Histologie des Rückenmarks eines Rindes

Begonnen von Ronald Schulte, Oktober 13, 2009, 17:11:19 NACHMITTAGS

Vorheriges Thema - Nächstes Thema

Ronald Schulte

Histologie des Rückenmarks eines Rindes.

Gewebe wurde Fixiert mit selbstgemachter Bouin:

- Picrinezuur 1,2% wässerig,  15 ccm
- Formaline 37%,  5 ccm
- IJsazijn 99%,  1 ccm

Färbung ist durchgeführt nach ein Rezept von Chroma:

Kernechtrubin
Bindegewebe
Dieser neu entwickelte Farbstoff entspricht in der Einfachheit seiner Anwendung und der Licht-echtheit dem vorstehend erwähnten Kernechtrot, er färbt aber die Kerne intensiver rot, etwa im Farbton des früher verwendeten Azokarmins.

Erforderliche Lösungen:
A. Kernechtrubin 0,1 g ohne Erwärmen in 100 ml dest. Wasser
lösen und 1 ml Eisessig zufügen. Die Lösung ist unbegrenzt haltbar.
B. Anilinblau-Orange nach Halmi-Konecny =
0,1 g Anilinblau
0,3 g Orange G
0,5 g Phosphorwolframsäure
1 ml Eisessig
100 ml dest. Wasser, kochen, erkalten lassen, filtrieren
Formolfixiertes Material

Färbevorschrift:
1. Färben in A für 5 Minuten.
2. Abspülen in dest. Wasser.
3. 5 Minuten einlegen in Phosphorwolframsäure 5 %ig.
4. Abspülen in dest. Wasser.
5. Übertragen in B für 8 Minuten.
6. Abspülen in dest. Wasser.
7. Kurz differenzieren in 96 %igem Alkohol, aufhellen in Xylol, einbetten in
Balsam oder Malinol.

Färbeergebnis:
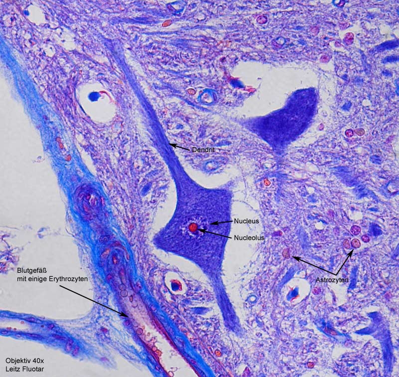
Kerne intensiv rot, Collagenes Bindegewebe blau, Erythrocyten orange, Gliafasern rot, Protoplasma und Muskulatur rotorange gefärbt.
Anm.: Statt B kann auch Azan-Lösung Heidenhain mit gleichem Erfolg verwendet werden.


Aufnahmen sind gemacht mit ein Coolpix 4500 mit ein 10x Leitz Periplan Brille Okular.
Objektive von Leitz 2,5x Achromat, 10x, 16x, 40x und 100x Fluotar.


Ubersicht.



A1



A2



A3



B1



B2



B3 Objektiv 100x Leitz Fluotar



C1



D1



E1



E2

Grusse aus die Niederlanden,
Ronald Schulte
Mikroskope:
Leitz Orthoplan (DL, AL-Fluoreszenz und Diskussionseinrichtung).
Leica/Wild M715 Stereomikroskop.
Mikrotom:
LKB 2218 Historange Rotationsmikrotom.

Fahrenheit

Lieber Ronald,

vielen Dank für die aufschlußreiche Darstellung sammt Präparationsanleitung und die
sehr schönen Bilder!

Vielleicht kannst Du noch etwas zur Einbettung und der Schnittechnik bei einem so großen Objekt sagen.

Herzliche Grüße
Jörg
Hier geht's zur Vorstellung: Klick !
Und hier zur Webseite des MKB: Klick !

Arbeitsmikroskop: Leica DMLS
Zum Mitnehmen: Leitz SM
Für draussen: Leitz HM

Ronald Schulte

Jörg,

Für die ganze Fixierung, steigende alcoholreihe, paraplast Einbettung, mikrotomschneiden, farbtechniek bin ich dabei um ein Fotoserie zu entwickeln.
Das wird dan eine Baby-Maus sein aber die Techniek ist gleich.
Dauert noch ein paar Wochen aber kommt bestimmt auch im Forum.

Grüße Ronald
Mikroskope:
Leitz Orthoplan (DL, AL-Fluoreszenz und Diskussionseinrichtung).
Leica/Wild M715 Stereomikroskop.
Mikrotom:
LKB 2218 Historange Rotationsmikrotom.

Eckhard

Hallo Ronald,

ein sehr schöner Schnitt und toll gefärbt.

Wie hast Du den Schnitt eingebettet und wie dünn ist er etwa?

Herzliche Grüsse
Eckhard
Zeiss Axioscope.A1 (HF, DF, DIK, Ph, Pol, Epifluoreszenz)
Nikon SE2000U (HF, DIK, Ph)
Olympus SZX 12 (HF, DF, Pol)
Zeiss Sigma (ETSE, InLens SE)

www.wunderkanone.de
www.penard.de
www.flickr.com/wunderkanone

Ralf Feller

Hallo Ronald,

auch von mir danke für die tollen Schnitte und Bilder. Besonders gut finde ich die Färbeanleitungen. Ich mache selbst viel Histologie, habe aber gerade wenig Zeit zum lesen, daher danke für die Beschriftungen und Kommentare.

Kann man so große Objekte mit dem Rotationsmikrotom schneiden und auf normale Objektträger aufziehen?

Kennst Du die vereinfachte Azan-Färbung von Chroma? Habe die mal an meinen Insektenschnitten ausprobiert, aber nie an Geweben von Säugetieren, Vögeln oder Fischen.

Gruß aus dem Ruhrgebiet,
Ralf

Ronald Schulte

Zitat von: Eckhard in Oktober 13, 2009, 19:47:32 NACHMITTAGS

Wie hast Du den Schnitt eingebettet und wie dünn ist er etwa?


Eckhard,

Die ganze Fixierung, einbetten usw kommt später noch mal in eine Fotoserie. Die Schnitt war 3μm dick.
Das Block sieht aus wie im Bild.

Grüße Ronald



Mikroskope:
Leitz Orthoplan (DL, AL-Fluoreszenz und Diskussionseinrichtung).
Leica/Wild M715 Stereomikroskop.
Mikrotom:
LKB 2218 Historange Rotationsmikrotom.

Ronald Schulte

Zitat von: Ralf Feller in Oktober 13, 2009, 20:07:17 NACHMITTAGS

Kann man so große Objekte mit dem Rotationsmikrotom schneiden und auf normale Objektträger aufziehen?
Kennst Du die vereinfachte Azan-Färbung von Chroma?


Ralf,

Mit mein Mikrotom Schneide ich manchmal unglaublich große Stücke (siehe mein u-tube beitrag http://www.youtube.com/watch?v=qGyE4p9XanA).
Damals waren es noch Holzblocken, jetzt Schneide ich mit Makrocassetten.
Das aufziehen ist zu sehen mit dieser Link http://www.youtube.com/watch?v=cbQnZr0wx0I

Die Chroma AZAN kenne ich nicht! Wie ist das Protokoll?

Morgen mache ich ein paar Bilder von die Präparaten.

Grüße Ronald

Mikroskope:
Leitz Orthoplan (DL, AL-Fluoreszenz und Diskussionseinrichtung).
Leica/Wild M715 Stereomikroskop.
Mikrotom:
LKB 2218 Historange Rotationsmikrotom.

Bernhard Lebeda

Hallo Ronald


ich bin natürlich auch wieder begeistert!!

Ich mache gerade meine ersten Paraffin Gehversuche und bin schon sehr auf Deine Fotoanleitung gespannt.

Frage noch zu Bild 1: mit welchem Programm kann man denn 74 Bilder stitchen??  Das hätte ich nicht gedacht, dass das so nahtlos geht!



Viele Grüsse


Bernhard
Ich bevorzuge das "DU"

Vorstellung

Ronald Schulte

Zitat von: Bernhard Lebeda in Oktober 13, 2009, 22:44:26 NACHMITTAGS

Ich mache gerade meine ersten Paraffin Gehversuche und bin schon sehr auf Deine Fotoanleitung gespannt.

Frage noch zu Bild 1: mit welchem Programm kann man denn 74 Bilder stitchen??  Das hätte ich nicht gedacht, dass das so nahtlos geht!


Bernhard,

Die Stitch-idee habe ich von Carsten Dittmayer. Er, und ich jetzt auch, gebrauche "autostitch" und ist gratis (für Holländer immer sehr wichtig) zu downloaden und gebrauchen. Es ist ein demo-versie aber lauft bei mir schon zwei Jahren. http://www.photo-freeware.net/autostitch.php
Wichtig ist das du bei 'options' die jpg Qualität auf 100 bringst (wird automatisch um 75 abgestellt).

Good luck bei die versuchen. Ich kanns, du sicher auch!!

Kurz wird es bei mir so gemacht:

- Gewebe ausschneiden
- fixieren in Bouin oder 4% Formaldehyde (merke dir genau welches teil es ist weil alles später Braunlich/Gelb ist und fast nicht mehr zu erkennen)
- kleine Stücke (5x5x5mm) alle Schritte 12 Stunden, größere Stücke (5x10x20mm) 24 Stunden
- fixatief auswaschen in Leitungwasser (bei Bouin nicht waschen sondern gleich im 70% Ethanol)
- 50% Eth
- 70% Eth
- 85% Eth
- 95% Eth
- 100% Isopropanol (viel Billiger wie 100% Ethanol und wirkt gut)
- Xylol
- 2 x 12(24) Stunden in Warmen 50%/50% Xylol/paraplast
- 2 x 12(24) Stunden in Warmen paraplast
- 2 x 12(24) Stunden in neuen Warmen paraplast (Mann darf absolut kein Xylol mehr Riechen)
- Eingießen

Ist absolut nicht Schwierig, dauert nur eine weile.

Ronald

Mikroskope:
Leitz Orthoplan (DL, AL-Fluoreszenz und Diskussionseinrichtung).
Leica/Wild M715 Stereomikroskop.
Mikrotom:
LKB 2218 Historange Rotationsmikrotom.

Bernhard Lebeda


Zitat
Bernhard,

Die Stitch-idee habe ich von Carsten Dittmayer. Er, und ich jetzt auch, gebrauche "autostitch" und ist gratis (für Holländer immer sehr wichtig) zu downloaden und gebrauchen. Es ist ein demo-versie aber lauft bei mir schon zwei Jahren. http://www.photo-freeware.net/autostitch.php
Wichtig ist das du bei 'options' die jpg Qualität auf 100 bringst (wird automatisch um 75 abgestellt).

Good luck bei die versuchen. Ich kanns, du sicher auch!!


Oh, dann bin ich im Herzen auch Holländer, gratis passt immer  ;D

autostitch kenne ich natürlich, aber auf die Wahnsinnsidee es mit 74 Bildern zu versuchen bin ich noch nicht gekommen!!  ;)



Zitat
Kurz wird es bei mir so gemacht:

- Gewebe ausschneiden
- fixieren in Bouin oder 4% Formaldehyde (merke dir genau welches teil es ist weil alles später Braunlich/Gelb ist und fast nicht mehr zu erkennen)
- kleine Stücke (5x5x5mm) alle Schritte 12 Stunden, größere Stücke (5x10x20mm) 24 Stunden
- fixatief auswaschen in Leitungwasser (bei Bouin nicht waschen sondern gleich im 70% Ethanol)
- 50% Eth
- 70% Eth
- 85% Eth
- 95% Eth
- 100% Isopropanol (viel Billiger wie 100% Ethanol und wirkt gut)
- Xylol
- 2 x 12(24) Stunden in Warmen 50%/50% Xylol/paraplast
- 2 x 12(24) Stunden in Warmen paraplast
- 2 x 12(24) Stunden in neuen Warmen paraplast (Mann darf absolut kein Xylol mehr Riechen)
- Eingießen

Ist absolut nicht Schwierig, dauert nur eine weile.

Ronald



Ja so habe ich es auch gemacht. Allerdings mit Toluol als Intermedium, aber nur weil das halt bei diesem wax embedding kit dabei war. Nachdem ich mich nun im Netz und Forum (und in alten Büchern) etwas schlau gemacht habe, werde ich es noch mit Terpentinöl oder Methylbenzoat probieren.

Was genau ist Paraplast, wo bezieht Du es und hat es Vorteile gegenüber dem Paraffin, das man üblicherweise so bekommt?


Viele Grüsse


Bernhard
Ich bevorzuge das "DU"

Vorstellung

Ronald Schulte

Bernhard,

Paraplast bekommst du z.b. hier http://www.fiers.be/nl/183160
Ob es besser ist wie die übliche Paraffin weise ich nicht. Habe die Wissenschaft von Jan Kros. Sollte besser und Schneller eindringen.

Ronald
Mikroskope:
Leitz Orthoplan (DL, AL-Fluoreszenz und Diskussionseinrichtung).
Leica/Wild M715 Stereomikroskop.
Mikrotom:
LKB 2218 Historange Rotationsmikrotom.

CaDi

#11
Hallo Ronald,

ein klasse Fotos, und wie immer eine sehr detaillierte Beschreibung, Respekt!

Wegen der Fotos, hier mal ein großer Fehlschlag: 559 Fotos mit dem 4x PlanApo glaube ich, oder dem 2,5x plan. Das Präparat ist eine Schweineniere, mit KK gefärbt. Hat ca. 2 Std. gedauert das Knipsen und dann sowas. Lief über Nacht. Das Programm macht da einfach nicht mehr mit.



Man sieht auch ganz klar die dunklen Banden, da sah das Bild gleichmäßig ausgeleuchtet aus, aber hier sieht man dass es nicht so war.

Ich habe daraus gelernt und ca. 30 Bilder mit meinem 1x Plan gemacht.


Deine große Aufnahme der Nervenzelle sieht klasse aus, der Kern ist schön. Und ich finde es interessant, dass man bei Dir die Reste der Myelinscheide sieht, bei meinen Präparaten sind die meist schon ganz ab.

Viele Grüße,
Carsten

JoachimD

Hallo Ronald,
deine Bilder und deine Vorgehensweise wie aus dem Lehrbuch!

Gruß
Joachim

Ronald Schulte

Joachim,

Danke. Ist auch schön. Kostet sehr viel zeit aber dann hat Mann auch was.
Histologie wird hier mehr gezeigt. Carsten macht sich auch mühe und gelingt ihm auch sehr gut.

Grüße Ronald
Mikroskope:
Leitz Orthoplan (DL, AL-Fluoreszenz und Diskussionseinrichtung).
Leica/Wild M715 Stereomikroskop.
Mikrotom:
LKB 2218 Historange Rotationsmikrotom.