2,8/30 anscheinend aus einem DDR-Mikrofilm-Lesegerät
- Rodenstock Ysaron 4/25, den genauen Verwendungszweck kenne ich nicht, ist schwer etwas darüber zu finden. Das hat jedenfalls ein Gewinde ähnlich dem RMS Gewinde, jedoch wahrscheinlich metrische Steigung
- und dann noch ein Objektiv, welches ich im alten Forum schon mal vorgestellt habe, wohl auch aus einen Mikrofilm-Lesegerät (47x)

Alle Objektive haben natürlich nicht die schöne lange Schnittweite von KB-Objektiven, aber erste Freihandversuche unter dem Vertival stimmen positiv.
:( :( :( : Ich brauch 'ne Drehbank  :( :( :( :

Gruß Kay Hörster
Mit freundlichen Grüßen
Kay

Nomarski

Hallo,

die Summare und auch Milare von Leitz kenne ich in verschiedenen Brennweiten (24mm, 35mm, 42mm, 50mm, 65mm...) haben alle ein metrisches Feingewinde. Leider ist man dort erst später auf den Standard des RMS-Gewindes gekommen.

Kay Hoerster

Guten Morgen,

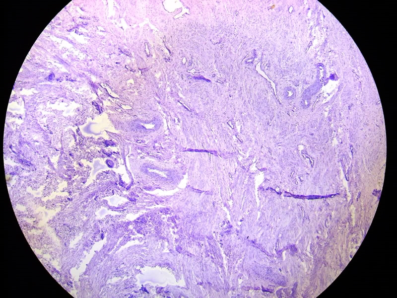
angeregt durch Herrn Höbels Überlegungen habe ich mal folgenden Aufbau im Durchlicht getestet, dies sind auch meine ersten fotografischen Versuche und ich bitte daher die Qualität (Staub, Ausleuchtung...) nicht über Gebühr zu würdigen  ;D ;D ;D ich bin mit einer vernünftigen Adaption noch nicht weitergekommen.
Aufbau: Vertival, Hillersche LED, Kondensor mit langer Schnittweite Apertur 0,6, Großfeldlinse im Strahlengang, Mattglas (Nähe Leuchtfeldblende) im Strahlengang, Objektiv Rollei Planar 1,4/50 am Schlitten in Retrostellung montiert, Okulare visuell CZJ P10x (20), fotografiert durch Okular CZJ GF-P10x (18) Brille im rechten Stutzen mit Rollei Kompaktkamera RCP-8325 (8MPixel) in Motivstellung "Berge", automatische Belichtung, Kamera ambulant vor das Okular gehalten wegen fehlender starrer Verbindung, Motiv CZJ Objektmikrometer (3,1 mm) und histologischer Schnitt (Konisation) unbekannter Herstellung, jeweils Fokusreihen (Feintriebverstellung um je 2 Skalenteile) und Auswahl des schärfsten Fotos, bearbeitet mit Photoshop LE jeweils nur Weißabgleich

Übersicht Aufbau


Detail Objektiv und Arbeitsabstand (ca. 35mm)


Es wird ein Objektfeld von ca. 3,8 mm abgebildet



Nun die im oberen Übersichtsbild invertiert dargestellten Details (jeweils Ausschnitt 800 x 600 Pixel der Originaldatei)




Und der histologische Schnitt, leider wegen nicht eingeschwenktem Mattglas etwas ungleichmäßig ausgeleuchtet


Mein vorläufiges Fazit: Die recht gute, gleichmäßige Schärfe dieser Kombination ermutigt mich zu weiteren Versuchen, Planar und Vertival-Tubuslinse harmonieren anscheinend gut miteinander, CVD kaum ausgeprägt. Der Arbeitsabstand ist sehr komfortabel und auch der visuelle Eindruck überzeugt mich. Gerne zeige ich noch Details der Konisation in 100%, wenn gewünscht. Die geringe Vergrößerung läßt aber nur Übersichtsbilder zu, Versuche mit einem 2,8/35 Objektiv waren im Vergleich zum Planar schlecht. Die Kombination ist bestimmt auch für Auflicht und Insekten-Stacks zu verwenden.

Ich bitte um weitere Diskussion und Verbesserungsvorschläge.

Gruß Kay Hörster
Mit freundlichen Grüßen
Kay

Nomarski

Hallo Kay,

da gibt es von meiner Seite aus erstmal nichts daran zu verbessern. Nun erwähntest du, daß sich das 35mm-Distagon nicht so gut dafür eignet. Ich nehme an, du hast das 1:2,8/35mm genommen und nicht das 1:1,4/35 mit der omminösen Blende.  ;D
Ich könnte mir aber vorstellen, daß das eine oder andere Rolleinar auch ganz gut funktionieren würde...

Gruß
Bernd

Kay Hoerster

Hallo Bernd, nein, ich habe ein Japanisches 2,8/35 ausprobiert ("Hanimar" von Hanimex), Filtergewinde M46 (paßt direkt in Retrostellung an die Objektivschlitten vom Vertival). Von den Rollei 35mm-Objektiven (Distagonen) habe ich mich schon vor einiger Zeit verabschiedet mangels passender Kamera. Aber einen Versuch wären diese auch wert (natürlich nicht der 1,4/35 Bolide, so weit geht der Tischträger dann doch nicht nach unten ;D ;D ;D)...Das Hanimar ist wirklich sehr einfach, nur einfach vergütet, dafür aber ein abschraubbarer T2/M42 Adapter. Das hat vielleicht noch mal Potenzial als Kondensor mit langer Schnittweite oder entkernt als Fokussierschnecke für den zukünftigen Fototubus? Die Bastelabende werden wieder länger...

Gruß Kay
Mit freundlichen Grüßen
Kay

peter-h

Hallo alle Makroskopiker  ;D

nun habe ich beim BMS144 einen Einsatz gebaut, der ähnlich einem Balgengerät, bzw. festen Zwischenringen in den Aufnahmering des Stativs paßt. Als Objektive dann über Zwischenringe eine ganze Anzahl von Objektiven in Retrostellung getestet.
Leica M Summicron 50/2 , Leica M Elmar 50/3,5 , Olympus 50/1,4 , Canon FD 50/1,8 , Canon FD 50/1,4 , Schneider Componon 80/5,6 (vergr.Obj.) , Durst Neonon 50/2,8 (Vergr.Obj.) , Enna 28/2,8

In allen Fällen war zwischen Blende 4 - 5,6 die beste, schärfste Abbildung. Bei weiter geöffneter Blende kam die schlechtere Objektivkonstruktion und Korrektur zum Vorschein, bei höheren Blendenwerten machte sich die Beugungserscheinung deutlich bis überdeutlich bemerkbar. Die Abbildungsmaßstäbe bewegten sich von 2:1 bis 7:1.

Nun muß die Konstruktion zeigen wie beim stacken größerer Objekte sich der senkrechte "richtige" Strahlengang bemerkbar macht.

Gruß
Peter Höbel