HISTOLOGIE: Video EPON schneiden und Lungengewebe der Maus.

Begonnen von Ronald Schulte, August 27, 2017, 14:06:07 NACHMITTAGS

Vorheriges Thema - Nächstes Thema

Ronald Schulte

Lungengewebe der Maus,


Heute möchte ich mal zwei Themen zeigen.
1. Ein kurz Video (2min, 37sek) wo gezeigt wird wie ein Epoxid Block mit Gewebe am Ultramikrotom geschnitten wird;
2. Wie so ein Epoxid Schnitt am Mikroskop aussieht.



Hier klicken um das Video zu starten.






Zum Präparat:

Die Position von die Lunge im Maus.

A = Haut entfernt
B = Haut und Rippen teils entfernt






A = Lunge
B = Lunge mit Luft aufgeblasen






Anatomie der Menschliche Lunge






Detail Zeichnung aus Sobotta.






Das Gewebe wurde Perfusion Fixiert in ein Gemisch von Glutaraldehyde und Formalin. Um noch mehr Detail zu behalten wurde als zweit Fixativ Osmium Tetroxid genutzt. Wie folgende Bilder zeigen sind die Fettzellen, die z.B. bei eine Formalin oder Bouin Fixierung ,Leer' sind, hier nicht Leer sondern ist das Fett enthalten geblieben.
Die Schnittdicke liegt bei 0,8µm und die Farbung ist eine Basische Toluidin Farbung.
Nach trocknung wurde eingebettet in Depex.
Alle Bilder sind am Leitz Orthoplan gemacht mit Canon 700D DSLR.



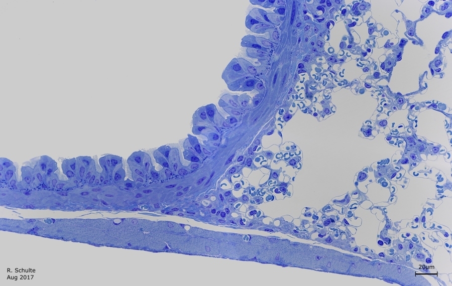
Ein Übersicht Bild.
Zu sehen ist ein grosse Bronchiolus respiratorius mit oben davon ein begleitende A. pulmonalis.
Die zwei Rechtecken Markieren beide folgende Bilder.






Links das Einschichtiges prismatischen Epithels mit Flimmer-(Wimper-) Zellen und Flimmerlose Clara-Zellen. Rechts ist das Lungengewebe mit Alveolen zu sehen.






Die Massiv blaue Zellen sind Fettzellen (nach Osmium Fixierung wird das Fett nicht ausgelöst).
Gans in die Mitte ist noch eine Mastzelle zu sehen und geubte Augen können auch ein Nerv entdecken.






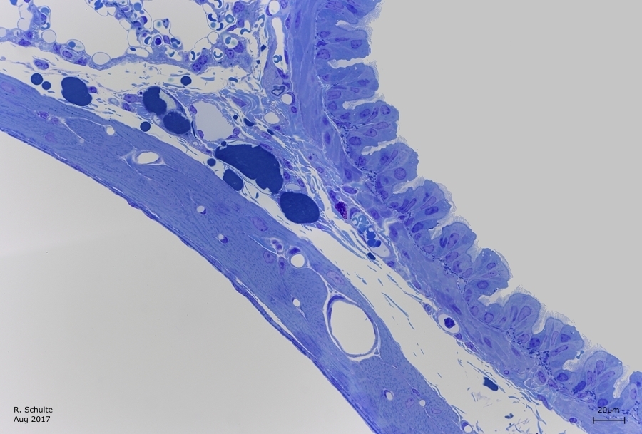
Orange Markieren die Raumen wo sich Blut befindet, alle andere Raumen sind Luftraumen.






* = Luftraum;
A = Erythrozyten (Rote Blutzellen);
B = Endothel Zelle eine Alveolarsepten;
C = Weiße Blutzelle;
D = Pneumozyte;
E = Alveolarmakrophage mit Zell Trümmer;
F = Blut-Luft Schranke;
G = Blutkapillaren (bei Perfusionsfixierung werden die meisten Blutzellen ausgespült).





Viel Spaß beim Anschauen, Gruße aus Friesland, Ronald
Mikroskope:
Leitz Orthoplan (DL, AL-Fluoreszenz und Diskussionseinrichtung).
Leica/Wild M715 Stereomikroskop.
Mikrotom:
LKB 2218 Historange Rotationsmikrotom.

Dr. Jekyll

Hallo Ronald,

Wieder einmal ein sehr interessanter Beitrag. Danke.
Beste Grüße
Harald

Florian Stellmacher

Lieber Ronald,

wieder ein sehr ungewöhnlicher Blick in das, was ich eigentlich täglich sehe. Ich bin absolut beeindruckt!

Danke und herzliche Grüße,
Florian
Vorwiegende Arbeitsmikroskope:
Zeiss Axioskop 2
Olympus BHS (DL, Pol, Multidiskussionseinrichtung)
Zeiss Axiophot (DIK und AL-Fluoreszenz)
Zeiss Axiovert (Fluoreszenz)
Wild M400 Fotomakroskop (DL, DF, AL, Pol)

Ronald Schulte

@Danke für euren Lob.

Ja die Kunststoff Technik hat so seine Spezifische Morphologie. Weil es so viel mehr Detail freigibt wie in die Paraffin Technik frage ich mich immer warum in z.B. die Pathologie so wenig Kunststoff Einbettung gemacht wird. Vielleicht könntest du da was zu schreiben!

Gruße Ronald
Mikroskope:
Leitz Orthoplan (DL, AL-Fluoreszenz und Diskussionseinrichtung).
Leica/Wild M715 Stereomikroskop.
Mikrotom:
LKB 2218 Historange Rotationsmikrotom.

Florian Stellmacher

Lieber Ronald,

in der Routinediagnostik reicht der Paraffinschnitt bzw. der zytologische Ausstrich in aller Regel aus, um die Diagnose stellen zu können. Diese Technik ist im Vergleich zur Kunststoffeinbettung auch in großen Mengen, die in der Pathologie anfallen, kostengünstig und schnell durchzuführen. Die Semidünnschnittechnik ist bei nur wenigen pathologischen Fragestellungen von Vorteil, selten aber wirklich erforderlich. Ob auch  z.B. jede Histochemie oder Immunhistochemie an solchen Schnitten funktioniert, wage ich zu bezweifeln.

Stell Dir einmal vor, Du müsstest morgen früh an die 300 Kunstoffschnitte, aber bitte mit entsprechend großflächig angeschnittenem Gewebe, pünktlich um acht, halbneun fertigstellen - und zwar von Material, das entweder heute als Biopsie gewonnen, oder gestern operiert und heute zugeschnitte wurde. Viel Spaß!  ;)

Das, was Du hier zeigst, ist die technische Spitze der lichtmikroskopischen Histologie, nichts für die Routine. Da spielt z.B. die Zeit keine große Rolle, sehr wohl aber im medizinischen Alltag.

Herzliche Grüße,
Florian
Vorwiegende Arbeitsmikroskope:
Zeiss Axioskop 2
Olympus BHS (DL, Pol, Multidiskussionseinrichtung)
Zeiss Axiophot (DIK und AL-Fluoreszenz)
Zeiss Axiovert (Fluoreszenz)
Wild M400 Fotomakroskop (DL, DF, AL, Pol)

Ralf Feller

Hallo Ronald,
endlich mal wieder Histologie. Wenn man im Netz nach Histobildern sucht, und nur die besten aufruft, dann kommt man immer wieder zu Dir. Auch das Video ist klasse. Hat denn Epon Vorteile gegenüber Technovit? Deine Schnittdicke ist ja nun noch dünner geworden. Jetzt fehlt dir nur noch ein TEM.

viele Grüße, Ralf

Ronald Schulte

Ralf,

Ja ein TEM wurde mir passen. Schnitte dafür könnte ich schon schneiden aber da mussten Grids, Bleicitrat, Uranylacetat, Osmiumtetroxid gekauft werden nur zum Kontrastieren und die Sachen sind schon richtig kostspielig. Überhaupt nicht zu reden von ein TEM mit seine riesige Volumen, Kosten usw. Und wenn mal was ist muss ein Techniker rann, waja waja! Von Carsten Dittmayer weis ich das schon regelmassig ein Techniker ran muss weil die Gerate gar nicht so wartungsfrei sind wie ich dachte. Ich denke also das hier kein TEM rein kommt (schön wäre es aber wohl).
Technovit 7100 oder Epon? Beide habe so seine plus Eigenschaften aber auch minus. Ich versuche mal was zu nennen. Anderen hier im Forum dürfen gerne reagieren.

Technovit 7100; ist ein GMA Kunststoff (Glycolmethacrylat) und kann nur Trocken geschnitten werden. Diamant kann aber muss nicht, Glass Messer sind Besser und billiger. Glass ist besser weil die Trocken geschnittene Schnitt staucht und die muss mit eine sehr feine Pinzette am Messer entfaltet werden. Ein leichtes berühren von die Stahl Pinzette auf das Messerteil ist Fatal. Ein Glass Messer werft man eben weg ohne zu jammern. Ein Histo Diamant Messer kostet auch mal zweitausend Euro. https://www.emsdiasum.com/microscopy/products/diamond/ultrathin.aspx
Technovit 7100 lässt sich aber auch mit Stahlmesser in D Profil schneiden.
Gewebe kann nur Formalin oder Kombiniert mit Glutaraldehyde Fixiert werden. Osmierung ist also nicht möglich. Die weitere Einbettung ist eine präzise aber kein Komplizierte Sache. Einbettung erfolgt auf Zimmertemperatur und später im Warmeschrank.
Mit das Kulzer einbette System können auch großflächige (1x2 Zentimeter) Blocke gemacht und geschnitten werden. Schnittdicke von diese Blöcke ist, bei mir jedenfalls, maximal 1,5µm. In entsprechende Gießformen kann auch am Ultramikrotom geschnitten werden bis zu 200nm. Dann kann nicht mehr gefärbt werden aber die Schnitte habe ich schon gemacht. Besser ist es um Schnitte her zu stellen von rund die 0,8µm. Histochemie wie z.B. die PAS Reaktion, ist an Technovit 7100 möglich. Immuno Histologie nicht aber mit Technovit 8100 geht das wohl. 8100 muss aber eingebettet werden unter Sauerstoffausschluss.

Epon 812: ist ein Epoxid Kunststoff und kann nur Nass geschnitten werden. Epon kann nur mit Diamant oder Glass geschnitten werden auf Boote die mit Wasser gefüllt werden. Epon Schnitte werden dann mit Glaskugel oder ein ,loop tool' aus das Wasser entfernt und auf ein OT übertragen. Wie im Video zu sehen ist. Für Epon kommen alle mögliche Fixierungen und nach Fixierungen in Frage. Epon lasst sich einfach Farben mit basisches Toluidin Blau. Epon lasst sich bis zu 40nm dick schneiden. Das ist aber für die EM gedacht. Semidünn kann prima von 0,5µm bis 1µm geschnitten werden.
Epon kann nur am Ultra geschnitten werden und nur sehr kleine Proben. Ein Professor hat mir schon mal erzählt das alles über 1mm unsinnig sei. Für die Lichtmikroskopie sind 2x2mm Schnitte auch prima möglich. Weil nur so ein kleinen Teil von z.B. die Lunge gemacht wird ist es sinnvoll um viele Blöcke an zu fertigen. Das schönste Teil ist immer eingebettet in das zwölfte Block!
Immuno Histologie und Histochemie wie z.B. die PAS Reaktion, ist an Epon 812 nicht möglich.

Technovit 7100 mit Harter 1 und 11 kostet so rund die 90 Euro. Epon 812 ist ungefähr gleich teuer.

Was also das Beste ist, ist schlecht zu sagen. Weil ich mehrere Mikrotome habe und mehrere Messer Systemen kann ich beide nutzen. Zukünftig werde ich mal ein Test machen mit dasselbe Gewebe ein zu betten in Technovit 7100 und Epon. Bin schon gespannt was die Unterschiede sein werden.

Gruße Ronald
Mikroskope:
Leitz Orthoplan (DL, AL-Fluoreszenz und Diskussionseinrichtung).
Leica/Wild M715 Stereomikroskop.
Mikrotom:
LKB 2218 Historange Rotationsmikrotom.

Reinhard

Hallo Ronald,

wie immer eine grandiose "Vernissage" !

viele Grüße
Reinhard
seit wann ist Kunst ein Fehler ?



-----------------------------------------------------
www.mikrochemie.net

Ronald Schulte

Mikroskope:
Leitz Orthoplan (DL, AL-Fluoreszenz und Diskussionseinrichtung).
Leica/Wild M715 Stereomikroskop.
Mikrotom:
LKB 2218 Historange Rotationsmikrotom.