Hauptmenü

Haar im DF

Begonnen von icho_mann, November 16, 2008, 22:15:10 NACHMITTAGS

Vorheriges Thema - Nächstes Thema

icho_mann

Hallo Bernhard,
deine Haare sehen aus wie Metallstangen  ;D

mit freundlichen Grüßen
Jonathan
Mit freundlichen Grüßen
Jonathan
___________________________
Andy McKee, Rylynn


Vorstellung: Hier klicken

icho_mann

Zitat von: Klaus Herrmann in November 21, 2008, 21:52:21 NACHMITTAGS
Da habe ich mal auch in meinem Fundus gekramt:

Barthaare nach tagelanger Rasierabstinenz




Sind die Haare im Pol?
wie machen sie die so bunt?
Mit freundlichen Grüßen
Jonathan
___________________________
Andy McKee, Rylynn


Vorstellung: Hier klicken

Klaus Herrmann

Hallo Jonathan,

wir lernen voneinander: Du zeigst mir, dass man auch Bilder zitieren kann und ich polarisiere Dich: Ich glaube, dass ich in diesem Falle DIC kombiniert habe mit Lambda und Lambda/4tel und dieses auch noch leicht verdreht, so dass die blaue Untergrundfarbe erscheint.

Muss aber eigentlich mit ähnlichem Effekt gehen auch ohne DIC.

Ernst Hippe ist ein Meister in der Anwendung der Kompensatoren beim Pol. (Zwischendurch mal ein wenig Mikro-Fibeln! Dort steht sicher auch, was Kompensatoren sind - DIC ist dort aber meiner Erinnerung nach nicht erklärt?)

Du kannst selber mal versuchen solche Effekte zu erzielen, indem Du bei gekreuzten Polarisatoren in den "Sandwich" noch eine Klarsichtfolie reinhältst. Nimm alles, was der Haushalt hergibt und versuchs.
Mit herzlichen Mikrogrüßen

Klaus


ich ziehe das freundschaftliche "Du" vor! ∞ λ ¼


Vorstellung: hier klicken

NicLi

Hallo Klaus, hallo Jonathan,
nach etwas Mikroskopie-Abstinenz melde ich mich mal wieder.
Was noch als Hilfsobjekt wie die "Lambda-Platten" wirkt:
CD-Hülle (Achtung, die zerkratzt leicht)
Tesa (der echte, kein billig-tesa)
Klarsichthüllen
mfG
Nicolas

icho_mann

Das hab ich doch glatt gemacht,
ein Haar im Pol sammt Verpackungsfolie (ganz glatt und durchsichtig):


400x

Mit freundlichen Grüßen
Jonathan
PS: Das Forum fällt in das Pol Fieber!
Mit freundlichen Grüßen
Jonathan
___________________________
Andy McKee, Rylynn


Vorstellung: Hier klicken

Jürgen H.

Lieber Mitmikroskopiker, insbesondere lieber Jonathan als Threaderöffner,

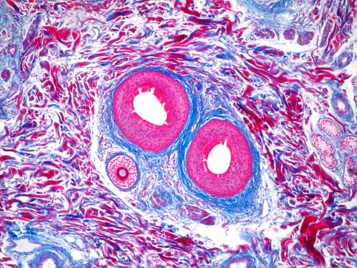
hier kommen die Haare, quer geschnitten, in Höhe der Kopfhaut. Da sieht man gleich, warum haarlose Köpfe so schön glänzen können ;-)



Und etwas stärker vergrößert, mit dem 20er sieht es dann so aus:



Das Präparat stammt aus der Ausbildungszeit meines "Schwiegergroßvaters" und ist von ihm selbst gefertigt. Es ist mindestens 70 Jahre alt.

Mikrogrüße

Jürgen Harst




Klaus Henkel

Das Präparat stammt aus der Ausbildungszeit meines "Schwiegergroßvaters" und ist von ihm selbst gefertigt. Es ist mindestens 70 Jahre alt


Hallo Herr Harst!

Steht auf dem Etikett, welche Farbkombination verwendet wurde?
Gruß KH

Jürgen H.

#22
Lieber Herr Henkel, leider nein: Das Präparat trägt ein sehr kurzgefasstes Etikett: Da steht in unüberbietbarer Kürze: Haare.

Die richtige Antwort auf Ihre Frage würde mich auch interessieren.

Mikrogrüße

Jürgen Harst


Bernhard Lebeda

Hallo Herr Harst

sollten da jetzt Bilder zu sehen sein? Ich seh nämlich gar nichts, nur Ihren Text!

Viele Grüsse


Bernhard

Jürgen H.

#24
Hallo Bernhard,

Bei Dir erscheint kein Bild? Merkwürdig. Bei mir ist es auch auf meinem Computer am Arbeitsplatz zu sehen. Hier sind die Adressen:


http://mikroskopie.homepage.t-online.de/haare.jpg

http://mikroskopie.homepage.t-online.de/haare2.jpg

Ich habe sie, wie ich meine, ordnungsgemäß zwischen die image-Klammern gesetzt. Wo kann da der Fehler wohl liegen? Auf Grund der Frage von Herrn Henkel nehme ich an, dass er die Bilder auch gesehen hat.

Schöne Grüße

Jürgen

Bernhard Lebeda

Hallo Jürgen

jetzt seh ich sie auch im ersten Beitrag, weiß auch nicht was gestern los war!

Beeindruckende Präparate und ebensolche Bilder!!


Gruss


Bernhard

Alfons Renz

Lieber Herr Harst,

Bei der Färbung Ihres Präparats würde ich auf AZAN tippen: Blaues Bindegewebe, roter Kern. Muskeln müssten ebenso leuchtend rot gefärbt sein, Erythrozyten eher gelb.

Interessant wäre die Herstellungtechnik: Ist der histologische Schnitt auf einem Glimmerplättchen aufgezogen? Mit einer Lupe kann man dies leicht erkennen und ggf. im polarisiertem Licht bestätigen.

Wissen Sie, an welcher Universität das Präparat hergestellt wurde, oder ob es von einer Firma stammt? Dann hätte es ein gedrucktes Etikett.

Mit freundlichen Grüßen,

Alfons Renz

Jürgen H.

Lieber Herr Renz,

Das Präparat ist sicher nicht kommerziell gefertigt. Es trägt nur ein kommerzielles Blankoklebezettelchen mit einem niedlichen blauen Rand. Darauf ist handschriftlich von meinem Schwiegergroßvater die Bemerkung "Haare" eingetragen. Natürlich handelt es sich um ein Präparat der Kopfhaut. Es stammt aus eine Präparatesammlung, in der sich Präparate meines Schwiegergroßvaters, meines Schwiegervaters und meines Schwagers befinden, alle in ihrer jeweiligen Ausbildungszeit selbst gefertigt. An den jeweiligen Handschriften kann ich sehen, von wem es stammt.

Ein Glimmerplättchen ist nicht unterlegt. Das Zwischenschalten eines Analysators ergibt keine Auffälligkeiten.

Allerdings ist das Präparat von einem leicht milchigen scharf bekantetem Rand umgeben. An einigen Stellen ist dieser Rand leicht eingerissen. Von einer Paraffineinbettung kenne ich das eher anders herum. Dann ist dort, wo das Paraffinband lag, der Untergrund am klarsten, wenn ein Mittel zum Aufkleben, wie Hühnereiweiß mit Glyc.  benutzt wird.

Eine entsprechende Stelle füge ich bei:



Links geht die vom Deckglas beklebte Stelle weiter.  Das Harz ist leicht gelblich, Caedax?

Das Photo habe ich auf die Schnelle gemacht, nur um den Rand zu zeigen. Die schlechte Beleuchtung und den Fleck in der linken Bildmitte bitte ich zu entschuldigen.

Vielen Dank für Ihr Interesse und freundliche Grüße

Jürgen Harst

Klaus Herrmann

Hallo Herr Renz,

ich hatte mich doch richtig erinnert: in einem Heidenhain-Kasten hab ich Haare quer und längs. Färbung Azan. Die Farben sind so knallig, dass man sich fast nicht traut die Bilder zu zeigen!

Leider sind die Kästen nicht aus Familienbesitz sondern echt gekauft. Bin aber froh um die Investition!

Zweimal mit dem 10er und noch eines mit dem 20er Objektiv. Die Schnitte sind, wie ich das von Haidenhain (bzw Graf) kenne immer auf Glimmerblättchen aufgezogen.







Mit herzlichen Mikrogrüßen

Klaus


ich ziehe das freundschaftliche "Du" vor! ∞ λ ¼


Vorstellung: hier klicken

Alfons Renz

Lieber Herr Harst,

Ihrem Photo nach zu schliessen, ist das Präparat tatsächlich auf einem Glimmerplättchen aufgeklebt. Mit bloßen Auge erkennt man einen leicht grauen, rechteckigen Schatten mit geraden Kanten um den histologischen Schnitt herum. Dies entspricht den Umrissen des Glimmerplättchens. Im polarisierten Licht erkennt man dann auch den schichtartigen Aufbau des Glimmers, speziell an den Ecken und Kanten des Plättchens.

Diese spezielle Technik hatte einen besonderen Hintergrund: Damals mussten die Studenten die ihnen zugeteilten histologischen Schnitte selbst in Kandabalsam einbetten und beschriften, durften diese aber nach dem Kurs als ihr Eigentum mit nach Hause nehmen. Objektträger und Deckglas musste natürlich jeder Student selbst stellen. Der Kursassistent hatte dazu die Serienschnitte des Organs auf einer großen Glimmerplatte aufgeklebt und als Ganzes gefärbt. Im Kurs ging der Assistent durch die Reihen und schnitt für jeden Studenten eine einzelnes Präparat von der Glimmerplatte ab. So war gewährleistet, dass jeder Student ein gleich gefärbten Präparat erhielt und sich zugleich doch der Aufwand für die Vorbereitung in Grenzen hielt.

Findet man also heute ein solches auf ein Glimmerplättchen aufgezogenes Präparat, so weiß man, dass es sich um ein hochprofessionell hergestelltes und perfekt gefärbtes Objekt handelt. In Tübingen, wo auch die von Prof. Heidenhain entwickelte AZAN-Färbung gebräuchlich war, wurden derartige Präparate von ca. 1900 bis nach dem 2. WK hergestellt.

Deshalb auch meine Frage, ob diese Präparate ev. aus Tübingen stammen könnten. Wahrscheinlich wurde die Technik jedoch auch an anderen anatomischen Instituten verwendet. Über entsprechende Hinweise wäre ich sehr dankbar!

Auf jeden Fall haben Sie ein sehr schönes und auch wertvolles Präparat, das bei guter Lagerung noch nach hundert Jahren prächtige Farben zeigt. Und einen weiteren großen Vorteil hat die Glimmerplättchen-Technik auch noch: Man kann den Schnitt nach Bruch des Objektträgers, Lufteintritt oder Rissen im Balsam einfach in Xylol stellen und warten, bis sich das Deckglas ablöst. Dann kann der auf das Glimmerplättchen aufgeklebte Schnitt ohne weiteres frisch eingebettet werden. Das Präparat ist dann 'wie neu'.

Mit besten Grüßen aus Tübingen,

Alfons Renz